大香腸
」
來台逛夜市「手握士林大香腸」⋯星國辣網紅帳號慘遭禁 曾賣「罐裝原味屁」驚人售價曝
新加坡一名32歲正妹直播主「Kiara Kitty」日前來台環島時,直播控訴在高雄街頭遭人丟雞蛋,事後被警方查出蛋洗案是她「自導自演」,涉事的犯嫌就是她的男助理,真相大白後引起網友撻伐。事實上,Kiara Kitty爭議事件不只一樁,先前她曾曬出自己手握「士林大香腸」的美食照,脫口直呼「台灣香腸真好吃」,疑因內容太過情色露骨,推特一度遭到封鎖帳號。去年1月來台旅遊時,Kiara Kitty身穿粉紅色小可愛現身在士林夜市大啖美食,胸前渾圓包不住全炸出,她隨後也在推特曬出手拿香腸的自拍照,直呼「台灣香腸太好吃了,謝謝大家今天來看我。」,疑因文字及照片過於敏感裸露,帳號遭到官方封鎖。Kiara Kitty曾因曬出手握「士林大香腸」的美食照,以及販售罐裝屁、洗澡水等商品引起爭議。(圖/擷取自X/kiaraakitty)除了在台灣惹議外,Kiara Kitty去年4月前往南韓首爾旅遊,卻因穿著太過清涼遭到韓國警方攔查,要求她「把衣服穿好」才能夠離開,引起網友指責破壞新加坡人的名聲,希望她能尊重當地的文化與規範。然而,作風一向大膽前衛的Kiara Kitty,也曾在網路上兜售一系列「原汁原味」的獵奇商品,包括罐裝屁味氣體、洗澡水及原味比基尼等,當時一罐原價僅20美元(約新台幣632元)的屁味,還一路飆漲至300美元(約新台幣9485元),足足爆漲了15倍。
40歲男上腹劇痛冒冷汗 膽腫成「士林大香腸」嚇壞醫
一名40歲有膽結石的男子,近日吃了消夜後腹痛冒冷汗,急診後隔天狀況沒改善,就醫才發現膽腫如「士林大香腸」,需要緊急進行手術。開業胰臟醫師林相宏在臉書分享,壞死性膽囊炎等不得,而有膽結石患者要小心,一名40歲男性健檢發現膽結石,平常會胃痛,也曾掛過急診,但都是打針吃藥就沒事,最近男患者吃了消夜,上腹部劇烈疼痛,痛到冒冷汗,「尤其是吃了點東西又會更加疼痛,小便顏色也變得比較深色,半夜去了急診,打個針之後就回家觀察。狀況似乎沒有好轉。」男子膽腫成「士林大香腸」。(圖/翻攝《胰臟醫師 林相宏 禾馨民權內科診所》臉書)林相宏幫男子照超音波後嚇壞,「整個膽腫得像士林大香腸一樣,而且膽囊壁有點不規則,膽囊周圍水腫,像是傷口化膿那樣,高度懷疑是一種膽囊炎的急症,壞死性膽囊炎,趕緊轉診手術。」壞死性膽囊炎死亡率比一般膽囊炎高,「原本應該顏色紅潤的膽囊,已經整個壞死翻黑,而且有些地方已經接近膽囊破裂很像是快破的水球,好險緊急手術,不然一旦膽囊破裂,就變成嚴重腹膜炎外加敗血症,後果以及後遺症不堪設想。」林相宏表示,9成至9成5的膽囊炎,是膽結石導致,而膽囊腫到一定程度,就會引起血管缺血,「如果常常喜歡應酬,加上喜歡吃高油脂的食物,像是速食、炸雞等,都要很小心,年紀大(>50歲)、男性、糖尿病、心血管疾病族群是高風險族群,以上這些族群對疼痛的感受性比較低。」林相宏強調,一開始缺血因神經不敏感,所以不會感覺很痛,因此會延誤就醫,「等到後續膽囊壞死甚至破裂,才開始有嚴重的腹痛、發燒等,所以有膽結石族群,有上腹部疼痛,最好即早就醫接受超音波檢查。」
