腦下垂體腫瘤
」 腦下垂體腫瘤 腫瘤
上海女陪媽媽看病…醫生看一眼勸驗血 竟意外檢查出腦瘤
只看一眼,竟然看出問題!中國上海有一名沈姓女子,半年前陪媽媽到醫院複診糖尿病,沒想到醫生卻建議她去掛號驗血,沒想到檢查出腦瘤,讓她覺得不可思議,驚呼:「醫生太厲害了!」沈女半年前陪媽媽到醫院內分泌科檢查糖尿病,醫生卻建議她去檢查生長激素和胰島素樣生長因數,當時她感到納悶,「明明我陪我媽看病,怎麼我要驗血?」而且每年體檢數值都正常。然而,驗血結果卻令人震驚,沈女的胰島素樣生長因數值高達340,遠遠超過48~209的正常值範圍,進一步的腦部核磁共振檢查顯示,沈女腦部存在一個直徑1公分的腦下垂體腫瘤,確診為生長激素瘤,並成功接受手術皆除,生長激素數值也恢復正常範圍。醫生向《上觀新聞》透露,沈女鼻翼增厚、面部皮膚粗糙,還有手變大的情況,初步懷疑可能是肢端肥大症。所謂肢端肥大症,是體內生長激素分泌過多導致,最主要病因是垂體生長激素瘤,像鼻翼增厚肥大、嘴厚舌大、手腳變大等,都可能是垂體瘤所導致,要經過進一步檢查才能確認病情。醫生解釋,垂體瘤起病隱匿,早期症狀並不明顯,臨床上大多數患者是出現了頭痛、視覺模糊等症狀才來就醫,此時垂體瘤已經長大,壓迫到視神經。醫生提醒,部分腦垂體瘤患者還存在呼吸功能障礙,伴有打呼、憋氣、嗜睡、阻塞型睡眠呼吸中止症,以及活動後呼吸困難。如果出現這些症狀,應盡速就醫,早發現、早診斷、早治療,否則可能引發糖尿病、心臟病和消化道腫瘤。
男子陪老婆看病 醫師火眼金睛:真正有問題的是你!
大陸上海1位38歲的林姓女子自1個多月前出現了間歇性頭痛的症狀,視力開始下降。懷疑是腦下垂體腫瘤的她,在丈夫朱男的陪伴下,來到醫院看診,沒想到醫師定睛看了幾眼後,卻懷疑真正有問題的恐怕是朱男,劇情也因此神展開。就診後,醫師診斷林女罹患拉克氏囊腫,而非腦下垂體瘤,「拉克氏囊腫是一種先天性良性腦下垂體病變,大多數囊腫很小並不引起症狀」,於是夫妻倆鬆了口氣。然而劇情卻神展開,醫師突然轉頭問了來陪妻子看病的朱男:「你有沒有感覺這幾年相貌變化很大?可能你才是患有腦下垂體腫瘤的人。」朱男一聽當下也愣住了,醫師問診後他也坦言,近年來他深受睡眠呼吸中止症所苦,白天疲倦不堪,睡覺時又會打呼影響睡眠,但始終沒有查出是什麼原因,朱男及家人都非常苦惱。而他自己和家人,也沒有意識到這些年來面容變醜、眉骨突出,嘴唇肥厚,兩側鼻翼較寬、手指變粗、鞋碼變大等細微變化,其實都跟他的疾病有關。醫師解釋,打從朱男一進診間,他就注意到他有肢端肥大症的病徵,於是朱男隨後也聽取醫師的建議,去做了荷爾蒙和腦下垂體增強磁振造影檢查,結果讓夫妻倆嚇壞了,朱男腦部真的長了一個直徑約7mm,像黃豆粒大小的腦下垂體腺瘤,而且生長激素和胰島素樣生長因子的水平都高於正常值上限。所幸醫師火眼金睛,成功為朱男揪出真實的病因,後續診斷明確後,朱男也與妻子一起做了手術,並順利出院。
《影后》謝盈萱流鼻血原因曝光! 醫師解答:不孕療程八大迷思
