左上腹痛
」
藏了80年的祕密!阿嬤竟是「鏡面人」 醫師驚嘆「這是萬分之一的機率」
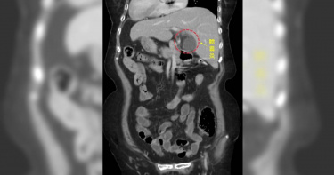
一位80歲左右的阿嬤,因左上腹痛來中國醫藥大學新竹附設醫院急診,左上腹痛一般應是胃痛或大腸發炎,做了電腦斷層發現阿嬤是一個「鏡面人」,所謂「鏡面人」就是他的內臟等器官跟一般人的位置顛倒,經過一般外科古君平醫師診斷,阿嬤是急性膽囊炎。「鏡面人」左右顛倒的內臟是外科手術挑戰,古君平醫師首次遇到,一般膽囊手術需約半小時即可完成,這次手術花了一個半小時才完成,透過腹腔鏡微創手術,順利切除膽囊,術後兩天就順利出院。古君平醫師表示,所謂的「鏡面人」包括腹腔、胸腔內器官的位置與一般人剛好相反,例如一般人心臟脾臟在左邊,肝臟位於右邊,鏡面人心臟脾臟在右邊,肝臟在左邊,就好像正常人的鏡中影像,故出現「鏡面人」的稱呼。這是一個罕見的遺傳病,發生率大約是萬分之一左右,不過內臟功能跟一般沒什麼差別,所以只要沒有生病沒做檢查,一般人不會知道自己的內臟跟別人的位置不一樣,這次阿嬤因為急性腹痛做電腦斷層,才發現他的內臟跟一般人相反。古君平醫師表示,所謂的「鏡面人」包括腹腔、胸腔內器官的位置與一般人剛好相反。(圖/中醫大新竹附設醫院提供)因為鏡面人的特殊性,醫師診斷需特別小心,否則可能把病患左上腹痛當成是胃痛治療,實際上膽囊炎,發生誤診,尤其在施以手術時,與醫生的熟悉手勢有所不同而增加難度。膽囊切除是一個很常見的手術,膽囊功能儲存膽汁,膽汁是肝臟製造,所以膽囊切除之後,肝臟還是會正常分泌製造膽汁,因此,阿嬤切除膽囊,對她的生活並不會有太大影響。大部分的人可能在術後一個月左右會有容易拉肚子的情形,不過,等肝臟適應這種情況後,就可以恢復正常生活。古君平醫師指出,膽囊結石或膽囊炎是一個膽囊結石的情況,,膽囊結石如果塞住,膽汁分泌不出來就會腹痛,膽結石最常出現在臨床上,有四個好發族群,我們稱之4F,第一個F(Female)女性,第二個F(Fat)肥胖的人,再來就是年紀Forty第三個F四十歲,最後一個F是多產婦(Fertile),因此,四十歲左右肥胖的多產婦女可能比較容易有膽結石。會建議有這樣風險的族群,少油膩少油炸,三餐盡量正常讓膽汁、膽囊順利工作,比較不會有膽汁淤積或膽結石的風險。
連續腹痛1個月!高中弟「感覺0便意」小腿癱軟 正妹醫曝:恐怖位置長1顆
現在學生課業繁重,常因此忽略身體警訊,總是拖到無法忍受才就醫,容易造成難以挽回的後果。一名16歲高中生因腹痛長達1個月,且兩側小腿越來越無力,經中醫治療後仍沒有起色,只好到兒科就診;不料醫師進行神經學檢查後,發現患者腰部區域麻木,甚至感覺不到便意,驚覺大事不妙,最後果然檢查出腫瘤。正妹兒科醫師唐子涵近日在臉書粉專分享個案,「這幾天,一如往常有個16歲小孩,主訴也是來看腹痛,但在他步入診間時,我發現他走路步態不穩,媽媽說,小孩覺得左上腹痛大概一個月了,合併這陣子兩側小腿也越來越無力,媽媽都帶他去針灸跟推拿,但完全不見起色,甚至越來越無力,推拿師傅請媽媽帶來看醫生」。聽完患者問題後,唐子涵隨即對他進行神經學檢查,「發現雙下肢肌肉力量下降,且整個腰部區域都是麻木的,小朋友說這幾天都沒有感覺到便意」,研判自主神經已受到影響,絕對不只是單純的腹痛,於是她趕緊開立轉診單,請對方立即去大醫院找小兒神經科,做進一步檢查及治療。唐子涵透露,經醫院追蹤,透過核磁共振確定少年的胸椎長出腫瘤,導致神經受壓迫,才會出現腹痛、局部麻木等症狀,「小孩已經接受手術治療,詳細的病因要等術後病理報告,才有辦法決定進一步的處置。」醫生提醒,不論大人小孩,若有背痛或腹痛,伴隨身體麻木、失禁、無法緩解的疼痛時,一定要盡快就醫檢查。