橘瑪麗來台演出放話「不濕不能回家」 平交道女神夜市「吞」大香腸
「限制級女神」橘瑪麗與「最性感百大女DJ」浜崎真緒,今(18日)出席「S2O Taiwan潑水音樂節」記者會,兩人將分別以DJ MARY與DJ MAO參與活動,和「令和影后、小惡魔」相澤南、「暗黑第一女主播」山岸綺花、「無邪氣乳神」河合明日菜、「暗黑美少女」樞木葵超人氣日本AV女神一同來台共襄盛舉。幾位女神今天一同出席官方限量周邊商品記者會,不過商品都在網路預購一開賣即完售,記者會現場也首度公開實體商品,從「頭」、「眼睛」、「身體」到「腳」都為參加粉絲準備好玩水的時尚穿搭用品,讓女神們看了也直呼「卡哇伊」。「限制級女神」橘瑪麗(DJ MARY)、「最性感百大女DJ」浜崎真緒(DJ MAO)都將在「濕身第一關」的WaterBoom舞台演出。(圖/林士傑攝)她們也透露,明、後天將會不定時出現在「濕身第一關」的WaterBoom舞台,與粉絲近距離互動,還放話:「一定要把台灣人全身弄濕,不濕不能回家。」此外,南韓DJ「暗黑版潤娥」MIU、大馬DJ「平交道女神」Amber NA藍星蕾、巴西電音才子Kenny Musik,也在稍早舉行的記者會提前亮相。藍星蕾透露,自己昨天去逛饒河夜市,吃了大香腸,讓她非常驚訝:「真的好巨大,吃完很有飽足感。」而S2O泰國創辦人Pulin Milintachinda(普林米林塔欽達)也表示,台灣是亞洲巡迴最後一站,也是最大的一站,四大風格舞台,集結百大DJ巨星、美韓當紅嘻哈歌手,超過69組頂級國際藝人齊聚一堂,將帶給樂迷最難忘的濕身音樂體驗。「令和影后、小惡魔」相澤南為了「S2O Taiwan潑水音樂節」再度來台。(圖/林士傑攝)大馬DJ「平交道女神」Amber NA藍星蕾提到昨晚在夜市吃到的大香腸,表示非常難忘。(圖/林士傑攝)
辣模級主播激似鍾楚紅 首爾旅遊被警攔「身材太頂」收好才能上路
新加坡直播主擁凱蒂(Kiara Kitty)擁有深邃的五官與姣好的身材,長的很像年輕時的香港女星鍾楚紅,不時在社群分享生活點滴與好身材,一下子就吸引許多男粉絲關注,光是IG就已經吸引18萬人追蹤;不過凱蒂近日到南韓首爾旅遊,逛街同時還開直播與粉絲互動,但她卻遭兩名當地員警攔住,原來是凱蒂的穿搭太過火辣,員警要求她把「胸器」收好才能上路。凱蒂因為穿著遭南韓警方攔下。(圖/翻攝自IG@kiaraakitty)綜合《每日星報》報導,凱蒂當天直播時穿著剪裁相當大膽的上衣,雖然她有披上白色外套,但依舊擋不住她傲人的身材,就在網友讚嘆的同時,兩名員警立刻將她攔下,由於語言不通,凱蒂後來是透過翻譯才得知警方的意思,原來是要她將好身材「收斂點」才能繼續旅程。據凱蒂的說法,疑似是有民眾舉報她衣著太過養眼,其實這也不是凱蒂第一次因為穿搭引發爭議,先前她就因為照片、文字和影片內容過於敏感,遭實況平台Twitch停權過4次。先前農曆過年連假時,凱蒂也到台灣旅遊,除了走訪旅遊景點外,還走訪夜市享用台灣道地小吃;沒想到,她穿著性感小可愛直播享用士林大香腸,並發文讚賞「台灣香腸真好吃」時,也無預警被官方暫時封鎖。不過在網友眼中,擁有美麗外表的凱蒂,對事業很有想法,並多方面經營自己的直播頻道,認為她是個認真又美麗的女孩。凱蒂因為穿著遭南韓警方攔下。(圖/翻攝自推特)
