巨結腸
」 便祕 手術 腹痛
便秘4個月沒排便!他腹部腫大「如懷胎10月」 開刀取出10公斤重壞死結腸
長期便祕到差點喪命!大陸江蘇南京一名40歲柏姓男子,患有「先天性巨結腸症」,因害怕開刀,竟拖到4個月都沒有排便,讓腹部腫到像「懷胎10月」的孕婦。經過3小時的手術,醫生從柏男的體內取出2公尺長、10公斤重的壞死結腸,畫面相當駭人。根據陸媒《荔枝新聞》報導,柏男一直嚴重的便秘問題,因為害怕手術和創口,他只選擇了保守治療,沒想到愈拖愈嚴重,他長達4個月都未能排便,才終於到醫院報到。南京江北醫院院長嵇振嶺表示,該患者平躺在手術台上,腹部膨脹、隆起,猶如一個懷胎10月的孕婦,「整個腸子在肚子裡面,盤起來就像一條蟒蛇一樣,可能有2、3公尺」。嵇振嶺說到,經影像及臨床評估,發現該患者的結腸直徑擴大至30公分,且部分組織已出現壞死,功能也已喪失。經過3小時的手術,醫師從患者體內取出2公尺長、重達10公斤的壞死結腸,所幸在醫院的治療照顧下,患者恢復情況良好。南京江北醫院普外科副主任劉宗航也指出,其實早就為該患者安排好手術,但患者比較糾結、猶豫,2次選擇延期手術,但這次因為病情特別嚴重,正常的結腸大約3到5公分,該患者的結腸直徑已經有約30公分,「疾病拖延太久,結腸已嚴重病變,失去了正常的結構及功能。如果再不手術,柏先生將會有生命危險」。嵇振嶺說明,結腸主要有吸收水分跟排便的功能,結腸的淤積如果排不出來,會變成「腸阻塞」,若細菌通過黏膜的屏障,就會產生中毒作用,「病人4個月不排便,所以說也不能吃飯,就靠掛水(吊點滴),營養很差,很消瘦」。醫師再次提醒,「巨結腸」主要表現為腸腔擴張、腸道功能紊亂等等,嚴重時可引發腸阻塞」、感染,還可能導致腸破裂,危及生命安全,若患有「先天性巨結腸」,務必要及時進行內科治療,若拖延到結腸壞死,任何藥物都難以解決。
60歲男潰瘍性結腸炎擅自停藥 「血便、休克」搶救後脫離險境
60歲男子長期有潰瘍性結腸炎疾病,因工作忙碌未按時服用藥物,日前病情復發引起嚴重腹痛以及解大量鮮血血便,送至中國醫藥大學新竹附設醫院急診,一度出現休克狀況,當時血壓下降至70多,心跳120/min,經急診搶救,給予點滴以及止血藥物。再由大腸直腸外科醫師蘇俞豪給予藥物治療,包含大劑量抗發炎藥物、類固醇、以及止血劑等,病患住院兩周,免開刀,終於脫離險境並且順利出院。大腸直腸外科醫師蘇俞豪表示,潰瘍性結腸炎是一種慢性發炎性腸道疾病,主要影響結腸和直腸黏膜,常伴隨腹瀉、腹痛、血便等症狀。出血是此病常見的併發症,主要是因黏膜潰瘍破裂,如果是急性發作期病情會惡化,引起其他併發症,如中毒性巨結腸、腸穿孔、或結腸癌等,也會引起出血。另外,長期使用類固醇或抗凝劑也可能增加出血風險。大腸直腸外科醫師蘇俞豪指出,潰瘍性結腸炎好發於15-30歲年輕成人,其次為50-70歲族群。家族有病史、生活飲食長期食用高脂、高糖風險亦較高。急性發作期建議以低渣低纖維飲食為主,並且適當補充水分、熱量飲食以及蛋白質,病情穩定時則建議適量增加膳食纖維,也可以補充益生菌以及適量的健康脂肪omega-3,盡量避免加工食品或刺激性食物、規律作息、減少壓力,搭配醫師建議的藥物治療,才能有效減少發作、維持緩解期並改善生活品質。大腸直腸外科醫師蘇俞豪建議,若是有下列狀況,應立即就醫,第一,大量鮮紅色血便,持續不止。第二,嚴重腹痛、持續性嘔吐、無法進食或排氣。第三,暈眩、心跳過快、低血壓、意識模糊疑似休克。第四,高燒38.5°C以上伴隨腹痛。治療期間也應遵從醫師指示用藥,切勿自行停藥造成病情更嚴重惡化。
