皮膚疹
」 發燒 過敏 兒童
坣娜長年受紅斑性狼瘡所擾!併發症多元 患病「高風險族群」曝光
59歲「美聲歌后」坣娜今(29)日傳出已在10月16日病逝消息,震驚各界。坣娜生前曾透露,自己長期受「紅斑性狼瘡」(Systemic lupus erythematosus, SLE)所苦,病逝消息傳出後,該疾病也引起關注。根據資料,紅斑性狼瘡是一種慢性全身性的自體免疫疾病,其身體免疫反應會產生各式各樣的自體抗體,進而造成系統性的臨床症狀。中華民國風濕病醫學會秘書長盧俊吉指出,東亞的漢民族是紅斑性狼瘡的高危險族群,若2等親內有人罹患紅斑性狼瘡者,罹病的機率會較一般人高出5倍以上;3等親有人罹病者,風險仍有一般人的2倍左右。根據中國醫藥大學附屬醫院提供資料,紅斑性狼瘡是一種慢性全身性的自體免疫疾病,其身體免疫反應會產生各式各樣的自體抗體,進而造成系統性的臨床症狀。病症好發於20歲~40歲的女性,病人鼻樑、臉頰會出現紅斑,像似狼的雙頰,因而得名。紅斑性狼瘡症狀表現因人而異,表現十分多樣化,病程也有很大差異。以下為常見的症狀:一、一般徵象:如胃口不佳、倦怠、輕微發燒、肌肉酸痛、消瘦、口腔潰瘍等。二、皮膚:有不同的皮膚疹,如雙頰出現蝴蝶斑、身體出現盤狀丘疹,並對光敏感。三、毛髮:病情活躍時,有些人會出現毛髮脫落之情形,至病情穩定後即可再生長。四、肌肉骨骼及關節:產生關節肌肉疼痛、發炎、並合併肌腱、韌帶發炎。五、心、肺臟:心包膜或肋膜發炎、積水等,可發生心悸、呼吸困難等症狀。六、腎臟:出現腎功能異常、蛋白尿、血尿、細胞圓柱體;在病情嚴重時可引發全身水腫,甚至腎衰竭。七、腦中樞神經:可發生抽搐、頭痛、神經麻痺、或精神異常。八、血液異常:可產生貧血、白血球、淋巴球、或血小板過少。九、當以上症狀出現多項時,即應懷疑罹患紅斑性狼瘡。95%~98%的症患會出現抗核抗體(ANA),且在發病初期即可檢驗出來。資料也指出,目前醫藥科技發達,紅斑性狼瘡已不可怕。對於紅斑性狼瘡患者而言,「早期診斷,早期治療」相當重要。症狀較輕時,可用非類固醇抗發炎劑或奎寧來治療;中重症者則需使用類固醇,更嚴重者要加上免疫抑制藥物來治療。且除了服用藥物來治療疾病外,仍須遵守以下自我照護之原則:‧定期門診追蹤,隨時與醫師保持連繫。‧按時服藥,勿自行增減藥劑量或停藥。‧充分休息,保持情緒平穩,並注意保暖為了預防復發,患者要注意避免太陽曝曬、按時服藥、預防感染病均衡飲食的攝取,以增加抵抗力。此外,也因注意是否有復發徵兆,如輕微發燒,關節肌肉酸痛、疲憊乏力等症狀,應立即就醫處理。病人的受孕率是正常的,可以結婚生子,但在症狀活動期時應避免懷孕,當情況穩定時,且藥物劑量減低,經醫師評估,可懷孕生子;若想避孕,最好由先生採取避孕措施以減少感染機率。另據《中央社》報導,高雄榮總免疫風濕科主治醫師、中華民國風濕病醫學會秘書長盧俊吉指出,東亞的漢民族是紅斑性狼瘡的高危險族群,若2等親內有人罹患紅斑性狼瘡者,罹病的機率會較一般人高出5倍以上;3等親有人罹病者,風險仍有一般人的2倍左右。
2歲童發燒吃祖父剩藥全身過敏起疹 醫師籲使用抗生素應遵守「4不1要」
一位2歲男童發燒,但祖父母未帶孩子就醫,拿自己以前吃剩的藥減量後給孩子服用,不料孩子開始出現食慾下降、活動力變差等症狀,全身還冒出皮膚疹,要住院治療,竟是因為藥物含有抗生素安莫西林(Amoxicillin)。林口長庚醫院兒童一般醫學科吳昌騰醫師表示,這是亂用抗生素引發的延遲性過敏反應,也提醒兒童不是「縮小版大人」,用藥與成人大不同,減量也不能確保是安全劑量,切勿擅自拿大人的藥餵孩子吃。孩子感冒要吃抗生素嗎?醫說明原因 使用不當有1後果當孩子出現感冒、發燒症狀,許多家長或照顧者會主動要求醫師開立抗生素。不過,抗生素是專門對抗細菌的藥物,而感冒通常由病毒引起,用抗生素無效,還可能有副作用,多為皮疹、腸胃不適、倦怠、食慾變差等。吳昌騰醫師說明,需要使用抗生素的常見兒童疾病則有:泌尿道感染、細菌性肺炎、蜂窩性組織炎,以及特定細菌引起的扁桃腺炎、中耳炎等。吳醫師進一步說明,兒童體內各系統尚未完全發育成熟,對藥物的吸收、代謝、排泄和作用方式,都有別於成人,部分藥品在兒童身上可能導致呼吸抑制、腸阻塞、抽搐、心律不整等嚴重不良反應。兒童抗生素需要根據其體重和體表面積來開立,且必須完整地完成療程,不能隨意減量或停藥,使用不當可能產生抗藥性。忘記吃藥要「補吃」?孩子把藥吐出來怎麼辦?醫師解答吳昌騰醫師分享,有一位孩子因泌尿道感染發燒,藥吃完了燒卻沒退,原來是因為祖母未配合醫囑餵藥,有時一天只吃一次或兩次,或是忘記服藥再「補吃」,導致療效不佳,甚至可能使體內細菌產生抗藥性,造成原本有效的藥物無法控制感染,病情反覆發作。他提醒,若忘記給孩子吃抗生素,應諮詢醫師如何調整劑量和服藥時間,以確保每日總量足夠;兒童常有用藥順從性不佳的問題,如果有把藥吐出來的狀況,在服藥後半小時內發生,需補餵同等的劑量,後續藥物不夠也要回到原診所或醫院請醫師再開立藥物,重點是「劑量要夠,天數要夠」;若是半小時後,藥物可能已吸收,則不需補餵。