結核菌
」 肺結核 月子中心 預防性投藥 傳染病防治法 護理師
膝蓋腫到彎不了!台中男吃止痛藥更嚴重 就醫驚見「細菌噬骨」化膿
膝關節疼痛竟是結核菌引起!74歲賴先生長期左膝腫痛,以為是退化性關節炎,求助台中慈濟醫院關節中心主任周立展。醫師抽取關節液發現非典型細菌感染,安排住院並多科會診,查出病人是「肺外結核感染」引起的骨結核病變。周立展提醒,膝蓋疼痛不要拖延,要找出病灶以免得不償失。據了解,賴先生長期左膝腫痛、幾乎無法行走,剛開始以為只是退化性關節炎,服用止痛藥、抽關節積水、熱敷復健數月卻越來越嚴重,就醫時膝蓋已腫脹無法彎曲。周立展抽取膝關節液化驗後發現,白血球數值雖偏高,但並非典型的細菌感染,懷疑有其他原因,於是安排病人住院,進一步透過X光與磁振造影檢查,顯示膝蓋內已有大量積液並化膿,屬於嚴重關節感染。為避免病人感染惡化,周立展緊急施行微創關節鏡清創手術,檢體送病理化驗後竟發現結核分枝桿菌,顯示並非單純膝蓋退化。經會診感染科與胸腔科醫師共同診斷,在病人痰液培養出結核菌,證實為「肺結核合併肺外感染」。周立展說明,結核菌最初在肺部引起感染,再經由血液或淋巴傳播,最後侵犯膝關節。病人住院期間接受抗結核藥物治療,一周後膝蓋腫脹消退,可正常彎曲行走;出院後仍須持續服藥至少9個月,並定期門診追蹤,確保結核菌完全清除。醫師指出,結核菌感染膝關節案例較為少見,因結核菌多半侵犯肺部,侵犯膝關節或脊椎的比例不到一成。賴先生沒有慢性咳嗽、胸悶、發燒等典型的肺結核相關症狀,初期難以診斷。除了膝關節,脊椎或其他關節如肩、腕關節也都可能被結核菌侵犯。若延誤治療,結核菌會逐漸侵蝕關節骨頭,最嚴重就可能必須置換人工膝關節。周立展提醒,膝蓋、背或其他關節若長期腫痛、久治不癒,應及早就醫找出根本原因;若合併出現久咳不癒或背痛等症狀,更要提高警覺。結核菌感染若未及時治療,恐造成骨關節損壞甚至永久功能喪失。賴先生經清創與抗結核藥物治療後已恢復良好,目前能正常行走,持續於慈濟醫院關節中心與胸腔內科追蹤治療。周立展主任提醒,膝蓋疼痛不要拖延,要找出病灶以免得不償失。(圖/台中慈濟醫院提供)
台大多人遭匡列肺結核接觸者 衛生局籲應配合檢查:感染終身10%機率發病
近期國立台灣大學傳出有多名學生收到「肺結核接觸者的健康檢查」通知,要求去做胸部X光和抽血,目前初步匡列人數約達900人。對此,台北市衛生局昨(4)日呼籲,接獲相關通知的民眾,務必配合完成檢查,降低日後發病的風險,「結核病是可以治癒的!」北市衛生局發布新聞稿指出,衛生單位接獲醫療院所通報後,已立即依據結核病防治工作手冊啟動疫情調查,接觸者匡列對象包含與確診個案共同居住者、於可傳染期間1天內接觸8小時以上或累計達40小時以上者。北市衛生局已與學校密切聯繫,掌握接觸者範圍及名單,並持續進行匡列中,通知接觸者配合參加衛教說明及相關檢查,以降低日後發病的風險。北市衛生局說,為方便接觸者瞭解健康風險並完成健康檢查,衛生局與學校已安排並通知接觸者參加衛生教育及胸部X光等相關檢查,並呼籲接觸者接獲通知後,務必依時程完成檢查。如因故無法配合檢查時程,可洽學校保健中心或衛生單位開立轉介單,再持轉介單自行至醫療院所接受檢查。北市衛生局進一步說明,一般人受到結核菌感染後,一生中約有10%的機會發病,接觸後2年內發病的風險最高,如果接觸者胸部X光檢查結果正常,仍要進行「自我健康監測」;若出現異常呼吸道症狀或咳嗽超過2週,應配戴口罩並儘速就醫,就醫時要提醒醫師「我曾經接觸過結核病人」,以協助醫師進行完整的診療評估,及早發現及治療。北市衛生局示警,結核病會透過空氣及飛沫傳播,常見的症狀包括咳嗽持續2週以上、發燒、食慾不振、體重減輕、倦怠、夜間盜汗與胸痛等,但結核病是可以治癒的。目前透過醫療與公共衛生的積極防治,台北市結核病病例已由民國100年(2011年)確診1000例,至113年(2024年)降為438例,降幅達56.2%,114年(2025年)截至11月北市累計確診371例。
她「忽略1警訊」再求診已是胃癌第4期!醫嘆:當時有聽話也許能避免悲劇
2023十大癌症死亡人數中,胃癌位在第8名,死亡率為10.0(每十萬人口),共奪走2327人性命,其中有高達80~90%是由胃幽門桿菌(幽門螺旋桿菌)感染所引起。營養功能醫學專家劉博仁就透露,曾有一名40歲出頭的女子,患有類風濕性關節炎及胃幽門桿菌感染,當時建議她服用2周抗生素以清除胃幽門桿菌,但對方自覺胃沒有不適而忽略,再次求診時已是胃癌第4期,這使他不禁感嘆「如果她當時有聽我的話……是不是就可以避免這悲劇的發生?」劉博仁日前在臉書粉專發文分享,該名女子2年前曾因患有自體免疫疾病「類風濕性關節炎」就診,當時已用到生物製劑,係針對發炎因子來抑制免疫發炎的藥物,「不過也有報告指出,使用這類藥物,可能會增加感染、結核菌感染或是少數腫瘤案例的發生」。劉博仁說,當年檢查發現她體重偏輕,且有胃幽門桿菌感染,是為國際癌症研究署列的一級致癌物,便建議她可以考慮以2周抗生素清除幽門桿菌,「我擔心她免疫力低下後,會導致胃部病變……可是後來她就沒回診了」。劉博仁表示,女子此次回診,帶來的病理報告及腹部斷層光碟顯示,她已經是胃癌第4期,對方才坦言,雖然當時醫生建議將胃幽門桿菌先清除,是因擔心使用生物製劑會讓免疫力變差,「可是我當時胃也沒有不舒服,所以也就不當一回事。可是1個月前,我因為食慾不佳,體重下降,後來做了胃鏡,醫師告訴我得了胃癌,電腦斷層檢查出來居然已經是第4期,現在只有化療……我當初怎麼沒有聽你的建議先把這該死的幽門桿菌殺掉」。對此,劉博仁無奈道,眼前面對一位當初曾提醒要注意的患者,居然一語成真,免疫失衡加上身上帶的細菌導致胃癌,而且一發現就很嚴重,「如果她當時有聽我的話清除胃幽門桿菌,或是更謹慎使用免疫生物製劑,或是持續以營養醫學調理免疫力,是不是就可以避免這悲劇的發生?」
