白肺
」 白肺 蘇一峰 流感 大白肺 血氧
92歲老母病危!兄妹竟在醫院打架 二哥:不想讓媽受罪
近日大陸河南一名陳女表示,家中有5個兄妹,而老母今年92歲,先前因為白肺送醫,多次病危,只有哥哥想接媽媽回家,家人在醫院為了此事打起來。陳女二哥強調,「我不想讓我媽在醫院受罪。」據《小莉幫忙》報導,陳女表示,老母92歲了,之前因為白肺送醫,已多次病危,家中4個兄弟姊妹都同意照顧媽媽,只有二哥想把媽媽接回家,家人為此事打架。陳女表示,二哥來醫院罵東罵西。大姊說,她想盡量給媽媽治療,因為不想遺憾,能再多活一天都好。妹妹罵二哥,還讓媽媽幫你一家人洗衣服。二哥表示,已經收到病危通知書了,醫生都建議回家,因為醫院細菌多,媽媽在家也會輸液,沒說不給她治療,能再活500年都願意,他問心無愧,因為養得起媽媽,不想讓她在最後還受罪,這沒必要。影片一出,不少人紛紛留言「冷靜溝通,尊重母親意願,別讓爭執成遺憾」、「就我個人而言,這種情況我更希望放棄治療」、「年紀這麼大了,器官都在衰竭老化,其實不用太折騰老人了,落葉歸根」、「清官難斷家務事啊」。
女模打牛奶針亡 醫揭治療大白肺也用「劑量百倍」:只要插管不會出事
有「車模界林志玲」之稱的蔡語芯,於5月25日在台北東區知名醫美診所「法瑞診所」接受俗稱「牛奶針」的舒眠針注射療程時,突發意外陷入昏迷,經搶救19日後家屬最終決定於6月12日拔管。對此,胸腔重症醫師蘇一峰也在臉書發文指出,其實「牛奶針」也會用於治療「大白肺」等重症病人,且大白肺用的牛奶針劑量是舒眠的十倍百倍之上。胸腔重症醫師蘇一峰也在臉書發文指出,牛奶針實為麻醉用藥「異丙酚」,醫界用於治療「大白肺」等重症病人時,劑量遠高於舒眠劑量,「治療大白肺病人,重症醫師會使用牛奶針讓病人呼吸減少,讓肺好好休息復原」。蘇一峰說明,大白肺用的牛奶針劑量是舒眠的十倍百倍之上,但只要妥善插管維持呼吸支持,一般並不會發生危及性命的情況。他強調,牛奶針並非一般助眠用藥,施打時應全程備妥急救設備與專業人員,否則稍有不慎恐釀憾事,「牛奶針不應該拿來助眠,施打時應有急救器材在旁邊準備,出現呼吸停止能馬上插管急救」。針對事件,台北市衛生局已於6月12日公布調查結果,指出法瑞診所存在四項違規,包含未即時處理緊急狀況、麻醉過程監控不足等,對負責的吳姓醫師裁罰25萬元並移送醫師懲戒,對診所本身則處以2萬元罰鍰,並全案移送地檢署進一步偵辦。此外,蔡語芯的親友接連於社群平台質疑家屬動機不純,擁有409萬粉絲的網紅翁子涵12日於IG限時動態發文,痛批蔡母及蔡姓哥哥於確認可取得房產及1,000萬元賠償金後決定拔管,甚至指控家屬在蔡語芯昏迷僅第5日便開始整理其遺物。對此,蔡語芯的哥哥則駁斥所有指控,表示家中經濟無虞,並已拒絕法瑞診所院長吳紹琥提出的500萬元賠償,強調只希望釐清妹妹的死因。他悲痛表示:「要是能救,難道我們不想救嗎?」並揚言對散布不實言論者提告,捍衛家屬清白。
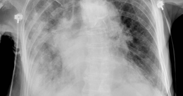
不是染流感!16歲少女照X光「驚見大白肺」 醫揪元凶:是它