1小時吃3kg巨無霸雞肉飯 台正妹大胃王挑戰成功嚇壞泰國人
不論台灣或國外,不少人擁有「大胃王」天分,能發揮超乎常人的驚人食量。日前泰國的一間販售雞肉飯的餐廳,舉辦了一項大胃王挑戰,只要挑戰者能在1小時內,完全嗑完一大盤,重達3公斤的雞肉飯,這燉雞肉飯餐點就能完全免費。而來自台灣的網紅「泡芙餓了麼」,是該店唯一一位「完全制霸」的挑戰者,暴食的實力跟她纖瘦的少女模樣,完全搭不上,讓不少泰國網友都感到很吃驚,直呼不可思議。網紅「泡芙餓了麼」在泰國成功完成吃雞肉飯的挑戰。(圖/翻自臉書) 來自台灣的網紅「泡芙餓了麼」,其實對喜歡看大胃王挑戰的人來說,多半對她不陌生。「泡芙餓了麼」過去在YouTube拍過不少自己挑戰大胃王的影片,包括15分鐘內喝下5公斤的木瓜牛奶;去夜市挑戰吃100盎司的牛排,一口氣吃下100個鍋貼、大嗑超過3公斤的士林大香腸等,「泡芙餓了麼」全都征戰過。這次她專程飛到泰國,挑戰吃「巨無霸雞肉飯」,她只要能按店家規定,1小時內啃完重達3公斤的雞肉飯,老闆就是免費招待;如果失敗的話,就必須付650泰銖(約新台幣578元)的餐費。而從店家透過臉書所分享的照片可發現,來參加挑戰的「泡芙餓了麼」,穿著一襲俏麗的學生制服,優雅地邊吃著雞肉飯,邊喝著飲料,最後她成功完成挑戰,讓許多泰國網友驚呼連連。網紅「泡芙餓了麼」在泰國成功完成吃雞肉飯的挑戰。(圖/翻攝自臉書)有泰國男網友就直言,「這個我不敢交往,會被她吃垮XD」;不過有更多網友因此成了「泡芙餓了麼」的粉絲,除了很欽佩她的「食力」,也大讚她看起來很漂亮。網紅「泡芙餓了麼」在泰國成功完成吃雞肉飯的挑戰。(圖/翻攝自臉書)
張惠妹拍片嚐遍士林美食 天后代言吸粉百萬
天后張惠妹將於4月引爆10場《ASMR世界巡迴演唱會》高雄站,日前她手遊代言換上斗篷,變身中世紀魔法少女,依偎在最可靠的夥伴-卡利茲大王龍身邊,有別於阿密特系列作品、演唱會中的闇黑神秘,手遊代言中的她笑容燦爛,她不只一次表示很喜歡這次的造型,在拍攝過程中也是笑聲連連。這次廣告在中影文化城拍攝,讓張惠妹特別開心的是,由於片場鄰近有名的士林夜市,團隊特別準備了全套的士林在地小吃,天后開心直呼:「好像在豐年祭啊!」滿滿地檯子上擺滿了大餅包小餅、生炒花枝羹、蚵仔煎、大雞排、臭豆腐、鹹酥雞、士林大香腸和藥燉排骨等美食,她每一道都仔細地品嚐,和團隊渡過難得的宵夜時光。春節期間張惠妹拍攝的手遊廣告在電視強力放送5秒搶先版,只見天後即興用聲樂唱出「卡利茲」三個字,愉悅的天籟嗓音,讓粉絲瞬間顱內高潮,今廠商更透露遊戲已突破100萬人次預約大關,天后張惠妹果真「妹」力無窮。
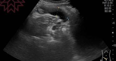
照大腸鏡驚見腫瘤…斷層曝「沒看到」他傻眼 醫見超音波呆住:7公分大香腸
