肺節結
」
60歲女子1顆肺節結「突變滿天星」 醫揪這些習慣導致
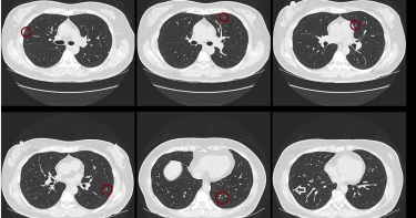
一名60歲女子的肺結節1年內從1顆暴增至10顆,就醫電腦斷層一照猶如「滿天星」。醫師蘇一峰追問得知,女子常在不通風的浴室使用漂白水,或是密閉的車內噴灑酒精,揪出病因之後,立刻給她適當的消炎藥物治療。蘇一峰在臉書表示,女子去年檢查發現一顆肺結節,就在某間醫學中心定期追縱,結果今年電腦斷層一照,發現原本只有一顆的肺結節,居然變成10顆的「滿天星」,還被該院門診的醫師打氣,提醒半年後要回來追蹤病情,說不定會開刀。後來蘇一峰問診得知,女子的肺結節數量增加竟是錯誤的生活習慣導致,對方想到近來多種病毒肆虐,常在不通風的浴室使用漂白水,或是密閉的車內噴灑酒精,後來甚至有些胸悶想要咳嗽。蘇一峰指出,過量的消毒液一旦揮發,具有「肺呼吸道毒性」,肺部發炎也會導致肺結節,但他強調,只要找出病因就能處理,除了立即教導女子正確的消毒觀念,也有給予適當的消炎藥物治療。
家族女性癌症命中率達80% 吳淡如揭「肺部20顆結節」健檢結果曝
作家吳淡如多年前曾查出肺部高達20顆結節,由於家族女性成員罹患肺癌機率高達80%,讓她決定每年都要定期追蹤。所幸吳淡如最近透露,肺部舊有的20個小白點,「跟一年半以前一樣乖乖地待著,沒有擴張地盤。」吳淡如在社群平台發文表示,自從發現肺部20個小白點之後,迄今已是第5年的安然度過,還被醫師告知「免疫力不錯」,讓她鬆了一口氣,並稱自己每過1年半都會去醫院做肺部的掃描,「可能是家族基因,我媽那邊的家族,得到肺癌的比例非常的高,尤其是女性幾乎都是。從我開始去做肺部攝影之後,我媽那個家族,跟我年紀相仿的親戚們也都去了,命中率大概是80%,還好早發現都早治療。」此外,吳淡如也感謝這些長在肺部的不定時小炸彈,「我後來只要生氣都沒有很久,我會想划不來呀!萬一跟你生氣我把這些小東西養大了怎麼辦?中醫不是也說,生氣很傷肺嗎?」她也提到,目前家族當中只有弟弟的肺部乾淨,但他曾做基因檢查,發現有心臟與膽固醇方面的問題。吳淡如表示,面對問題才能解決問題,因為大家都在跟時間賽跑。隨著檢查結果出爐,她也去吃剉冰慶祝,在此期間收到經紀人傳訊祝賀「我一直相信妳會很健康」。