Netflix影集《影后》中,謝盈萱飾演的職場上工作幹練的王牌製作人兼經紀人薛亞之,同時還是一位在為懷孕努力中的妻子。劇中,害怕打針的薛亞之每天自己挨針,肚皮上總是瘀青,甚至療程中多次流鼻血,這些會是備孕過程中常見的狀況嗎?台中禾馨宜蘊生殖中心黃佩真醫師為觀眾揭開備孕療程8大迷思,讓大家更加了解備孕療程中的實際情況。Q1:不孕經常是女性的問題?不孕是夫妻共同的問題,女性和男性的因素各佔40%,剩下20%則是雙方因素或不明原因。在女性方面,排卵異常、子宮或輸卵管問題較為常見;而男性則可能因精子數量不足、活動力低或形態異常導致不孕。建議夫妻共同進行檢查,找出真正的原因。Q2:菸、酒、咖啡會影響受孕?吸菸會降低女性卵巢儲備,增加流產風險;男性吸菸則會影響精子質量。過量飲酒可能干擾生殖荷爾蒙分泌,女性建議每日酒精攝取量不超過一杯。至於咖啡,適量攝取(每天不超過200毫克)不會顯著影響生育,但過量攝取則可能干擾胚胎著床。Q3:打針部位有瘀青反應,會持久不消?黃佩真醫師說明,排卵針注射後產生的瘀青屬於常見反應,多數在數天內會自行消退。但若瘀青持續時間超過一週或出現紅腫熱痛等現象,需立即回診評估。Q4:備孕療程中為何會流鼻血?一般療程中使用的排卵針劑與短時間造成的荷爾蒙改變,並不會導致成年女性流鼻血!不過在植入胚胎後,有些個案可能因為使用抗凝血藥物 (例如:柏基或肝素)導致出血的機率增加,出現戲中流鼻血的狀況發生。另外,懷孕期間,鼻內粘膜與微血管會容易水腫、充血,有時空氣過度乾燥,打噴嚏、擤鼻涕、甚至是冬天洗澡水過熱,都可能導致懷孕中的女性出現流鼻血症狀。Q5:打排卵針常見的副作用?黃佩真醫師指出,打排卵針的常見副作用包括腹脹、腹痛、瘀青或腫脹。少數個案會出現頭痛、噁心、情緒起伏波動較大等荷爾蒙改變的短暫症狀。另外,少數個案可能會經歷卵巢過度刺激綜合症(OHSS),症狀如劇烈腹痛、體重快速增加、尿量減少,若症狀較為嚴重者、甚至會需後續住院治療。醫師會根據個人體質調整藥物劑量,以降低風險。Q6:打排卵針的禁忌與注意事項療程前:如有無法控制的內科、內分泌疾病(如:嚴重甲狀腺風暴、腎上腺或腦下垂體腫瘤)、未經診斷的異常子宮出血、疑似惡性卵巢腫瘤,都不建議使用排卵針劑,以避免安全疑慮。療程中:因使用排卵針劑來刺激卵巢濾泡成長,會造成卵巢暫時性的腫大,此時切忌激烈運動,以避免卵巢發生扭轉。療程後:如果有明顯下腹劇痛、尿量減少、呼吸喘促的狀況,也要盡早告知醫師或至醫院就診。Q7:打排卵針的時間也會影響受孕?排卵針早、晚施打並不會影響濾泡的成長及藥物的效果。黃佩真醫師建議,打針的時間可依照個人作息,選擇適當的時段施打,最好是挑心情放鬆、時間充裕時打針,不要因為時間匆忙而漏打、或者沒有妥善保存藥劑,進而影響到療程效果。然而特殊針劑,例如破卵針,則務必按照醫師指定的時間施打。Q8:性行為後女生抬腳、倒立,能增加受孕機率?研究指出,性行為後抬腳、倒立對活動度正常的精蟲並沒有太大的幫助。不過,臨床上對於不明原因的難孕夫妻,或者輕微的男性精蟲因素導致困難受孕的夫妻,還是可以姑且一試。完事後在屁股墊枕頭、不要馬上起身盥洗,讓精液可以少外漏、精蟲能夠更深入,或許能夠縮短精子到卵子間的距離,增加受孕機率。黃佩真醫師提醒,夫妻若經一年以上規律性生活且無避孕仍未懷孕,應儘早尋求生殖醫師協助。無論是備孕或懷孕,夫妻雙方都應該共同努力,不要讓備孕成為其中一方的責任,雙方保持良好的身心狀態共同努力,寶寶終將會順利到來。療程中若出現不適症狀,也應立即尋求專業建議,避免錯失治療良機。
50歲男額頭下巴逐漸突出 「變臉」竟因腫瘤作祟