29歲女便祕20多年險撐爆肚子 醫開刀挖出「巨蟒腸」單手握不住
大陸杭州一名29歲王姓女子從小至今,20多年來飽受慢性便祕折磨,每星期只排便一次。直到最近王女發現她的肚子越來越大,還時常伴隨劇烈腹痛,就醫後才發現是「巨結腸症」,腹部被結腸撐開,切除1公尺左右壞死的腸子,連單手都握不住,相當驚人。綜合陸媒報導,王女透露自己20多年來飽受便祕所苦,每星期才排便一次,肚子還會疼得死去活來;即便王女嘗試過各種方法改善,但便祕的情況都沒有好轉,反之越來越嚴重。王女不久前生產後,肚子卻越來越大,腹痛的程度比先前更加劇烈,因此決定去醫院檢查,被確定是罹患「巨結腸症」,劇烈腹痛則是因為腸阻塞導致結腸壞死,醫師表示她必須進行手術治療。在手術中,醫師發現王女的結腸宛如一條巨蟒,已經快撐爆她的腹腔,得用兩隻手才能握住;而王女已經有部分腸壞死,切除了1公尺左右的腸子。而報導中醫師直言,王女這樣的情況不罕見,巨結腸最典型的病徵就是腹脹、便祕和大腸擴張;醫師也說,只要通過適當的飲食調整,和簡單保守治療就能緩解,因此民眾有嚴重便祕,一定要盡早去醫院做檢查。在馬偕醫院2023年的衛教資訊,也分享過有關巨結腸症的介紹,表示巨大結腸症是腸子內缺少神經節細胞,使腸子無法正常蠕動而阻礙了糞便移動,在此段無神經節的腸子前段,為了克服下段的組裡而造成上段腸子擴張與腸壁肥厚,即所謂「巨大結腸」。
女深受便秘所苦20年 手術取「巨蟒結腸」2手才能握住
中國杭州有名29歲的王女士已被慢性便秘折磨20多年,經常1周才排1次便,常導致她肚子痛的死去活來,儘管她用盡各種方法治便秘卻起不到任何成效,生產後王女的肚子越來越大,去醫院檢查為成人巨結腸,手術中,王女的結腸如1條「巨蟒」一般,要2隻手才能握住,畫面十分驚悚。據陸媒報導,王女生產後的肚子越來越大,還會突發嚴重的腹痛,去醫院檢查後確認為成人巨結腸,而其腹痛有可能是腸阻塞導致結腸壞死。在手術中,王女的結腸撐滿了整個腹腔,如一條「巨蟒」一般,甚至要2隻手才能握住,經醫生評估,由於已經發生了腸壞死,所以只能切除1公尺左右的腸子。對此,醫生表示,像王女這樣的病例並不少,巨結腸最典型的表現就是腹脹、頑固性便秘及大腸擴張等。若想緩解便秘,可透過適當的飲食調整或簡單保守治療,但如遇到反覆不治的頑固性便秘,必定要儘早去醫院做檢查,提早治療。
嚇人!16斤女嬰肚子長「5斤多大腫瘤」 腹腔內器官全錯位
小寶寶才8個月大,肚子裡竟長了個5斤多重的大腫瘤!從做手術開始,寶寶經歷的一切簡直不敢想像,可謂九死一生。大陸福建省廈門市8個月大的女嬰妙妙(化名)體重16斤,腹中藏著一個重達5斤多的腫瘤,霸占了整個腹腔的80%,使得腹腔內所有器官全部錯位。綜合陸媒報導,在福州市第一總醫院兒童專科院區(福建省福州兒童醫院)一場生命的奇跡正在被書寫。妙妙來自廈門,是個早產兒,儘管已8個月大,但體重僅為8公斤。出生時,她因早產和低體重在外地醫院接受了43天的NICU治療。出院後,家人發現妙妙肚子脹脹的,胃口也不佳。家人先後求診於多家醫院,有說是消化不良的,也有說是先天性巨結腸的,但始終未能給出明確的診斷。在朋友的介紹下,妙妙父親帶她來到了福州市第一總醫院兒童專科院區(福建省福州兒童醫院)的普外科找到了主任黃聖余。經過仔細體檢,黃聖余懷疑妙妙的腹腔內長著一個巨大的腫瘤。為了確診,術前妙妙接受了腹部彩超檢查。