一名40歲男子在1個月內到2間醫院做大腸鏡,第一家醫院說大腸有1顆2公分腫瘤,轉去大醫院又叫他再做一次大腸鏡,結果還是看到2公分腫瘤,然而斷層掃瞄報告又顯示沒看到腫瘤。患者不死心,又跑了第3間醫院,不料醫生用超音波一照,赫見腫瘤根本超過7公分,「很像士林夜市的大香腸」。禾馨民權健康管理診所院長林相宏在臉書透露,「這位40歲男性蠻特別的,應該是少數在『一個月內』被不同醫院做過『兩次大腸鏡』的病患,不過還是非常徬徨。第一家醫院說大腸有一顆2公分腫瘤,不知道是什麼;轉去大醫院,大醫院醫師又叫他再做一次大腸鏡,不過還是看到2公分腫瘤,還是不知道是什麼,建議做個斷層掃瞄」。醫見「7公分大香腸」傻眼。(圖/翻攝自胰臟醫師 林相宏臉書)林相宏提到,「結果報告出來居然說沒看到腫瘤,醫生說那只好要開刀進去,把大腸切掉1/2才知道答案,慌張地跑來我門診,尋求我的意見。我反覆看著大腸鏡和斷層掃瞄照片,心想這麼大的腫瘤,應該不用任何高階影像或是大腸鏡吧,超音波就看的到吧。隨手拿起最不侵入的工具一照,我的天啊!超音波下腫瘤根本超過7公分,很像士林夜市的大香腸」。醫師表示,「第一時間懷疑這是一種特殊的盲腸腫瘤(粘液囊腫mucocele),趁還沒破裂之前,只要腹腔鏡『盲腸切除手術』就可以根治。相反的,若是破裂,腫瘤就擴散出去,要剖腹手術而且預後很差。馬上轉診開刀,並且叮嚀不要有任何腹部碰撞,避免破裂,很幸運病患已經順利手術並且康復中」。
為當「人間芭比」注射30次玻尿酸 醫警告:再整恐有生命危險
保加利亞網紅伊萬諾娃為了實現成為「人間芭比」的夢想,她從2018年開始整形,在自己的嘴唇注射30次玻尿酸,過於豐滿的厚唇看起來像兩條掛在臉上的大香腸。醫生曾警告她,嘴唇太大可能會堵塞住鼻孔的呼吸,如果再繼續整形恐怕會有生命危險。除了嘴唇外,伊萬諾娃的臉頰與下巴也都有施打填充物,先前更透過隆乳手術獲得傲人E奶,但她仍認為還不夠,計畫前往國外再次進行隆乳手術,整成理想中的H罩杯。
她猛打30次玻尿酸「巨唇大到堵鼻孔」! 醫警告:再整小命不保
保加利亞一名23歲網紅伊萬諾娃(Andrea Ivanova)從小就嚮往成為「人間芭比」,為此她在嘴唇上注射了30次的玻尿酸,唇部宛如掛著2條大香腸。伊萬諾娃的嘴唇已經大到快要堵住鼻孔了,醫生警告,「再整下去可能有生命危險。」然而,光是豐唇還不夠,她更計劃前往土耳其或德國進行隆乳手術。據《太陽報》報導,伊萬諾娃於2018年開始整形,目前她已經在嘴唇上共注射30次的玻尿酸,她自稱具有全世界最豐滿的厚唇,而臉頰與下巴也都有施打填充物。不僅如此,先前伊萬諾娃已透過手術擁有傲人的E奶,如今她更計劃前往土耳其或德國再次進行隆乳手術,整成她理想中的H罩杯。儘管豐滿的嘴唇為生活帶來諸多不便,但伊萬諾娃仍認為還不夠,醫生更曾警告過她,嘴唇太大恐會堵塞住鼻孔的呼吸,且會引起疼痛等後遺症,如果繼續整型「可能會有生命危險。」伊萬諾娃經常在IG上大曬性感豐唇,吸引逾2萬名粉絲追蹤,她表示,每天都會收到來自不同國家的私訊,甚至有些人還邀請她出國旅遊,其中也不乏批評者,「人們總是轉過頭來看著我,且竊竊私語的交談,有些人甚至指手畫腳,議論我的外貌。」然而,伊萬諾娃還是相當滿意她的整形成果,「無論走到哪裡,總會有人想要跟我和照,這真的是太棒了。」
謝金燕低調現身雄蛋巡禮 狂吃夜市18道美食
