胸腔醫師
」 蘇一峰 醫師
「這一病」成台灣癌症五冠王 專業醫:改善空汙刻不容緩
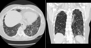
許多人都知道,國人十大死因榜首,歷年來都是癌症。而其中就屬肺癌的死亡率最高。根據衛福部資料顯示,112年十大癌症死亡人數達到53126人時,其中「氣管、支氣管和肺癌」的死亡人數就達到10348人,當中肺癌甚至是連續44年排名前2名。而在胸腔科醫師蘇一峰的解釋下,這才明白到,原來肺癌還是所有癌症中的「五冠王」。胸腔科醫師蘇一峰在FB發文表示,肺癌不僅在醫療統計上全面稱冠,更在財政與資源配置上造成沉重壓力。自費治療的昂貴支出使病患家庭承擔沉重負擔,而健保支出中與肺癌相關的支出也高居榜首。蘇一峰表示,肺癌是「最多人新增的癌症」、「最多人死亡的癌症」、「自費治療最花錢的癌症」、「健保最花錢的癌症」、「過去十年成長最快的癌症」。堪稱是台灣的國病。而蘇一峰認為,肺癌之所以會造就現今的結果,與台灣的空氣污染問題有直接關係。蘇一峰認為,要減緩肺癌的肆虐「改善空汙問題」是刻不容緩的。就在環境造就患病人數直線上升之際,蘇一峰也點出醫療界的重大問題,也就是「胸腔專科醫師越來越少」。蘇一峰表示,肺癌越來越多,胸腔醫師卻因過勞健保給付差壓力大,越來越少人加入。
川普槍擊與中捷砍人「兇手有2共通性」? 胸腔醫師籲台灣慎思
美國前總統川普(Donald Trump)13日出席賓州大型造勢活動時,在眾目睽睽下遭到槍手暗殺未遂。川普右耳受傷,臉部濺血的一幕震驚國際社會。對此,胸腔內科醫師蘇一峰也將此次槍擊事件與台中捷運砍人案作連結,認為槍手與中捷砍人的犯人有2點共通之處,並呼籲台灣應對政治對立的社會問題進行省思。美國前總統川普13日在賓州造勢遇刺,槍手身分被證實為20歲男性克魯克斯(Thomas Matthew Crooks)。當時他在距離造勢舞台超過100公尺以上的小屋屋頂對川普開槍,隨後被特勤局人員擊斃。整起事件造成現場一名川普支持者慘遭槍擊波及死亡,還有2名與會者身受重傷,至於槍手動機目前仍在調查當中。對此,胸腔科醫師蘇一峰也在臉書發文指出,「二十歲的年輕的白人青年,政治太過熱忱就去開槍射川普」,這讓他想起台中捷運砍人案的年輕兇手,「一樣也是快二十歲對政治充滿熱情,個人臉書上大力支持罷韓,特地挑國民黨執政的台中市下手。」蘇一峰認為,2名犯下大錯的犯人,同樣是年紀輕輕的20歲,同樣對政治充滿熱忱,由於受到政治對立的激化,因此鑄下大錯,「台灣也要謹慎思考,政治常常造成社會對立嚴重,沒看到立院還在鬧還在打。」針對蘇一峰的發言,有網友留言表示,「台灣政客就是靠製造人民對立、衝突來謀取私利」、「只能說政客為了奪權很愛製造對立人民分裂的都很命大的」、「政客製造對立不無可能,不過立場鮮明的網紅,利用自己的社會地位不斷煽動對立、博取聲量也是不無可能。」但也有網友認為這種連結太過牽強:「像你過往用各種荒謬的謊話言論挑撥仇恨情緒,還有臉說這個話,真佩服」、「可撥憨粉還要做這種連結喔?繼續輸」、「不如從你開始不要講政治?」
錢少事多、離監獄近!「胸腔科」新進醫師雪崩式萎縮 專家:恐成國安問題
新冠疫情導致台灣醫護人才大出走,其中「胸腔科」新進醫師數量更是嚴重銳減。胸腔內科醫師蘇一峰昨(23日)就在臉書發文感嘆,胸腔醫師錢少、事多、責任重,離病近,離監獄更近,難怪最近7、8年胸腔科新血,每年只剩20幾個,堪稱是「雪崩式的斷頭」。台北市立聯合醫院陽明院區胸腔內科主治醫師蘇一峰,昨在臉書發文感嘆,自己當年考胸腔專科醫師時,全國有100個考生,光北榮就有7位胸腔專科考試,沒想到今年北榮這1屆只剩1位,「胸腔重症病人越來越多,醫師卻是雪崩式萎縮啊!」尤其最近7、8年胸腔科新血每年只剩20幾個,堪稱「雪崩式的斷頭」。蘇一峰也點出關鍵,「健保給付就是爛到爆…開一堆檢查一堆藥品,面對傳染疾病承擔許多責任,卻是薪水的底層後段班」,尤其重症醫師責任又大,10大死因有4個跟胸腔有關!「胸腔醫師錢少、事多、責任重,離病近、離監獄更近」,讓他感嘆「難怪後進不想加入胸腔科。」對此,台灣胸腔重症加護醫學會理事長陳育民也示警,「10年以後假如再發生一個重大的傳染病的時候,那我們國內胸腔科醫生就會很少,這樣幾乎就是一個國安的問題了。」
醫師不是神!寶林案「行銷鬼才」遺孀喊告醫院 蘇一峰痛批:邏輯何在?