抗生素副作用如何辨認?觀察吃藥後有無「新症狀」如何區分抗生素副作用和疾病本身的症狀?吳昌騰醫師表示,使用抗生素後,家長需密切觀察兒童吃藥後是否出現新的症狀,例如皮膚疹可能立即或在服藥後三到五天才出現,腹瀉則有可能大便次數變多或變稀,跟原先病程不同,如果狀況嚴重,應立即回診請醫師評估。遵守抗生素「四不一要」!食藥署:1行為恐無法申請藥害救濟食藥署藥品組劉佳萍簡任技正提醒,使用抗生素應遵守「四不一要」原則,包括不主動要求抗生素、不隨便自己買抗生素吃、不吃他人的抗生素、不隨便停藥,以及要遵守醫囑使用抗生素。吃別人的藥而發生嚴重藥品不良反應,因為屬於藥品非正當合法使用,將無法申請藥害救濟,請民眾務必留意。食藥署王德原副署長也指出, 2020年至2025年6月的統計顯示,抗生素不良反應通報有2,354件,占整體藥品不良反應通報3.6%,最常引起不良反應的抗生素是安莫西林,占48.8%,常見症狀依次為皮膚、腸胃道和全身性症狀。其中,12歲以下兒童抗生素不良反應通報共計154件,其中55%與安莫西林相關,有69.9%出現皮膚相關症狀,其次是腸胃道(13.1%)和呼吸道症狀(3.4%)。【延伸閱讀】為何兒童性早熟診斷要照超音波?兒科醫解答!就醫前家長要注意3點感冒開抗生素很正常?吃了能更快好? 了解病毒or細菌感染別再誤用抗生素https://www.healthnews.com.tw/readnews.php?id=65758
祖父母餵抗生素!2歲童全身起疹住院 食藥署:謹記「4不1要」
當孩子出現感冒、發燒症狀時,許多照顧者因擔心病情惡化,有時會主動要求醫師開立抗生素,但事實上不是所有疾病都需抗生素治療。醫師表示「兒童非縮小版大人」,不宜未遵醫囑加減使用成人劑量抗生素。就有一名2歲男童,因使用祖父母給予的抗生素後出現嘔吐、全身皮膚疹等不良反應,最終住院治療。對此,衛福部食藥署呼籲民眾守護兒童用藥安全,使用抗生素四不一要,包括不主動要求抗生素、不隨便自己買抗生素吃、不吃他人抗生素、不隨便停藥。衛福部食藥署今天召開「守護兒童用藥安全,使用抗生素四不一要」記者會,林口長庚醫院兒童一般醫學科、兒科急診主治醫師吳昌騰表示,兒童是感染症的高危險群,門診中常見的是上呼吸道感染的感冒,但致病原多為病毒,而抗生素對非細菌感染的疾病無效。他也指出,醫師通常開立抗生素的情況包括流感、急性中耳炎、C型肺炎、泌尿道感染等疾病,當兒童因病使用抗生素時,醫師、家長角色就很重要。吳昌騰說,兒童不是縮小版大人,體內各系統尚未完全發育成熟,對於藥物的吸收、代謝、排泄和作用方式與成人有很大不同,因此即使是「減量處理」,也無法準確推估安全劑量,部分藥品在兒童身上可能導致呼吸抑制、腸阻塞、抽搐、心律不整等嚴重不良反應,因此醫師開立兒童抗生素時須以年齡、體重或體表面積為標準,像常見的安莫西林(Amoxicillin),15公斤幼兒的劑量不像成人需500毫克,約200毫克即可。林口長庚醫院兒童一般醫學科、兒科急診主治醫師吳昌騰。(圖/林則澄攝)吳昌騰提到,有名2歲男童由祖父母負責日常照護,男童傳染性單核球增生症(EB病毒感染)發燒後,祖父母未帶男童就醫,因擔心男童不適,基於過去自身經驗,擅自取用家中留下的退燒藥及成人安莫西林(Amoxicillin)500毫克,將抗生素減量後給予男童服用,結果男童服藥後陸續出現噁心、嘔吐、全身皮膚疹,且有食慾明顯下降、活動力變差,最後必須住院治療。吳昌騰說,以抗生素安莫西林(Amoxicillin)為例,若兒童使用成人劑量,有可能導致大便次數與頻率改變,排泄物的型態也可能有異常,其次是皮膚起疹子,尤其是有藥物過敏的兒童,疹子通常在使用抗生素4至5天後產生,「所以我們會跟家長提醒,兒童服用成人劑型抗生素,要麼就是立即性的過敏反應,也有人是延遲性的過敏反應,在3至5天後才出狀況。」食藥署副署長王德原表示,自2020年至2025年6月止,藥品不良反應通報案例的抗生素占3.6%、為2354件,比例最高的是安莫西林(Amoxicillin)占48.8%、為1148件;12歲以下兒童為154件,比例最高的仍是安莫西林占55.2%、為85件。症狀部分,他說所有抗生素不良反應通報案例中,以皮膚症狀最多,其次是腸胃道症狀,再者為全身性反應;12歲以下兒童皮膚症狀占69.9%、腸胃道症狀占13.1%、呼吸道症狀占3.4%。食藥署副署長王德原。(圖/林則澄攝)食藥署藥品組簡任技正劉佳萍指出,目前開立給兒童的抗生素藥水常見成分如安莫西林(Amoxicillin)、頭孢菌素類(例如Cephalexin)、阿奇黴素(Azithromycin)、克拉黴素(Clarithromycin)與磺胺噁唑(Sulfamethoxazole)等類別,常用於治療呼吸道、泌尿道或皮膚等感染症。