謝金燕本月2日將在高雄巨蛋舉辦《2022 TURN口罩 世界巡迴演唱會-高雄站》,她特別提前10天突襲港都,展開旋風式36小時「巡蛋」之旅,首次以觀光客心情跑遍大高雄的她首站當然就來到高雄巨蛋,決定用「粉絲」的角度好好地欣賞自己演唱會場地外觀之美。平常總是有保母車直接進停車場的她第一次有機會近距離好好逛高雄巨蛋周邊,第一個景點就是跑到高雄巨蛋正門口拍照,開玩笑說:「平常都走後門,第一次走正門,原來巨蛋門口長這樣。」還當起街頭網美跑到二樓天台上盡情擺拍,以及在捷運「巨蛋站」入口拍照留念。她也笑說:「能在捷運入口拍照算是了結我一樁心願,成就解鎖!很希望忙完之後有機會坐坐看捷運。」特別提前開唱前10天突襲港都,謝金燕在高雄展開旋風式36小時「巡蛋」之旅。(圖/開麗提供)趁著彩排空檔安排36小時旋風「雄蛋巡禮之旅」,酷愛小吃類美食的謝金燕跑遍六合、瑞豐、西子灣等夜市,吃了包括烤鮭魚、乾煎雞胸、鴨肉飯、火焰豬腳、滷味、炸大魷魚、紅茶牛奶、半熟蛋三明治、烏魚腱、麻辣小龍蝦、東山鴨頭、烤玉米、鵝肉、大香腸、軟絲、螺肉、海蝦、燒酒螺等共18樣美食,被經紀人虧說:「只要到高雄,這些心心念念的美食一定都要吃到!姐姐的胃根本是無底洞。」
黃明志手捧大香腸 與辣妹一起「極樂台北」
大馬創作鬼才黃明志第四度與台北市政府觀光傳播局合作擔任代言人,共同推動台北市觀光,這次結合新歌〈你不認識我〉,在MV中將台北市17個場景,設計成最佳約會地標。黃明志在MV中化身時間管理大師,與女直播主組合「奇樂女孩」的10名女生大談戀愛,分別是芽兒、小莎、小天、金金、關關、鳥鳥、允妍、俏喜、暄澄、檸寧。期待這首歌能成為2021年K歌金曲,為臺北作最佳的觀光宣傳,也讓星馬及全球朋友,都能感受到臺北多元豐富的城市魅力。黃明志與「奇樂女孩」一起拍攝〈你不認識我〉MV,推廣台北觀光。(圖/亞洲通文創提供)黃明志分享寫這首歌曲的概念是以男女對唱的小情歌來創作。早期很多人在KTV一定必點許多對唱歌曲,像是〈你最珍貴〉、〈屋頂〉和〈製造浪漫〉等等,其實隔了蠻多年,漸漸覺得這類型的男女對唱情歌越來越少了,比較多的都是齊唱。情歌對唱是包括有合音的部分,近年來真的比較少這樣的作品。〈你不認識我〉也是代表一個遊客的心情,去到一個陌生的地方,互相都不認識彼此,或許旅途中會認識一些意想不到的人。 黃明志第四度與台北市政府觀光傳播局合作擔任代言人。(圖/亞洲通文創提供) 比較特別的是影片一開頭剛好配合最近的台灣同志遊行,所以特地去到了台北市政府前的彩虹步道拍攝,甚至拉隊到著名夜店、書局、飯店和夜市呈現這個美麗的城市,到處找適合的景點約會把妹。黃明志説:「到台北,除了美食和看美女之外,來台北一定要泡溫泉,尤其在冬天的時候真的很舒服。台北泡溫泉有分公共和帶朋友去的,尤其是情侶泡湯更是浪漫紓壓。」在MV 中和台灣美女談戀愛大享豔福,並獻出螢幕初吻和壁咚場景,畫面看起來療癒,但事實上非常尷尬,因爲首次和奇樂女孩合作,不是很熟悉。關於螢幕初吻,黃明志坦言,因為對方的確真的很漂亮,但是又不能真的吻下去,真的蠻辛苦的。 黃明志第四度與台北市政府觀光傳播局合作擔任代言人。(圖/亞洲通文創提供) MV結尾彩蛋超噴飯,就是黃明志誤把別人女友被正牌男友抓包,上演「小王」情節。黃明志說:「誤把別人女友這個經驗是不可能有的,因為男生都會怕麻煩,除非真的是在不知情的情況下被欺騙了。在交往前一定會瞭解清楚對方是否單身,才進一步決定是否要追求對方。」這次MV在上架之後立即獲得高點閱與粉絲大量的討論,表示台北真得是充滿戀愛氛圍的地方。黃明志感性分享:「台北真的是我第二個家鄉,是一個讓人努力打拼的地方,打拼的同時卻沒有多餘的麻煩來影響打拼,所以這個地方包含了乾淨,安全,便利,包容。打拼雖有壓力,但在打拼的過程中漸漸體會到台北的好。」
