陰道超音波
」 超音波 子宮頸癌 卵巢癌 女性 不孕
子宮內膜癌病例攀升! 醫:「11項高風險族群」應注意
子宮內膜癌近年有逐年上升趨勢,為協助女性早期發現、及早治療,臺北市立聯合醫院婦幼院區特別設立「子宮內膜癌特別門診」,提供高風險族群快速掛號、即時檢查服務;同時,臺北市政府亦針對本市高風險女性族群補助3D陰道超音波檢查費用,以降低疾病威脅。子宮體癌病例攀升 子宮內膜癌占大宗北市聯醫婦幼院區婦產科主任林世基表示,子宮癌主要分為子宮體癌及子宮頸癌,其中子宮內膜癌是子宮體癌最常見的類型,每年新診斷病例中高達9成以上屬於此癌症。根據最新癌症登記資料,111年國內新診斷子宮體癌病例為3,541人,已躍居女性癌症發生率第5位。113年子宮體癌標準化死亡率較112年顯著上升,升幅為女性癌症之首,成為女性癌症死因第10名。異常出血、骨盆疼痛都要注意 有這些情況快檢查林世基主任說,子宮內膜癌常見症狀包含:異常陰道出血、停經後出血、經期不規則、骨盆腔疼痛、性交疼痛、頻尿或排尿困難、體重下降、持續性陰道分泌物或出血、貧血、倦怠及下腹疼痛等。若女性出現以上症狀,務必提高警覺並及早就醫。高風險族群自我檢測 符合1項就建議就醫林世基主任進一步提醒,民眾可透過「高風險族群自我檢測」來初步評估風險,若符合條件,即使沒有明顯症狀,也應主動接受檢查,及早發現、阻斷疾病進程。子宮內膜癌高風險族群自我檢測條件:1. 初經12歲以前2. 停經超過52歲3. 40歲以上未生育4. 糖尿病患者5. 曾有子宮內膜增生病史(單純性或複雜性增生,無細胞異常)6. 體重過重(BMI>30)7. 多囊性卵巢症候群8. 家族三等親內曾有乳癌、卵巢癌、內膜癌或大腸癌病史9. 乳癌患者曾接受Tamoxifen(泰莫西芬)治療10. 不明原因異常陰道出血11. 停經後陰道出血如符合以上任何一項,建議盡早至婦產科就診,由專業醫師進行評估與檢查。【延伸閱讀】「多囊性卵巢」不只易不孕、併發症 更要小心子宮內膜癌子宮內膜癌患者福音! 「這1切片技術」精準、有效減少併發症https://www.healthnews.com.tw/readnews.php?id=66242
退休婦無視「停經仍出血」異狀出遊 旅伴勸就醫檢查!醫嘆:已是癌症第四期
台中市一名58歲張姓婦人,退休後積極參與各項活動,享受悠閒生活。然而,她近日發現自己雖然停經,陰道卻多次出現異常出血,還痛到冒冷汗;張婦無視異狀,堅持跟朋友出遊,直到旁人察覺她臉色不對異狀後,才帶她到醫院檢查,最終確認她已罹患第四期子宮內膜癌,擴散至骨盆腔淋巴結、肝臟,5年存活率20到50%。目前張婦選擇動刀搭配化療,持續對抗病魔中。據《TVBS新聞網》報導,張姓婦人生性活潑外向,在退休後經常參加各類社團活動,卻對身體健康沒有警覺。已停經的她忽略多次陰道異常出血症狀,明明下腹痛到冒冷汗,依舊選擇出門遊玩。亞洲大學附屬醫院婦癌科主任葛裕民指出,自己會遭遇這起病例,是因為張婦在出遊過程中,被旅伴發現「臉色很差」,才帶她到亞大附醫就醫。葛裕民透過陰道超音波、子宮內膜切片與子宮鏡檢查,並以子宮內膜搔刮術在張婦子宮內膜採樣後,確認罹患子宮內膜癌,加上影像檢查後發現,張婦的癌細胞已經擴散到骨盆腔淋巴結、肝臟,確認為第四期。葛裕民指出,相較於子宮內膜癌第一期患者,5年存活率可達90%以上,晚期患者存活率則明顯下降至20到50%。張婦得知此事後驚訝又沮喪,但已決定全力配合醫療建議,並接受手術切除子宮、卵巢、輸卵管,再合併化療藥物,現階段已出院,正持續治療中。