感冒藥水
」 感冒藥水 彩虹藥水 幼兒園 巴比妥 板橋
藥品別拆裝!醫曝「出國帶藥10建議」:出發前最好回診諮詢
日前有1名台灣旅客前往韓國旅遊,在領取行李時發現行李箱被掛上黃色大鎖,隨後遭帶往海關小房間接受長達1小時的搜查。結果原因並非違禁品,而是行李中放有醫師開立的備用止咳藥,但其中所含成分在韓國屬於嚴格管制藥品,導致當事人險些被當成毒品販運者對待。對此,小兒科醫師柳雱邁也分享「出國帶藥10項建議」,強調這起事件足以提醒國人,各國對藥品入境的規範差異極大,稍有不慎,就可能讓期待已久的旅程演變為機場驚魂。柳雱邁醫師近日在臉書粉專發文指出,每逢年節或旅遊旺季前夕,前來門診要求開立出國備用藥的家長與慢性病患者明顯增加。身為臨床醫師,他理解家長對孩子在國外突發病況的焦慮,也明白慢性病患者對於藥物不中斷的依賴。然而,他強調,醫療需求必須與各國法規並行考量,否則即便持有醫師處方,仍可能因成分問題在他國觸法。柳雱邁也藉此分享「出國帶藥10項建議」。首先,攜帶藥品務必保留原廠完整包裝,不應自行拆散裝入夾鏈袋。原廠鋁箔排裝、藥盒或藥袋上清楚標示藥名、成分與劑量,是海關查驗時最直接的辨識依據,能有效縮短說明時間並降低誤解風險。第二,對於長期服用或醫師處方藥品,應事先向醫師申請英文診斷證明或處方箋。這類文件在法律上可證明藥物屬於醫療必需且為合法持有,是面對海關質疑時最具效力的佐證。第三,針對特定國家的成分限制,他以韓國為例指出,新聞案例中的止咳藥含有「Dextromethorphan」,此成分在台灣相當常見,但在韓國入境規範中卻屬高度敏感藥物。此外,含有「可待因」(Codeine)的咳嗽藥水亦需特別留意,因其在多國均列入管制範疇。這類差異顯示,即便在台灣屬於常規用藥,也不代表在他國能夠自由攜帶。第四,他也特別說明精神科與中樞神經相關藥物的嚴格限制。例如治療注意力不足過動症的「利他能」(Methylphenidate)、安眠藥與抗焦慮藥物,在日本與韓國等國家多屬嚴格管制品項。若攜帶數量較多,通常須事先向當地衛生主管機關提出申請,否則可能面臨扣押甚至法律責任。第五,至於日本輸入確認書的規範,柳雱邁說明,日本對藥品攜帶數量有明確上限規定,處方藥以1個月份量為限,非處方藥則為2個月份量。若慢性病患者因治療需求必須攜帶超過限額,或需攜帶針劑藥物如胰島素,必須在出發前向日本厚生勞動省申請「輸入確認書」,否則可能在入境時遭到攔查。第六,在航空安檢層面,他提醒家長特別留意液體藥劑的規範。兒童感冒藥水若單瓶超過100毫升且需隨身攜帶,應於安檢時主動出示醫師證明,其餘情況則建議託運,並確保包裝完整以防滲漏。第七,至於注射器與針頭等醫療器材,應保留原包裝並備妥英文診斷證明,同時在報到時主動向航空公司確認相關規定,以免因安檢誤判而延誤行程。第八,柳雱邁也嚴正提醒,藥品入境僅限自用,切勿替他人攜帶藥品或來源不明的包裹。即使出於善意,也可能因違反藥事相關法規而觸法,後果遠超一般旅客想像。第九,若對藥品成分是否符合目的地規範存有疑慮,應採取主動申報策略,在填寫海關申報單時誠實勾選藥品項目,並經紅線通道主動詢問海關人員。主動揭露通常有助於降低刑事責任或罰鍰風險。最後,他也呼籲民眾在出國前1至2週安排回診,與家庭醫師討論健康狀況與目的地國家規範,必要時調整藥物內容,並預留開立英文證明文件的時間。由於各國管制政策可能隨時調整,事前專業諮詢是最穩妥的做法。柳雱邁在文末也提醒,規劃旅程時除了機票與住宿,更應將隨身藥品的合法性納入考量。只要事前準備周全,遵守各國規範,便能在保障健康的同時,也確保通關安全無虞。
連吃5顆日本止痛神藥! 她胃破15大洞還出血