流感疫情持續升溫,疾病管制署昨(11日)公布最新統計,國內上周類流感門急診病例數飆破18萬人,創下近10年同期新高紀錄,顯見流感正處於流行高峰期,不過最近一名16歲少女因發燒、胸悶、易喘就醫,但醫生卻找不到病因,怎料X光一照竟驚見,少女已變「大白肺」,害病兇手原來是「它」。台北醫院兒科過敏氣喘免疫科主任王怡人分享診間案例,表示一名16歲少女日前因久咳、胸悶、易喘、輕微胸痛及不明原因發燒前來就醫,但進行了各種過敏原測試,仍遲遲找不到病因。直到該患者感染黴漿菌住院後,醫師一照X光,發現少女的肺部竟是一片白,肺部已經纖維化,一問之下才得知,原來她平時有「偷抽電子煙」的習慣,王怡人指出,該名少女因長期吸食電子煙,不僅呼吸道反覆被破壞,就連肺部也出現損傷,若是加上過敏原暴露或病毒、細菌感染,將加劇發炎反應,甚至掀起兇猛的「免疫風暴」,就算是年輕人病況也會嚴重惡化。對此,國民健康署署長吳昭軍昨(11日)也示警,國外研究顯示,吸菸者感染流感的風險,比起不吸菸者「高出5倍」,除了住院機率提升1.5倍外,因流感進入加護病房的機率,更是不吸菸者的2.2倍,呼籲民眾應施打疫苗、做好防疫,同時透過「戒菸」才能降低重症風險。
全台到院前OHCA人數突破5百人 專業醫示警「快樂低血氧」並非新冠獨有
近期台灣遭遇入冬以來最嚴峻寒流襲擊,長時間的低溫,也讓全台OHCA(到院前失去呼吸心跳)的人數突破500人。胸腔內科醫師蘇一峰近期就強調,「快樂低血氧」其實並非是新冠才有的現象,民眾真的不可不防。蘇一峰醫師在FB發文分享一起個案,該名個案是一名失智老人,日常居住在安養院中,生活尚可自理。但有一日,該名老人突然出現嗜睡、呼吸微弱等症狀,工作人員於是急忙將老人送醫急救。送醫後,醫師發現,該名老人的肺部已經變成「大白肺」,血氧濃度只有70%,體溫更只有32度。面臨到如此緊急情況,醫師隨即幫老人插管。而沒想到插管後,老人隨即停止心跳,這又讓醫師們轉去幫老人做CPR急救。蘇一峰醫師表示,這種情況其實就是「沉默低血氧」,而且後續該名老人經過檢查後,確認並沒有罹患新冠或是流感。蘇一峰醫師也強調,沉默低血氧(快樂低血氧)其實並非是新冠才獨有的現象,在一般的大白肺也可以看到沉默低血氧。而且失智中風的老人家也容易沉默低血氧,因為這類型的老人腦部有受傷,再加上神經退化,所以會出現明明缺氧卻又不會表現出的血氧的症狀。蘇一峰醫師也提到,血氧濃度只有80%,但是呼吸卻不會喘的案例其實很多,如果是大白肺的話,更是常用昏睡來表現症狀。除此之外,蘇一峰醫師還提到,低溫不只會加重心肺衰竭,還會讓沉默低血氧加重,因為過低的溫度讓血色素不容易釋放氧氣,所以導致身體組織更容易缺氧。而在缺氧傷害一段時間後,心臟就會停止跳動。
大S猝逝/大S疑因「大白肺」喪命! 醫曝危險性:肺部失去交換氣體能力
女星大S(徐熙媛)春節期間與家人到日本旅遊,卻因流感併發肺炎逝世,享年48歲,引發外界對相關病症的討論。對此,胸腔內科醫師蘇一峰指出,大S疑似因肺炎重症「大白肺」喪命,意味著嚴重肺炎導致呼吸困難,而當嚴重的肺炎時,肺泡裡面會積滿痰液與發炎的水,當肺泡在痰水裡,空氣就無法進入交換氣體,「大白肺其實也就是『病人被自己的痰液水腫活活淹死!』。」蘇一峰今(5)日上午在臉書粉專撰文道,「大白肺」其實是口語名稱,其實就是嚴重肺炎造成呼吸困難,當嚴重肺炎時,肺泡裡會積滿痰液與發炎的水,而當肺泡在痰水裡,空氣就無法進入交換氣體,病人此時用力呼吸,但肺部已失去交換氣體的能力,才會使得血氧仍不斷下降。蘇一峰說,血氧飽和度下降到89%以下就是缺氧狀態,此時應緊急給予氧氣治療,更嚴重時就要插管使用呼吸器,「89%大概可以撐幾小時,如果一直掉到80%,幾分鐘可能就會心跳停止!