此外,葛裕民還補充說明,子宮內膜癌好發於50歲~70歲女性,但近年來也有年輕化的趨勢。高風險族群則為肥胖、糖尿病、高血壓、未曾生育、長期接受雌激素治療或多囊性卵巢症候群,以及有家族性癌症病史等。他進一步提醒,女性停經後若仍有出血量過多、天數超長等情形「一定要提高警覺,千萬不要『鐵齒』認為沒有什麼大不了」,因為週期太密集或出血量大,都有可能是子宮內膜息肉、子宮肌瘤、子宮內膜異常增生或子宮內膜癌的徵兆,「只要能早期發現,治癒率都極高!」
女做腹部超音波「下體一陣冰涼」嚇壞 真相超傻眼!醫院回應了
大陸一名王姓女子近日因身體不適到蘇州市立醫院東區就診,門診醫生給她開了腹部超音波檢查,不料檢查時超聲科的醫生竟做成了陰道超音波,且事發後不僅沒有立刻道歉,還表示「陰超更貴」。對此,蘇州市立醫院東區超聲科室工作人員回應,醫院相關部門正在按流程處理。《澎湃新聞》報導,王女上月30日因身體不適去蘇州市立醫院東區就診,隨後按照醫生指示前往超聲科診室,核對姓名後進行檢查。檢查中,她感覺有冰涼的儀器觸碰下體,當即驚呼,「動作一直持續了三次,我抗拒了但沒用,幸好之前了解過陰超的檢查過程,便詢問醫生這是什麽項目,醫生說是陰超。」王女回憶,當時診室裡有兩名醫生,一名實習醫生負責記錄、報檢查項目;另一名醫生負責操作。當她詢問是什麽項目後,實習醫生看著電腦背對著她說:「不好意思我看錯了。」隨後,不僅沒有正面道歉,負責操作的醫生還說了一句「陰超檢查更貴」。王女補充,「當時我問那名操作的醫生,如果是正常的腹超項目,是不是不用脫光,那個在職醫生回答說是,實習醫生保持沉默不回頭,我問了兩遍她的名字,她才回答了我。」對此,王女很不滿,投訴至醫院門診辦公室,但等了十多分鐘都沒見到科室負責人,「又過了一會,負責操作的那名醫生出來道歉,要給我換診室重做,我要求實習醫生也道歉,他們才去喊了實習醫生。」王女事後提到,自己31日接到自稱科室負責人的電話,對方稱會對在職醫生罰款500元並影響考評,由於實習生非在職員工,會向教育部門上報,後續等出了紙質通報再做反饋。蘇州市立醫院東區超聲科室工作人員回應,目前科室正在配合醫院相關部門按流程處理,因正逢端午假期,最終結果需要等到假期後。
晚婚晚育成常態 女性凍卵保留生育希望
現代社會晚婚晚育成為常態,台灣女性生育第一胎的平均年齡已從27.7歲上升至31.5歲。面對生育年齡推遲及未來的不確定性,許多女性在追求事業成就的同時,也開始思考如何保留生育選擇權。亞東醫院婦產部生殖醫學科主任盧信芬醫師指出,凍卵技術的進步,為這個兩難困境提供了解決方案,讓女性能夠「凍住」現在的生育力,為未來預留更多可能。專業技術守護生育 把握黃金期最佳凍卵是透過玻璃化冷凍技術,將健康年輕的卵子在極低溫下保存,待未來需要時再解凍使用。盧信芬醫師表示,凍卵成功率與年齡密切相關:34歲需約10顆卵子才能達到75%活產率,37歲需20顆,42歲則需約61顆。因此建議凍卵黃金時期為30至35歲,最遲不宜超過38歲。雖然凍卵能大幅提升生育機會,但仍可能受個人體質等因素影響,建議有計畫的女性及早諮詢評估。原本主要用於癌症患者化療前的生育保存,現在越來越多健康女性基於生涯規劃而選擇凍卵,透過AMH(抗穆氏管荷爾蒙)檢測了解卵巢年齡,可作為是否凍卵的重要依據。