許多人到日本旅遊,都會前往藥妝店大採購,其中「止痛神藥」就是不少民眾的首選。不過,腸胃科醫師蕭敦仁就指出,一名35歲女性為了緩解經痛,連吃了4、5顆止痛藥,沒想到卻開始嚴重胃痛,照胃鏡才發現胃破了15個大洞還出血,因此建議民眾應取得醫師處方後再吃此類藥物。蕭敦仁近日在節目《醫師好辣》分享,這名35歲女子平常容易經痛,每次會吃1、2顆「日本止痛神藥」來緩解狀況,但某天她痛感太嚴重,接連吃了4、5顆止痛藥,結果疼痛感從原本的下腹部一路蔓延到上腹部,讓她嚇得趕緊跑去就診。後來,經過胃鏡檢查發現,她的胃破了15個洞還有大出血蕭敦仁說明,該女子吃的「日本止痛神藥」屬於非類固醇消炎止痛藥,成分是布洛芬(Ibuprofen),相當傷胃,服用後會破壞胃的黏液層,如果胃失去了黏液層,胃酸就會像散彈槍一樣打傷胃壁。對此,蕭敦仁呼籲,這類含有布洛芬的止痛藥不要隨便吃,最好經過醫師處方再服用。他也透露,他自己在家中只準備成分為乙醯胺酚的止痛藥,但同時提醒民眾即使是乙醯胺酚也不可過量服用,避免影響肝臟代謝功能。另外,食藥署官網曾說到,「日本止痛神藥」含有布洛芬成分,副作用可能會引起再生不良性貧血、胃腸出血等症狀、有些人可能會產生「史蒂芬強森症候群」(Stevens-Johnson Syndrome),有嚴重皮膚不良反應之風險。食藥署也指出,常見的市售止痛藥分為2種,一種是中樞止痛藥(乙醯胺酚類),另一種是非類固醇類消炎止痛藥,包含阿斯匹靈(Aspirin)及布洛芬,用來改善頭痛、經痛或肌肉疼痛等狀況。大部分的綜合感冒藥、感冒藥水及退燒藥含有此成分,主要會抑制中樞神經系統中前列腺素合成,具有退燒、止痛作用,但服用時要小心過量問題,可能會對肝臟造成損傷。
女毒犯跑路難捨近億元贓款 聲請釋憲慘遭大法官打臉
遭通緝的安非他命製毒犯紀怡慧,不滿檢警2019年3月搜索其租屋時,查扣近億元不法所得,紀女抗辯本案犯罪所得僅400萬餘元,法院不該擴大沒收9287萬餘元,提告敗訴確定、遂提起憲法訴訟,憲法法庭2024年1月25日宣判,認定相關法律規定的「擴大利得沒收制度」合憲,打臉紀女。大法官指出,擴大利得沒收制度有預防犯罪作用,並非刑罰、但目的相同,不會額外造成行為人的負擔,法院不會無限制擴大沒收,也不會重複沒收,法官審酌時,不須達到無合理懷疑的有罪確信心證,但也不能以財產來源不明為由就沒收。大法官認為,《毒品危害防制條例》相關條文的擴大利得沒收規定,與罪刑法定原則、罪責原則、無罪推定原則無關,但須由檢方負舉證責任,法院也應保障被告聲請調查證據及辯論權利,至於《刑法》第2條的沒收規定,也未違反罪刑法定原則、法律不溯及既往原則、信賴保護原則,因此駁回紀女釋憲聲請。起訴指出,聲請人紀女和配偶黃偉凱2013年12月起,透過網路和其他途徑學習製造安非他命,再向藥房和藥商購入大量含有安非他命的感冒藥水及藥錠,黃男另購買製造安非他命器具,開始生產毒品,2018年11月賣出10公斤安非他命給萬金海,獲得400萬元。橋頭地檢署2019年3月11日、15日等日期指揮員警,同時分别前往兩人高雄市租屋處和居所搜索,合計 3 次搜索共扣得現金 9,709 萬 3,700 元。檢察官起訴後,歷審法院認為查扣現金中的9,287萬元,屬紀女與配偶取自其他達法行為所得,應共負擴大利得沒收之責,宣告沒收。紀女上訴遭駁回確定,遂提起憲法訴訟。
幼兒園餵藥1/危害程度超乎想像 感冒藥不聽醫囑「恐影響孩子記憶力」
板橋幼兒園餵藥事件持續發酵,15日又傳出同一連鎖幼兒園的汐止分校,一位幼幼班孩童體內也驗出微量苯二氮平類藥物,目前巴比妥、苯二氮平類等藥物從何而來仍有待檢警調查,至於餵「彩虹藥水」,許多幼兒園老師私下表示「的確存在!餵感冒藥水是家常便飯,疫情高峰時,一天要餵15個孩子以上。」部分家長為了讓孩子早點入睡,也會自行餵感冒藥水,對此專家提醒,「長期自行服用藥物,恐怕會影響孩子記憶力、注意力,甚至造成孩子更不好睡。」幼兒園時期是孩子免疫力備受考驗的階段,孩子不斷地交叉感染,三天兩頭就喝感冒藥水已成常態,有些感冒藥會讓幼童出現心悸、記憶力變差等副作用,尤其是能緩減過敏症狀的抗組織胺藥物,還會造成嗜睡,因為是醫師開立的,所以家長會認為安全性應該沒問題。