50歲的上班族陳先生,這2年來容貌外觀產生不小的變化,一開始額頭及下巴變得愈來愈突出,接著鼻子與手也變大了,身高沒有改變,但鞋子愈穿愈緊、愈換愈大,就醫診斷發現罹患肢端肥大症,經醫師評估接受腦部微創手術後才得以改善。肢端肥大症是一種少見的疾病,常因腦下垂體腫瘤不正常分泌生長激素所導致,患者除了外觀上產生很明顯的改變外,也會有多汗多油、皮膚變粗及性功能障礙等問題,雖然是一種漸行性的疾病,但因臟器也會隨著內分泌的不正常而增生膨大,若沒有即時發現並治療,平均壽命約減少5-10年。陳先生經由內分泌暨新陳代謝科診斷為肢端肥大症後,核磁共振影像進一步定位長在腦下垂體的腫瘤,馬偕紀念醫院神經外科主治醫師詹雲凱表示,以往類似陳先生這樣必須接受腦部手術的病人,必須先在頭部劃下一道長長的手術傷口,並取下大範圍的頭骨後,才能進行腦部腫瘤的手術切除。現在透過腦瘤微創手術以及經鼻內視鏡顱底手術的精進,陳先生可以免於在手術室裡接受傳統大型的開顱手術,詹雲凱表示,腦瘤微創手術必須具備「最大範圍切除」與「最小程度破壞」兩大特點,手術過程中,需具備清晰之內視鏡影像系統,搭配精良的術中導航系統,以利準確定位腫瘤及提供即時新的影像。馬偕紀念醫院內分泌暨新陳代謝科主治醫師黃俊達表示,陳先生接受神經外科腦下垂體腫瘤「連根拔除」手術後,大手大腳與外觀變化的情況已逐漸改善,目前仍持續在門診追蹤。臨床上,肢端肥大症年發生率約為每百萬人約2-11人,手術的治癒率與腦下垂體腫瘤大小及外科醫師的經驗有關,針對小於1公分的腫瘤,手術治癒率可高達75%,但如果已經侵犯到周邊組織的較大腫瘤,手術治癒率則降至30-50%,無法透過手術解決問題時,則必須仰賴長時間的藥物治療。黃俊達指出,肢端肥大症者已膨大的臟器是「回不去了」,確診後的第一要務就在為臟器膨大設定停損點,在治療時會特別注意受到影響的臟器功能性,由於此類病人易有較高罹患高血壓、糖尿病、心臟肥大及因舌頭肥大導致睡眠呼吸中止症的風險,因此規則追蹤返診,處理因生長激素過多導致的共病現象是十分重要的。
肢端肥大症難揪出 恐短命5到10年
50歲的陳先生最近二年來容貌外觀產生不小的變化,一開始額頭及下巴變得突出,鼻子與手也變大,儘管身高沒有改變,但鞋子越穿越緊、越換越大雙,就醫發現罹患「肢端肥大症」。醫師指出,肢端肥大症是因為腦下垂體腫瘤分泌過多的生長激素,如果沒有及時治療,臟器增生膨大而影響功能,平均壽命恐減少5到10年。馬偕紀念醫院內分泌暨新陳代謝科主治醫師黃俊達說明,肢端肥大症是一種少見疾病,發生率大約每百萬人有2到11人,原因是腦下垂體腫瘤分泌過多的生長激素;由於病程進展速度慢,患者不易發現,病人手腳會逐漸變大、額頭突起、鼻子變大,也會有多汗多油、皮膚變粗及性功能障礙等問題。不僅如此,由於臟器會隨著內分泌異常而增生膨大,若沒有及時發現並治療,平均壽命約減少5到10年。黃俊達指出「膨大的臟器是回不去了」,因此第一要務是設定停損點,避免臟器繼續膨大;由於肢端肥大症患者易罹患高血壓、糖尿病、心臟肥大,因舌頭肥大也容易導致睡眠呼吸中止症,因此規律追蹤回診是十分重要的。陳先生經診斷為肢端肥大症後,接受核磁共振影像檢查,進一步定位腦下垂體腫瘤。馬偕紀念醫院神經外科主治醫師詹雲凱表示,過去像陳先生這樣需要腦部手術的病人,要在頭部劃下一道長長的手術傷口,取下大範圍的頭骨後才能切除腦部腫瘤,現在透過腦瘤微創手術以及經鼻內視鏡顱底手術,具備「最大範圍切除」與「最小程度破壞」兩大特點,可免於開顱手術。黃俊達表示,陳先生接受手術後,大手大腳與外觀變化情況已逐漸改善,目前仍持續在門診追蹤。一般而言,肢端肥大症患者多半由內科醫師發現,並需要整合外科醫師進行手術治療,接著再由內科醫師追蹤與長期觀察,因此醫療團隊的組成陣容也格外堅強。詹雲凱提醒,由於每位病人腦瘤位置與大小均不相同,也並非所有病人都適合使用微創手術來切除腦瘤,解決腦部腫瘤的問題需要明確的診斷與充分的檢查,再搭配良好的精良的外科手術,才能解決病灶。