血氧還沒有掉到60~70,人常常就直接心跳停止了」。至於最近吵得沸沸揚揚的肺炎和敗血症,蘇一峰解釋,2者是「大白肺」疾病的一體兩面,肺炎指的是「肺部因為感染等等原因發炎」,敗血症指的是「因為感染等等原因造成全身性的發炎反應」。他強調,肺炎和敗血症經常同時存在,彼此不是互斥的疾病,「譬如大S就是流感肺炎引起敗血症,肺炎有時候很嚴重來勢洶洶,常一不小心(患者)就過世了」。另外,疾病管制署昨(4)日公布近期流感重症及死亡病例,其中南部一名30多歲男子兩度就醫流感快篩都是陰性,給予症狀治療藥物後返家,但症狀沒有改善,後來急診時出現雙側肺炎,經PCR檢驗確認感染B型流感,雖立即進行插管並收治加護病房,並給予抗病毒藥物治療,仍併發肺部黴菌、多重抗藥性細菌感染,還有氣胸、肺部出血,住院1個月不幸病逝。對此,蘇一峰表示,流感病毒造成重症「大白肺」,病毒會先破壞肺部抵抗力,接著細菌、黴菌進到肺部導致續發性感染,過去許多研究都指出,病毒感染後會增加細菌黴菌肺炎。而那位因流感死亡的男性病人,一開始是流感,續發性的黴菌感染就是主要的死因,如同「小偷先撬開門,壞人跟著進來」。
大S猝逝/血氧飽和度僅89% 中國網路瘋傳大S日本就醫細節
藝人大S徐熙媛在春節期間於日本因流感併發肺炎,最終不幸猝逝,享年48歲。消息傳出後,震驚演藝圈。而此事也在中國成為網友關注的焦點,甚至直接霸佔微博熱搜榜。目前中國網路也傳出一份說明,指稱是大S在日本的就醫紀錄。(圖/翻攝自微博)近期在中國微博上流傳一份宣稱是大S在日本就醫紀錄的截圖,從截圖當中可以看到,町立醫院急診科記錄顯示,患者血氧飽和度已降至89%,肺部出現明顯濕囉音(水泡音)。在注射退燒針劑後,患者執意返回旅館觀察。後續在1日上午10時,醫療團隊建議轉診至東京綜合醫院,卻因返程機票已定遭婉拒。下午返程途中,大S突然呼吸驟停,急折返最近的社區診所。此刻CT影像顯示雙肺已呈白肺狀態。2日凌晨宣告不治。而雖然該份截圖對整個過程描述得繪聲繪影的,但截至目前為止,尚無任何一方曾出面證實這份截圖中描述情節是否具備可信度。但即便如此,整份截圖還是在中國微博上瘋傳,甚至一度占據微博的熱搜榜。有中國網友看到這份截圖後,便留言表示「大s太固執了,又碰上了不知輕重的家人,唉!」、「說白了,就是沒當回事,把命丟了」、「日本做個CT就這麼費勁嗎?第一次就應該做肺CT啊!」、「血氧89在內地得給你安排監護室了」、「如果這是真的,只能感嘆一句無知者無畏」、「血氧這麼低還不住院急救」、「血氧都89了肺部都有不正常聲音了,還不住院想啥呢」。
大S猝逝/年輕人「免疫力較強」反成高危險群 醫:「1情況」致死率飆200倍
女星大S(徐熙媛)在春節期間與家人赴日旅遊,卻因流感併發肺炎離世,從身體不適到病逝僅5天時間,享年48歲。對此,台北榮總遺傳優生科主任張家銘指出,流感這種看似普通的病毒,能在短時間內奪走一條生命,有時健康的年輕人反而比年長者病得更嚴重,這其實與免疫系統的「過度反應」有關,當「免疫風暴」失控,強壯的身體反而成了高風險族群。張家銘在臉書粉專「基因醫師張家銘」撰文道,流感病毒每年來襲,多數人經歷發燒、喉嚨痛、全身痠痛後慢慢痊癒,而當病毒擴散,免疫系統立刻啟動防禦機制,「然而,免疫系統並不總是能精準控制攻勢,當反應過度時,就會帶來致命風險」。