台北市信義區「寶林茶室」遠百a13店,驚傳食物中毒事件,目前已累計18例,共造成2死、5命危,受害者通報恐持續增加。如今衛福部也在首名死者39歲呂姓男子的血液中驗出「米酵菌酸」,為台灣首見。沒想到被稱為投顧界行銷鬼才的呂男之遺孀,卻質疑新北三重醫院、台北馬偕醫院有醫療疏失,揚言提告究責。對此,急診室醫師田知學感嘆,「醫師真的不是神!」而胸腔科醫師蘇一峰也痛批,「米酵菌酸」的死亡率極高,告醫院、醫護的邏輯何在?難道不知道急重症醫護已經都招不到人了嗎?生前被稱為投顧界行銷鬼才的呂姓死者,據悉擁有台大經濟系、政大EMBA學歷,前後歷經多家證券投信公司,在業界直、間接牽線促成許多商務合作,履歷輝煌,是業界爭相挖角的人才,去年底他跳槽到現在服務的投信公司,正準備一展長才,卻意外捲入食安事件。23日,呂男先是因身體不適赴新北三重醫院初步治療後,在家屬陪同下步行離院。不料返家後病情急速惡化,隔天24日凌晨就被送往台北馬偕醫院,歷經11小時搶救後,仍在當天下午3時49分因急性腎衰竭宣告不治。愛人突然離世讓呂男遺孀難以接受,於是她在28日檢警於新北市板橋殯儀館解剖相驗時,就受訪強調,她除了會對寶林茶室提告外,也認為三重醫院、馬偕醫院在醫療程序上有疏失,導致呂男喪命,將一併提告究責,為先生討回公道。對此,急診室醫師田知學今(29日)早在臉書粉專《布農Doc 田知學》發文表示,「我是急診醫學科醫師,急診醫學就是我的專長!急診醫師沒有門診!急診醫師不收治住院病人!急診醫師和每位病人的『緣分』就是在急診的短短幾個小時。」她也坦言,急診醫師的主要任務就是「拆炸彈」、「穩定病人」。「拆炸彈」有的時候,炸彈還沒拆除,就爆了!而「穩定病人」有的時候,即使整個團隊拼了命急救,病人還是被死神無情的帶走!「更多時候,急診病人確切診斷是在二次返診、住院之後,甚至司法相驗才知道!」她也反問「是急診醫師不夠努力嗎?」田知學認為,每一位還願意留在臨床最高壓的前線、面對大大小小、重疊不斷,不管是生死、疾病或是病人及家屬情緒壓力的急診醫護,「都是因為我們對醫學、對生命還保有初心!所以,即使感謝很少,責備、催促、謾罵、不信任無數,我們還是堅定地留在臨床第一線!」文末她也多次強調「醫師不是神!醫師真的不是神!很遺憾寶林事件的發生。更遺憾家屬對醫院提告的決定。在這個醫病關係緊張、醫護人力緊繃、政策制度偏向……的情況下,無疑是雪上加霜!」而胸腔科醫師蘇一峰今早也在臉書發文痛批,「台灣首見毒物米酵菌酸,連政府機關找了一堆專家,研究多日才找到原因,米酵菌酸這麼毒,死亡率極高,中毒的病人在醫院,病程嚴重而死,告醫院、告醫護的邏輯何在?」他感嘆,近幾年急重症醫護都在上演大逃亡了!「全國胸腔醫師已經連續十幾年招不到人了,重症護理師缺乏病房,一直關,知道嗎?」
皆出身工寮!胸腔醫師曬老家「真實樣貌」 網讚超勵志:上進模範