結果顯示腫瘤約一個胎頭大小,占據了整個腹腔的4/5空間。醫院幫妙妙制定了完善的手術方案,配備經驗豐富、業務精幹的團隊帶著妙妙一路闖關。妙妙全身總血量約640ml,術前預估腫瘤重量約2.7kg,約占血量200ml,足以使她發生低血容量休克。手術中,圍繞妙妙腹中腫瘤的取放,主刀醫生黃聖余和麻醉醫生林劍鳴在3小時的手術過程中,不間斷地出現5次由於血壓、脈搏及血氧飽和度無法維持而暫停手術。16斤女嬰肚子長5斤多大腫瘤,腹腔內器官全錯位。(圖/翻攝自微博)此次手術極為複雜,為了避免術中誤傷重要器官及減少手術創面滲血量,黃聖余的左右手配合得無懈可擊,最終開腹手術中肉眼可見的出血量少,約30ml,手術順利完成。接下來妙妙在PICU(兒童重症監護室)內的13天挑戰更是險象環生。術後,大量血液積聚在腹腔解除壓迫的血管,使得正確評估補液量成為了一大難題。經過臨床密切觀察與仔細評估,醫生最終確定妙妙體內液體容量嚴重不足。在多次擴容、糾正電解質及酸堿失衡等治療後,妙妙體內的血容量不足得到了糾正,手術當日,補液量高達3000ml,超過了一個成人的補液量。妙妙出現多尿、乳糜腹水及肺部感染等症狀,每日尿量高達1300ml,使得術後病情變得極度複雜。黃聖余剛回到家休息又奔向醫院,與PICU及麻醉科醫生們一起搶救,再次將妙妙從死神手裡搶了回來。目前妙妙已經康復出院。醫生提醒,日常生活中要留意孩子的身體變化,睡覺或洗澡時有意識地撫摸孩子全身。在孩子頸部、腋下、腹股溝、腹部、後腰部等部位一旦發現腫塊,須查明原因,早發現早治療。
女子便祕10天肚子成腫塊送醫 手術竟取出「20公斤」糞便
8月7日中國浙江杭州一家醫院公布一起病例,一名53歲的女子因便秘10多天,家人摸出肚子硬塊,便將女子送醫,術後竟取出近1公尺約20公斤的糞便,消息一出,引發網友熱議。53歲女子長期飽受便秘的困擾,表示近5年更加嚴重,各種通便方法都試過,卻沒有得到改善,近期女子感到腹部脹痛、胸悶氣閉,5到6天才能勉強排一次便,這次已便秘10多天,讓女子的肚皮隆起,家人觸摸後發現有結成硬塊的大便形狀,才將女子送醫治療。經醫院檢查,女子遠端結腸腸管狹窄,蠕動功能減弱或消失,進而讓糞便通過不順暢,積在近端結腸腸管,導致腸管嚴重擴張,直徑超過20公分,讓女子的肝臟、胃、小腸等器官遭擠壓移位。醫生診斷為「巨結腸」,需進行手術取出糞便,術後近取出約20公斤的糞便。貼文發出後,網友們感到震驚不已,「一下子瘦了20公斤」、「我也拉過一次,超長超粗的,差一點暈過去,極為難受」、「4個我的貓」、「醫生真的不容易」、「這大蟒蛇應該風乾保存起來,警示大眾關注腸道健康」。
幼貓骨盆狹窄致便秘!新北動保處獸醫自製「這一物」解便秘助行走
骨盆狹窄導致便秘問題,發生在一隻幼貓「袞袞」的身上。民眾將袞袞送往新北市動保處尋求幫助,經過檢查後,確認為骨盆狹窄導致排便困難,動保處獸醫自製撐開器,決定為牠手術解決便秘問題,術後袞袞恢復良好。目前正在中和動物之家貓舍等待領養。拾獲袞袞的民眾曾小姐表示,袞袞是在中和區拾獲的,當時牠大約三個月大,還是幼貓。在照顧期間,發現牠有便秘情況,便帶牠去動物醫院進行X光片檢查,檢查結果顯示,因為牠的骨盆腔之前骨折而變狹窄,才會有排便問題。將袞袞送到動物之家後,獸醫師黃繼霆再幫牠拍一次X光片,確認牠的情況後,立即幫牠浣腸,同時給予軟便劑,以免再次發生便秘問題,甚至導致巨結腸症的情況。獸醫師確認牠的狀況後,立即幫牠浣腸,同時給予軟便劑,以免再次發生便秘問題,甚至導致巨結腸症的情況。