部分爸媽在社群上吐苦水時會開玩笑說,「真想讓孩子喝一點抗組織胺藥水,讓他們早點上床睡」,有些家長外出旅行時,也會讓孩子服這類藥物幫助睡眠。「幫孩子餵藥,無論對家長或老師,都是一件矛盾糾結的事。」新北市連鎖機構幼兒園老師Emma告訴CTWANT記者,「坦白說,幼兒園老師一點都不喜歡餵孩子吃藥,除了孩子可能會哭鬧不配合之外,也因為責任非常重大,就像這次幼兒園餵藥的事一樣,很可能惹上麻煩。對家長來說,交給老師餵藥可能不太放心,但因為要上班,沒辦法自己照顧孩子,所以也只能交給老師。」Emma說,有些家長可能真的無法請假,有時孩子明明已經發高燒,但卻讓孩子吃退燒藥再來上學,或是明明已經感染腸病毒了,還是裝作沒事讓孩子來學校。「後來我們乾脆在校門口檢查孩子的嘴巴,確定沒有破洞才可以上學,否則根本防不勝防!」各家幼兒園都有自己的一套餵藥流程與規定,共通點就是會有托藥單,上面詳列注意事項與餵藥時間,同時需要簽名負責。(示意圖/CTWANT資料庫)幼兒園老師面對一班20~30位的孩子,光是一位孩子的藥水可能就多達2~3罐,有些藥需飯後吃、有些需要冷藏,每次餵藥時間還要注意間隔4小時,對此每家幼兒園各有一套管理方式,有些會準備特製藥袋與餵藥單,確實寫清楚幾點幾分服用和簽上名字,老師們還要做小紙條互相提醒,以免誤餵。有些幼兒園要求家長一定要「親自」將藥託付給老師,不可放在幼童書包,或交由孩子自行服藥,以避免其他孩童誤食藥物。國泰醫院精神科醫師楊琇雯表示,若在醫師診斷後開立的抗組織胺藥物,按照醫囑服用是沒有問題的,但如果是自行長期服用就會有風險,除了嗜睡,部分孩童可能會有心悸、肢體不協調、視力模糊、不易排尿、幻覺、惡夢的副作用,尤其抗組織胺藥物具有抗膽鹼作用,可能會影響記憶力、注意力,而且長期使用後,甚至可能會變得更不好入睡。楊琇雯特別提醒,任何藥物都有其風險,使用前最好先諮詢醫師較安全,如果需長期服用,也可和醫師討論更換新型的抗組織胺藥物,降低副作用機率。除了遵循醫師指示用藥之外,家長最好也可進一步了解醫師開立藥物的相關副作用,王介立醫師近日分享一則2016年的新聞,並表示已確認真實性。一位高雄小兒科「名醫」治療腸絞痛十分有名,許多爸媽都慕名而去,而且只要吃藥半年以上,腸絞痛就會痊癒,原來這位名醫開立的藥物竟含有苯巴比妥與待克明,藥品仿單明確指出「不得用於6個月以下的新生兒」,副作用是嗜睡、增加猝死機率,而且會影響孩童智商,而就診的嬰兒許多都是一出生就服用這個藥物。王介立醫師感嘆,如果今天自己的小孩因癲癇命在旦夕,只剩苯巴比妥可用,那他還是會同意服用,但如果今天是腸絞痛,他絕不會讓孩子吃苯巴比妥。現今資訊非常發達,建議家長還是多做功課,才能保護自己與家人的安全。
板橋私幼餵藥案要查清藥物來源!可能摻雜複方藥 管制藥品源頭釐清中
板橋私幼餵藥案演變成總統大選攻防議題,管制藥品「苯巴比妥」源頭外界關注。新北市副市長劉和然昨指出,任意揣測都可能造成家長恐慌,該問題是檢方偵查重點,到底是被餵藥或有其他就醫史等,都待釐清。劉和然強調,外傳4月就有家長向市府1999反映,市府清查並無紀錄,但既然家長關心,已請法制局聯絡檢方,將此事納入調查項目。這次幼童被驗出的微量苯巴比妥是政府管制藥品,新北市衛生局長陳潤秋表示,衛生局每年都會針對管制藥品高強度查察,除衛福部登載管制,今年1至5月間,新北市查了700多家醫療院所與藥局,都沒有異常。幼童體內藥物來源究竟是感冒藥水或另有管道?陳潤秋說,孩子血液驗出的都是微量苯巴比妥,是否跟餵食有關還要釐清,有些藥物也會有微量苯巴比妥,若是複方藥品則不是管制藥品,支氣管炎、腸胃藥等病症都會使用到,都會列入檢方偵辦參考。目前檢驗結果有何進展?陳潤秋說,目前就是採檢28名幼童,有8人有微量反應,細節因偵查不公開,將交由檢方調查。至於有家長希望採毛髮檢驗,或將全數幼童做毛髮採集以及證據保全,劉和然說,市府已告知家長,這不是一般行政機關可以做的,但已將家長期待告知檢方,盼檢方用權限協助。外傳有家長4月就向1999與市長信箱陳情,教育局長張明文昨強調,全案5月15日接獲通報,市府清查15日前的市長信箱、1999都沒有相關內容。劉和然說,陳情案進線都會有紀錄,難以竄改,但家長非常關心,市府已請法制局聯絡檢方,盼納入司法調查。備註:根據《兒少法》第69條規範,本案涉兒童及少年權益,不得揭示「足資識別之資訊」。