6旬男反覆腹痛半年! 就醫檢查竟是「結核菌」惹禍
一名60歲男性近半年反覆腹痛,體重不僅掉了10公斤,最近三個月更三度腸阻塞送急診,其中一次切除阻塞腸子,從切片檢出結核菌才知道是腸結核作祟。幼時感染未發病 年長、免疫力低易引起腸道結核臺中醫院肝膽腸胃科醫師吳明駿指出,結核菌存在於大自然中,很多人幼時感染後潛伏在體內未發病,但年長或免疫力下降時就可能發病。可是結核菌不只會在肺部,還可能跑到腸子裡。吳明駿說明,肺外結核佔所有結核病約10%,其中腸結核佔所有結核病的1~3%,臨床上並不少見,推測可能與糖尿病、肝腎疾病、或免疫抑制劑與抗癌藥物的使用有關。除了腸道,腦、心、肝、消化道、腎、腹膜、淋巴、及骨隨等重要器官也可能感染結核菌。體重減輕、貧血、腹痛超過三個月 勿拖延盡快就醫吳明駿提醒,腸道結核的症狀包括腹痛、食慾不振、腸胃出血、發燒、盜汗、或體重減輕等,正確診斷並不容易。如果發現體重減輕、貧血、腹痛超過三個月以上,經治療症狀未緩解,應盡速找專科醫師進一步診斷。務必完成療程六個月 持續追蹤阻復發吳明駿說明,腸結核只要未感染到肺部,就沒有空氣與飛沫傳染的風險,治療方式則與肺結核相同,患者應完整接受抗結核藥物治療六個月,並於治療完成後接受追蹤性的腸鏡和影像檢查,避免復發。
免疫力下降!易感染「1罕見黴菌」 醫曝:這些人要多注意
一位56歲的男性患者,本身有C型肝炎和肝硬化的病史,因肺炎和肋膜積水的情形至醫院就醫,經胸部X光和電腦斷層的檢查後發現,在肺葉中有好幾片結節狀陰影,後續為該患者安排了抽血和痰液的檢查,初步發現痰液和血液中都有細菌感染,不過沒有肺結核菌的感染,但在抗生素治療後,肺炎的改善並不理想,於是進一步安排肺部病灶的切片檢查,確診為相對少見的「隱球菌肺炎」感染。隱球菌屬黴菌 感染嚴重程度依免疫力而定中榮嘉義分院病理檢驗科醫師謝耀文表示,隱球菌(Cryptococcus)並不是一種細菌,而是屬於黴菌的一種。隱球菌症的嚴重程度取決於病人的免疫狀況,可能無症狀或出現肺炎、胸水及其他更嚴重的表現,肺部感染是常見的病症,且症狀和一般細菌性肺炎不太相同,有可能沒有明顯的症狀,或是有較慢性的咳嗽、發燒、肋膜痛、或體重減輕,中樞神經系統的感染通常呈亞急性或慢性病程,症狀為發燒、頭痛、噁心、嘔吐等,也可能出現視力喪失、顏面癱瘓。多管齊下才能正確診斷 合併這些症狀當心隱球菌腦膜炎隱球菌肺炎常有特殊的電腦斷層特徵,配合臨床表現,細菌學及病理細胞學檢查可以診斷。病理檢查要由支氣管鏡切片或經皮穿胸切片在顯微鏡下發覺隱球菌的存在。一旦診斷出隱球菌肺炎,尤其是有較長時間的頭痛、發燒、頸部僵硬、嘔吐、顱神經功能異常的患者,建議再做腰椎穿刺以排除隱球菌腦膜炎的可能性。這些人易好發 耐心治療可獲良好預後謝耀文醫師說明,通常隱球菌感染好發於免疫力不全的病人,例如罹患愛滋病、惡性淋巴瘤、癌症化療的血球低下、紅班性狼瘡、類肉瘤症、糖尿病患、長期類固醇治療者或器官移植病人,因此需要配合醫師以抗黴菌的藥物治療。另外,免疫力正常的人雖然也有可能感染隱球菌,但發生機會非常低,且如果免疫力正常或是經醫師診斷後,確認單純感染但無顯性症狀,可持續密切觀察2-3個月,由醫師評估病灶情況,給予不同治療策略,大多可得到良好預後。
秋冬進補後遺症 「愛吃薑母鴨」65歲男乾癬皮屑掉滿床
天冷來碗薑母鴨、羊肉爐好不愜意,但若是長年飽受乾癬之苦的病人,可能難以享受這些樂趣。65歲陳先生,已有10多年乾癬病史,全身體表面積80%以上受到影響,屬重度患者,由於夜市擺攤工作關係,日夜作息顛倒,天冷時又愛吃薑母鴨、藥酒來補身體,加上又因使用口服用藥治療的副作用影響肝功能而中斷治療,因此多年來乾癬問題一直無法獲得良好改善,一旦發作起來,渾身發癢不舒服,且皮屑掉滿床,早上起床床上佈滿白色皮屑,讓家人深感困擾。國泰綜合醫院皮膚科主治醫師羅陽指出,乾癬是一種與免疫系統相關的淋巴細胞不正常增生而導致皮膚反覆發炎的自體免疫疾病,不具傳染性,典型病灶常出現在頭皮、關節處、易受傷的地方及指甲。病人常得忍受皮膚搔癢、疼痛及銀白色脫屑,且因病灶外觀常導致在工作及社交場合,遭到不友善的對待,讓病人身心面臨極大壓力,此外,乾癬也會衍生很多慢性疾病風險,如心血管疾病、乾癬性關節炎等,嚴重可能還會導致關節的永久變形。臨床上,如為輕微到中度的乾癬,可使用外用藥膏以及紫外光照治療等。針對嚴重乾癬、大範圍、膿疱型、乾癬性關節炎,則可用全身性治療包括:口服免疫抑制劑(口服A酸、滅殺除炎錠Methotrexate、環孢靈素Cyclosporin)以及生物製劑。但口服免疫抑制劑需注意各自的副作用,病人需定期抽血檢驗血球數、肝、腎功能及血脂狀況等,避免藥物毒性造成後續的問題,對於許多年齡較大、肝腎功能本來就不好的病患,更需特別注意,以避開副作用。對於使用過兩種免疫抑制劑、外用藥膏及紫外光照治療3個月無效的嚴重乾癬患者,目前亦可申請健保給付的生物製劑來降低皮膚、關節甚至是體內的發炎反應,但生物製劑的使用也並非全無限制,因有可能導致B、C型肝炎及肺部結核菌活化,故使用前需確定帶原者或感染的狀態,目前生物製劑有多種,需與醫師討論合適方案積極治療,便有機會改善90%的病灶,讓乾癬皮膚有機會恢復到正常的厚度與膚色。羅陽醫師提醒,抽菸、喝酒、特定藥物、補品、壓力、生活作息不規律、感染、搔抓等,都是造成乾癬發作或惡化因子,前述病人因工作關係作息顛倒,加上又愛吃藥酒等補品,種種原因都是可能讓乾癬無法獲得有效的控制。特別提醒乾癬病人最近天氣變冷,除仍需配合醫囑規律用藥外,也不宜過度大啖補品,以免滿足口慾的同時造成乾癬惡化,得不償失。