張家銘表示,年輕人免疫力較強,當身體發現病毒入侵,會立即釋放大量細胞激素(如 IL-6、TNF-α、IL-1β)來對抗病毒,但當這些發炎物質過量時,免疫系統就會陷入「自我攻擊」的狀態,不只針對病毒,就連健康的肺泡細胞也一起摧毀,「這就是所謂的免疫風暴,導致肺泡水腫、血管滲漏,肺部開始充滿發炎液體,使氧氣交換困難,最後發展成急性呼吸窘迫症候群(ARDS)」。張家銘接著說明,此時病人的症狀不只是高燒,更會出現喘不過氣、血氧快速下降的危險情況,可能在24至48小時內從輕微咳嗽,進展到嚴重呼吸衰竭,「這也是為什麼有些年輕人得流感後,病情會突然惡化,甚至需要插管、葉克膜搶救」。張家銘提到,當免疫風暴摧毀肺部的屏障,細菌便趁機入侵,而流感病毒不只是直接攻擊肺泡細胞,還會破壞氣道的天然防禦機制,例如影響纖毛運動,使得原本應該被清除的細菌滯留在肺部,增加繼發細菌感染的風險。其中最常見的併發細菌是肺炎鏈球菌和金黃色葡萄球菌,這些細菌原本可能只是潛伏在鼻腔或喉嚨,但當身體的防線被破壞後,它們就能輕易進入下呼吸道,迅速繁殖並引發嚴重細菌性肺炎,「這類併發症通常會讓病人二度發燒、咳黃痰,甚至出現敗血症,進一步加重病情」。張家銘也示警,每年因流感併發症住院甚至死亡的人數比想像中多,當病毒引發免疫風暴、肺部發炎失控,再加上細菌感染,短短幾天內就可能讓人從健康的狀態轉變為危及生命的重症患者,「流感不是『撐一撐就好』的疾病,年輕人也不是天生免疫。這次的事件是一個警訊,提醒所有人,預防流感、及早治療,才是保護自己的關鍵」。另據《三立新聞網》報導,林口長庚醫院風濕過敏免疫科助理教授、醫師方耀凡受訪表示,大S年僅48歲,又無慢性病史,若如媒體所稱曾出現白肺現象,因敗血症而病逝,可能是「免疫力過強」,引發免疫風暴後,讓免疫系統整個潰堤,導致最後喪命。想避免「免疫力過強」及後續情況發生,「作息正常、適當飲食」是最重要的。而《中時新聞網》報導指出,嘉義大林慈濟醫院胸腔內科主任陳信均說,一般來說,整體流感的致死率約千分之一,高危險群包括65歲以上長者、嬰幼兒、孕婦,或是有糖尿病、心血管疾病、癌症等免疫不全的病人,併發重症的機率才會比較高,但年輕族群一旦併發重症,致死率就會大幅提高,由原來的千分之一激增為20%。陳信均提醒,預防流感最重要的還是直接施打疫苗,事後的就醫、用藥,仍然是亡羊補牢;雖然即使施打疫苗,還是可能感染流感,甚至變成重症,但依臨床經驗,只要有接種疫苗,得到流感後的症狀仍會輕微一些,「按照流行病學公式計算,整個族群裡面幾乎要9成以上的人都去施打疫苗,才會產生群體免疫的效應。所以其實打流感疫苗是一個『我為人人、人人為我』的概念,夠健康的族群去打疫苗,能夠保護不能夠施打疫苗的族群,這是利人利己的事情」。
7歲女童拿防曬噴霧狂噴臉! 狂咳送醫竟已近「白肺」
中國近日一名7歲女孩在自己臉上噴上防曬噴霧後,竟突發肺炎,醫師表示這是急性過敏性肺炎的典型表現,來勢常較為兇猛,當時女童已接近「白肺」,若不及時治療,可能會發展為重症肺炎、呼吸衰竭等,嚴重危及生命,好在經治療後女童已無恙,於21日出院。據陸媒報導,涵涵近日跟著家人到杭州遊玩,在出門前涵涵拿著媽媽的防曬噴霧對著自己的臉噴了噴,噴完後只是咳了2聲,並無明顯不適,沒想到出門一會,涵涵就越咳越嚴重,甚至把早餐也吐出來了。父母發現情況不對,趕緊帶著女兒回飯店休息,過了一段時間,涵涵的咳嗽似乎有所好轉,但她呼吸竟逐漸急促,精神也明顯不好,父母趕緊帶著她來到醫院就醫。