幼兒園餵藥案來源引猜測 獸醫遭影射急發聲明「造謠者自重」
新北市板橋區某私立幼兒園學童疑似被教師餵食不明藥物,園內28名學童中8人有巴比妥、苯二氮平類等藥物殘留反應,檢警獲報已展開調查搜索。而醫界傳出藥物疑似從獸醫院外流,對此,獸醫師公會全國聯合會9日晚間發布聲明否認,並強調保留法律追訴權,請放出謠言的人自重。新北市驚傳幼兒園餵藥案,有家長從幼兒園接回孩子後,發現其性格變得易怒失控、有自殘行為、頻繁作惡夢,將孩子帶至醫院檢查,才得知體內竟有巴比妥、苯二氮平類等藥物成分。檢警第一時間搜索幼兒園與教師住家,並通知園長、教師等8人到案說明,訊後分別裁定2萬至5萬元不等交保,其中1名洪姓教師則是無保請回。檢警調閱監視器,發現孩童服用的是彩色感冒藥水,不過家長質疑,有孩童沒有餵藥需求卻仍被餵食,因此要求市府調查並給予明確交代。而昨日醫界傳出,該幼兒園使用的藥物來源疑似從獸醫院外流。對此,獸醫師公會全國聯合會發表鄭重聲明,「關於新北幼兒園餵毒案,有藥師及精神科醫師暗喻藥品由獸醫師流出,此為推測且無證明之談,本會鄭重否認藥品由獸醫院流出,更保留法律追訴權,請放出謠言的人自重。」備註:根據《兒少法》第69條規範,本案涉兒童及少年權益,不得揭示「足資識別之資訊」。
彩虹藥水是感冒藥水?家長搖頭全不信 「孩子不需吃藥仍被餵」
新北市板橋區某幼兒園驚傳學童遭餵藥案,學童指稱被老師要求喝「彩虹藥水」,倘若不從還會被關廁所,更有學童被驗出毒品反應,而今日有媒體稱所謂的彩虹藥水其實是感冒藥水,家長則不信此說法,表示學生委託餵藥都有紀錄,但有多位學童不需吃藥仍被強餵,希望市政府能說真話、講清楚。據了解,多名家長在4月時發現孩子情緒有異,回家後便明顯疲憊、想睡,甚至暴怒大哭還出現自殘行為,經了解後發現孩童在幼兒園期間被餵食「彩虹藥水」,倘若不願意飲用還會被關在廁所裡,經檢驗後更發現孩童身上被驗出毒品巴比妥反應。而外界對於「彩虹藥水」討論得沸沸揚揚,但檢警調閱監視器,發現孩童服用的藥水是專門給兒童的感冒藥水,因外型多彩、顏色鮮艷而被學生形容為「彩虹藥水」,且都有看診單和同意書為證,目前並未發現可疑之處。而新北市長侯友宜今日在莒光國小舉辦說明會,對「感冒藥水」說表示不信任,有家長提到,如需委託老師餵藥,園方都會留下紙本和電子紀錄,卻有學童明明沒有餵藥需求,返家後竟稱自己遭餵藥。家長表示,目前該園多名孩童出現過激情緒反應,包括捏自己、霸頭髮等自殘舉動,讓家長們心疼不已,希望市政府能講清楚、說真好,給予所有家長交代。
板橋幼兒園餵「彩虹藥水」 真相揭曉竟是「五顏六色」感冒藥水
新北市板橋區某幼兒園餵藥案引發全國矚目,檢警昨日兵分多路前往幼兒園搜索,而孩童稱老師會餵食「彩虹藥水」,檢警調查確認這些「彩虹藥水」為給幼童吃的感冒藥水,因顏色多彩而被誤會,也都有看診單和家長同意佐證,至於孩童身上為何會驗出毒品反應則仍待釐清。據了解,多名家長在4月時發現孩子情緒有異,回家後便明顯疲憊、想睡,甚至暴怒大哭還出現自殘行為,經了解後發現孩童在幼兒園期間被餵食「彩虹藥水」,倘若不願意飲用還會被關在廁所裡,經檢驗後更發現孩童身上被驗出毒品巴比妥反應。此案引發社會震驚,檢警昨日清晨二度搜索,兵分多路到幼兒園、彭姓園長和多名老師住家搜索,最終彭姓園長以5萬元交保,還請來2位律師陪同,王姓和徐姓教保員則是3萬元交保。而外界對於「彩虹藥水」討論得沸沸揚揚,但檢警調閱監視器,發現孩童服用的藥水是專門給兒童的感冒藥水,因外型多彩、顏色鮮艷而被學生形容為「彩紅藥水」,且都有看診單和同意書為證,目前並未發現可疑之處。但直到6月,都還有孩童身上被驗出毒品反應,更有多名學童出現情緒和行為問題,相關案情則仍待調查釐清。備註:根據《兒少法》第69條規範,本案涉兒童及少年權益,不得揭示「足資識別之資訊」,其中包含學校名稱。