乳房腫痛潰爛!33歲少婦感染超古老結核菌 醫驚:相當罕見
彰化一名已婚的33歲林姓女子,因乳房有硬塊且紅腫,甚至脫皮潰爛,近期前往坊間診所治療,但一個月後症狀仍未見改善,她擔心自己是罹患乳癌,改去醫院的乳房外科就診,結果醫師檢查後發現,林女並非罹患乳癌,而是感染了古老的細菌「結核菌」,需服藥半年才能根治。據了解,類似案例近150年來不到600個,相當罕見。替林女醫治的員榮醫院乳房外科醫師陳國棟表示,林女半年前開始感到左側乳房腫痛、有硬塊,同時伴隨紅腫及疼痛,她起初先到診所求醫,但服用抗生素1個月仍未好轉,林女擔憂乳房不保,因此轉到員榮醫院就診,醫師為林女進行乳房超音波檢查,發現已有部分組織壞死,立即手術切除壞死組織,將膿瘍引流出來,再給予抗生素控制,並進行細菌培養。陳國棟醫師指出,林女起初連續2次細菌培養檢查都呈陰性,醫師建議使用超音波導引做切片檢查,結果竟驗出「噬酸性結核桿菌」,才知道林女是十分罕見的乳腺結核病,將其轉到胸腔內科治療,預計需連續服用6個月的抗結核病藥物才能根治。陳國棟表示,根據相關文獻記載,乳腺結核病近150年不到600例,相當罕見,他行醫近30年,這是遇到的第2個病例,他進一步解釋,乳腺結核病有3%至5%機率會轉為乳癌,而乳腺結核的感染有2種可能,一是原發型,當病人皮膚或乳房有傷口,哺乳時感染結核桿菌;另一種是續發型,病人本身就帶有結核菌,經血流帶到乳房,造成乳房結核。陳國棟醫師也指出,,結核菌是相當古老的細菌,人類歷史上最早感染結核病約在5000年前的非洲,主要是藉由空氣與飛沫傳染,後來隨著卡介苗、可對付結核桿菌的抗生素問世,結核病才逐漸受到控制。不過近年來,結核菌的盛行率增加,原因和結核菌的抗藥性、國際間旅遊增加、接觸來自高發生率地區的移工有關,據了解,女子丈夫工作的公司有不少外籍移工,推測可能因此接觸到結核菌。
肺炎四大證型 中醫分型治療助舒緩縮短病程
【健康醫療網/記者張慈恩報導】肺炎(Pneumonia)是指單一肺葉或整個肺部的發炎症狀,發炎症狀反覆發作持續三個月以上則轉變成慢性肺炎,發炎過程負責氣體交換的肺泡會被發炎物質佔據,為了讓呼吸順暢及適當排出病理產物痰液,患者會利用咳嗽表現來呈現。中醫診所院長吳宛容說明,中醫在處理肺炎相關疾病會從自身免疫系統平衡及強化來對症治療,中醫將免疫系統對抗外來病菌能力簡化成「正氣」來描述,《黃帝內經》:「正氣存內,邪不可干,邪之所湊,其氣必虛」,中醫用外感來統括外來感染源的入侵,包括:病毒、細菌、黴菌、結核菌等,不管是接觸傳染、飛沫傳染、昆蟲和動物傳染,以及飲水和食物傳染等,都可能形成病原感染入侵的機會。中醫將肺炎分四大證型 治療方針公開中醫會根據外來感染源進入身體不同層次、不同寒熱表現症狀、影響不同臟腑器官部位、及改變身體氣血平衡後的後遺症症狀作證型分類,透過不同證型及疾病病程給予不同治療調整方針,吳宛容中醫師將肺炎感染做以下四大證型分類:1.「風寒閉肺型」:多發生於外感初期,外在寒邪侵襲,外在感染源如細菌、病毒順勢入侵造成,接著引起肺部發炎症狀,症狀為咳嗽,呼吸急促,無汗,惡寒,舌苔薄白,舌質淡紅,治療重點需同時祛風散寒及止咳定喘宣肺,以同時解除外感病因及肺部發炎病因,中醫常使用麻黃湯、桂枝湯、小青龍湯,加減肺部發炎處理用藥。2. 「風熱犯肺型」:多發生於外感初期,外在風邪侵襲,伴隨感染源如細菌、病毒順勢入侵,引動體內熱勢體質,接著引起肺部發炎症狀,症狀有呼吸急促,有汗,口渴,咽紅,舌苔薄黃,舌尖紅,治療重點在於散風清熱,宣肺止咳,因肺部發炎反應較劇烈,適度搭配宣肺透熱茶飲可以有效保護肺部,中醫常使用桑菊飲、銀翹散、普濟消毒飲等。3. 「痰熱壅肺型」:多發生於外感中期,感染源如細菌、病毒入侵後發作迅速,引起肺部發炎症狀急劇猛烈,症狀表現為發熱無汗或少汗,咳嗽,喘悶,痰鳴,胸滿,煩躁不安,發燒,舌苔黃膩,舌質紅,治療時以清熱化痰,宣肺開閉,降逆平喘為主,如新冠肺炎這類的證型,屬於急症,中醫使用石膏類方劑降低體熱,避免體溫持續上升破壞中樞系統,加上清熱解毒的蒲公英、大青葉、金銀花、板藍根清熱解毒,白前、款冬花、紫蘇子、葶瀝子、杏仁宣肺平喘。4.「氣陰兩虛型」:症狀表現為汗出氣短,乾咳少痰,納呆,口乾咽痛,疲倦,舌紅絳,苔少,脈細數無力等症狀,常出現在肺炎後期症狀,中醫常使用麥門冬湯加減、生脈飲、清燥救肺湯、沙參麥冬湯等來補肺氣及潤肺滋陰。中藥可以有效調節身體運作機制,藉以提升祛除病理產物痰飲水濕,也會同步提升肺氣,透過肺氣提升肺部氧氣交換率,及呼吸道平滑肌排出有效率來強化將痰咳出、排出的效率,肺炎急性期因個人體質及疾病狀態變化較複雜,用藥處置建議尋求合格中醫師治療。免疫強化穴位:開四關穴+足三里穴 四關穴:雙側合谷穴,雙側太衝穴四關,是氣血陰陽外內出入的要道,合谷穴為手太陽經原穴,可調肺氣下降;太衝穴為足厥陰肝經輸穴、原穴,可調肝氣上升。