(圖/新北市動保處提供)直到五月份,袞袞逐漸長大為成貓體型,在這段期間,他們發現袞袞的左後腳開始出現跛腳的狀況。經過檢查發現,這是之前因骨盆骨折所導致的髖關節問題,股骨頭脫出摩擦所引起的疼痛,讓牠不太敢使用這隻腳行走。到五月份時,他們發現袞袞的左後腳開始出現跛腳的狀況。經過檢查發現,這是之前因骨盆骨折所導致的髖關節問題,股骨頭脫出摩擦所引起的疼痛,讓牠不太敢使用這隻腳行走。(圖/新北市動保處提供)為了解決袞袞的問題,獸醫師黃繼霆首先進行了股骨頭/頸的切除手術,待傷口痊癒後,再處理牠的骨盤腔狹窄問題。翻閱了許多相關資料後,獸醫師決定自製撐開器來增加骨盆腔寬度,這個撐開器最後也使骨盆腔的寬度從原本的14.9mm增加到17.2mm。術後,袞袞恢復良好,不需再服用軟便劑,排便狀況正常,也開始敢使用左後腳行走。獸醫師決定自製撐開器來增加骨盆腔寬度,撐開器最後也使骨盆腔的寬度從原本的14.9mm增加到17.2mm。術後袞袞不需再服用軟便劑,排便狀況正常,也開始使用左後腳行走。(圖/新北市動保處提供)目前牠正在中和動物之家貓舍等待有心人領養。動保員林廷昂表示「袞袞畢竟經過兩次大手術,照顧牠仍需比正常貓咪付出更多時間和耐心,期待有適合的認養人出現帶牠回家。」新北市動保處表示,近年來新北市各動物之家積極推廣犬貓認養,高齡、身患殘病、長期收容犬貓都可適用回春雙響炮方案,從新北市8間動物之家認養符合以上條件犬貓,可享有寵物終身免費健檢、免費輔具、特約長照動物醫院醫療優惠、寵物離世火化樹葬等多項福利,讓認養人減少負擔不用擔心經濟壓力。
3/21世界唐氏症日 帶你了解唐寶寶的世界
「唐寶寶炸物事件」前陣子鬧的沸沸揚揚,到底唐氏症是什麼?有什麼症狀?根據國健署資料,唐氏症是一種最常見的染色體異常疾病,也是導致智能障礙的最主要病因。聯合國將3月21日訂為「世界唐氏症日」,來看看童綜合醫院兒童醫學部范洪春醫師的詳細解說,帶你了解唐寶寶的世界。Q:什麼是唐氏症?A:人體正常細胞有23對染色體,而唐寶寶的第21對染色體多了1條,也就是說有3個染色體21(trisomy 21),因此「世界唐氏症日」訂為3月21日。Q:唐寶寶外觀有什麼特徵?A:唐寶寶外貌上有許多異常,頭頸部多為顏面扁平、內眥贅皮、瞼裂斜向上、白內障、弱視、小耳、鼻樑扁平、吐舌、咬合問題、脖子短;肌肉骨骼:枕骨扁平、寰枕關節不穩定、手小或斷掌、第5小指短、大拇趾與二拇趾間距增寬、矮小肥胖;腸胃系統:氣管食道瘻管、十二指腸閉鎖、環狀胰臟、先天巨結腸症、無肛症等。Q:唐氏症還會有哪些症狀?A:唐氏症的症狀包括神經系統:肌張力低下、發展遲緩、抽搐、智能障礙、認知問題、情緒問題、很年輕就會開始癡呆退化;心血管系統:心內膜墊缺損、心房中膈缺損、心室中膈缺損骨、開放性動脈導管、法洛氏四重畸形、異生性鎖骨下動脈、肺高壓;內分泌:甲狀腺功能低下、男性不孕;免疫功能缺損,容易受病菌感染生病;血液系統:白血病。台灣每1,263個新生兒就有一個是唐寶寶,他(她)們的壽命比我們一般人短,大約到60歲,但是他(她)們的醫療成本是一般人的10倍以上。Q:唐氏症無法痊癒,可以用哪些方式治療、復健或開發功能?A:因為唐氏症的症狀非常多且複雜,症狀遍及全身,需要看心臟科、腸胃科、神經科、內分泌科、牙科、眼科、身心科等,另外還有物理治療、職能治療、以及語言治療等,及早診斷以及早期復健,希望能改善和減緩他(她)們的失能、障礙和退化,目標希望能讓唐寶寶能發展出自理的能力。