一桌澎湖海鮮「吃完噴4.1萬」 遊客氣炸PO網公審!老闆發聲:價值觀有落差
一名女網友發文抱怨,日前家族22人到澎湖旅遊,晚餐吃了當地的無菜單料理,沒想到一餐竟要價4萬1000元,而且食材全都「煮熟原汁原味」端上桌,讓她氣炸直呼「各路親朋好友千千萬萬別倒霉找到這間!」對此,餐廳老闆表示,現場料理有9成以上都是使用澎湖在地野生食材,採購過程也都有拍攝告知對方,強調此事是因「價值觀落差」所產生的消費糾紛。該名女網友在臉書社團「爆料公社」發文抱怨,指出一家老小共12名大人、10名小孩,叫了澎湖當地的外燴服務,怎料竟大踩雷,雖然主食是螃蟹粥,但基本上是螺肉大餐吃整晚,菜色包括一隻要價5400元的澎湖砲管、澎湖白點珠龍5斤1萬8000、巧克力擺盤800元、清煮燙熟的「有機」蔬菜一盤800、當地水果900元等,店家甚至連酒水也捨不得給,拿出10顆椰子水招待,喝了4顆後就被趁亂收走,7杯調酒「比感冒藥水還難喝」,結帳時更是讓她傻眼,帳單總計4萬1000元。原PO透露,當下她向店家反映價格問題,但對方卻回應活體海鮮這價位很合理,甚至認為是消費者不懂欣賞料理跟價值觀有落差,讓她忍不住砲轟,「要讓人吃高價要有本事真的!擺盤華麗就叫技術?所有食材全部都煮熟烤熟燙熟而已。」貼文曝光後,引起網友留言熱議,「無菜單真的很多都把人當盤子,不敢去」、「盤式料理啊」、「還好我去澎湖不是吃這間…阿彌陀佛」、「貧窮限制了我的想像,抱歉不敢去澎湖了」、「我去澎湖那麼多次,真的第一次看過那麼誇張的事情捏!澎湖海鮮不可能那麼貴,那個小管價錢實在太誇張了啦!」、「如果業主不好好經營一家店,尤其是在觀光區的,要胡搞宰觀光客,這種店就該讓他關門大吉!」
止痛藥並非萬能 身體有疼痛異狀應審慎面對
部分民眾覺得身體有疼痛異狀,不論是頭痛、胃痛或生理痛時,習慣先服用止痛藥再說。但是,這樣真的能有效解決您疼痛的問題嗎?疼痛是身體出現異狀警訊 應審慎面對食品藥物管理署(以下簡稱食藥署)表示,疼痛,是身體出現異狀時所發出的警訊,提醒我們應該要審視自己的生理狀況,嚴重時甚至要就醫尋求治療!然而,現代社會生活步調緊湊、工作壓力繁重,許多人總是草草服用止痛藥了事。止痛藥分兩類 腸胃道疾病者應避免這1種止痛藥是經常使用的藥品之一,民眾可在藥局購買各式止痛藥的指示藥,或是經由醫師診斷開立處方箋,就能在藥局領取。我國常見的市售止痛藥主要有兩種,一是中樞止痛藥(乙醯胺酚類,Acetaminophen),另一為非類固醇類消炎止痛藥(Nonsteroidal Anti-Inflammatory Drug, NSAIDs),包含阿斯匹靈(Aspirin)及布洛芬(Ibuprofen)等。1、中樞止痛藥(乙醯胺酚類)大部分的綜合感冒藥、感冒藥水及退燒藥含有此成分,主要會抑制中樞神經系統中前列腺素合成,具有退燒、止痛作用,但服用時要小心過量問題,可能會對肝臟造成損傷。2、非類固醇類消炎止痛藥非類固醇類消炎止痛藥則是透過抑制體內的環氧化酶 (Cyclooxygenase),進而導致前列腺素之合成降低,達到消炎止痛的作用,不過該類藥品可能有腸胃道的副作用,所以本身有腸胃道問題,或是想服用止痛藥來治療胃痛的民眾,應避免使用這類型的止痛藥。止痛藥並非萬能 用藥應與醫師、藥師討論食藥署強調,止痛藥並非萬能,每個人對於藥品的反應不同,建議民眾在購買止痛指示藥前時,應與醫師、藥師或藥劑生討論,清楚表達自己身體的狀況,讓專業醫藥人員可以做出最合適的評估與建議,及瞭解藥品正確的使用方式,如每天、每次最大服用量,並主動告知當下是否有正在使用其他藥品,避免相互影響藥效或造成其他不良反應的風險,以找到最適合當下症狀的止痛藥。