兩週完成療程 支持癌症患者亞東醫院婦產部生殖醫學科劉馨鎂醫師說明,凍卵療程約需兩週,包含四個階段:初診透過陰道超音波及AMH檢測評估卵巢功能;月經第2-4天開始施打排卵針,期間進行1-2次卵泡監測;約在第11-15天進行取卵手術,過程約20-30分鐘,當日即可返家;最後透過玻璃化冷凍技術保存卵子。讓更多女性能夠保留生育希望,在面對人生挑戰時擁有更多選擇的自由。目前法規允許女性無論婚姻狀態皆可凍卵,但未婚女性使用時須先完成結婚登記。針對醫療性需求,包括新北市、台北市等六縣市提供癌症患者凍卵補助,金額約2萬至3.2萬元不等。【延伸閱讀】「冷凍卵巢技術」為癌友添生育希望! 醫揭適應症約9成認同下修乳癌修篩檢年齡、罹癌凍卵補助! 乳癌病友協會提6呼籲https://www.healthnews.com.tw/readnews.php?id=65117
子宮頸抹片檢查每年必做! 「這些」篩檢有補助
近年來常會收到健康服務中心或醫療院所的來電或是簡訊提醒:「您今年抹片檢查做了嗎?」好不容易擠出時間,鼓起勇氣來到醫院,卻發現除了癌症篩檢外,還有好多的檢查項目可選擇,如果要做一系列的檢查是否可以來一趟就全部完成呢?每年必做子宮頸抹片檢查 降低癌上身風險臺北市立聯合醫院婦幼院區婦產科主治醫師曹如謹指出,每項檢查都有檢查的必要性,醫師會依據年齡、個人生活或疾症背景的不同,安排最合適的篩檢項目。不管有多忙每年一定要記得做子宮頸抹片檢查,根據統計分析連續做三年的抹片,可大幅降低誤差(偽陰性率),將子宮頸癌的偵測率提升九成以上。抹片主要是檢查細胞病變,而跟子宮頸癌的「原因」最相關的是HPV人類乳突病毒,可自費在做子抹檢查時一併檢驗。北市衛生局更加碼擴大篩檢對象,凡設籍北市24歲以下之女性每三年補助一次子宮頸抹片檢查,另建議凡有過性行為,就會增加感染風險,做抹片篩檢同時還可以順便檢查有沒有陰道感染。若本身有子宮肌瘤、卵巢囊腫,也同時加做健保的陰道超音波,追蹤病灶大小,來一次門診就全部檢查完畢。乳房攝影、骨質密度檢查莫輕忽 加強追蹤護健康另針對40歲-74歲的女性國健署補助每兩年可以做一次乳房攝影,北市衛生局也加碼擴大篩檢對象,凡設籍北市75歲以上之女性每二年補助一次乳房攝影,其間如果想加強追蹤,可以加掛乳房外科,做乳房超音波;如果擔心攝影很痛而不願檢查之女性也可以試試看自費的ABVS全自動超音波。最後是比較少人知道的骨質密度篩檢,剛邁入更年期女性尤其需要做一次,知道自己身體的基本狀況;而長期吃類固醇、有其他風險、完全沒做過的年長者,也強烈建議要自費做這項檢查,流程就像照X光一樣,隔週回來看報告,就能知道自己是否有骨質疏鬆。 【延伸閱讀】子宮頸抹片檢查前要注意哪些?篩檢異常怎麼辦? 子宮頸癌篩檢一次看!子宮頸癌是女性死亡率第七位! 子宮頸抹片檢查前3件事要注意https://www.healthnews.com.tw/readnews.php?id=64558
女子長期腹痛!檢查竟發現21公分腫瘤 醫曝:5成患者發現已是卵巢癌晚期
明明沒有很不舒服,卻已經是卵巢癌晚期?一位38歲外籍移工林小姐(化名)平時常有腹痛、經痛等症狀,看了腸胃科卻遲遲無法改善,轉而前往婦產科就診,經檢查發現除有7公分子宮肌瘤,旁邊竟還有21公分的巨大卵巢癌腫瘤。義大癌治療醫院婦產科傅啟峰主任指出,卵巢癌主要好發於50至60歲女性 ,若患者出現腹脹、腹痛等問題,除了腸胃科,建議也一併安排婦產科門診,早期篩檢把握黃金治療期。初期症狀難發現!腸胃道不適女性應考慮卵巢癌篩檢根據衛福部今年6月最新公布的111年國人死因統計結果顯示,卵巢癌較110年死亡率增加了10.5% 。