大叔視力模糊…3個月後雙眼失明 醫卻說「非常健康」檢查結果曝
中國廣州一名男子右眼視力突然變模糊,但沒有太在意,豈料3個月後,雙眼竟然失明,匪夷所思的是,醫生表示眼睛沒有問題,做了檢查後終於找出原因。根據《半島晨報》報導,58歲田姓男子家住白雲區,從8月份開始,就感覺右眼看東西有些模糊,原本以為是年紀大、眼睛老花,便沒有特別留意,沒想到短短幾個月的時間,右眼視力急速下降,不僅看不清楚東西,走路還常常撞到人,直到11月初,整個右眼竟完全看不到,趕緊到醫院檢查,醫生卻告知「眼睛非常健康」。醫生初步檢查卻說「眼睛非常健康」。(示意圖/翻攝自pexels)田男11月10日在家屬的陪同下就診,怎料隔天左眼也看不到,檢查結果顯示顱內鞍區有巨大占位性病變。接診醫師結合患者的症狀和影像檢查資料,認為是腦下垂體腫瘤的可能性較大,「應該是腫瘤突然破裂出血,必須盡快手術才能保住視力」,於是在全身麻醉下進行手術,順利將一顆41mm×27mm×21mm的腫瘤給切除,術後給予抗生素預防感染,以及營養神經等對症和支持治療後,恢復良好得以順利出院,現在雙眼都看得見,視力也正常了。醫師解釋,人體左右兩根視神經在顱內鞍上從前向後穿行,當腫瘤逐漸向鞍上生長時,會接觸到視神經並造成壓迫,壓迫到一定程度時,就會出現視物模糊、視野受損等症狀。如果腫瘤體積較大,壓迫視神經並破裂出血,就可能出現急性視力下降、視野缺損等症狀,需要及時手術干預。醫師提醒,如果發現視力下降,除了到眼科就診外,還要考慮神經外科,以排除鞍區相關疾病。
經常出車禍...年輕騎士被送急診 醫一檢查直呼「因禍得福」:家屬錯怪他了
一位年輕人騎車發生車禍撞到頭部,被送到醫院,檢查結果顯示頭部傷勢無大礙,但卻意外發現了一顆不算小的腦腫瘤,Icu重症醫師陳志金表示對方運氣好,因禍得福,也詢問家屬「他是不是常常發生擦撞?」並向家屬解釋因為腦瘤影響視力導致「偏盲」,家屬錯怪他了。陳志金16日在臉書發文表示,一名年輕人騎車出車禍,撞到頭部被送往醫院,經腦部斷層掃描檢查沒有大礙,但卻意外發現了一顆不算小的「腦下垂體腫瘤」,便進行手術將腫瘤切除,之後轉到加護病房。陳志金詢問病患家屬「他是不是常常發生擦撞啊?」對方驚訝回答「對啊,醫生你怎麼知道,開車、騎車都發生過,我每次都叫他要小心一點,只是他似乎都沒聽進去。」他聽完後表示「你們錯怪他了,並不是他沒有聽進去,因為這不是小心一點就可以避免的。」並解釋腦下垂體腫瘤會壓迫到「視神經交叉」,導致「視野外側」偏盲。陳志金也因為這個病例想到了22年前,他在彰化某醫院急診室當第一年菜鳥住院醫師時發生的事,一位計程車司機因為和人擦撞,導致胸部頓挫傷,被送到醫院急診,當時他詢問病患「先生,你是為甚麼會跟人家擦撞」,對方哀怨表示「我也不知道啊!真倒楣,這個月已經是第2次了!」、「這次又不知道修車費要花多少了。真的很衰,我一定是卡到陰了啦!」