天氣變化大容易感冒 微笑藥師帶你破解這些「感冒迷思」
最近季節變遷,天氣變化大,容易著涼、感冒,但不少人會因為沒時間、方便,而去藥局購買現成的藥品,但其實有些藥品不但沒有用,反而會造成反效果,微笑藥師日前就在臉書發文,破除這些感冒迷思。吃感冒藥,感冒才會好?感冒藥只是症狀緩解藥品能緩解發燒、頭痛、喉嚨痛、流鼻水、咳嗽等感冒症狀,但並不能加速痊癒,真正能讓感冒快快好的關鍵,是充足休息與均衡飲食,提升身體免疫對抗病毒。加強錠比較有效?許多民眾偏好感冒加強錠,認識加強錠更有效,但事實上市售廣告品牌感冒藥,其中加強錠主要加強改善流鼻水,以及添加止咳袪痰配方,事實上加強錠並沒有比較有效,所以感冒藥品的挑選還是要依症狀。補充維生素C,快快好?維生素C對於免疫扮演重要角色,補充維生素C的確對免疫有加分,但目前「缺乏」研究證實縮短感冒時間,甚至有研究顯示,感冒時補充C無法縮短感冒時間,但若每天補充,確實能減少感冒時間,所以重點在於每天補充 預防缺乏,維持身體免疫功能即可!感冒要吃抗生素?一般感冒與流感都是病毒引起,抗生素無法殺死病毒,也無法緩解感冒症狀,所以感冒通常不需要抗生素,除非經醫師判斷併發細菌感染,否則千萬不要亂吃抗生素。感冒藥水一次乾?不少民眾會到藥局購買感冒糖漿,甚至在藥局一次整瓶喝光,此行為大大不可,因為一瓶綜合感冒藥60毫升,主要是4次服用的劑量(每次15毫升),一次喝整瓶等於服用四個劑量,改善效果不一定較好,但卻大大增加身體的負擔。
診所開錯藥…女童喝完藥水竟「酒精中毒」 醫師辯:是美國新藥
馬來西亞日前發生離譜的開錯藥事件。一名女童服下診所開立的感冒藥水後,出現數次嚴重嘔吐,女童家人察覺藥水有異並淺嚐後發現,藥水居然有濃濃酒精味,怎知事後向診所問責時,醫師竟辯稱藥水是「美國新藥」。據馬來西亞《中國報》報導,該名女童21日因發燒、咳嗽被家長帶至私人診所就醫。怎知女童回家喝下藥水後竟吐了十多次,察覺有異的家長嚐了一下藥水後感到「舌頭麻痺」,並在口腔裡留下滿滿酒精味,整體味道與消毒水一樣。診所開立的藥水居然可以被火點燃。(圖/翻攝自YouTube)女童家長事後向診所醫師究責,質問是否開錯藥,但醫師拒絕承認,還說藥水會有酒精味,是因為藥水是「美國新藥」,氣得家長怒問:「你把我女兒當新藥的白老鼠嗎?」。家長指出,女兒當晚就因症狀加重,到另一家私人診所就醫,但病情沒有緩解還加重。女童直到在政府醫院才被診斷為「酒精中毒」,且醫師在給藥時還告訴家長,如果女童病情沒改善就要住院治療。結果家長返家檢查藥水時,除發現瓶身完全沒有標示外,把藥水倒在桌上再用打火機點火,還真的能燃燒起來!
藥水煎雞胸肉治感冒? 美FDA警告:恐死亡
近來TikTok興起使用「NyQuil」等非處方感冒藥水煎雞胸肉的挑戰。此種「料理」被命名為「昏昏欲睡的雞」(sleepy chicken),宣稱有助緩解感冒症狀,吸引不少人跟風拍影片。美國食品暨藥品管理局(FDA)警告,這種挑戰十分危險,專家指出,烹煮藥物會使其濃度增加,並改變藥物性質,在烹煮期間也可能吸入含有藥物的蒸汽,高濃度的藥物進入體內,恐怕導致肺部受損甚至死亡。
感冒藥水1次喝多少正確? 他曬小學生答案嚇壞網友「明威到底得罪了誰」
醫師常會給感冒生病的小朋友感冒藥水,方便服用也能更快達到藥效,但感冒藥水也是藥,若過量服用恐對身體有害,近日就有網友將小學生是否知道感冒藥水一次能服用多少的量放上網路上,就有一名小學生在作業上寫下,感冒藥水一次藥喝約5「公升」的藥水,讓不少人笑翻表示「會直接投胎」。.小學生數學題目,這位同學回答要明威喝下5公升藥水。(圖/翻攝自爆廢公社公開版)一位網友將小學生寫的數學作業放上臉書社團「爆廢公社」,當中有一題是詢問「明威咳嗽喝藥水時,一次要喝約5(填空)的藥水」,而這位同學在空格寫下5「公升」,讓他直呼「這…真的不知道該哭還是該笑,一次喝五公升的咳嗽藥水會怎樣?」。不少網友看到也紛紛笑翻表示,「會直接投胎」、「明威到底得罪了誰?」、「可能會洗腎」、「當水喝嗎?」、「明威病得不清」。