Q:哪些孕婦為生下唐氏症的高風險族群?A:資料顯示20歲的女性懷孕,生下唐寶寶的機率僅1/1528,30歲孕婦的機率約為1/909。到34歲懷孕生下唐寶寶的機率就可達1/270,40歲高達約1/70,45歲更高,高達約1/7。也就是說,受孕時年紀越高越容易生出唐寶寶,而且現在台灣的社會,整體生育年齡往後延,生下唐寶寶的機率也越高。建議34歲以上的孕婦於妊娠16到18周時接受羊膜穿刺或羊水檢查。Q:我的孩子是唐寶寶怎麼辦?A:家長一但得知孩子是唐寶寶,心理衝擊都很大。主要是家長最辛苦,除了帶孩子到醫院接受治療與復健,可以尋求社工,也可以向唐氏症基金會與唐氏症關愛者協會尋求協助。唐氏症基金會以結合唐氏症者家庭、學者、專家及關心唐氏症者之人士與團體,共同促進醫療、護理、保健、早期療育及職能訓練等專業研究執行與諮詢,進而爭取唐氏症者全生涯照顧的各種權益與福利,並加強預防宣傳,以期協助減輕國家負擔,服務社會。唐氏症關愛協會提以結合唐氏症者家長監護、關心唐氏症者人士團體及學者專家共同促進教養經驗、解決社會問題為宗旨。以其經驗之溝通或護理保健之諮詢,早期療育之推展及就業、就養等服務之促進,進而爭取唐氏症者合法權益與福利,以期協助國家減輕負擔。Q:如何把握3歲前早療黃金期?A:發展遲緩指未滿6歲之兒童,在知覺、認知、動作、溝通等各方面發展較同年齡者遲緩。我國於民國83年所修訂兒童福利法中,明確指出對發展遲緩之特殊兒童,建立早期通報系統,並提供早期療育服務。政府亦於民國86年開始在各醫院成立早療聯合團隊,依兒童及其家庭需求,提供療育、諮詢及其他(她)相關服務等,協助發展遲緩兒童發揮最大潛能。由於小孩子在0~3歲是發展最快速的時期,因此這個階段對發展遲緩兒來說也是治療的黃金期,因為3歲以前做早期療育一年的功效是3歲以後的10倍以上。唐寶寶有一個特點是肌肉張力不足,所以有足夠的運動量是很重要的,幫他(她)們訓練肌肉。除此之外,包含語言能力、學習能力,也都需要有專業人士以及有愛心與耐心的家長和社會人士幫忙,希望能發展出自己照護自己的自理能力,我們建議在出生後一發現是唐寶寶就可以進入早療體系,由早療專業的醫師、治療師等醫護人員來協助、希望唐寶寶都能快樂平安健康的長大。Q:我在路上碰到唐寶寶,要如何互動應對呢?A:很多人在路上看到唐寶寶,因為外觀問題會害怕。其實唐寶寶是外貌不討喜,全身都是病,但內心是善良喜樂的,非常善良,不會害人,有時候他(她)們被欺負或是被歧視的時候,他(她)自己反而不覺得怎麼樣,但是旁人看了會覺得很心酸,我們應該用包容、愛心和關懷和他(她)們相處,會發現他(她)們都是很愛笑的小可愛。Q:我可以如何幫助唐寶寶?A:推薦民眾可以看2部電影,1部為郭書瑤主演的《傻傻愛你,傻傻愛我》,另1個為《花生醬獵鷹的願望》,這兩部片都傳達了共同訊息,就是唐寶寶他(她)們其實是很天真善良沒有心機的。台灣的這個土地最溫暖的就是人情,我們希望大眾把這個溫暖,也無私的善待在其貌不揚但心地善良的唐寶寶們身上,讓這些唐寶寶能有更公平的對待、交往以及工作機會;我們呼籲政府除了對唐寶寶多投入照顧,除了安排訓練他(她)們的謀生技能與增進他(她)們的生活健康之外,也希望政府的長照政策,應該把家中有需要照護的遲緩兒像唐寶寶等另外考量,因為當父母老了之後,這些孩子可能成為父母體力上、精神上、經濟上的負擔,一旦父母老去,誰來照顧這些孩子呢?
