曾文禹
」
少女口服抗生素抗痘 竟患「藥物性食道炎」胸口灼熱難吞嚥
16歲周姓少女因為青春期臉部出現青春痘,到皮膚科診所看診後拿藥膏與抗生素治療,沒有想到兩天後開始出現胸口悶痛不適與灼熱,且經常感覺有異物梗塞,甚至無法吞嚥的狀況。由於無法進食症狀越來越嚴重,周姓少女由母親陪同到仁愛長庚合作聯盟醫院(大里仁愛醫院)兒童腸胃科曾文禹醫師門診求診,經上消化道內視鏡檢查發現其食道中段有明顯潰瘍,診斷為罕見的「藥物性食道炎」。錠劑與膠囊容易附著食道 「藥物性食道炎」引發炎、灼傷曾文禹醫師表示,在服用特定種類的抗生素與口服非類固醇消炎藥後,有可能會發生「藥物性食道炎」,由於錠劑與膠囊較容易附著在食道上,時間久了可能造成發炎,或是藥物溶解後直接灼傷食道。在兒童身上常見會造成「藥物性食道炎」的抗生素有四環素藥物與阿莫西林類藥物,前者尤其是青春期少年、少女常因為青春痘萌發導致影響外觀,所以選擇口服抗生素治療。罕見「藥物性食道炎」 引起胸痛、上腹痛及吞嚥疼痛 曾文禹醫師指出,「藥物性食道炎」並不常見,大約每年每10萬人中可能會有4個病例,沒有特別好發的年紀,只要可以吞藥丸或藥錠都有機會發生。常見的症狀有胸痛、上腹痛、吞嚥疼痛、吞嚥困難或是異物感,在進食之後症狀更加嚴重。醫師檢查時在胃鏡底下會看到單一或數個大小不等的潰瘍,位置常見於食道幾個比較狹窄的地方,尤其是在食道中段特別明顯。曾文禹醫師說,雖然「藥物性食道炎」是自限性的疾病,大部分病人在適當的治療之後都會恢復,但仍然有少數病例在追蹤時發現有食道狹窄的狀況,幾乎都是發生在使用口服非類固醇消炎藥的病人。常見的處理方式為即刻停止使用可能造成傷害的藥物,並服用氫離子幫浦抑制劑或是胃乳,通常有良好的治療效果。服藥飲用至少100毫升水 逾15分鐘後再躺下曾文禹醫師提到,其實藥物性食道炎有預防的方法。因為大部分病人常有服用藥丸時不配水或是配水太少的情況,或是在服藥後很快躺下睡覺,所以建議在服藥時應該配合飲用至少100毫升的水,並在吞服藥物超過15至30分鐘後再躺下休息,而且盡量避免刺激物,例如:太熱、太冰或是太酸的食物與飲料。若不幸發生服藥後的不適感,應該盡速就醫,以免造成胃食道更大的傷害。【延伸閱讀】睡姿與脊椎問題、胃食道逆流有關?仰睡、側睡適合誰?醫:「這姿勢」超NG不只感冒!咳嗽可能是胃食道逆流、肺癌等 如何區分?4重點醫師評估必問https://www.healthnews.com.tw/readnews.php?id=65134
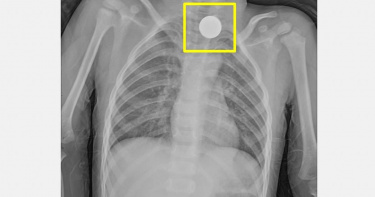
3歲弟喉嚨痛急診…手術2小時夾出「扁平異物」 醫示警:恐害食道破裂
一位3歲小男孩因為疑似吞入異物,被家屬送到仁愛長庚合作聯盟醫院急診室。醫師江鴻逸經過病史與理學檢查發現,小男孩並無呼吸窘迫情形,症狀是喉嚨痛和吞嚥不適,無皮下氣腫,亦無喘鳴呼吸音,前後照胸部X光顯示在食道處有一個環狀扁平異物,診斷為小兒食道異物,立即會診小兒科醫師曾文禹,安排緊急全身麻醉腸胃鏡異物夾取術,前後歷經2小時順利取出一元硬幣,讓家長放下心中的大石。江鴻逸表示,吞入異物通常是偶發事件,請家長要特別注意學齡前兒童的安全,尤其孩童一拿到東西可能就會往嘴巴裡塞,這時就會發生意外。一般來說,包括硬幣、鈕扣、藥物或是電池等物品,都很有可能會被孩童吞入,如果家長發現這一類物品被孩童意外地吞入,必須趕快就醫,如果拖延搶救時間很有可能會造成食道破裂,甚至需要重建食道,這將是孩子一輩子的遺憾。江鴻逸提醒,當家長到院後,應盡可能向醫護人員說明事發經過,例如吞入時間、物品種類和孩童發生的症狀等,同時把殘餘物品或藥物包裝提供給醫護人員參考,以便做出正確的醫療診斷。一位3歲小男孩因為疑似吞入異物,被家屬送到仁愛長庚合作聯盟醫院急診室。(圖/翻攝自仁愛長庚合作聯盟醫院臉書)曾文禹說明,在辨認出是否為需要夾取的異物之後,就會連絡腸胃科內視鏡團隊與開刀房執行內視鏡異物夾取術。由於考慮異物可能因為夾取所需要花費的時間較長,故在開刀房插管是最安全的方式,並保護在異物取出過程中不會掉落到呼吸道內造成二次傷害。醫師提到,當胃鏡進入食道與胃後,會依據異物型態選取適當的工具協助將異物取出。倘若進到胃裡仍未看到異物,需考慮異物可能已進入小腸,此時只能觀察與等待異物排出,或是不幸造成穿刺後開刀取出。因為異物夾取完後食道或胃內常有些許傷口,所以通常會在兒童病房觀察數天,待進食穩定後再行出院。江鴻逸和曾文禹呼籲,由於幼童很容易將可以伸手取得的東西放入嘴巴裡,因此舉凡小東西或是尖銳的物品,例如鈕扣、硬幣、電池、磁鐵、針、小型塑膠玩具和巴克球等,都應該收藏在兒童無法拿到的地方。其中電池與兩顆以上的磁鐵特別危險,電池在食道與胃都容易造成灼傷,甚至穿孔,兩顆以上的磁鐵則可能因為夾住組織造成缺血與壞死,需要多加留意,避免發生憾事。