醫師迅速進行血液檢查和胸部X光檢查,胸部X光結果顯示兩肺大片斑塊影,而血液常規報告顯示「白血球升高、C反應蛋白正常」。結合臨床表現,醫師基本考慮是因吸入防曬噴霧導致急性過敏性肺炎。對此,醫師介紹,這是急性過敏性肺炎的典型表現,來勢較為兇猛,當時涵涵已接近「白肺」,若不及時治療,可能會發展為重症肺炎、呼吸衰竭等,嚴重危及生命。所幸院方迅速給予相關治療,第二天涵涵的氣促明顯已有緩解,咳嗽也在治療48小時後完全消失。浙江省人民醫院兒科主任醫師週琴表示,不太了解防曬「噴霧」特性的父母及兒童,會將防曬「噴霧」劑直接噴在頭面部,這可能會使孩子在無意中吸入噴出的液滴,而這些液滴可能包含防曬劑、揮發性有機化合物等各類化妝品原料,進而引發健康風險,尤其是氣道敏感度較高的過敏體質兒童,極易誘發劇烈咳嗽或喘息發作等,原本有過敏性鼻炎、過敏性皮膚炎、支氣管哮喘等過敏性疾病患者,更要慎用含易致敏成分的噴霧產品。
舌尖上的門道2/講究不將就的老粵菜 「晶華軒」復刻港人童年回憶、大戶人家精細活
某些菜色會消失在歲月洪流裡,必有其淘汰的理由,也許是過於費工但利潤不高,抑或食客們的飲食習慣有所改變,不到15歲就入行的台北晶華酒店「晶華軒」港籍中餐廚藝總監鄔海明,最初僅是為了賺取零用錢而習廚,卻在歷經香港知名的利苑酒家、新加坡與泰國的翡翠餐飲集團、日本大阪麗思卡爾頓酒店香桃粵菜餐廳等地打磨後,回歸初心。近年他在晶華軒陸續推出多道市面上已少人做的傳統粵菜,希望藉此傳遞菜色背後的歷史與故事,也帶出他在香港初期習藝的歲月,透過講究不將就的精細製程,讓老菜持續跨越世代、保存下來。被香港人認為是食療菜色的「生磨杏汁白肺湯」,口感濃稠、杏香十足。(1,680元/盅,圖/趙文彬攝)在鄔海明還很「菜」的青少年時期,剛入行的他在寒冬裡搬著小板凳坐在廚房後巷,仔仔細細地將水管插入豬肺氣管,手不停地以針戳洞、去除血水與雜質,光是清洗豬肺就得耗去人工與跑活水一小時,而這不過是製作「生磨杏汁白肺湯」的第一道工序。當時菜鳥們常被指派去做這樣的「苦工」,板凳一坐就是半天,然而要完成湯品還得將南北杏加水浸泡、磨汁兩次加上濾渣,再加入以赤肉、雞腳等燉煮數小時而成,才能成就流傳可能超過百年的一盅好湯。講究精細功夫的還有順德老菜「玉簪田雞腿」,據傳這道菜最初是因大戶人家吃田雞時覺得要吐骨頭很麻煩,因此家廚想出將田雞腿中間骨頭往後推、除去筋膜「以菜代骨」,因形似古代婦女的玉簪髮飾而得名。鄔海明製作時將芥菜莖、火腿、香菇分別切絲汆燙,塞入田雞腿中,除了不能讓菜料撐破腿肉、炒時不能散掉,田雞還得現點現殺,以求新鮮滑嫩。當初為了重現這道菜,鄔海明還特別越洋連線以前的師傅、師兄細細討教,務求還原細節。「懷舊多士蝦」將澳洲國王蝦剁成蝦蓉,加入糖、蛋白、胡椒粉等拌勻調味,吃之前不妨蘸取主廚自製糖醋醬與豆瓣醬,更添不同層次。(780元/4片,圖/趙文彬攝)「脆皮炸子雞」精選1.6~1.8公斤的玉米雞,有別於一些餐廳為了方便先烤熟再炸,晶華軒遵循古法將醃料入味的生雞掛起、不斷澆上滾油,造就皮脆肉滑的口感。(980元/半隻,需2天前預訂,圖/趙文彬攝)吐司酥脆、蝦肉飽滿的「懷舊多士蝦」,則是香港經過英國殖民、飲食西化的歷史見證,這道改良自英式下午茶的三明治,可是許多港人的童年回憶。