傅啟峰主任說,卵巢癌的種類相當多,約有60至70% 屬於上皮性卵巢癌 ,好發年齡於50歲以上 ,其餘為非上皮性卵巢癌,然而,基因遺傳、不健康的飲食習慣、或是有「初經早,停經晚,沒生過小孩」的狀況等,均會提高罹癌機會,近五成的患者確診時已是卵巢癌晚期 ,癌細胞擴散到腹腔附著在腸子、橫膈膜及肝臟等,甚至更遠端轉移至肺部、骨頭等,因較難以開刀徹底清除病灶,化療效果可能也不見理想,整體來說預後及存活率也較差。因此傅啟峰主任提醒,卵巢癌初期可能以生活中常見的腸胃道不適症狀呈現,如下腹痛、腹脹,或不正常出血等,容易忽略嚴重性,建議有家族病史、一生排卵次數多、50歲以上、肥胖過重等高風險族群提高警覺。根據文獻指出,第一期確診的卵巢癌患者5年存活率有80%以上,但進入第三、四期則下降為25~30% ,因此年滿30歲以上的女性每年都應進行例行性的卵巢癌篩檢,選擇腹部超音波、陰道超音波、及腫瘤指數CA125查驗,掌握骨盆腔內的早期變異情況。早期發現及早治療!有效提升預後生活品質傅啟峰主任說明,早期就發現的卵巢癌較有機會以手術切除,到了晚期因腫瘤體積較大,會先以化療「減積」,待腫瘤縮小後再評估是否可進行手術,手術後仍需積極化療。上文中的案例林小姐因早期診斷發現癌細胞,幸運未嚴重擴散,手術切除後定期追蹤,現在已回歸正常生活。傅啟峰主任也指出,因卵巢的位置鄰近腹腔、小腸及直腸等重要臟器,以義大醫院為例,進行卵巢癌手術時會請泌尿科、大腸直腸外科等團隊協助待命或陪同,此外,台灣婦癌醫學會理事長暨財團法人中華民國婦癌基金會董事長 – 王鵬惠醫師 (現職: 臺北榮民總醫院 婦女醫學部) 也提醒今年3月起針對卵巢癌治療也有健保給付新方案,提醒民眾若有疑慮應及早就診,在有藥物與完善的手術團隊輔助下,可以更加安心面對療程。
私處摸到如貢丸異物! 妙齡女赴院檢查竟是「子宮肌瘤」
24歲女子某日洗澡時突然摸到陰道口有異物,嚇得她急忙至醫院就醫,經過醫師內診後發現,竟有一顆貢丸大小的肉塊在陰道口處。後來發現是子宮肌瘤已從子宮垂至陰道口。對此,婦產科醫師就提醒,子宮肌瘤因為位置不同,導致的症狀也不一樣,因此建議發現異狀應盡速就醫。婦產科醫師謝筱芸在臉書「謝筱芸醫師的泌密診療室」發文,分享一名24歲女子日前洗澡發現陰道口有一顆異物,上網查詢發現其症狀可能與子宮脫垂有關,還有可能需要開刀住院,嚇得她立刻赴婦產科就醫。謝筱芸說,內診時發現一顆像是貢丸的肉塊快就在陰道口,觸感也像是貢丸般具有彈性,「原來子宮長了一顆帶柄的肌瘤(類比一下香菇和香菇炳),因為生長位置和重量的關係,藉由炳與子宮相連的肌瘤已經悄悄從子宮內部慢慢地垂到陰道口了。」該名患者得知只要從陰道把肌瘤切除,而且當天就可以出院返家感到非常慶幸,「還好不是子宮脫垂,肚皮上不會留下任何傷口,對以後的懷孕生產也沒有影響。」事後患者回想,之前就有月經不規則的現象,但因為沒有性經驗所以一直都照腹部超音波檢查子宮卵巢,因為檢查無異常,於是就吃荷爾蒙調整月經。不過咖啡色出血天數不但沒變短反而還變長,底褲上也常有黏黏粉粉的分泌物,直到她摸到陰部有腫塊才決定赴院內診檢查。筱芸補充,「隨著子宮肌瘤的位置不同,可能影響月經、造成頻尿、便秘等不同症狀。」另外,腹部超音波雖然方便,但是畢竟腹部有藏得很深的赴機及厚實脂肪,因此解析度比己陰道超音波還是有誤差,激流偵測率2者相差10%,因此謝筱芸就建議到院檢查時還是以陰道超音波為主。
婦科醫生問有無性經驗遭母搶答 她憂醫生能從超音波照看出來嗎?