民進黨總統參選人賴清德老家違建鬧得沸沸揚揚,還被網友取名「賴皮寮」。對此,台北市聯合醫院陽明院區胸腔科醫師蘇一峰20日就在社群上貼出一張鄉下老家的照片,並喊「真‧鄉下工寮」,引起討論。醫師蘇一峰在臉書發出一張自己老家的照片,表示從小在這出生,住了20年直到成年,「防風林天然花園,野狗野鳥24小時站哨!四面環繞魚塭水池!」甚至沒有自來水可用,日常生活全靠地下水維生,並指出藍色凡布蓋住的窗戶,正是自己的房間。照片曝光後,引起網友紛紛討論「長大後成為名醫,很勵志」、「感覺很清幽很棒欸」、「人的品德,高下立判」、「厲害,真是上進的模範」、「好歹也學我們副總統,挖個人造河、養鯉魚啊」、「如果你當上副總統,這裡將會有國安人員進駐,這樣的畫面一定很溫馨感人。」賴清德位於新北萬里的工寮老家,有優美格局之外,還有小花園、石階步道,另外更有24小時特勤巡邏,被網友諷刺是「賴皮寮」。對此,賴清德20日在政見發表會上表示,老家會交付給公益信託,設置礦工生活紀念館,紀念當時礦工對台的經濟貢獻。
尪確診氣切!妻「肺纖維化」含淚做這件事 醫眼眶紅:被台灣人善良感動
新冠肺炎爆發至今,全球持續對抗疫情,而有不少確診案例都出現「肺部纖維化」的症狀,病患可能會因呼吸衰竭導致死亡。台北市立聯合陽明醫院胸腔醫師蘇一峰昨(28日)感性表示,在門診被許多台灣人的善良感動到了。蘇一峰日前就曾透露,臨床上越來越多新冠肺炎的倖存者產生肺纖維化情形,嚴重肺纖維化將會縮短10-20年的剩餘壽命,也可能讓人生提早依賴氧氣與呼吸器,人生從此變黑白。他強調,越早使用抗纖維化藥物能幫助減少日後發生肺纖維化。只是目前健保不給付抗肺纖維化藥物,因此窮苦弱勢族群吃不起藥物;蘇一峰提及,一周藥費5000至一萬,至少吃3個月才能看出效果,約5到10萬元一個療程。確診婦人捐3萬元買抗纖維化藥物。(圖/翻攝自臉書/蘇一峰)不過蘇一峰昨(28日)被一名婦人感動,「中年婦女感染後來檢查發現有肺纖維化,當下她決定要捐出3萬元買抗纖維化藥物,給需要但買不起藥物的人使用,而她的先生現在還在其他醫院的加護病房,已經氣切了每天努力脫離呼吸器中。」婦人流淚告訴蘇一峰,「我經濟上還有能力,所以想幫助其他病人,最慶幸的是同住的2個孩子沒有被感染。」一席話讓蘇一峰聽了眼眶泛紅。另外有網友提出,「這類藥健保要出才對啊!」對此蘇一峰回應,「我之前出來呼籲健保給付,可是被無視了。」
確診痊癒者「肺纖維化」短命20年 醫悲揭藥費1周1萬:弱勢吃不起
新冠肺炎爆發至今,全球持續對抗疫情,而有不少確診案例都出現「肺部纖維化」的症狀,病患可能會因呼吸衰竭導致死亡。台北市立聯合陽明醫院胸腔醫師蘇一峰表示,嚴重肺纖維化將會縮短10-20年的剩餘壽命,人生從此變黑白。蘇一峰透露,目前手上有3個新冠肺炎痊癒者產生肺纖維化,其中一名患者甚至沒辦法脫離氧氣;臨床上越來越多新冠肺炎的倖存者產生肺纖維化情形,而過去大陸研究也指出,中度新冠肺炎患者有8成會在之後出現肺纖維化,重度患者則全部產生肺纖維化。蘇一峰提及,越早使用抗纖維化藥物能幫助減少日後發生肺纖維化,但目前健保不給付抗肺纖維化藥物,窮苦弱勢族群吃不起藥物。他補充,一周藥費5000至一萬,至少吃3個月才能看出效果,約5到10萬元一個療程。而最近,他為了一名買不起肺纖維化治療藥物的肺纖維化患者,拚命打電話拜託幾家廠商幫忙,終於得到一家廠商的回覆,提供一盒免費的藥物給窮苦的肺纖維化患者使用,但總不能一直凹藥廠免費提供治療。他不禁大嘆,「不知該如何幫助這群窮苦患者。」蘇一峰強調,產生嚴重肺纖維化將會縮短10-20年的剩餘壽命,也可能讓人生提早依賴氧氣與呼吸器,人生從此變成黑白的,因此希望大家還是要好好保護自己,做好防疫工作。