至於台灣常用抗生素許可證張數,包括安莫西林(Amoxicillin)36張、頭孢菌素類(例如Cephalexin)17張、阿奇黴素(Azithromycin)9張、克拉黴素(Clarithromycin)15張,加總共77張。兒童常用抗生素與使用風險。(圖/食藥署提供)王德原提醒,民眾守護兒童用藥安全,可從「四不一要」做起,包括「不主動要求抗生素」,尤其感冒多為病毒感染,不一定需抗生素;其次為「不隨便自己買抗生素吃」,民眾使用藥品前應諮詢醫師及藥師等醫療專業人員,以免藥品不良反應或交互作用的發生;再者是「不吃他人的抗生素」,因每個人的體質、病況、生理狀況等都不盡相同,若因吃別人的藥品而發生嚴重藥品不良反應,因藥品非正當合法使用,將無法申請藥害救濟。王德原接著呼籲,民眾「不要隨便停藥」,因無論是誤用抗生素、劑量不夠或是療程太短,殺不完的細菌將發展出抵禦藥品攻擊的能力,也就是所謂的「抗藥性」,將讓人面臨無藥可用的窘境;民眾「要遵守醫囑使用抗生素」,使用抗生素前應確認使用原因、使用劑量、頻次與療程天數,若於使用抗生素後產生異狀,應立即就醫。使用抗生素「四不一要」。(圖/食藥署提供)此外,劉佳萍表示,民眾遵照醫囑完成療程後,「正常來說,不該有剩抗生素的問題存在。」她也補充,剩餘藥品不要丟到馬桶,以防止落入廢水處理系統後造成環境污染,目前多個縣市的焚化廠其實都可協助處理廢棄物。王德原補充,剩餘抗生素也可送至醫院或藥局,院方會將抗生素當廢棄物處理。最後,衛福部疾管署、食藥署及農業部自2025年1月1日正式啟動「國家級防疫一體抗生素抗藥性管理行動計畫」。王德原指出,此計畫目的是配合全世界減緩抗素抗藥性發生及傳播,食藥署的執行面包括針對臨床上重要的抗生素進行品質監測等事宜,今年將抽取4項候選的抗生素、21件檢驗,以確保品質沒問題。不過王德原也說,此計畫是全面性的普查,範圍不限於抗生素,還包括其他藥品與即食食品,例如生鮮食材的壽司、生魚片,食藥署也會檢驗是否有微生物污染,若有則進一步觀察該微生物是否帶有抗藥性的基因,今年將抽取500件,但目前還在抽樣階段,執行成果預計今年底出爐。
7旬嬤拒治潛伏結核!竟惡化成「結核病」 專家曝最佳預防時機
一位長照機構住民約70多歲的奶奶,先前參與潛伏結核感染(Latent tuberculousis infection)篩檢時檢測為陽性,醫療團隊建議她接受預防性治療,但因家屬擔心藥物的副作用造成身體負擔,因此拒絕,錯過提早預防性治療的時機。今年奶奶開始出現持續咳嗽、體重下降和乏力等症狀,經醫師診斷確認她已發展為活動性結核病。結核病治療複雜 需服用多種藥物且療程長潛伏性結核感染只需要服用較少的藥物,依不同的藥物組合,期間有1個月、3或4個月,而結核病的治療更為複雜,需要服用多種抗結核藥物,且療程長達6至9個月。期間,奶奶出現了噁心、食慾不振及皮膚疹等藥物副作用,使原本已有慢性病困擾的她身體更加虛弱。奶奶的家屬事後表示,當初以為拒絕治療是保護奶奶的健康,卻沒想到這個決定導致她病情加重,治療更加痛苦。他們坦言,如果能重新選擇,一定會接受預防治療,避免這場家庭中的健康危機。感染潛伏結核無症狀 早期篩檢有助防病發潛伏結核感染沒有症狀,但早期篩檢與治療是防止結核病發病、保護自己、家庭及社區安全的關鍵。潛伏感染若未治療,約10%的患者會發病,免疫力低下者風險更高達20%。及早接受治療能有效降低超過90%的結核病發病風險。臺北市立聯合醫院昆明防治中心結核病防治組黃慧蘭組長強調,潛伏結核感染的篩檢與治療是切斷結核病傳播鏈的關鍵,並呼籲與結核病患者有密切接觸者、長照機構住民及免疫力低下者等高風險族群,應主動接受篩檢。【延伸閱讀】台灣結核病新案逐年降! 國際專家肯定防治成效並給建議結核病潛伏期長達終生! LTBI檢驗治療對象擴大 增逾九成保護力https://www.healthnews.com.tw/readnews.php?id=64675
半夜掛兩次急診!「國光女神」愛女突發藥物過敏 專家說話了
「國光女神」蘇心甯(Lala)近期在自己的粉絲專頁透露,近兩個月會推掉多項工作是因為,自己的16歲女兒「萌妹」因藥物過敏而引起全身性重症,讓那段期間的她感到非常焦慮。對此,專家提醒,過敏最常出現的症狀是皮膚疹,若有過敏症狀應該先回想自己吃的食物及藥物,就醫時才能更好讓醫師對症下藥。蘇心甯表示,女兒在藥物過敏發作的前幾天,因為戴牙套而打了骨釘,原本想吃止痛藥減緩疼痛,卻沒想到吃完藥後,全身起紅疹,蘇心甯一開始以為是食物過敏,帶女兒去醫院掛急診打點滴,回家後病情卻更加嚴重,甚至半夜又再掛了一次急診。蘇心甯強調,女兒並無藥物過敏史,所以在醫師開藥前詢問是否有藥物過敏,她就回答沒有,沒想到止痛藥一吃過敏反應會那麼嚴重,還好萌妹在接受五天類固醇治療後,現在病情已經好轉,並且已經重回學校上課。大林慈濟醫院風濕免疫過敏科主任黃光永提到,藥物或食物引起的急性過敏,最直接的發病表現就是皮膚疹,其中尋麻疹是較為常見的症狀, 他強調,如果突然出現蕁麻疹時應該在就醫前先追溯是否有更換新藥,或食用新食物,以協助醫師更有效的治療。對於藥物過敏的原因,黃光永進一步提醒,有些藥物本身的性質容易引發過敏,而個人基因也可能成為過敏的誘因。國內每年公布的過敏藥物排行榜中,鎮熱止痛藥和抗生素常居前三,因為非類固醇類止痛藥或是抗生素經常被開立來預防或治療疾病併發症,是非常常見的藥物,所以他呼籲,民眾在使用這類藥物時要格外小心,畢竟常用藥物也可能引發過敏反應。