近日有女網友在《Dcard》發文詢問,「超音波照看得出破處了嗎」,女網友在文中表示,日前她去看婦產科時,被醫生問到「有無性生活」,這時她媽媽竟搶著回答:「沒有」,她坦言媽媽不知道她已有過性經驗,她也擔心醫生因此無法正確診斷她的病情,於是在網上發文詢問網友,不知道醫生是否能從超音波照,看出她已有過性經驗的事。11日有女網友在《Dcard》發文,她表示日前因婦科疾病去看婦產科時,媽媽硬要跟著自己到診間裡,當時醫生詢問原PO有無性生活,原PO因為媽媽就在一旁,且不知道她已經有過性經驗,因此猶豫要不要講實話。沒想到媽媽卻搶先一步回答醫生,表示自己女兒沒有過性經驗,接著醫生就安排原PO去照超音波,照完超音波後醫生指出原PO的子宮發育不完全,但原PO在文中表示自己已經成年了,而媽媽當時急著搶答,她擔心醫生不知道實情,會因此影響診斷,她發文詢問網友:「會不會超音波照看得出我破處,只是醫生沒有講」?網友們看完貼文之後,紛紛留言向原PO分享自己的看診經驗,有人表示醫生會詢問原PO有無性經驗,是因為沒有性經驗只能照腹部超音波,有性經驗就可以使用陰道超音波,而陰道超音波不用脹尿,而且照的比較清楚。也有許多網友指責原PO媽媽很不尊重她,因為一般來說,為保護患者隱私,只有患者能進到婦產科診間,陪病的人要在外面等候,而原PO媽媽不僅硬要跟著進診間,還要搶著回答醫生問題,屬實很不尊重已經是成年人的原PO。
WHO調查: 每6人就1人不孕! 婦科醫籲「做1事」少走冤枉路
世界衛生組織(WHO)日前公布最新調查,全球約有17.5%的成年人有不孕症的困擾或經驗,呼籲各國應積極重視。醫師表示,不孕症的困擾遠比想像中嚴重,加上時代變遷,晚婚晚生的社會趨勢,男女雙方都得重新調整心態應對。預先檢視自我身體狀況 為求子之路準備雙和醫院婦產科暨生殖醫學中心負責人許越涵建議,不論當下是否有結婚或生子壓力,男性或女性朋友都可前往生殖醫學門診進行備孕諮詢與相關檢查,女性朋友可從陰道超音波(未有性行為者可進行腹部超音波)、血液賀爾蒙及卵巢庫存量、輸卵管或子宮鏡等檢查著手;男性朋友則可進行精液分析,了解精蟲數量、型態、活動力及液化時間等,或是檢查是否有勃起障礙、逆行性射精、輸精管阻塞及精索靜脈曲張等問題。從檢視自我身體狀況的角度出發,才能替未來懷孕做準備,求子之路也會更順遂。多種因素造成不孕 卵巢因素居第二原因至於導致不孕的原因,根據調查,以多種因素占比達32.6%最高,其次則是卵巢因素,占比為31.6%,而男性因素占比則為9.5%。許越涵醫師認為,從精卵結合、胚胎成功著床到順利度過孕期,整個妊娠充滿諸多變數,不只是年齡因素,也有許多環境因子或是壓力等不明因素影響,在尋求專業醫療人員協助外,夫妻間也該以正確的心態來共同面對。年紀增長自然受孕率降 人工生殖治療成關鍵年紀一直是女性朋友在生育上的最大挑戰。許越涵醫師指出,隨著年齡增長,不僅自然受孕的機率會降低,流產的機率也隨之攀升;根據研究報告,女性自然受孕率,在25歲左右高達7至8成,但隨著年紀增長,自然受孕率將逐年下滑,到35歲後,可能只剩下2至3成;而在人工生殖治療,如人工授精或是試管嬰兒(IVF)等療程,年紀也是左右懷孕成功及活產的重要關鍵。
男性不育3大迷思! 醫指:性功能不等於生育功能