士林夜市12日晚間突不斷跳電 原因不明、客人摸黑吃飯
台北市士林區的士林夜市,是許多觀光客必訪夜市,也是全台規模最大的複合性夜市,人潮經常絡繹不絕。12日晚間7時許,士林夜市整條街突然不斷跳電,現場瞬間一片漆黑,許多正在夜市用餐的客人因此只能摸黑吃飯,目前仍未知跳電的真正原因,有待進一步釐清。士林夜市為台北市最具規模的夜市之一,以陽明戲院及慈誠宮為中心,包含了文林路、大東路、大南路等熱鬧街市集結而成,其中士林市場早在西元1910年即已興建,以各種傳統小吃聞名國內外,許多觀光客皆慕名而來,像是大餅包小餅、石頭火鍋或士林大香腸等,更已成為美食地標,遠近馳名。
辣妹深夜調情「找大香腸」 阿信妙回…加碼揭開「斷奶真相」網笑炸!
最近不少藝人、名人的臉書、IG,都遭到色情假帳號入侵,不但狂洗版,還留下許多帶有性暗示的色情留言,讓不少藝人很苦惱,但也有人苦中作樂,真的跟這些「假帳號」對話。繼日前網紅蔡阿嘎幽默回應這些色情帳號;昨晚五月天阿信,在IG上PO了《孫悟空》的現場live影片,帳號也被色情留言入侵,但他展現高EQ的幽默神回覆,讓許多粉絲當場笑翻,紛紛跑來朝聖。五月天阿信面對色情假帳號,幽默神回笑翻粉絲。(圖/翻攝IG)昨天深夜有假帳號在阿信的IG上留言:「特別是我的胸部,你喜歡嗎?嘻嘻。」阿信則幽默回擊:「我一歲多就斷奶了,謝謝您的體貼與胸襟」,笑炸一票粉絲;另一個假帳號則留下曖昧調情訊息:「誰可以用長而大的香腸滿足我的需求?」阿信搞笑回:「您可以去士林夜市看看。」粉絲看了全部笑到不行,他還無辜留言:「你為什麼笑我?」隨後阿信在限時動態再度宣傳《孫悟空》的影片,並幽默回應這些假帳號:「我的IG留言多了好多外國女生關心我。」其實最近除了阿信,像是楊丞琳、蕭敬騰等藝人,社群平台都遭這些色情假帳號洗版,網紅蔡阿嘎先前也幽默的回應這些帳號的留言,同樣創造不少話題。
艾怡良 烏來爽泡嗑香腸
金曲歌后艾怡良去年7月戀上藍眼洋男新歡,一同爽嗑麻辣鍋,去年11月1日就被本刊再度直擊,十指緊扣到烏來進行「深度溫泉之旅」。才短短3個月,小倆口的活動就從嗑鴛鴦鍋升級到戲水鴛鴦,關係突飛猛進。當天下午2點多,艾怡良和藍眼洋男自新北市永和家中走出,32歲的她即使素顏、身穿黑色帽T搭配灰色運動褲,仍掩不住天后氣場。接著便由洋男駕駛悍馬車直奔新北市烏來,進行親密的泡湯之旅。(圖/本刊攝影組)2人下車後,在男友面前毫無偶包的艾怡良,打了個超級大哈欠,十分做自己。途中艾怡良似乎餓了,先吃了根大香腸補充體力,接著便前往「明月溫泉」來上一泡。2個多小時的鴛鴦戲水結束後,小倆口心滿意足地步出溫泉會館,方才吞過大香腸的艾怡良,似乎沒被餵飽,再度走回烏來老街買了些水果,才和男友一路十指緊扣,心滿意足地打道回府。(圖/本刊攝影組)(圖/本刊攝影組)