竹北遠百奶烏一杯385元 他買給心愛老婆嚐鮮竟被扣零用錢
竹北百遠一間飲料店,日前因產品最貴一杯要價385元引發外界熱議。一名男網友1日在臉書社團「竹北遠百最新情報站」PO文表示,自己特地買了一杯給老婆喝。豈料,竟被對方嫌棄浪費錢,自己還因此被扣了零用錢,讓他相當沮喪,文章曝光後笑翻一票網友。原PO在臉書社團「竹北遠百最新情報站」發文抱怨,自己最近跟風買了一杯總價要385元的川貝純蜜奶烏+雪珠給老婆喝,「(原本)想說帶回家孝敬老婆,沒想到老婆喝兩口就不喝了,還直說怎麼這麼難喝,喝起來味道像她小時候最討厭喝的感冒藥水…。」男網友見老婆不願再喝遂趕忙跟對方說明,這杯飲料要價385元,希望對方再多喝幾口,「不講還好,講完價錢後馬上被老婆拉正,說我亂花錢買這麼難喝的東西回來是不是零用錢太多,害我這個月的零用錢被管制減半,作為我亂花錢的警惕…。」原PO無奈表示,為了不浪費最後只好自己喝光,「味道的確像感冒藥水…喝不到5分之1,我也喝不下去了…剩下的只好封保鮮膜冰冰箱,像喝藥一樣,分了好幾天喝才喝完…平常我買路邊手搖飲,不到兩小時我就能喝光光…。」男網友還在文末自嘲,「我這次特別用我親身體驗的慘烈經驗,血淋淋的真實踩雷,提供給大家參考。」最後還是忍不住抱怨,「手搖飲的標語:給最愛的人喝最好的…但我卻變成是:給最愛的人罵最大的…。」貼文一出,許多網友紛紛笑翻留言,「勇士,給你個讚」、「良藥苦口啦」、「還不如一杯心痛的感覺」、「不愛那味的買當然浪費錢」、「真心感謝你告知大家避免踩雷」、「一杯三百也太貴,虧了。」
感冒糖漿沒喝完就冰起來? 醫師曝3大錯誤用藥行為
過去醫師常會給感冒生病的小朋友開感冒藥水,方便服用也能更快達到藥效,但若還沒喝完感冒就好,不少人就會將感冒糖漿冰在冰箱,等下次再次感冒再服用,但這樣習慣其實是大錯特錯,小兒科醫師陳映庄就表示,把感冒糖漿冰在冰箱或是將藥水倒馬桶,都是錯誤的示範與迷思,他也整理出藥物處理3大正確方法。開封過後除了註明需冷藏的藥品外,其餘藥品都不要擅自冰起來。(圖/翻攝自陳映庄醫師的育兒資訊站臉書)一、藥水跟食物一樣放冰箱就能保存較久感冒藥水用不完時不少人就會放冰箱,但他表示藥水不是食物,只有少數註明必須冷藏的藥物才需要放冰箱,冷藏低溫可能會讓藥水沉澱變質,更會影響濃度和藥效。廢棄藥品若倒進馬桶或水槽,會造成環境汙染。(圖/翻攝自陳映庄醫師的育兒資訊站臉書)二、感冒糖漿直接丟掉好可惜開封後的藥水需要放在室溫和避光的地方,通常開封後的藥水若保存得當可以保存一個月,如果一個月內有相同症狀,可以飲用應急,但如果有狀況還是建議先去看醫師,若開放一個月以上就請丟掉。過期藥品可以這樣處理。(圖/翻攝自陳映庄醫師的育兒資訊站臉書)三、過期藥水不能倒進馬桶或洗手台藥品處理若是藥丸、錠劑、膠囊,可以裝進夾鏈袋中,當一般垃圾丟掉即可,但若是抗生素、荷爾蒙、抗癌藥物跟免疫抑制劑,則建議拿到醫院或藥局的藥品回收站,由專人處理唷。而藥水、感冒糖漿則可以拿個夾鏈袋,把藥水倒進去,包含洗瓶子的水,或者是加進可以吸水的東西中,例如茶葉渣、用過的衛生紙等等,再把夾鏈袋封緊丟一般垃圾就可以,記得藥水瓶子可以回收。
特製安眠藥餃子!25歲妹「針捅心臟注鹽水」狠殺親生母 心碎真相曝光