便祕女「日吞100粒便祕藥」還是拉不出…積糞3kg 結腸像鬆垮熱水袋
不少人都有便祕的困擾,有些人還會吃便祕藥,幫助其排便,但小心,此舉恐治標不治本。大陸上海一名女子長期吃便祕藥,從1粒見效,到日吃100粒都沒效,經檢查才知她的結腸已失去正常生理功能,如同鬆垮的熱水袋,且積糞有3公斤之多。根據《澎湃新聞》報導,上海女子陳夢(化名)在閨蜜的推薦下,開始服用便秘藥「小粉丸」,從1粒見效到日吞100粒也沒用。她透露,一開始一天1粒效果非常好,不僅清腸,更有減輕體重的意外驚喜,但過了1個月後效果打折,使她不得不加大服用劑量,5粒、10粒、20粒,短短6個月,每天的服用量就達到驚人的100粒。陳夢表示,即便是如此大的用量,也僅能維持艱難的排便,每日被便秘和腹脹困擾的她越來越焦慮,不敢吃東西,體重跌到只剩37公斤。之後她只能選擇中斷國外學業,回國治療。經檢查,她的結腸已失去正常生理功能,如同鬆垮的熱水袋。上海市第十人民醫院結直腸病專科、腸道微生態診療中心醫師李寧表示,患者除了貧血、低蛋白血症等嚴重營養不良表現,她的腸道還存在嚴重的器質性病變,由於長期服用刺激性瀉藥,其腸道神經和平滑肌已不具備正常生理功能,結腸如同一個鬆垮的熱水袋,失去彈性,內部積存了大量糞便,經初步評估,積糞有3公斤之多。李寧說,「便秘患者的腸子就像耕田的瘦牛,長時間過量用藥是在不停地鞭打它們、強行讓它們走,打到最後牛就倒地不動了,而腸子一旦不動就有可能出現腸梗阻、巨結腸等嚴重的問題。」幸好經過8周營養干預和4個療程的菌群移植治療,陳夢體重上升到45公斤,並且恢復了正常的排便功能,不再需要依賴瀉藥輔助排便。李寧提醒,近年慢性便秘及相關併發症的發生率呈持續上升態勢,對於頻繁出現或持續時間較長的便秘,還是要選擇及時就醫,尋求專科醫師的幫助。
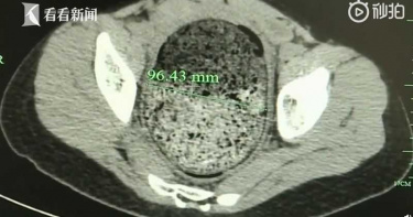
便祕30天!22歲嫩妹肚藏「10kg巨蟒」 切除近2公尺腸子
大陸哈爾濱一名22歲嫩妹小王,從小深受便祕困擾,每次進去廁所一待就是30分鐘、1小時,明明肚子脹得難受,卻怎麼樣都拉不出來,上大號沒有一次順暢過,沒想到近來小王便祕的狀況更加嚴重,最久曾30天沒有排便,嚴重影響到生活作息,最後緊急送進手術室治療。根據《看看新聞》報導,小王為了能順利大便,真的是用盡所有招數,不管是服用便秘藥,或是去灌腸,但在這1年以來,情況卻是越來越不妙,她久到1個月都沒有排便,最近3個月還頻頻腹痛,連飯都吃不下,整個人消瘦了近10公斤,嚴重營養不良,肚子也不正常鼓起。(圖/翻攝自看看新聞)近日在家人的陪伴下,小王終於前往醫院就診,哈醫大四院普外科三病房主任劉昶指出,病人剛入院的時候,腹部呈現不對稱性膨隆狀態,且情緒相當焦慮,有慢性中毒的現象,經全面檢查確認,小王罹患了「成人型先天巨結腸症」,最後透過腹腔鏡下全結腸切除術治療。歷經2個小時的手術後,醫療團隊從小王的腹部取出病變腸管,這一幕讓在場所有人都嚇壞,將近2公尺的腸子高度擴張,彷彿是一條「巨大蟒蛇」,其中還積存了大量糞塊,重達10多公斤,相當驚人。如今,順利完成手術並調整飲食後,小王終於能過上正常排便的生活了。
