生殖細胞瘤
」
少年每天喝水9公升「情緒暴躁易怒」竟是腦內長腫瘤 醫示警4症狀
攝取足夠的水分,對維持生理機能有很大的作用,但若是喝太多水,也會影響身體健康。中國廣州一名16歲少年,每天要喝水9公升,而且短期記憶竟然像流水,馬上就忘記,檢查才發現腦內長腫瘤。據《廣東新聞》報導,少年從去年5月多次住院,但每天仍問醫生同樣的問題,「醫生,你是哪裡人?」、「你有吃的嗎?」這2句是他的口頭禪,初次被家人發現異常是在2021年暑假,當時飲水量驚人,「一桶18升的家庭桶裝水,他1個人2天就能喝完」,原本擔心是腎功能問題或糖尿病,但檢查顯示正常,後來喝水量有稍微減少,便沒進一步就醫。然而,少年2022年10月行為變得異常,很容易被激怒,被以為是青春期憂鬱症治療,卻沒有好轉,還出現視野缺損,走路時常摔跤。直到2023年3月才檢查出鞍區占位,醫生懷疑是膠質瘤或顱咽管瘤,並進行腫瘤切除手術,病理診斷為生殖細胞瘤,豈料之後卻開始出現短期記憶障礙,體重從110斤爆增至150斤。少年短期記憶變差,而且情緒變暴躁。(圖/翻攝自廣東新聞)為了尋求進一步治療,家人2023年5月帶少年到廣東三九腦科醫院,醫生初次會診懷疑是純生殖細胞瘤,但複檢發現人絨毛膜促性腺激素指數明顯升高,認為是混合型生殖細胞腫瘤,而且有復發跡象,加上內分泌紊亂合併肺部感染,反覆出現發熱、渾身浮腫、情緒煩躁,必須盡快放化療,否則會擴散。最後在家屬的同意,進行了放射治療控制腫瘤。少年經過4次放療,體溫終於恢復正常,情緒也穩定下來,目前正在接受化療,每日喝水量也控制在3公升左右。醫生指出,少年的腫瘤生長在鞍區,對下丘腦產生壓迫或侵犯,從而引起一系列下丘腦綜合症,包括多飲多尿、記憶障礙、情緒波動、食慾異常、體重變化、體溫調節異常等。對此醫生提醒,尿崩症、視力障礙和垂體功能低下是鞍區生殖細胞腫瘤典型「三聯症」,若出現多飲、多尿,伴有視力減退、內分泌紊亂,要高度警惕,及時就醫檢查。
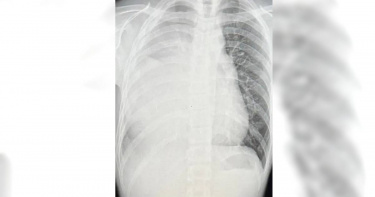
二手菸害慘?21歲男不抽菸愛運動…肺部竟白一片 醫:一輩子只剩一邊肺
21歲男子不抽菸,喜歡喜歡從事爬山、騎腳踏車等戶外運動,結果今年7月因胸痛就醫後,透過X光照發現他的肺部已經白了一片,後續再做電腦斷層、核磁共振等檢查,竟確診「生殖細胞瘤」,只見縱隔腔長了15公分大的腫瘤。原PO透露,化療期間醫生的一句話也讓他忍不住邊聽邊哭「我才21歲耶。」一名男網友近日在Dcard以「21歲的我只剩下一個肺」為題發文指出,「我本身沒有抽菸,但是我家人有很多都有抽菸,不知道是不是有影響到?!」他表示今年7月8日他突然胸痛,就醫照X光後驚見「肺部白了一片」,醫師馬上幫他轉診到林口長庚胸腔內科,隨即開始就一連串的檢查,「照了一堆電腦斷層、核磁共振後,發現我的縱隔腔長了15公分大的腫瘤,馬上安排了切片。」原PO表示,7月底「第一次化療,此時腫瘤已經長到20公分了」他感嘆,「化療後超想吐、噁心、食慾不振、做惡夢,真的好痛苦,每天每天心情都好差」,做完3次化療後,「腫瘤持平沒有變大縮小,但是在壞死的過程中腫瘤纖維化了」,更讓他痛心的是,「醫生告訴我我一輩子只剩下一邊的肺了,一邊已經失去功能了,聽完的當下我馬上就哭了,我心想我才21歲耶。」他無奈表示,「我不知道以後的日子會是怎樣,會不會有一天復發我就死了,一切的未知不安在我腦海裡迴盪」,覺得治療好累好累,「我已經筋疲力盡了,但還是很感謝所有支持我的家人朋友,我真的好愛他們,當然還有醫生和護理師們,沒有他們我不知道該怎麼走到現在,希望大家好好愛自己保護自己的身體,謝謝你們看到這邊。」貼文一出也吸引網友們的加油打氣,有過來人便鼓勵他「我也是21歲生殖細胞腫瘤,在腦下垂體的部位。現在手術化療放療都做完了,腫瘤完全消失,恢復的也很好只需要定期回診!(尤其是生殖細胞癌對放射線很敏感)」當時他也很害怕,但是「這是一個第四期都能痊癒的癌症,你要撐下去好好吃飯好好治療!一定要好好吃飯才有體力撐下去喔!」