由於蝦子油炸後水分容易跑掉,主廚嚴選蝦肉較厚實、風味更足的澳洲國王蝦,為了讓吐司酥脆不油膩,油溫與火侯更得嚴格掌控,油溫太低會吸油、太高又容易焦掉,在在考驗真功夫。要說細節,就不能不提粵菜餐廳必備的「脆皮炸子雞」,鄔海明表示愈常見的菜愈容易被比較,風味的毫釐之差都會被老饕發現。因此即便當天預訂的炸子雞只有三、四隻,也會叫貨十幾二十隻回來,從中精挑出體態最好的,「屁股要往下墜、腳要粗一點又不能太長,雞皮不能有破損還要網紋明顯,這樣的雞才適合做炸子雞,根本像選美一樣。」鄔海明笑說。「食不厭精,膾不厭細。」從鄔海明復刻老粵菜的繁複製程中,也讓人不得不佩服當初發想菜餚的老師傅們,那些既刁鑽又細膩的工序與創意。晶華軒中餐廚藝總監鄔海明重現老菜並非刻意為之,他認為每位廚師的菜單中都應該要有精細的菜色,不能純粹講求商業性。(圖/趙文彬攝)晶華軒推出老菜前,會先給挑嘴的包廂熟客與美食家嘗鮮,普遍獲得好評後就可能會成為常態菜單。(圖/趙文彬攝)DATA電話:(02)2521-5000轉3236地址:台北市中山區中山北路2段39巷3號3樓(台北晶華酒店內)營業時間:11:30~14:30,17:30~21:30訂位網址:https://reurl.cc/Aj8l8K備註:需另加10%服務費
示警「目前很嚴重」 蘇一峰:過年期間很多重症大白肺
春節期間,疫情、流感等狀況因人潮聚集,因此加劇。北市聯醫陽明院區胸腔科醫師蘇一峰指出,新冠肺炎過年期間有很多重症大白肺,其狀況相比黴漿菌很嚴重。蘇一峰在臉書表示,目前看起來,新冠Covid過年期間造成很多重症大白肺,內科ICU有兩、三成左右,比起來大肆宣傳的黴漿菌肺炎根本不可怕,重症大白肺還是以COVID為主,這病人努力好幾天目前看起來是救回來了。他也在留言處直言,「大開記者會的黴漿菌,其實沒什麼可怕,反而還是COVID目前很嚴重。」依據疾管署監測資料顯示,今年自1月以來,多種呼吸道病原體同時於社區中活動,類流感及COVID-19疫情現呈上升趨勢或處流行期,依據往年經驗,急診類流感就診人次於農曆春節期間將達高峰,提醒民眾若自身或親友為65歲以上長者、具慢性病史等高危險群,應特別留意健康狀況,並請提高警覺如出現呼吸困難、急促、發紺(缺氧)等危險徵兆,請儘速就醫,並配合醫師指示服藥,以降低併發重症的風險。疾管署提醒,符合新冠XBB疫苗接種資格之民眾,應儘速接種,以及時獲得保護力;莫德納和Novavax兩種廠牌均安全有效,12歲以上民眾可選擇一種廠牌接種, 6個月以上至11歲兒童則依核准適應症,僅限接種莫德納XBB疫苗。接種院所資訊可至疾管署官網「秋冬疫苗專區」或至各縣市官網查詢。疾管署呼籲,民眾出遊、聚會時應落實拱手不握手並注意手部與呼吸道衛生,打噴嚏時應用面紙或手帕遮住口鼻,或用衣袖代替,於室內聚會時注意通風,以降低疾病傳播風險。若自身及親友為65歲以上長者、嬰幼兒、高風險慢性病人及孕婦等疾病高危險群,應特別留意健康狀況,如出現呼吸困難、急促、發紺(缺氧)、意識改變、低血壓等流感危險徵兆應及早就醫。
江蘇婦流感硬撐10天才就診 醫檢查搖頭:2個肺都白了