皮膚起紅疹「像被鞭打」…兇手竟是「香菇」 醫這樣說
不少家常菜都少不了香菇,但切記一定要充分煮熟,否則恐怕會出現像鞭打留下來的皮膚紅疹。林口長庚醫院風濕過敏科醫師蔡昀臻提醒,一項研究指出,要在攝氏130-145度的溫度下烹煮香菇,才能將lentinan多醣體的三股螺旋結構降解,從而減少皮膚毒性的風險。蔡昀臻在粉專《蔡昀臻醫師》表示,香菇皮膚炎首次由日本的中村雄彥先生(Nakamura Takehiko)於1977年首次提到,他報告了23個案例,這些個案在食用後出現排列整齊的線狀紅斑,伴隨極度瘙癢感,皮膚表現出丘疹、斑塊和水泡,外觀讓人聯想到中世紀的自我鞭打習慣,又稱鞭狀紅斑(Flagellant Movement,源自黑死病時期的西歐鞭笞者運動)。蔡昀臻指出,目前的研究認為,這種鞭狀紅斑(flagellate plaques)是由香菇中的一種多醣體,稱為lentinan所引起的毒性反應;研究顯示,lentinan可以促進介白質-1(IL-1)和其他發炎因子的分泌,這可能導致血管擴張、出血和皮膚疹,但lentinan是一種不穩定的多醣體,受熱會分解,因此如果香菇經過充分的烹飪,就可以安全地食用。至於症狀的表現,通常在食用生或未煮熟的香菇後的24至48小時內出現,最長可達3天,主要的症狀為鞭狀皮膚炎,約98%的病例有此症狀,以及搔癢,約78%的病例有此症狀。蔡昀臻提到,一般而言,無需特殊治療,症狀通常在2至4周內自行消退,如果需要治療,則根據治療方式的不同,通常約需9至11天症狀會消退,而治癒後可能會留下輕度色素沈澱,在病情嚴重的情況下,可使用抗組織胺和局部或口服類固醇治療。蔡昀臻提醒,最重要的預防方法是避免食用生或未充分烹煮的香菇,一項研究指出,要在攝氏130-145度的溫度下烹煮香菇,才能將lentinan多醣體的三股螺旋結構降解,從而減少皮膚毒性的風險,當身上出現這些紅疹的時候,想一想發作前有沒有接觸或食用什麼,建議先拍照下來,趕緊就醫。
中年女治療皮膚癢 停藥後「吃不下睡不好」竟是類固醇惹禍
有皮膚疹困擾的57歲邱女士,日前因天氣炎熱長了大量的濕疹、汗疹、汗皰疹,到皮膚科診所就醫,除了擦的藥膏外,也服用了大量類固醇藥物壓制症狀。幾個禮拜停藥後,皮膚問題雖然被控制住,但是邱女士卻老是感覺全身無力、晚上睡不著覺、血糖數值更異常升高,維持了兩個多月遲遲找不到原因。可體松分泌過低 導致食慾不振、虛弱疲累台北慈濟醫院新陳代謝科醫師周璠表示,經過詳細檢查,懷疑邱女士的症狀是大量使用類固醇藥物後突然停藥,導致腎上線素荷爾蒙可體松低下,除安排抽血,也給予低劑量的類固醇治療,一個禮拜後,她的症狀大幅好轉,抽血報告也證實是腎上腺功能低下,持續服藥兩個禮拜後,邱女士恢復精神,腎上腺功能恢復正常、血糖也回到正常值。周璠說明,可體松(Cortisol)又稱皮質醇,是腎上腺皮質分泌的荷爾蒙之一,腺體位於腎臟上端的腎上腺,左右各一,是一種壓力荷爾蒙,當人體遇到危機時,會刺激血糖、血壓及心跳快速上升,以應付緊急狀況。但如果可體松分泌過高,反而導致庫欣氏症候群,出現睡眠異常、傷口不易痊癒、中心肥胖但四肢肌肉流失、骨質流失的情形,外顯症狀則有常見的月亮臉、水牛肩、紫色妊娠紋等;反之若分泌不足則會造成腎上腺功能低下,產生食慾不振、低血壓、低血糖、電解質異常、虛弱、反應慢等症狀。類固醇大量服用 突停藥恐引發「腎上腺功能低下」周璠指出,腎上腺功能低下的發生原因有腎上腺腫瘤或腦下垂體異常,但其中藥物造成的發生率非常常見,若未適切治療,萬一病人在此時遭逢嚴重的感染或急症,可能出現腎上腺危象,也稱為急性腎上腺功能不全,每年約8%的腎上腺功能不全患者會出現腎上腺危象,死亡率約為6%。如果能夠迅速識別並及時進行類固醇治療,患者的預後和康復效果良好。可體松是在人體產生的荷爾蒙,若被製成藥物,就是耳熟能詳的類固醇。類固醇在正確使用的情況下能解決許多急性病症,但若未遵照醫囑服用,很可能造成人體腺體分泌異常。醫療需尋根治本 濫用藥物恐引起併發症許多民眾到處求醫,為緩解當下不適,但卻忽略尋根治本的重要性,也在無意中濫用了類固醇一類的藥物。常見如長者關節痛會長期到診所打止痛針、或是飽受皮膚疹困擾一發作就到診所拿藥,症狀改善就下次發作再去拿藥。周璠提醒,類固醇雖能治癒許多急症,但長期未控制的情況下一直使用會導致諸多併發症如:骨頭壞死、血糖失調、心血管負擔等,單純用藥緩解並非長久之道,反而造成惡性循環。
妹子確診康復出現「10大症狀」 醫給排毒秘訣:吃這類食物