大陸遼寧省一名25歲的女子寧娟(化名),因無力還債萌生死意,又擔心身體狀況不佳的母親難以承受,竟決定先殺了媽媽後再輕生。前年12月間,寧娟先到醫院看診,謊稱自己失眠取得了醫生開立的安眠藥,接著把藥物包入餃子讓母親吃下,再把鹽水注入對方心臟,造成生母當場死亡,近日遭判處無期徒刑。《中國經營報》報導,家住鞍山市的寧娟1995年出生,大專畢業後無固定工作,平時和母親同住在鋼鐵公司的職員宿舍;和同齡年輕人一樣,寧娟喜歡上餐廳、買奢侈品,常常入不敷出,長期下來積欠了大筆信用卡債,逼得她只好透過網路借貸平台借錢,用挖東牆補西牆的方式苦撐,債務也因此越滾越大。2019年12月間,寧娟有2筆網貸到期,先用母親工資還了一筆後,本想貸款償還另一筆,然而貸款卻辦不下來,加上每天被催債電話轟炸,終於讓她情緒潰堤,決定結束自己的生命;然而一想到關係親近的媽媽身體欠佳,擔心對方無法承受女兒死訊,寧娟便心疼不已,經過一番天人交戰後,決定弒母後再自殺。寧娟下定決心後,先前往醫院看診取得安眠藥,接著用水溶解藥物再包進餃子裡,待母親吃下肚沉沉睡去,便拿起墊子捂住媽媽的口鼻,並找來鐵絲勒住其頸部,後來擔心她沒有完全斷氣,又使用平常替愛貓打疫苗的注射器,把鹽水和貓咪感冒藥水注射到母親心臟附近,導致被害人當場死亡。報導指出,寧娟弒母後逃往大連,3天後遭到警方逮捕,供稱「我因為網貸還不上,生活壓力特別大很崩潰,母親平時身體不太好,我想先把我媽殺死,自己隨後死」,她當時用繃帶把自己綁住後沉入浴缸,最後沒有成功。當地法院審理後,依故意殺人罪判處被告無期徒刑,褫奪政治權力終生。
女嬰感冒!家人餵「兒童感冒藥」 下場曝光…肚子快爆炸
一名1個月大的女嬰感冒,家人餵她吃兒童感冒藥。沒想到女嬰服藥後,從每天排母乳便7、8次逐漸減少,到第5天連排便都沒有辦法,肚子漲到感覺快要爆掉,最後只能急診插鼻胃管治療。(圖/黃瑽寧醫師健康講堂 臉書粉絲頁)小兒科醫師黃瑽寧在臉書表示,日前另一名2個月大的嬰兒就診,他檢查完流著鼻水的嬰兒後對陪診的阿嬤說明只是小感冒,可以自然痊癒、不需要開藥。不過阿嬤不死心,窮追猛打想要拿藥,黃瑽寧坦言對6個月以下的嬰兒,自己不太會開藥。黃瑽寧想起過去1個月大的女嬰的案例,因為被年紀大一點的哥哥、姊姊傳染感冒,所以家中長輩看醫生時順便請醫生開了兒童感冒藥水,每天喝三次,每次的量只有1cc。全母奶的女嬰原本每天會排7、8次的母乳便,但喝了感冒藥水後漸漸變一天4、5次,然後變一天2次,到第5天時已經完全無法排便了。(圖/黃瑽寧醫師健康講堂 臉書粉絲頁)女嬰被送到醫院時,肚子已經鼓到像氣球一樣!黃瑽寧寫道:「感覺快爆炸了,嚇死人!」照了X光發現是脹氣,急診醫師怕肚子真的破掉,於是幫女嬰插鼻胃管治療。黃瑽寧表示,當時他對女嬰的母親解釋病況是感冒藥的副作用,「雖然這種藥是一個非常安全的鼻水藥,但是6個月以下嬰兒,還是少吃藥為妙,偶爾就會造成這樣的副作用。」後來女嬰停藥2天肚子就消了。黃瑽寧建議嬰幼兒用藥原則:第一條:嬰兒不是不能吃藥,但盡量能少則少。第二條:孩子生病趕快看醫生很ok,但看醫生不一定要拿藥。你可以花錢買醫生的經驗,買他的知識,買他的診斷,不吃藥也無妨,不要只想著買藥而已。
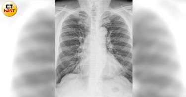
咳嗽只喝感冒藥水 他肺「淹滿30顆腫瘤」3天就走了
咳嗽超過半個月還沒好,一定要找出原因!外科醫師江坤俊,最近在節目分享一名案例,提到自己一位親戚連續咳嗽4周都沒積極就醫,只到藥局買感冒藥水喝,後來咳到太喘,就醫檢查照X光,赫然發現肺部滿布30幾顆腫瘤,住院3天就不幸死亡。江坤俊醫師在《醫師好辣》節目中透露,肺癌超過7成患者,被確診時已是末期。他身邊就有長輩親友,咳嗽長達4周,但這段時間都沒就醫,只去藥局買個感冒藥水喝。後來他建議這位親戚去照個胸部X光,「一照不得了,全部都是轉移,2邊肺30幾顆腫瘤,還有肺積水」。後來這名長輩,因為做了2次化療受不了,轉去山上練功靜坐,後來因為喘到受不了下山求醫,「這時候兩邊的肺,已被腫瘤淹滿了」。後來因為病況嚴重,這位長輩住院3天後就離世。因此江坤俊提醒民眾,若咳嗽長達2至3周還沒好,一定要去照個胸部X光找原因,才不會延遲病情,造成遺憾。