近來上呼吸道疾病大流行,造成急診室大塞車。中國江蘇有一名51歲陳姓婦人,得了流感卻不去看醫生,硬撐了10多天才就醫,檢查發現肺部感染多種病毒,已經發展成重症肺炎,喪失基本的肺功能,甚至有生命危險。據《荔枝新聞》報導,陳女得了流感,出現咳嗽症狀,但她卻沒有就醫,忍了了10幾天才肯去,醫生告知需要吊點滴,她覺得小題大作,「咳咳嘛就沒事」,隨後便暈了過去。經過電腦斷層掃描,陳女肺部顯示感染多種病毒,喪失基本的肺功能,嚴重呼吸衰竭,隨時都可能丟命。陳婦的肺部變白。(圖/翻攝自微博)醫師解釋,陳女患有基礎病,因此免疫力偏低,得了流感後硬撐,大大增加致病真菌的感染風險,最終導致白肺,是A型流感病毒,而且是混合感染。需特別注意,老年慢性病患者屬於重症肺炎高風險人群,一旦出現持續發燒、呼吸困難等症狀,要立即就醫。其實,過去也曾發生許多不重視疾病,而耽誤治療的最佳時機,造成嚴重後果。《網易新聞》提到,有一位年輕人持續咳嗽,但拖延就醫,結果診斷出患有肺結核,使得本來可以及時治療的病,變得更加嚴重。還有一位中年人,身體感到不適,但自覺沒什麼問題,無視身體的警訊,怎料查出罹患肺癌晚期,已經來不及進行有效的治療。
35歲設計師確診仍熬夜加班 短短2天變「白肺」⋯血氧只剩50%
大陸成都一名35歲設計師確診新冠肺炎後,仍熬夜加班工作到凌晨,最後身體實在受不了,前往醫院就醫,結果在短短2天,病情進入「白肺」狀態,甚至出現呼吸衰竭。醫師提醒,年輕人對新冠病毒不可掉以輕心。根據陸媒《紅星新聞》報導,醫師表示,病患一開始只有發燒症狀,幾天後開始出現胸悶、氣緊,因此就醫;CT顯示,其雙下肺有實變,氧飽和度只有50%左右,而正常人的氧飽和度在95%-99%。醫師說明,患者入院後就被送進加護病房,其病情進展相當快,2天之後就進入白肺狀態,甚至出現呼吸衰竭,經過多日治療,氧飽度才達90%左右。醫師透露,患者本身就長期熬夜,身體免疫力可能就有些下降,而他在感染之後依舊熬夜,本身病毒就會導致人體免疫力下降,在感染之後還繼續熬,就會導致免疫系統崩潰,繼而出現肺部感染,甚至是心肌炎。醫師提醒,這個病例也告訴大家,年輕人對新冠病毒同樣不能掉以輕心。
電子菸背黑鍋?!美國去年致死案例 日媒懷疑新冠肺炎才是禍首!
新冠肺炎持續延燒,甚至讓許多國家採取「鎖國」防堵病毒,目前歐洲疫情的大爆發讓人心惶惶,但更多專家憂心美國將成為下一個未爆蛋,美國官方估計將有1億5000萬人遭到感染,其實恐怕實際數字更多,日本朝日電視台等媒體就陸續報導美國之前流感感染者、死者實際上不少人都是新冠肺炎感染者,就連美國疾病預防和控制中心一開始先鬆口「新冠肺炎症狀和流感非常相似」,之後更坦承「流感篩檢陰性者都懷疑是新冠病毒。」再加上美國去年6~10月時陸續爆發一連串原因不明的肺炎,日媒因此懷疑新冠肺炎可能發源於美國。根據美國疾病預防和控制中心資料,去年10月美國境內不明原因的嚴重肺部死亡病例累計至18個,分散於美國15個州,而確認或疑似染上這一病症的病例累計達1080個,遍布美國48個州,這種病症由於X片時能看到其肺部出現白化現象(新冠肺炎也有這種現象)而被稱為「白肺病」,當時認為其病症發源的可能關聯是使用霧化型電子菸,這一事件也使得全世界很多愛抽電子菸的人不得不停止自己的愛好。隨著新冠肺炎疫情擴散,現在許多人懷疑美國去年爆發的「白肺病」很可能就是新冠肺炎。根據日本朝日電視台報導,由於美國的醫療費用較高,大部分美國人在生病後通常不會選擇就醫治療,特別是感冒症狀的疾病,而且醫院中針對感冒症狀的疾病也不會進行冠狀病毒方面的檢測化驗,所以即便有人患了新型肺炎,美國疾控中心也不一定知道,更何況新型肺炎的輕症患者可能根本沒有症狀,更無從查起,也更引人猜測。