疫情改變了大家的生活,確診後更是影響身體健康。曾有一名30多歲女子,確診後身體有很多症狀,懷疑體內還有新冠病毒殘留,但醫師點出,其實新冠病毒早就沒了,主要問題和飲食習慣有關。家醫科醫師王健宇在節目《健康好生活》分享,有位女病患染疫康復後,再來看診都會講一些很奇怪的病徵,像是睡眠障礙、容易疲勞、不明頭痛、注意力不集中等,網路搜尋推測是身體還殘留很多毒素,而且確診後有看診,吃抗病毒的藥,但是隔了11天再篩檢,還是2條線,懷疑身上的毒素還在,因此想請醫師開立排毒的藥,想把身體的病毒給排掉。王健宇聽完會心一笑,覺得女病患的想法很可愛,接著指出對方的主要問題,原本飲食算正常,但受到疫情影響居家,三餐就隨便解決,常常吃泡麵果腹,確診後的2個禮拜吃得又更差,都是人工色素和化學食物,沒有吃原型食物,導致有便秘、皮膚過敏的問題。女病患擔心新冠病毒還在體內,不過王健宇透露,病毒已經離開了,需要做的是補充綜合維他命、吃原型食物,病人內心的壓力下降,生活飲食正常後,問題就會改善,因此他呼籲:「吃原型食物才是身體健康的第一個大要務」。身體有10個症狀就是體內毒素太多。(圖/翻攝自健康好生活YouTube)另外,王健宇也分享,若出現以下10症狀,當心是體內毒素太多了。1.腦筋混沌、記憶喪失、注意力不集中2.睡眠障礙、失眠3.不明頭痛和噁心4.便秘5.皮膚疹、濕疹、搔癢6.抑鬱、喜怒無常7.口臭、體臭8.容易疲勞、全身肌肉痠痛9.免疫力變弱10.腹部脂肪增加、經常腹脹
9歲童確診3周後「突發高燒5天」…紅眼睛、紅斑狀皮膚疹 血壓一量嚇壞醫
新冠肺炎對兒童的威脅不容小覷,至今已有多起孩童確診後,引發多系統炎症徵候群(MIS-C)。一名9歲女童日前確診後康復,不料之後突然發高燒5天,陸續出現紅斑狀皮膚疹,到了急診量血壓,血壓為75/39 mmHg,把眾人嚇傻,所幸在進行MIS-C併發休克的治療後,已順利康復出院。吳昌騰在粉專《來講兒科急診的543-吳昌騰醫師》分享,前一段時間,兒科急診來了一名9歲女童小玲,小玲3個星期前曾確診,當時沒有太嚴重的狀況,康復後也沒有任何不舒服,但在到急診的前5天,開始發高燒,前3天開始出現皮膚疹,是紅斑狀,不會癢的,最初出現在胸部和軀幹,但進展到全身,而到了急診當天,出現紅眼睛。吳昌騰表示,當下跟小玲媽媽提及MIS-C,媽媽也覺得女兒越來越像是MIS-C,「驚險的在後頭,因為MIS-C的診斷需要實驗室的檢驗數據,當小玲在兒科急診室抽血時,沒多久,我們發現她出現心跳過快,脈搏微弱,當下我們馬上幫她量血壓,血壓為75/39 mmHg,媽媽看了也嚇一跳。」吳昌騰指出,一發現立即開始做MIS-C併發休克的治療,包括即刻輸液的灌注等,並且安排轉入加護病房做後續治療;經過診斷,確認是MIS-C,不過還好,治療後小玲順利康復出院。吳昌騰直言,「MIS-C兒童多系統發炎症候群」一直都在大家身邊,MIS-C通常在SARS-CoV-2感染後2-6周出現,當然也有超過6周才出現的,其臨床特徵與川崎氏症(Kawasaki disease)及毒性休克症候群(Toxic shock syndrome)有些相似。他也提及,MIS-C患者會出現發熱(3天以上)、腹痛、腹瀉、嘔吐、凝血功能異常、皮膚黏膜病變、結膜炎、低血壓甚至休克;MIS-C主要是因為病童感染新冠病毒後,導致病毒攻擊人體,這會讓體內產生很強的免疫反應,形成免疫風暴,也會使體內的中、小血管發炎,進而表現出全身多系統發炎,例如心臟、呼吸系統、腎臟、神經、凝血功能、腸胃道、皮膚等都可能發炎受傷。吳昌騰說,所以MIS-C是一個影響到多系統的疾病,因此支持性的療法,穩定生命徵象最重要,目前針對MIS-C的治療主要以「免疫球蛋白」注射為主,再根據病人病情是否改善,醫師再搭配其他後線藥物的治療。經過這次經歷,吳昌騰直呼,「兒科急診真的是很有挑戰性的工作。」
兒童重症0至5歲佔67% 近9成未接種疫苗
今天新增本土21761例、境外移入228例,另增死亡個案31起,中重症89例,中症62例、重症27例。醫療應變組副組長羅一鈞表示,重症中有3件MIS-C(孩童多系統炎症徵候群),其中一位1歲男童,6/27確診,8/4出現發燒、咳嗽、流鼻水、嘔吐、腹瀉、四肢出疹,8/7到急診,診斷為MIS-C住院,使用類固醇治療,目前在一般病房住院。另一例為2歲女童,6/18確診,8/6發燒、皮疹、右頸腫痛、嘔吐、胃口變差,8/8住院檢查有頸部淋巴結腫、結膜炎、草莓舌、發炎指數升高,診斷MIS-C,使用類固醇、免疫球蛋白治療,目前在一般病房住院。另一名5歲男童,打過一劑新冠疫苗,6/23確診,8/4出現發燒、咳嗽、喉嚨痛、肌肉痠痛、頭痛,8/6到急診,懷疑細支氣管炎住院,住院後持續高燒、頭痛,又出現腹痛、結膜炎、全身紅疹、血壓偏低,診斷MIS-C,使用類固醇和免疫球蛋白治療,目前在一般病房住院。