AZ、BNT保護力不同?醫曝「英國真實世界」:兩牌沒差異
目前疫苗預約平台登記人數中,只登記單一疫苗計算,選莫德納的人數遠遠高於只登記AZ疫苗人數11.5倍,可看出台灣民眾對AZ的意願較低。不過,有英國研究指出,若順利打完AZ、輝瑞BNT的兩劑疫苗,AZ可達79%保護力,而BNT則是達到80%,以英國「真實世界」看來,兩者幾乎沒有差異。中央流行疫情指揮中心昨(18日)下午1時統計疫苗意願登記人數,總計857萬2150人,其中願意同時選擇AZ和莫德納疫苗者共有421萬4486人,佔總登記人數49.16%。除此之外,很多民眾也在苦等輝瑞BNT疫苗。(示意圖/林士傑攝影)若以只選擇單一廠牌疫苗來看,選擇AZ疫苗的共有34萬8506人,佔總登記人數4.07%;只選擇莫德納疫苗的有400萬9158人,佔總登記人數46.77%。並且,這個數字還是在7月11日之後,重新計算加上了116萬707位從莫德納改選AZ的民眾,可見兩種疫苗在民眾心中的意願相差甚遠。台北市立聯合陽明醫院胸腔醫師蘇一峰表示,英國有專家收集了38萬3812位接種疫苗者的資料來做研究,自去年12月1日至今年5月8日間,研究分為兩個部份。如果只打第一劑的話,AZ、BNT的保護力分別是61%、66%,相差5%;若接種了兩劑的話,保護力則可上升到79%、80%。蘇一峰對此認為「英國真實世界看起來,AZ疫苗與BNT疫苗兩者沒有差異」,他表示,這份研究對現在台灣許多打AZ疫苗的民眾可能是一個好消息,「也鼓勵大家選擇打AZ疫苗!」
酒吧叫醫生乾爹!「收60萬鑽石」被求歡:現在過來陪我 她討拍被酸爆
如果有人送你價值60萬的鑽石,你會收嗎?一名女網友透露,自己在酒吧認識了一名醫師,對方一開始要她叫乾爹,之後更大方匯款送鑽石,沒想到匯款後態度大轉變,傳訊立刻去陪他,讓她氣到把禮物退回去。貼文一出,引起網友正反兩極討論。原PO在《爆料公社》發文,前陣子在酒吧認識了一名剛喪偶的胸腔醫師,對方四處聊天,後來自己也陪對方一起聊,「他說沒有認過妹子當女兒,我就也沒多想,他年紀也不小,叫個一聲乾爹也沒什麼。」2人之後互換Line,沒想到對方常傳一些奇怪的訊息,或打電話來吵。(圖/翻攝自爆料公社)原PO透露,某次酒吧相遇,醫師當著全部人面前嚷嚷要送她60萬鑽石;對方甚至在耳邊輕聲地說,「你看叫我一聲爸,就送妳鑽石欸。」當晚原PO將珠寶品牌公司帳號給醫師,「你確定要送?那你明天去匯款啊!」結果醫生真的去匯款了,沒想到之後態度大轉變。原PO指控,對方開始傳噁心露點圖、3女戰8男淫穢新聞等,甚至要她陪他,一天一萬,最後更傳訊「50萬妳要賺多久才能還,我要妳現在立刻來陪我」。原PO無奈表示,從頭到尾都沒有人強迫他送鑽石,且當知道對方匯款後,自己就有還錢念頭,已經在想如何還錢了。原PO氣憤地說,「被騷擾想提告了要浪費時間,還不見得能一路告到贏,遇到有錢人噁心的猥褻和騷擾,平民百姓到底拿什麼對抗?我實在不懂這種人到底憑什麼為人師表?作為一個醫師底下帶這麼多學生,我都懷疑某醫藥大學的學生是不是在不良示範中學習。最後我親自把鑽石還給他了,但我不爽的是他欠的道歉,至於要不要尋求法律協助還有提告,就等我的想再清楚一點了。」貼文一出引起討論,網友紛紛留言「拿了別人的東西就理虧在先」、「不管是不是受害者,都是貪造成的」、「天下沒有白吃的午餐,禮物不能亂收」、「不該收錢,不該給帳號,就不會有這些事」、「非屬於自己的東西,切勿起貪念」。不過,也有網友支持原PO提告。