陳志金接著替該名病患做「面對測試」(confrontation test),檢查他的視野有沒有缺損,結果發現病人果然沒辦法看到外側,便拜託當時的學姊安排腦部斷層掃描,結果檢查出對方有「腦下垂體腫瘤」。陳志金也表示,因為此案例讓當時的資深專科護理師「學姐」對他刮目相看,甚至有一點點好感吧?他也開玩笑表示要問問看金太座,打趣說道「這是一篇炫耀兼放閃文無誤,如果有人文章看完後,短暫感覺眼前模糊、看不清楚是正常的,不必去照腦部斷層掃描」,最後也強調對任何事都要抱持猜疑,「每一個蛛絲馬跡,都將成為診斷的線索。」
貪警每月收電玩業賄款63萬 遭判18年半重刑
7年前擔任高雄市警局督察室督察員的蔡景德、仁武分局行政組長齊德清及巡官林霙璋,共同向電玩業者收賄,其中蔡每月收錢高達63萬元,最高法院維持原審認定,將蔡、林各重判18年半及15年2月,齊因坦認犯罪並繳回犯罪所得,獲減刑輕判8年10月定讞。2012年到2013年間,仁武地區的電玩業者為避免遭警方取締,由李姓業者出面向其他業者收取「公關費」,金額依店家機台數量多寡計算,李再委託人脈關係良好的楊姓業者,透過已退休陳姓前警官行賄蔡景德及齊德清,另名警務員負責行賄林霙璋。高雄地方法院依違背職務收賄罪判蔡徒刑18年6月、林15年2月,齊判刑12年;高雄高分院考量齊男患有腦下垂體腫瘤,他偵訊坦認犯行,並在二審審理時繳回全部犯罪所得111萬元,尚有悔悟之心,犯罪後態度良好,改輕判8年10月。二審認定蔡景德每月收賄金額為63萬元,林霙璋每月收賄金額為8萬元至11萬元,收受賄款數額多達其所稱領取警職薪水8、9倍,對於全國警察形象及士氣之打擊非輕,維持一審量刑,對蔡、林各重判18年6月、15年2月,案經上訴,最高法院駁回確定。
左眼飄過白影嚇傻!醫揭鬼影真相 他開完刀「性能力神奇激增」
嘉義一名50多歲的江姓男子有糖尿病史,2年前視力開始減退,原本不以為意,不料最近卻頻繁看到詭異白影,還以為自己撞鬼,甚至為此跑到廟裡拜拜。直到就醫檢查後,醫生查出江男的腦下垂體長了一顆腫瘤,經手術移除腫瘤,患者不僅不再看到「鬼影」,就連性能力也大幅改善,讓他驚訝不已。據了解,江男前陣子因左眼視力衰退到眼科診所檢查,原本懷疑是度數增加,不料配了新眼鏡也沒有改善,只有遠處才能看得清楚,後來更瞄到白影閃過,轉過頭又隨即消失,由於時值農曆七月,患者一時間還以為自己看見鬼影,嚇得趕緊到廟裡拜拜,之後又陸續到眼鏡行驗光,最後才前往大林慈濟醫院檢查。大林慈濟醫院副院長陳金城透露,江先生除了視力出問題,性功能也有障礙,整整一年無法行房;經核磁共振檢查,他發現患者的腦下垂體有一顆大小超過5公分的腫瘤,已嚴重壓迫到視神經,才會導致視力減退、性功能障礙等一連串症狀,所幸接受鼻內視鏡手術移除腫瘤後,病人已擺脫白影並重振雄風。陳金城表示,多數腦下垂體腫瘤是由內分泌不平衡引起,好發於成年人,有時會造成泌乳激素分泌增加,若是女性可能出現不孕、無生理期症狀;男性則有女乳症、陽痿等可能性;治療方面,醫生通常會依照是否有分泌激素或壓迫視神經判斷,狀況輕微可透過藥物治療,部分則需要進行手術或輔助電療等方式。
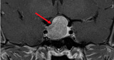
男子腦瘤讓他無法開「機」 新治療免動大頭救「小頭」