林口長庚醫院副院長邱政洵表示,近來每日新增兒童確診案例約5000人,一半以上是10歲以下孩子,也是較容易出現併發症的族群,包括哮吼、肺炎、腦炎等,其中以MIS-C最多,多發生在確診後2到6周,可能在復原一陣子後才出現腸胃道症狀、皮膚疹等情況,腦部也可能受影響,產生頭暈或暫時性意識改變。邱政洵說,研究證實,疫苗可減少MIS-C發生率,具有9成以上保護力,根據丹麥研究,Delta時期接種疫苗者,9900人中只有一例MIS-C,但沒打疫苗者則是3400人中有一例MIS-C;Omicron疫情下,有打疫苗的孩子,每100萬人只有3.7例MIS-C,未打疫苗則是每100萬人中有35例。此外,10歲以上間隔中位數為34天、5-10為26天,5歲以下為29天,且有些個案的症狀會更久後才出現MIS-C,甚至長達50幾天到2個月。指揮中心統計,國內12歲以下兒童重症累計162例,包括27例腦炎、21例肺炎、3例敗血症、8例哮吼、93例MIS-C、1例心肌炎、3例共病(腦腫瘤、癲癇)及6例到院前死亡;兒童病逝則已有27人,其中10例腦炎、5例肺炎、1例心肌炎、2例敗血症、2例共病、1例哮吼及6例到院前死亡。羅一鈞說明,目前162例兒童重症,其中67%、108位為0~5歲,是最近才剛開始打疫苗的年齡層,反觀6~12歲年齡層,佔重症比例僅3分之1。162例兒童重症中,87%、141人沒打過新冠疫苗,而重症中最多是MIS-C,93例MIS-C有76人、超過8成沒打疫苗,所以還是建議儘快接種疫苗。
病毒之戰2/症狀難辨!可能只有一顆疹子 「跨國超連結」擴散全球
台灣出現首例猴痘個案,讓不少人都驚呼「怎麼這麼快!」但國外媒體其實早就指出「這不是另一場新冠疫情,是一次不尋常且史無前例的猴痘疫情暴發。」從5月中旬起短短1個月,就迅速席捲全球47國,目前已有近4000人感染。前台大感染科醫師林氏璧說,過去經驗中,感染猴痘會先發燒、再起疹子,從臉部開始,然後到身體其他部位這樣的病程,但世界衛生組織指出此次猴痘病毒有不典型表現,許多病患可能僅有少數疹子,甚至只有一顆,可以只出現在生殖器或是鼠蹊部,肛門周圍,而不會到全身,也可能在發燒前就有疹子。「這樣的不典型表現,似乎代表病毒已經突變。」林氏璧說,更重要的是,這讓猴痘變得更難診斷。中國醫藥大學新竹附設醫院感染科主任張凱音表示,這些不典型的症狀,可能是因為「人類並非猴痘病毒主要的宿主」,所以有些人出現的症狀較為輕微,甚至難以分辨,但張凱音認為現階段還不需要對猴痘過度恐慌,主要是它的傳染力大約是1傳2,相較於新冠肺炎可以1傳12,「兩者相比,差多了!」但猴痘仍有其可怕之處,除了難以診斷之外,由於猴痘多半是透過極為親密的接觸傳染,甚至是性行為,所以確診之後的疫調十分困難,因為許多人可能會隱瞞接觸史。台灣於6月24日出現首例境外移入猴痘案例,讓許多人驚訝速度如此快,再加上症狀並不典型,因此讓邊境防疫更增加難度。(圖/報系資料庫)張凱音說,以這一波歐美的猴痘疫情為例,98%都是性接觸傳染,由於現代人交通便利,可能前一天在這一個國家,明天又到另一個國家,這樣的「跨國超連結」讓猴痘一下子在全球各國蔓延開,只要確診者隱含中間某些環節,更何在加上猴痘潛伏期最長可到21天,只要一不小心,病毒就會繼續擴散。林氏璧認為,目前仍無法確定性行為體液會造成傳染,只能確定直接接觸受感染的皮膚疹子會遭到感染,他建議不要進行不安全的性行為。另外,從資料來看,目前猴痘患者多半都是輕症,極少數需要住院。目前僅通報一例免疫不全的患者死亡,致死率比之前研究數據的1成更低,推測病毒有可能突變得傳染力更強,但致死率卻降低。病程:發燒1至3天後出現皮膚病灶,通常自臉部蔓延至身體其他部位,四肢比軀幹更常見;皮膚病灶出現後會依班疹、丘疹、水泡、膿疱階段變化,最終結痂脫落,症狀可能持續14至21天。
猴痘入侵台灣…醫警告:一進社區就「斷不了根」 預防感染關鍵「別做這件事」
全球新冠肺炎疫情未歇,現在又有猴痘(monkeypox)來勢洶洶,台灣疾管署才剛剛公告,把猴痘列為第二類法定傳染病,結果昨(24日)晚間,國內馬上就出現一例由德國移入的猴痘確診病例,引發國人擔憂,深怕像新冠病毒一樣,掀起大流行。台大前醫師林氏璧也在臉書提醒,猴痘的感染途徑,主要是來自「接觸傳染」,國人除了勤洗手、戴口罩、「不要進行不安全的性行為」才是關鍵;而台大兒童醫院院長黃立民則警告,猴痘一旦進入社區,就會「很難斷根」。林氏璧在臉書發文指出,這波猴痘疫情短時間已經有超過3000例,多半都有性行為密切接觸史。WHO報告中表示,此次病毒有一些不典型表現,不少患者不會像傳統的病程發展,先發燒然後再起疹子,這波疫情滿多病患,身上疹子不多,有的甚至只有一顆,這樣不典型的表現,讓他不禁猜測,病毒本身可能已經發生突變了。林氏璧指出,目前還不是很確定,性行為的體液是否會傳染猴痘,但可以確定的是,透過直接接觸受感染的皮膚疹子,是具有傳染力的。不過他也提到,基於「3原因」他不認為猴痘的傳染力會比新冠病毒高,因為第一點,就目前看來,飛沫甚至空氣傳染,應該不是猴痘的主要傳播途徑,但他提醒,「不要進行不安全的性行為」;第二點,猴痘已經有防範的疫苗與治療藥物,且絕大多數會自己康復,對多數人來說威脅不大;最後,猴痘為DNA病毒,不會像RNA病毒一樣,很容易產生突變。