寶寶才出生7天就被診斷出「這部位」罹癌 醫師提醒9個必備觀念
據英媒的報導,就在25歲新手媽媽賈布琳(Billie-Jo Jobling)生下男嬰小艾薩克(little Isaac)的數個小時後,寶寶的睾丸被診斷出長著一塊腫塊,進一步檢測後還發現竟然是一種罕見的癌症。值得慶幸的是,癌症被提早發現,小艾薩克目前在手術後處於康復階段,不過在接下來的5年裡,他必須每3個月便進行一次身體掃描以及抽血檢查。據英國《太陽報》的報導,男嬰小艾薩克的睾丸在出生數個小時後便被診斷出長著一塊腫塊,最初醫務人員認為他可能罹患睪丸扭轉,但進一步檢測才發現,這其實是一種被稱為「幼年型顆粒性生殖細胞瘤」(juvenile granulose germ cell tumour of the testes)的罕見癌症。這導致小艾薩克才出生7天就不得不接受手術並切除腫塊。這個結果也讓25歲的年輕媽媽賈布琳徹底心碎,當下的她已確信自己會失去小男嬰,「我非常沮喪,幾乎每天都在哭。這絕對是我經歷過最艱難的事情。你的世界即將崩潰,生活將從此改變。」值得慶幸的是,小艾薩克的癌症被提早發現,因此在經歷過手術後,他已經脫離險境並處於康復狀態,不過在接下來的5年裡,他必須每3個月便進行一次身體掃描以及抽血檢查。據悉,幼年型顆粒性生殖細胞瘤的前兆,便是睪丸的無痛腫塊及腫脹,或是睾丸或腹股溝隱隱作痛等。據「嬰兒與母親」懷孕、生產及育兒知識平台的報導,中山附醫兒童血液腫瘤科的翁德甫醫師,以及臺北癌症中心兒童腫瘤團隊主治醫師劉彥麟醫師也提出了9個「萬一寶寶罹患癌症,爸媽必須有的觀念」:1.寶寶罹患癌症,大多是因基因突變所致,難以預防,不是父母做錯了什麼事,寶寶才會罹癌,父母不要自責。2.兒童癌症與成人癌症不同,成人癌症致死率比較高,兒童癌症的話即早發現與好好治療,大多可以康復,所以父母不要灰心。而且正因兒童與成人癌症不同,就醫需尋找相關的小兒次專科醫師,不建議父母請專治成人的醫師醫治小兒癌症。3.如果替寶寶施打化療藥物,寶寶通常比較不會像大人使用化療藥物那麼不適,因為寶寶的代謝比較快,所以爸媽不用太懼怕寶寶使用化療藥物。即早就醫就能即早治療。4.父母要去認識相關疾病,扮演輔助角色,不要絕望也不要亂餵寶寶吃來源不明的偏方,必須讓寶寶接受醫師正規治療,若有問題應請教醫師。5.臺灣健保與社會團體提供兒癌病童許多協助。如果確認罹癌,醫療團隊通常會協助申請重大傷病卡,減免部分負擔。此外病童與家庭如有就學、遠地就醫、急難救助等需求,也可以透過醫院社工師申請教育局床邊教學、麥當勞叔叔之家、兒童癌症基金會…等資源協助。6.小時候曾罹癌,長大後再得到其他種癌症的機率大約有20%,比一般族群稍高,雖然不用過於擔心,但仍要注意。建議家長要永久保存病童的醫療記錄,包括發病、診斷、檢查及治療等,並與主治醫師討論長期追蹤照護的方案。7.罹癌孩童建議以攝取天然食物為主,如果有家人強烈建議要給病童服用健康食品,可上網搜尋「衛生福利部審核通過之健康食品資料查詢」作為參考,並應與醫療團隊及主治醫師討論。8. 如果親友的小孩罹癌,應給予適度心理支持(注意適度就好,用心聆聽比胡亂建議有效,別疲勞轟炸),或是有時候可幫忙親友分擔家務或照顧其他寶寶,讓病童家長可以外出或休息。9. 癌症不會傳染,不要怕自己的小孩被罹癌的小孩傳染癌症。如果小孩在公園看到沒有頭髮、戴口罩的兒童,可以鼓勵其他小孩「他比較特別,所以要戴口罩,我們還是可以一起玩」,鼓勵從事一些溫和的遊戲。