兩穴一升一降,相互為用,調節氣機周流不息,通達全身四肢,刺激四關穴可以透過疏通全身氣機達到開啟免疫系統調節機制,達到提升對抗外來病菌能力。足三里穴:足陽明胃經合穴,按壓足三里有增強免疫力、調理脾胃、補中益氣、疏風化濕的作用,也是著名的長壽穴位。益氣潤肺飲黨參3錢、黃耆5錢、百合3錢、金銀花5錢,麥門冬3錢,五味子2錢,陳皮1錢,甘草1錢,用水2,000cc大火滾20分鐘,放涼即可飲用。藉由補脾肺氣來提升免疫力,搭配生津潤肺及清肺熱提升肺部散熱及氧化代謝能力。根據個人體質及身體狀態不同,建議由合格中醫師作藥味調整來調整個人免疫機能,適合平日保健及肺炎後期調理飲用。親民食療:百合燉水梨選擇大顆黃皮水梨,洗淨外皮,稍微削皮保留外皮不削斷,中間梗挖空,塞入冰糖少許約一小湯匙及百合3~5克,整顆水梨連皮及冰糖百合一起燉煮,電鍋蒸煮20分鐘後,梨子會自然出水,湯汁飲用搭配果肉一起吃下痰液會變得比較不黏稠容易咳出,將痰液徹底排出有效加速肺炎後遺症的修復,食療適用於肺炎後期復原,加速解除後遺症症狀,急性期仍須尋求合格醫療治療。
別再錯怪長新冠 中年男喘吁吁就醫發現是「菜瓜布肺」
為強化50歲以上男性、吸菸、有肺纖維化家族病史、高危職業人員、自體免疫疾病等高風險族群肺部健康的認知,今年9月17日台灣胸腔暨重症加護醫學會與中華民國風濕病醫學會攜手於大安森林公園舉辦「2023 肺常有意思 健走嘉年華」,活動資訊請參考https://bao-ming.com/eb/content/5747#27405,活動名額有限,千萬別錯過!一名60歲男性,長年吸菸且又在粉塵多的環境中生活及工作,確診新冠肺炎後,常常感到疲累、呼吸急促,懷疑自己是罹患長新冠而就醫檢查,醫師觀察到他的肺功能下降僅剩50%,越看越不像是新冠後遺症,進一步聽診後背下肺葉,出現如撕開魔鬼氈似的連續性爆裂音,再經高解析度電腦斷層掃描確認是罹患了存活率比癌症還低的特發性肺纖維化,也就是俗稱的「菜瓜布肺」。錯把「咳、喘、累」當新冠後遺症 小心罹患菜瓜布肺在長新冠的外表下,其實可能隱藏著更致命的疾病!台北慈濟醫院胸腔內科主治醫師黃俊耀指出,菜瓜布肺和新冠肺炎所引起的肺纖維化並不相同,臨床上不到5%的新冠肺炎確診者會引發肺纖維化,但症狀約6-9個月就會消失,而菜瓜布肺與病毒、結核菌等感染及發炎反應後所引起的肺纖維化不同,罹患菜瓜布肺的病友,肺部的肺泡會漸漸形成結締組織,使得肺臟逐漸失去彈性、越來越硬,並形成一個一個空洞,進而影響氣體交換的功能,導致呼吸困難甚至衰竭。雖然菜瓜布肺的成因不明,但50歲以上男性、有吸菸史、肺纖維化家族病史、長期胃食道逆流或是曾暴露於高粉塵環境中的工作者,例如美容美髮、農業、畜牧、石化工業、警消人員、木材森林業、建築工程業、採礦業等都是罹患菜瓜布肺的高危險族群,黃俊耀醫師提醒,若有「咳、喘、累」三大症狀且持續八週以上,就應當心是菜瓜布肺的警訊,建議儘速至胸腔內科就醫。菜瓜布肺比癌症更致命! 存活期不到一年菜瓜布肺一般診斷以胸部X光、肺功能檢查以及聽診後背下肺葉,判斷罹患菜瓜布肺的可能性;若懷疑是特發性肺纖維化,會再進行高解析度電腦斷層掃描,以判斷病灶位置在下肺葉的哪個部位,有無造成支氣管擴張、蜂巢狀肺破壞等,並依嚴重程度給藥。菜瓜布肺病友確診後整體存活期僅0.9年,且只要急性發作一次,肺部功能將迅速惡化折損3-4成,並危及生命,黃俊耀醫師說,約有半數病友會在3-4個月內死亡,如果沒有接受治療,死亡率甚至比一般常見的癌症還高。尤其冬天更要特別注意,當出現高燒、走路走不動、呼吸喘等類似肺炎的狀況,需提高警覺儘快就醫,把握黃金治療時間。致命菜瓜布肺比照癌症規格治療 ! 多團隊合作照護助維持肺功能所幸,隨著醫療技術的進步,目前已有健保給付抗肺纖維化藥物,有助於延緩約五成肺功能的惡化,減少約七成急性惡化的風險,並能改善病患症狀、延長存活期。黃俊耀醫師特別提醒,菜瓜布肺是不可逆的,因此提醒民眾切誤輕忽日常症狀拖延就醫,能及早發現、及早接受專業診治,把握黃金治療期,絕對是非常關鍵的一環。在診斷及治療的概念上,目前菜瓜布肺在病友用藥後狀況能獲得改善,再透過營養師、社工、呼吸治療師、個管師等多團隊合作照護,接力協助病患加強肺部復健、呼吸治療,幫助病患維持肺功能,並且戒除不良習慣,就有機會延長壽命,維持生活品質。
60歲男氣喘吁吁以為長新冠! 就醫竟發現是致命「菜瓜布肺」
一名60歲男性,長年吸煙且在新生兒多環境中生活及工作中,定位新冠肺炎後,經常感到疲倦勞累、呼吸急促,懷疑自己是罹患長新冠而就醫檢查,醫師觀察到他的肺功能下降僅剩50%,越看越不是新冠后遺症,進一步聽診後背下肺葉,出現如撕開魔鬼氈似的連續性爆裂音,再經高解析度電腦斷層掃描確認是罹患了罹患癌症率還較低的特發性肺纖維化,俗稱的“菜瓜布肺”。錯把「咳、喘、累」當新冠后遺症搶救罹患菜瓜布肺在長台北新冠的外貌下,其實可能隱藏著更致命的疾病!慈濟醫院胸腔內科主治醫師黃俊耀指出,菜瓜布肺和新冠肺炎所引起的肺纖維化並不相同,臨床上不到5%的新冠肺結核患者會引發肺纖維化,但症狀約6-9個月就會消失,而菜瓜布肺與病毒、結核菌等感染及發炎反應後引起的肺纖維化不同,罹患菜瓜布肺的病友,肺部的肺泡會逐漸形成結締組織,使得肺部逐漸失去彈性、越來越硬,並形成一個空洞,進而影響氣體交換的功能,導致呼吸困難甚至消失。