至於台灣昨天冒出第一起由德國境外移入的猴痘確診病例,是一名20多歲男性,本月16日搭機返國進行居家檢疫,卻在20日出現發燒、喉嚨痛、肌肉痠痛、紅疹、鼠蹊部淋巴腫大等症狀,接著確診猴痘陽性,目前收治在負壓病房治療中。疾管署指出,這起台灣首例猴痘境外移入病例個案,其密切接觸者共有19人,包含家人2人、醫療相關人員10人、司機3人及其他4人,預計健康監測至7月13日,若在這關鍵20天內,若有人被傳染,代表猴痘疫情入侵社區,疫情控制上就會比較棘手。至於猴痘的傳染力,黃立民指出,猴痘的傳播模式看起來,有點類似淋病等性病,必須要有人與人之間親密、長時間接觸,才有可能被傳染,即便人傳人,也只限小規模族群,但他提醒,一旦猴痘出現社區傳播,基本上就很難斷根,不過猴痘的致死率不高,沒有嚴重到必須全民打疫苗防範,大家不需要太過緊張。
7歲童連續高燒3天罹患MIS-C 醫師教診斷5要件
本土疫情持續延燒,國內近日出現2例MIS-C(兒童多系統發炎症候群)患者,讓家長人心惶惶。林口長庚醫院兒科急診主治醫師吳昌騰表示,MIS-C這症狀不常見,家長不用太擔心,他也提供MIS-C的診斷5要件,供民眾參考。吳昌騰9日在臉書發文表示,近日有位媽媽帶7歲女童來看診,女童在5月13日確診,本來以為已經康復了,「但她自6月4日(即22天後)早上起,出現斷斷續續發燒,最高燒至41.3°C。這段期間,她也有去過外面的診所看過,但發燒並沒有改善。」吳昌騰指出,7日他看到女童時,女童的眼睛發紅,加上她有確診病史又連續高燒3天,有噁心、嘔吐、肚子痛等症狀,「這更加深我對她的診斷是MIS-C當我跟媽媽說我覺得妹妹是這個診斷時,媽媽說她也有懷疑是這個診斷!」吳昌騰說,「經過我詳細的解釋之後,於是我們安排小女生接受抽血檢驗,並監測她的血壓。抽血報告出來,該注意的指標及發炎指數都上升了!她應該就是得到MIS-C了」之後吳昌騰便安排女童住院接受治療。吳昌騰表示,有關MIS-C的討論近期很多,「但家長們不需要太擔心!」,因為MIS-C可以說十分罕見,「這種症候群不常見,每10萬名確診COVID-19兒童中,MIS-C的發病率在Alpha流行期間為54.5例,在Omicron流行期間為3.8例。」為此,吳昌騰提供MIS-C的診斷5要件:1.新冠病毒感染證據(2-6週前)。2.發燒,燒得很高,甚至會持續超過3天。3.實驗室檢查顯示ESR、CRP或Procalcitoin等發炎指數上升。4.並且具備至少兩項下列臨床特徵,包括:a.皮膚粘膜症狀:皮膚疹或雙側非化膿性結膜炎或黏膜發炎b.心血管系統:低血壓或休克、心肌功能受損,包括心包膜、瓣膜或冠狀動脈異常等c.凝血功能異常d.急性腸胃道症狀,包括腹瀉、嘔吐或腹痛5.臨床上需排除細菌性敗血症、毒性休克症候群等其他可能導致類似臨床表現感染。
康復路迢迢3/疫苗注射反應多 醫:一周未消失應就醫
隨著接種疫苗人數越來越多,皮膚專科醫師鄭惠文提醒,接種後皮膚反應可以分為立即性反應與延遲性反應。急性反應包括蕁麻疹、皮疹、掌紅斑等,延遲性反應多為紅腫、皮膚原本症狀加劇;統計顯示,施打兩劑疫苗都會產生皮膚症狀比例為16%。(圖/翻攝自鄭惠文臉書)鄭惠文說,研究顯示疫苗注射會引起皮膚症狀,可能與疫苗中賦形劑PEG2000(聚乙二醇)有關,所幸這些皮膚症狀都不會產生嚴重過敏反應。在家中可以加強保濕修護,輔助含有消炎成分如甘草萃取(Licorice)等。如果癢感無法控制、症狀範圍擴大或是皮膚疹界線不清楚、持續時間超過一周,建議應該就醫。台北醫學大學附設醫院胸腔內科主任周百謙也相當憂心,確診者痊癒後疫苗施打問題。他認為,感染者痊癒後抗體持續時間不太一樣,如果沒有精確去計算就進行疫苗施打,恐會造成免疫系統紊亂狀況。建議政府應該要提供生物標記進行偵測,用精確的數據建議痊癒者打疫苗的時間。(圖/翻攝自鄭惠文臉書)
防疫意外收穫!川崎症今年病例減半 兒童口罩要繼續戴
新冠肺炎可能是造成川崎症的原因之一,而在疫情期間罹患川崎症,除了感染後死亡率較一般的流感來的高之外,病童還可出現「類川崎症」損害心臟冠狀動脈症狀,重症、死亡率甚至比川崎症更高,醫師提醒家長特別注意;不過,可能因國人配合戴口罩,今年台灣川崎症新增個案減半,令醫界更確信該病症與感染脫不了關係。川崎症權威、高雄長庚兒科醫師郭和昌指出,醫界研究了50年,至今無法確定川崎症原因,一直懷疑與感染有關,今年新冠肺炎疫情,台灣民眾配合戴口罩並減少互相接觸,意外發現川崎症新增病童數量比以往減少約一半,而口罩較不普及的美國,川崎症數量無明顯變化。以前台灣1年大概會有1000個川崎症新增個案,今年剩下約500個,以高雄長庚來說,過去每年都有80至100個新增個案,今年約4、50個;他說,本來懷疑是顧忌新冠肺炎而不敢就醫,但以往若有類似症狀,家長均會透過臉書提問,今年相對減少,可見發生率的確降低。