65歲陳姓男性病患劇烈頭痛、左眼皮下垂、左眼視力模糊、走路不穩,甚至影響到性生活,就醫經電腦斷層檢查後,發現腦下垂體腫瘤大約2.3公分,腫瘤內部出血壓迫腦神經和視神經。中國醫藥大學新竹附設醫院神經外科巫智穎醫師進一步檢測,發現陳男性腦下垂體的泌乳激素高達21.38 ng/mL,正常為2.64-13.13 ng/mL,腦下垂體泌乳激素瘤合併腦下垂體腫瘤出血,必須緊急開刀,以「3D立體定位導航內視鏡腦下垂體腫瘤切除術」,當天開完就拔管,意識清楚,在加護病房觀察一天就轉到普通病房,術後第四天就出院,目前恢復狀況良好,3個月術後追蹤,經核磁共振追蹤,腫瘤清除,視神經也沒有壓迫,泌乳激素恢復正常7.87ng/mL,也重振雄風,恢復良好無後遺症。巫智穎表示,傳統腦瘤開刀必須開顱,醫師一邊比對病患的影像,一邊進行手術,手術的切口比較大,醫師能只能看到暴露在外的器官表面,究竟切多大切多深,必須依賴醫師的個人經驗。「3D立體定位導航內視鏡腦下垂體腫瘤切除術」,顯微器械及內視鏡鏡頭經由鼻孔到腦下垂體,透過3D立體定位導航內視鏡,立體呈現 ,醫師清楚看到血管神經和器官,手術微創精準又安全。3D立體內視鏡可以延伸使用至脊椎內視鏡手術,同樣安全有效。巫智穎指出,腦下垂體在腦的最中央,不到一公分,掌管人體內分泌系統,前葉可分泌生長素、促腎上腺皮質激素、甲狀腺刺激素、催乳素、濾泡刺激素和黃體生成激素。腦下垂體腫瘤分為功能性跟非功能性腫瘤。其中功能性腫瘤若導致泌乳激素升高會造成女性發生月經週期不正常,異常乳汁分泌,不孕等,男性發生性慾降低,性功能障礙,不孕等症狀。若是成長激素異常升高,則會造成肢端肥大或巨人症。非功能性腫瘤以壓迫腦部及顱神經為主,造成視力模糊,頭痛,腦積水等症狀。由於症狀眾多,宜於門診諮詢檢查為主。
電商男「胸部不停長」以為發胖!醫生輕壓「乳汁狂噴半米遠」
一名25歲王姓男子在電子商務工作了一年多,體重就增加了25公斤,起初以為是自己飲食不規律且不愛運動所造成,但他發現自己的胸部逐漸增大,在女友的建議下至醫院檢查,才發現原來問題出現在大腦!綜合陸媒報導,王男在杭州從事電子商務工作,經常飲食不規律,加上不愛運動,短短一年內體重就增加至85公斤,他也發現自己的胸部有增大的跡象,「和別人一比,我的胸部太突出了,幾次想去健身,但都不敢穿緊身衣。」起初他以為是身體發胖的緣故,所以沒有多加理會。王男就讀醫學院的女友察覺有異,勸他到醫院做個檢查,他便到了南京一家醫院就診,希望能做個整形手術將胸部變小,但術前檢查顯示王男的各項激素指標很不正常,尤其是乳素高達 200,比正在哺乳的媽媽還要高四五倍,且雄性激素相當低,因此建議他至內分泌科就診。(圖/翻攝北青網新聞)今年7月王男至杭州市中醫院內分泌科就診,內分泌科副主任金劍虹表示在對王男做檢查時,「輕輕擠壓他的乳房,乳汁就直接飆出來,足足噴了半米遠。」經過MRI等各項檢查,醫生診斷王男罹患「腦下垂體泌乳激素瘤」,他表示這種症狀較少發生在男性身上,「疾病典型的臨床表現有乳房發育、分泌乳汁,甚至還可能影響生育能力。」王男表示,自小他的胸部就比其他男孩大,且還不長鬍子、皮膚細膩,他自十多歲開始就不敢到公共浴室洗澡或游泳,對於這些症狀相當自卑。經藥物治療3個月,王男已不再分泌乳汁,胸部及腦下垂體腫瘤都變小了。金劍虹提醒,若男性有出現青春發育停滯、體態異常、乳腺發育和觸發泌乳、睪丸細小等症狀時,就要有警覺,及早入院治療。