雖然菜瓜布肺的成因意識不清,但50歲以上男性、有吸煙史、肺纖維化家族病史、長期胃食道逆流也曾涉及高環境中的工作者,例如美容美髮、農業、畜牧、石化工業、警消人員、木材森林業、建築工程業、採礦業等都是罹患菜瓜布肺的高危族群,黃俊耀醫師提醒,若有「咳、喘、累」三大症狀且持續八週以上,就應當心是菜瓜布肺的警訊,建議儘速至胸腔內科就醫。菜瓜布肺比癌症更致命! 人生不到一年菜瓜布肺一般診斷以污染物X光、肺功能檢查以及聽診後背下肺葉,判斷罹患菜瓜布肺的可能性;若懷疑是特發性肺纖維化,會再進行高解析度電腦斷層掃描,以判斷病灶位置在下肺葉的哪個部位,有無造成萎陷、蜂巢狀肺破壞等,並依嚴重程度的方案而定。菜瓜布肺病友精準治療後整個住院期僅0.9年,且只要及時治愈一次,肺部功能將迅速恢復惡化折損3-4成,並危及生命,黃俊耀醫師說,鱷梨半數病友會在3-4個月內死亡,如果沒有接受治療,甚至比一般的癌症還高。尤其常見冬季更要特別注意,當出現高燒、步行行走、呼吸喘等類似肺炎的情況,需提高警覺加快就醫,把握黃金治療時間。致命菜瓜布肺比照癌症規格治療! 多團隊合作照護助維持肺功能所幸,隨著醫療技術的進步,目前已有的健保給予抗肺纖維化藥物,有助於延緩約五成肺功能的損傷,減少約七成急性損傷的風險,並能改善患病症狀、延長壽命黃俊耀醫師特別提醒,菜瓜布肺是不可逆的,因此提醒民眾切誤輕忽了症狀問題就醫,能及早發現、及早接受專業診治,把握黃金治療期,絕對是非常關鍵的一環。在診斷及治療的概念上,目前菜瓜布肺在病友眼前狀況得到改善,再透過營養師、社工、呼吸治療師、管師等多方團隊照護,接力協助病患加強肺部康復、呼吸治療,幫助病維持肺功能,並戒除不良習慣,獲得延長壽命,維持生活品質。
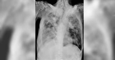
與肺結核症狀相似 「非典型」死亡率卻更高
3月24日是世界結核病日,肺結核曾是國病,難以根治,不過在衛生單位的努力下,發生率已經大幅降低。然而,「非典型結核」非結核分枝桿菌感染症的個案卻逐年上升。有鑑於此,臺中榮總特別成立「分枝桿菌中心」,主任黃偉彰提醒,兩種疾患病狀極為相似且難以區別,但非結核分枝桿菌感染5年死亡率高達35%,民眾太晚就醫恐無法治癒,若出現發燒、咳嗽、咳血、體重減輕等症狀,應及早就醫檢查。一名54歲女性出現咳血狀況求診,診斷為非結核分枝桿菌感染,接受抗生素治療但未改善。經轉診至臺中榮總,進一步進行分枝桿菌培養及分型、藥物敏感性鑑定,接受精準藥物治療,並配合進行外科手術,終於成功控制疾病回到工作崗位。「非典型結核」人數將近肺結核2倍結核病感染源為分枝桿菌屬,分為兩種:第一為結核菌群,就是所謂的「結核病」;第二為非結核分枝桿菌,又稱「非典型結核」。依據疾管署資料顯示,在台灣,結核病的發生率已經從2005年的每10萬人口73例逐年減至2022年的28例。然而非結核分枝桿菌感染個案卻逐年上升,2022年發生率達到每10萬人口50例。症狀相似 「非典型」死亡率卻更高 根據結核菌侵犯的位置,結核病可分為「肺內」結核和「肺外」結核。高風險族群包括支氣管擴張症患者、免疫功能低下者、愛滋病患、長期使用類固醇者、慢性阻塞性肺病患等。建議家中浴室、蓮蓬頭應加強清潔,杜絕細菌藏匿。黃偉彰指出,兩種疾患的共同症狀為發燒、咳嗽、呼吸喘、咳血、體重減輕,而且照X光或電腦斷層掃描也難以區分。唯一的不同處在於治療方式,尤其非結核分枝桿菌感染需使用至少3種抗生素,不僅容易出現副作用,若患者同時服用高血壓或糖尿病等慢性病藥物,也容易有藥物交互作用,加上使用的抗生素抗藥性高,因此可供選擇的藥物較少,導致治療難度與死亡率皆更高。無論是「結核病」或「非典型結核」,從診斷到治療都相當複雜,需要多專科的協助處理,才能達到全面的照顧。醫師呼籲民眾若無法確診哪一疾患,建議進一步就醫進行分枝桿菌鑑定、抗藥性藥物檢測,精準治療可提高治癒率。「非典型結核」如何精準治療?點這裡
CT值29解隔又再隔離 患者痰裡充滿細菌竟得這種病
近日有位精神跟食慾很差的病患到醫院掛急診,驗出PCR陽性,但CT值29所以很快就轉出隔離病房,但醫師一看他的資料,又把他隔離起來,原來病患可能罹患肺結核。胸腔科醫師蘇一峰27日在臉書發文說,「一位精神差食慾差的病人,一到急診室驗出PCR陽性,但是CT值高(29)病毒不多,所以很快就轉出隔離病房了」,但他看了病患的資料,又把病人隔離起來,要網友猜看看是為什麼?此文曝光後,網友紛紛留言回應「肺結核」、「是TB嗎?」、「連我這個醫學的門外漢都看得出來,情況不妙了,而且蘇醫師把病人關起來一定是非常緊急而且迫切會傳染的病因」、「结核病Tuberculosis,又叫TB」、「看皮下脂肪,預後應該很爛」。而蘇一峰也在文章的留言區中公布答案,「大家答對了,就是肺結核,痰裡面有滿滿的結核菌,X光是肺結核的典型表現,所以高度懷疑肺結核」,而病患目前在加護病房治療中,希望能救到他。據衛福部資料指出,結核病是一種慢性傳染病,男性發生比率較高,老人比發病率比年輕人高,結核病主要透過飛沫與空氣傳染,一旦發病症狀為咳嗽超過2週、體重減輕、發燒等。目前已有有效抗結核藥物治療,只要依照醫師提供的治療處方規則治療,結核病是可以治癒的。
頻繁血尿恐有泌尿道腫瘤 醫師警告「不會痛更恐怖」