郭和昌表示,由此可知,川崎症可能與感染有關,「可能病患本身基因就帶有異常,被感染誘發川崎症」,今年的新冠肺炎為川崎症研究提供了新的指引,有機會因此找出病因,但還需整理數據、進一步探討釐清。不過,歐美發現新冠肺炎病童部分出現類川崎症症狀,包括眼睛、嘴巴紅、淋巴結腫脹、身體長疹子等,稱為新冠肺炎引起的MISC(全身多系統發炎症候群)。郭和昌指出,過去兒科發燒的疾病中,會影響到心臟冠狀動脈的只有川崎症,今年較特別的是,出現新冠肺炎引發的MISC,同樣會損及心臟冠狀動脈,且一旦發病,住加護病房比例高達20%、死亡率3%,比原本的川崎症還要嚴重很多倍。郭和昌強調,今年針對國內新增的川崎症病童進行篩檢,均未感染新冠肺炎,台灣防疫做得非常好,但如果哪一天病毒又跑進國內,會不會有孩子也造成很嚴重的MISC,仍要提高警覺。川崎症病童常造成心臟冠狀動脈永久損傷,及時確診、對症下藥能夠有效減少損害,郭和昌提醒家長,不管如何,若孩子發燒超過4天,就要有所警覺,症狀5口訣包括:1個嘴巴紅腫,2個眼睛紅,3隻手摸頸部淋巴結腫脹、4肢末端紅腫脫皮,5有很多的皮膚疹。
新冠肺炎疫情下的意外收穫 國內川崎症病例減半
新冠肺炎影響全球,病童出現類川崎症損害心臟冠狀動脈症狀,重症、死亡率甚至比川崎症更高,醫師提醒家長特別注意;不過,可能因國人配合戴口罩,今年台灣川崎症新增個案減半,令醫界更確信該病症與感染脫不了關係。川崎症權威、高雄長庚兒科醫師郭和昌指出,醫界研究了50年,至今無法確定川崎症原因,一直懷疑與感染有關,今年新冠肺炎疫情,台灣民眾配合戴口罩並減少互相接觸,意外發現川崎症新增病童數量比以往減少約一半,而口罩較不普及的美國,川崎症數量無明顯變化。以前台灣1年大概會有1000個川崎症新增個案,今年剩下約500個,以高雄長庚來說,過去每年都有80至100個新增個案,今年約4、50個;他說,本來懷疑是顧忌新冠肺炎而不敢就醫,但以往若有類似症狀,家長均會透過臉書提問,今年相對減少,可見發生率的確降低。郭和昌表示,由此可知,川崎症可能與感染有關,「可能病患本身基因就帶有異常,被感染誘發川崎症」,今年的新冠肺炎為川崎症研究提供了新的指引,有機會因此找出病因,但還需整理數據、進一步探討釐清。不過,歐美發現新冠肺炎病童部分出現類川崎症症狀,包括眼睛、嘴巴紅、淋巴結腫脹、身體長疹子等,稱為新冠肺炎引起的MISC(全身多系統發炎症候群)。郭和昌指出,過去兒科發燒的疾病中,會影響到心臟冠狀動脈的只有川崎症,今年較特別的是,出現新冠肺炎引發的MISC,同樣會損及心臟冠狀動脈,且一旦發病,住加護病房比例高達20%、死亡率3%,比原本的川崎症還要嚴重很多倍。郭和昌強調,今年針對國內新增的川崎症病童進行篩檢,均未感染新冠肺炎,台灣防疫做得非常好,但如果哪一天病毒又跑進國內,會不會有孩子也造成很嚴重的MISC,仍要提高警覺。川崎症病童常造成心臟冠狀動脈永久損傷,及時確診、對症下藥能夠有效減少損害,郭和昌提醒家長,不管如何,若孩子發燒超過4天,就要有所警覺,症狀5口訣包括:1個嘴巴紅腫,2個眼睛紅,3隻手摸頸部淋巴結腫脹、4肢末端紅腫脫皮,5有很多的皮膚疹。
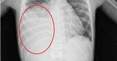
5歲女童肺積水 量多猶如一瓶可樂
發燒、咳嗽是孩童生病時最常見的症狀,5歲陳小妹妹因反覆高燒達40度及劇烈咳嗽至他院就醫,因狀況未改善,遂改至醫院就診,經胸部X光發現有大量肺積水約500cc(相當於1瓶可樂),經插胸管引流胸水,血液及胸水檢驗結果是黴漿菌感染引起大量肺積水,即使入院便使用正確抗生素治療,病童仍住院3個星期後才退燒。國泰綜合醫院小兒科沈仲敏主任指出,黴漿菌不是黴菌,是一種沒有細胞壁的微生物。在台灣,一年四季都可見到黴漿菌感染病例,但好發於春夏交替及秋天時節,一般侵犯的年紀多為3歲以上孩童及年輕成人,2歲以下的嬰幼兒病例數較少,主要感染的年齡層在5〜15歲之間,尤其在團體中更容易感染。黴漿菌抗體沒有終生保護效果,所以會再次感染,而黴漿菌的傳染途徑是經由飛沫傳染,需要人對人的傳染,它的潛伏期可長達2~3週。因此,臨床上,常見全家或學校同一班級內輪流感染達數月之久。黴漿菌感染不一定會先以發高燒表現,有時是久咳,起初大多沒什麼痰,後來才出現白色黏痰或帶有血絲的膿痰,可以持續到3〜4週,引起肺積水並不常見,其他同時會出現的症狀還有寒顫、咽喉炎、嘔吐、腹痛、皮膚疹等。值得注意的是兒童比成人更容易會發高燒。由於黴漿菌肺炎的病人其排菌時間可長達3〜4個月之久,經常會造成學校、家庭及社區內的群體感染,以上述案例來說,如此嚴重的肺積水是不常見的,然因黴漿菌目前並沒有疫苗,感染之後也沒有終生免疫,因而提醒各位家長,如果發現孩子出現咳嗽、發燒久久不癒,應盡早就醫檢查,以免延誤病情。尤其在秋天流行季節,建議應常洗手、戴口罩,盡可能減少出入人潮密集的地方,是預防黴漿菌感染的有效方法。