半個月沒大便!女高中生「子宮被擠扁」…灌腸一夜排出4公斤
大陸杭州一名女高中生,日前在上課途中腹部突然劇烈疼痛,嚇得老師趕緊將人送醫,她表示自己已經長達半個月沒有排便,腹部一直都有脹脹的疼痛感,經檢查才發現她罹患了先天性巨結腸症(Congenital megacolon),最後透過灌腸方式,排出了多達4公斤的糞便。綜合陸媒報導,透過X光及電腦斷層掃描發現,女高中生結腸明顯充氣擴張,並殘留了大量糞便,導致子宮及部分臟器受到擠壓而移位,於是隨即住院進行治療,主治醫師張宗祥替她安排了禁食、灌腸、通便等,一個晚上就排出了大約4公斤的糞便,患者的腹脹、腹痛明顯好轉。女高中生的父親表示,「我以前也知道女兒長期便秘的情況,但因為她沒出現過其他特別不舒服的症狀,我們都習慣了,就沒當回事。這次要來急診看病,我才意識到問題的嚴重性」,所幸經過幾天的藥物治療及調養,患者已漸漸恢復正常飲食,並且每天順暢排氣、排便。張宗祥醫師指出,先天性巨結腸症若不及時診治,會影響患者的生長發育和生活品質,嚴重的話會導致腸穿孔、腹腔感染,最後甚至會引發全身感染而危及生命,由於本次發病腸管糞便積滯情況嚴重,為了防止嚴重併發症,張宗祥醫師建議,患者應儘早完善檢查,並且開刀治療。
感謝捐髮助癌友 侯友宜自曝10天剪髮1次
【記者/黃福其】新北市「絲絲秀髮共織愛」捐髮助癌友活動,22日在樹林曼都髮型保安店邁入第4年,市長侯友宜特別前往致贈感謝狀,感謝捐髮者的愛心。他說,自己很想參與捐髮,但因有自然捲,每10天就要修剪 1次,不適合蓄髮助癌友,希望符合捐髮條件的民眾踴躍發揮愛心,幫助癌友度過治療期間。媒合捐髮活動的新北市議員洪佳君表示,捐髮活動迄今4年,服務處不定期就會收到民眾捐贈的頭髮,今天雖然她頭髮長度不夠,無法像第1年和第3年一樣親自捐髮響應,但在現場感受到的滿滿正能量,她會將活動持續推動下去。「長髮為君留、短髮為君剪」,曼都公司董事長賴淑芬表示,頭髮對女人來說代表愛跟承諾,且捐髮必須至少2到3年才能達到適宜長度,願意捐出頭髮做愛心,實屬不易。此次捐髮者共9人,其中一組是媽媽帶3姊妹一起參與,3姊妹中罹患先天性巨結腸症的小嘉,自幼因營養吸收不易,體質較為孱弱,隨著年紀漸長,身體狀況才較為穩定,因為自身經驗,小嘉希望能藉由捐贈髮束,為癌友加油打氣。市府社會局說,捐髮活動自105年首次辦理以來,受贈髮束已達147束,另外,「新北市好日子愛心大平台」今年6月17正式啟動,獲得各界善心人士響應,希望透過此次捐髮活動再拋磚引玉,讓大眾持續投入公益。看更多↓↓民進黨婦女部台東辦座談 卓榮泰:小英排名勝習進平俄轟炸機闖南韓領空 南韓戰機開火示警