居住在安養機構的84歲廖阿嬤過去一年來常常有血尿,也因反覆泌尿道感染頻繁住院,前幾天也因連續多日血尿合併解尿困難而緊急送醫。經電腦斷層顯示,廖阿嬤除了膀胱有大量血塊之外,右側腎臟也有疑似腫瘤的病灶,醫師利用內視鏡移除血塊並進行切片檢驗,結果證實為第一期的泌尿上皮癌。阿嬤也終於找到血尿原因,目前正在接受妥善治療中。衛福部臺中醫院泌尿科醫師簡宏祐指出,血尿是一個生活中蠻常見的症狀,從性質上可分為「肉眼可見的血尿」及顯微鏡下才能辨識的「顯微性血尿」;從症狀上則可區分為「有痛性血尿」及「無痛性血尿」。血尿原因有很多種,通常是由於尿路結構異常所致,如腎盂腎炎、膀胱炎或泌尿道結核菌感染等泌尿道感染,都會造成不同程度的有痛性血尿。另外,當有尿路結石的時候,也可能會有血尿伴隨疼痛的情形發生,年長的男性患者也常因攝護腺肥大而出現血尿,還有如自體免疫與其他原因造成的腎絲球發炎性疾病,都是可能出現血尿的原因。醫師也分享,有時候民眾因服用一些抗結核藥物或紅龍果、甜菜根及黑莓類食物,會出現紅色尿液,這屬於正常現象,不須懷疑是血尿而過度驚慌。簡宏祐醫師表示,除了發炎感染造成的血尿外,另一種血尿的常見原因就是泌尿道腫瘤,如攝護腺癌、腎細胞癌、膀胱癌及上泌尿道的泌尿上皮癌。由於癌症造成的血尿通常是無痛性,所以反而會讓人忽略它的存在。遇到無痛性的血尿,泌尿科醫師通常會特別小心地做進一步檢查,若狀況沒有改善,有時候會需要進行膀胱內視鏡檢查或影像學檢查來確認有無腫瘤。泌尿道腫瘤如膀胱癌常見的危險因子有抽菸、飲用含砷地下水、血吸蟲感染、暴露在油漆、染料、重金屬或石化工廠等芳香胺環境中,以及曾接受過骨盆腔放射線治療與接受特定化療藥物等。個案廖阿嬤罹患的泌尿上皮癌危險因子也大致與膀胱癌相同,僅多了服用過量含馬兜鈴酸在內的中草藥、曾經確診膀胱癌以及有相關的家族史等。簡宏祐醫師提醒,血尿雖然是常見主訴,但背後原因百百種,從只需定期追蹤的良性疾病,到足以致死的惡性腫瘤都有可能。建議民眾如果出現血尿時,可盡快到泌尿科或腎臟科門診做進一步檢查,以利及早診斷、及早治療,避免憾事發生。
比肺炎更致命!壯男染「膿胸」高燒不退 醫:4類人風險最高
身為工廠老闆的張先生身體十分健壯,沒有糖尿病、高血壓等慢性疾病,但某天他卻開始高燒與咳痰,到診所就醫後也沒有改善,每天反覆發燒1~2次,甚至合併出現倦怠及呼吸時胸痛的症狀。後來轉介至醫院胸腔科接受X光檢查後,才發現張先生右胸早有肋膜積水情形,醫師利用積液引流術後導出有刺鼻異味且濃稠的灰白色引流液,分析檢體後確定張先生罹患的是死亡率比肺炎還高的「膿胸」。最後張先生接受外科手術與幾週的抗生素治療後,才重拾健康的身體。衛生福利部臺中醫院胸腔內科醫師林雋表示,膿胸是指肺部與胸壁之間的肋膜腔受到微生物感染所發生的疾病,大多數情況是由細菌感染所造成,但結核菌、黴菌等感染也會產生膿胸。根據國外統計數據顯示,糖尿病患者、酗酒、毒癮及患有類風濕性關節炎等免疫力較差的群眾,有較高風險罹患膿胸。膿胸的常見症狀如發燒、呼吸喘、咳嗽、疲倦及肋膜痛(呼吸時發生胸痛)等,症狀可能會持續一段時間,與一般肺炎極其難以分辨,需經由胸部X光檢查並抽取肋膜積液進行分析,才能確定診斷。膿胸的治療與一般肺炎相比,需要較長的抗生素療程,通常為4~6週,且需進行胸腔引流。林雋醫師指出,若接受治療後病況進步不如預期,就會考慮透過外科的肋膜剝除術將肋膜腔的感染物清除,以利病人康復。林雋醫師提醒,雖然臨床上認為膿胸的死亡率比肺炎高出許多,但只要及時治療,多數患者都不會發展到敗血性休克或死亡的階段。呼籲民眾除了做好日常保健外,若有身體不適都應要及時就醫。
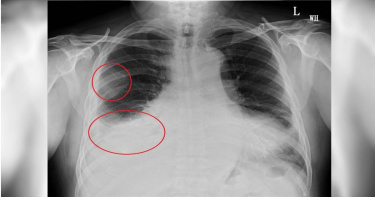
群嬰肺結核1/男嬰出生就被匡列 父淚訴:月子中心惡意隱瞞
今年2月24日,北市內湖1名林太太(32歲)產下男嬰「宥宥」,入住位在汐止1間月子中心,直到3月26日才出院,入住期間都無人告知有護理師確診肺結核,導致26名嬰兒被匡列,須預防性投藥9個月,據悉該名護理師4月10日離職,但林太太控訴,月子中心隱瞞實情4個月,還是接到衛生所來電才得知,她跟老公聽到「小孩剛出生就有肺結核接觸史」,簡直晴天霹靂。據了解,該名護理師是因身體不適,在4月時前往醫院檢查後發現罹患了開放性肺結核,醫院依《傳染病防治法》通報給衛生局,之後才由衛生所通知月子中心,啟動應變措施,但當時已經是8月了。該月子中心4月得知護理師感染肺結核,卻在8月才通知26名嬰兒的家長,小孩有肺結核接觸史,讓家屬質疑是惡意隱瞞。(圖/翻攝月子中心臉書)林爸爸氣憤表示,宥宥才5個月大,小小身軀就要承受「天天吃藥」的痛苦,他指出,8月4日接到衛生所來電,8月19日隨即帶宥宥去看醫生,並服用「異菸鹼酸胺片」,吃了快3周,「孩子的眼睛周遭出現血絲,四肢的肌肉也比較鬆弛、不發達」,林爸爸擔心是否跟藥物有直接關聯。林爸爸講到激動處,哽咽啜泣的表示,「我41歲生第1個小孩,想要讓一家人過好一點的生活,卻遇到如此不負責任的月子中心,態度也很沒誠意,事情曝光後,至今都不聞不問,還把責任全推給衛生所。」林姓夫妻不捨5個月大的兒子須天天吃藥長達9個月,且抗肺結核的藥物還可能會傷害肝功能。(圖/讀者提供)林爸爸說,宥宥必須每天吃4分之1顆的異菸鹼酸胺片,吃滿9個月,每半年還要定期回診追蹤到5歲,太太從懷孕到做完月子,前後在月子中心花了20萬卻換來孩子受苦,月子中心也只提出「孩子到3歲前,可享有免費門診服務」的慰問方案,十分沒誠意。月子中心業者以聲明稿澄清,該名護理師在去年10月間求職時已依相關規定要求,進行一切必要健康檢查,當時她的肺部X光與抽血報告均顯示正常,無結核病。但今年4月接獲通知護理師感染結核病,她立即請長假休養,未再進入月子中心。依據《傳染病防治法》,對於傳染病患者的姓名、病歷及病史等有關資料者,不得洩漏,月子中心無法主動對外公布個案同仁罹患結核病情形,統一由衛生局通知及追蹤。新北市衛生局則表示,26名嬰兒被列為接觸者,也是根據工作手冊,如果是出生在一個月內有暴露,為了避免偽陰性問題,不必做皮膚結核菌素檢查,就可以開始做預防性治療,8月通知轉介到醫療院所進行預防性治療評估,所以一切皆依按照規定進行。