台灣新冠肺炎累計5死 胸腔醫師曝:維生管路令患者痛苦哀號
新冠肺炎疫情嚴峻,國內今日又新增2例死亡,目前台灣已累計有5名感染者病逝。陽明醫學博士胸腔重症醫師蘇一峰就透露,加護病房病人使用的維生管路,一般人可能無法理解有多痛苦難受,使病患天天都在病房哀號。蘇一峰30日在臉書發文指出,加護病房中許多病人每天都在使用的4種維生管路,其實令他們相當難受痛苦。其中痛苦指數最高的是氣管內插管(痛苦指數5顆星),其次依序是鼻胃管(痛苦指數4顆星)、氣切管及尿管(痛苦指數3顆星)。針對昨晚公布病逝的案108奧捷團40歲領隊,年紀輕輕、身強體壯,卻在發病13天後就病逝,蘇一峰相當感嘆,呼籲民眾疫情期間,沒事最好待在家中少外出,才能減少親身體會這些痛苦插管的機會。文章底下許多有過插管經驗的網友也紛紛留言回應,「抽痰更是痛苦」、「插管痛苦至極」、「每天的抽血尤其抽動脈血也很痛」、「那種痛是常人無法想像」、「除了氣切管沒用過,其他3種都同時使用過,那叫生不如死」。
張上淳「醫師兒」爽飛出國!遭爆「去滑雪」 醫怒:我們ok你出國?
中央流行疫情指揮中心2月時,宣布醫護人員禁止出國直到6月底,但是張上淳2名身為醫生的兒子,卻在3月時接連出國;張上淳對此表示,自己的兒子沒有違反規定。資深媒體人羅友志酸「淳淳的兒子跟新北某里長差別在哪」,網友也大罵:「顏色對了什麼都對了」。據《聯合新聞網》報導,張上淳的2名醫生兒子,分別是在3月4日、3月14日出國。一名胸腔醫師爆料,張上淳的兒子「寶山內科R」(還是升CR了?)已經當到台灣最強NTU內科R還這麼不會想,「出國還滑雪很開心放FB爽翻一波?你回來居家檢疫了嗎?幫你Cover的同儕有沒有靠北的要死?」這名胸腔醫師直言,從政府2月下達醫護不准出國的禁令開始,不管去的國家是列在第幾級,寫假單都不太會過,雖然法源尚不清楚,但同事都默默取消行程,損失自己吞、補償沒下來、同行家人也沒有補,張上淳還說要超前部署,「結果我們ok,你出國?3/4出國飛爽爽還滑雪好羨慕,我們只能每天滑檢體棒啦!」有醫師出面爆料,張上淳的兒子3月出國是為了滑雪。(圖/PTT八卦版)胸腔醫師痛批:「張P昨天把深藏多日的NTU大P嘴臉展露無遺,一句沒有違法,好熟悉的嘴臉,就像過去的那句:依法行政,謝謝指教 。」他並直言,如果「張大公子」不小心確診,傳遞鏈會是「張公子-張P-時中-菸/衝衝衝」。網友對此紛紛表示「菸黨尿性,嚴以待人,寬以律己」、「辭職謝罪吧,不用切腹了」、「菸粉蟑螂:這篇沒台灣價值 」、「一堆雙標仔,看不下去」、「顏色對了真好。啊!還有老爸真好」、「一般醫護人員真的哭死」、「滑雪照片千萬不要PO出來啊」、「我OK,你先滑」、「人家靠山硬幫幫,出國滑雪爽歪歪」、「爸爸張P你敢嘴?」不過也有網友表示「有人說去討論研發疫苗」、「在公共論壇爆這是什麼意思」、「他出國是屬於個人的事,跟防疫無關」。