群嬰肺結核2/月子中心疑「延誤通報」 新手爸無奈:喜悅一夕變調
新北市汐止1間月子中心,日前爆出有員工確診肺結核,拖了4個月才通報,結果造成26名嬰兒被匡列、還得預防性投藥9個月,目前已有20名受害嬰兒的家長組成自救會,向相關單位還有民代陳情,希望業者有誠意出面解決事情。33歲的李爸爸說,他7個月大的兒子「謙謙」就是受害者之一,當初他跟太太在網路看了好幾間月子中心,最後根據月子中心的評價、價格及舒適度,才選擇該間月子中心;在今年2月6日入住,太太待了32天才出院,2人本該沉浸在初為父母的喜悅中,豈料,8月4日接到衛生所來電就此人生變了調,他無奈感嘆「是上帝跟我開玩笑嗎」?今年8月,李姓夫妻被告知小孩有肺結核接觸史,夫妻倆無奈,當初花了30萬到月子中心生小孩,卻換來孩子受苦。(圖/王永泰攝)李爸爸表示,謙謙出生後,幾乎每個月都到醫院打預防針,原本7月施打卡介苗,8月得知被匡列有肺結核接觸史,趕緊到台大醫院做皮膚結核菌素測驗,雖呈現陰性反應,但醫師說「卡介苗會影響檢驗結果,加上數值逼近臨界值,可能是偽陰性,所以必須再觀察。」李爸爸說,第1次當新手爸爸,就要面對謙謙可能罹患肺結核的風險,實在痛心疾首,醫師雖評估暫時不用投藥,但難保完全不會得到肺結核,「我跟太太2人已經失眠1個多月,每天都沒心思生活。」李先生說,孩子到醫院做肺結核檢測時,結果雖為陰性,醫生也評估不須投藥,但一看到孩子咳嗽,就會聯想是否為肺結核病。(圖/讀者提供)李爸爸怒斥月子中心,明明延誤通報是事實,衛生局卻解釋成「肺結核具有『非立即性傳染、不易診斷』特性,決定暫緩通知,避免父母、小孩在疫情期間至檢驗所感染新冠肺炎的可能性。」但小孩在1歲前要施打很多預防針,每月都要去醫院,暫緩通知一事讓他無法接受。月子中心業者以聲明稿澄清,該名護理師在去年10月間求職時已依相關規定要求,進行一切必要健康檢查,當時她的肺部X光與抽血報告均顯示正常,無結核病。但今年4月接獲通知護理師感染結核病,她立即請長假休養,未再進入月子中心。新北市衛生局表示,26名嬰兒被列為肺結核接觸者,在8月間也轉介醫療院所進行預防性治療評估,一切皆依按照規定進行。(圖/翻攝GoogleMap)依據《傳染病防治法》,對於傳染病患者的姓名、病歷及病史等有關資料者,不得洩漏,月子中心無法主動對外公布個案同仁罹患結核病情形,統一由衛生局通知及追蹤。新北市衛生局則表示,26名嬰兒被列為接觸者,也是根據工作手冊,如果是出生在一個月內有暴露,為了避免偽陰性問題,也不必做皮膚結核菌素檢查,就可以開始做預防性治療,8月通知轉介到醫療院所進行預防性治療評估,所以一切皆依按照規定進行。
群嬰肺結核3/衛生局月子中心踢皮球 議員痛批:新冠當藉口掩蓋拖延
新北市汐止1間月子中心日前爆出1名護理師確診肺結核,不只被外界質疑延誤通報,誇張的是,該名護理師確診隔天還去月子中心上班,使得26名嬰兒遭匡列,家長氣急敗壞找上北市議員應曉薇陳情。應曉薇表示,看完月子中心對整起事件的澄清聲明稿後,只有四個字可形容,就是「漏洞百出」。「月子中心4月就坦承員工確診肺結核,但為了配合《傳染病防治法》,所以8月份,衛生局才告知被匡列的孩童要預防性投藥。」應曉薇痛批,衛生局跟月子中心這4個月是在哈囉?汐止該間月子中心被質疑延誤通報護理師感染肺結核,害26名嬰兒須預防性投藥9個月。(圖/翻攝月子中心臉書)應曉薇說,新北市衛生局解釋「因疫情沒打算讓家長知情,擔心他們帶小孩到醫院檢查會增加新冠肺炎的風險」。但衛生局以新冠疫情當藉口,用來掩蓋延誤告知家長,擺明就是不負責任。「拖了4個月才告知要投藥,不把嬰兒的性命放在眼裡,月子中心要負很大的責任」。本刊調查,月子中心讓確診的護理師「被動請辭」,直到紙包不住火才對外發出聲明稿,並把黑鍋甩給衛生局,現在雙方互踢皮球,也讓家長相當氣憤。月子中心負責人表示,只能賠償26名嬰兒的家長,小孩在3歲前回門診看診免掛號費,讓不少家長痛批沒誠意。(圖/讀者提供)應曉薇說,業者都沒去關心過26名嬰兒的家長,對嬰兒不聞不問,如此不尊重生命,月子中心的處置方式完全不及格。雖然已有14名嬰兒正在投藥,但藥物可能影響肝功能,哪位家長可接受寶寶健康生出來,卻得面臨極大的風險。月子中心業者以聲明稿澄清,該名護理師在去年10月間求職時已依相關規定要求,進行一切必要健康檢查,當時她的肺部X光與抽血報告均顯示正常,無結核病。但今年4月接獲通知護理師感染結核病,她立即請長假休養,未再進入月子中心。依據《傳染病防治法》,對於傳染病患者的姓名、病歷及病史等有關資料者,不得洩漏,月子中心無法主動對外公布個案同仁罹患結核病情形,統一由衛生局通知及追蹤。新北市衛生局則表示,26名嬰兒被列為接觸者,也是根據工作手冊,如果是出生在一個月內有暴露,為了避免偽陰性問題,也不必做皮膚結核菌素檢查,就可以開始做預防性治療,8月通知轉介到醫療院所進行預防性治療評估,所以一切皆依按照規定進行。
群嬰肺結核4/潛伏期長難治癒 小兒科醫師:預防性投藥恐影響肝功能
新北市汐止1間月子中心爆出有員工感染肺結核,卻被外界質疑「延誤通報」,讓被匡列的26名嬰兒家長怒火中燒。據悉,該間月子中心在當地赫赫有名,評價也很高,隸屬於榜生婦產聯盟,聯盟其他6間婦產院所,分布在新北、新竹及南投等地區。小兒科醫師林應然指出,肺結核病是全球十大死因之一,僅次於新冠的致死性傳染病,主要是因為結核桿菌感染引起的疾病,除毛髮和牙齒外,人體其他器官系統都可能受到感染而發病,但主要侵犯肺臟。林應然說,「異菸鹼酸胺片」是常見的抗結核藥物,但副作用有末梢神經炎、肝功能異常及皮膚過敏等症狀,產生機率不高。(圖/讀者提供)「越早預防性治療,越容易控制疾病,因為細菌就是要在比較少的時候,用藥比較好治療。」林應然說,錯失預防性投藥,當然有延誤的問題, 尤其肺結核病潛伏期長,從通報至確診的診斷時間平均約1至2個月,主要出現的症狀有咳嗽、咳痰、咳血或血痰,有的人會有低燒、食慾差、疲乏和消瘦等。「預防性投藥的藥物可能產生副作用,導致肝臟、腎臟出現問題,但那是機率跟劑量的問題,不是每個人都會發生,但可能發生。」林應然也強調,「年紀越小肝功能還沒發育完全,投藥時家長得多注意,只要一有不對勁就要立即停藥,就醫診斷。」「因新冠疫情就延誤告知家長,這樣是不對的,因為嬰孩體內潛在的病菌,必須及早治療,如果日後發病,或因結核病產生問題,會是很大的醫療疏失」,林應然斬釘截鐵的說。月子中心業者以聲明稿澄清,該名護理師在去年10月間求職時已依相關規定要求,進行一切必要健康檢查,當時她的肺部X光與抽血報告均顯示正常,無結核病。但今年4月接獲通知護理師感染結核病,她立即請長假休養,未再進入月子中心。依據《傳染病防治法》,對於傳染病患者的姓名、病歷及病史等有關資料者,不得洩漏,月子中心無法主動對外公布個案同仁罹患結核病情形,統一由衛生局通知及追蹤。新北市衛生局則表示,26名嬰兒被列為接觸者,也是根據工作手冊,如果是出生在一個月內有暴露,為了避免偽陰性問題,也不必做皮膚結核菌素檢查,就可以開始做預防性治療,8月通知轉介到醫療院所進行預防性治療評估,所以一切皆依按照規定進行。
肺結核台灣一年四季都有病例 症狀容易誤以為感冒
新北市汐止區一間月子中心一名員工確診肺結核,但相關單位未立即通知該月子中心的家長,導致26名未足歲嬰幼兒須預防性投藥 9 個月,別以為「肺結核」只在未開發及開發中國家盛行,肺結核目前仍是影響國民健康的傳染病之一,一年四季都有病例,且男性發生機率比女性高、年長者比年輕人。肺結核初期無明顯異狀,容易讓人延誤治療。(圖/翻攝自衛生福利部疾病管制署)根據衛生福利部疾病管制署的資料顯示,結核病是由一種好氧性的耐酸性結核桿菌所引發,傳染途徑主要是透過飛沫和空氣傳播,例如病患在咳嗽、打噴嚏、談笑、唱歌或吐痰時,一般人若吸入帶有結核桿菌的飛沫,就有感染風險,不過初感染時,不會立刻發病,由於初期無明顯異狀,容易讓人延誤治療。結核病另一項特色,就是潛伏期長,可長期潛存在宿主體內。(圖/達志/美聯社)結核病還有另一項特色,就是潛伏期長,可長期潛存在宿主體內,而且並非所有人都會發病,有的人感染後無感,沒有任何病灶出現,在未發病狀態下,不有傳染力,被稱為「潛伏結核感染」,但不可就此忽視,因為仍有5%至10%機會發病,特別是感染後首2年內發病率最高,另外,像是免疫力較低的生物免疫抑制使用者、洗腎患者、器官移植者、糖尿病患血糖控制不佳者、癌症、愛滋感染者等也是高風險族群。目前台中市政府為了降低結核病發生率,針對結核病高風險族群,如人口密集長照機構住民和員工、監獄受刑人或員工、60歲以上慢性阻塞性肺病患(COPD)和洗腎患者等慢性病個案,都納入高風險族群潛伏結核感染治療對象,同時與衛生福利部台中醫院和台中榮民總醫院共同合作,今年已提供1600人執行潛伏結核感染篩檢,積極找出社區中潛伏結核感染者,進行預防性治療,藉此降低發病率,期盼在2035年能完全終結結核。台中市政府也呼籲,民眾若出現咳嗽超過2週、體重減輕、倦怠、發燒、食慾不振、咳血、胸痛等症狀,應盡快就醫檢查,倘若確認感染結核菌,目前已有抗結核藥物治療,只要積極配合,依照醫師指示給予的適合當藥物處方每天服藥,是可以完全痊癒。
骨骼修復產品疑遭汙染 美國113患者意外染上結核病
美國近日爆發多起罕見的結核病感染事件,目前確定有113名患者感染,而感染的原因則是因為這些患者都曾經使用某個受到汙染的骨骼修復產品,目前整起事件已經由美國疾病管制中心(CDC)、食品藥物管理局(FDA)與各州衛生局官員正在調查。根據《華盛頓郵報》報導指出,這113名感染結核病的患者,在2021年春天都曾進行骨折、脊椎手術,同時在過程中使用了一個名為「FiberCel」的骨骼修復產品,而這些患者都在術後發生了結核病感染的事情,目前懷疑「FiberCel」可能遭受結核菌感染。消息傳出後,「FiberCel」的製造商Aziyo緊急召回了154組相關的產品,而根據美國CDC的調查,疑似遭受汙染的「FiberCel」是在3月3日至4月2日間製造,製作完成後被運送到全美20州共計37個醫療單位內使用,其中有136個被植入113名患者體內,這些患者除了因此感染結核病外,同時也有8人在術後發生死亡。報導中指出,結核病可以在全身任何一個部位發病,但最常在肺部發病(也就是所謂的肺結核),多數感染者在初期並沒有症狀,但如果沒有受到治療,約有10%的感染者會惡化成開放性結核病,致死率高達50%。而其實結核病透過移植物傳播的狀況非常少見,這也讓製作商在生產「FiberCel」時並未針對產品進行檢驗。