美美38歲仍懷孕未果,嘗試與老公前往生殖醫學檢查,但老公堅信自然備孕,認為「雙方都還年輕,加上常聽到試管嬰兒40歲以上還能成功。」經過6次的受精卵植入療程都無法順利著床,老公打算停止療程,卻引爆美美長年的怨氣,認為老公延誤了求子時間,甚至揚言離婚!中華民國生育醫學會理事長黃貞瑜表示,過去很多錯誤的觀念,常加深男女雙方對生殖力的知識落差,提醒男性「性功能正常不等於生殖功能正常!」迷思1堅持自然受孕,自認為年輕還能生?!台灣第一份不孕症家庭調查顯示,30-34歲結婚的家庭第一次嘗試不孕治療的平均年齡為36.3歲。然而,女性在35歲後,不管是生育能力或卵子儲備量都將開始急速下降,男性的精子數量與活動力等也在34歲後開始減少。即使現在美容保養技術進步,黃貞瑜仍提醒:「我們雖然保有30歲的外表,但是我們的器官已經是40歲的狀況!」夫妻若越晚開始進行備孕計劃,懷孕成功率只會越來越低。迷思2不用考慮年齡,靠生殖醫學保證成功?!隨著年齡上升,生殖醫學成功率也會受影響,以小於35歲時的治療成功率來說,還有高達起碼33%,但超過40歲僅剩一半,42歲後更低於8%。醫師提醒,無論自然懷孕或生殖醫學,精卵結合是重要第一步,若其中一方過晚意識到科學檢查的必要性,或在療程初期失敗後產生中斷治療的念頭,都將增加雙方的求子壓力。迷思3不孕並非男性的問題?!懷孕成功關鍵在於男女雙方精卵數量與品質皆要夠好。但不孕夫妻中,不少男性抗拒生殖檢查,且認為檢查結果不一定準確。一份國際研究指出,所有不孕症病例中大約有40-50%與男性有關,與門診中統計的不孕比例相差不遠。然而在門診經驗中,仍常見男性對療程態度消極、不願配合檢查,或認為自己「任務僅在取精」表現被動。醫提醒:精子數每年以2.6%速度下降國外一份針對全球男性精子數量調查顯示,從1973年到2018年,男性精子數量平均每年下降1.2%;從2000年開始,精子數量下降速度更加速到每年2.6%以上。隨著空氣污染、暴露在有害化學物質或過熱環境中,都有可能加劇男性生育能力下降。黃貞瑜說明,「精蟲活動力」是指精蟲游動狀況。在精液中需有至少42%精蟲能正常游動為正常數值。活動力差的精蟲不會前進、原地轉圈及原地抖動,若精蟲無法移動至輸卵管與卵子受精,便會造成男性不孕症。求子要有效 精準檢測「生殖即戰力」根據WHO標準,正常性生活無避孕超過1年,但未能懷孕者即為不孕症。黃貞瑜呼籲,現今不孕問題男女已各占一半,無論備孕或生殖醫學,雙方一起檢查、一起治療是相當必要的。而且110年7月政府擴大不孕症補助,建議民眾及早尋求生殖醫學檢查與協助。3旬的林小姐從婚後就開始備孕,嘗試自然受孕2年未果,便積極地和老公一起進行生殖檢查。自己雖有卵巢囊腫但AMH值良好,老公則是精蟲活動力略低於平均值。雖然第一次人工授精失敗,但老公仍體貼相挺。加上政府擴大生殖補助計畫,夫妻立刻決定嘗試之前因費用遲遲沒有進行的試管嬰兒療程,治療一年後成功迎來小兔寶。男性生殖檢查項目女性生殖檢查項目精液量精蟲數精蟲濃度精蟲活動力前進型精蟲率精蟲存活率正常型態比例精蟲DNA碎片分析抗穆氏管荷爾蒙(AMH數值)基礎體溫及排卵測試測量內診檢查陰道超音波檢查子宮輸卵管攝影血液賀爾蒙分析
39歲女拚「做人」卻先迎來乳癌 不必二選一!治療後生下健康女娃
乳癌長年佔據女性好發癌症之首,而依據最新衛生福利部108年癌症登記報告統計,44歲以下確診乳癌的年輕癌友約17.23%,佔比不低。而乳癌的治癒率高,因此對於年輕乳癌病友最困擾的,多為面臨正值有生育規劃安排時罹癌,往往要面對癌症治療與生育計畫的兩難。39歲許小姐在結婚前就跟職場女性一樣以工作為重,32歲結婚,婚後並沒有特別避孕,原本希望能透過自然受孕方式來擁有「愛的結晶」,努力了三、四年肚皮始終沒有動靜,為了一圓當媽媽的夢想,跟先生討論也開始做不孕症治療。沒想到在36歲時,愛的結晶還沒來,卻先迎來了乳癌。當確定是乳癌那一刻,她哭著問醫生:「我很想要生小孩,怎麼辦?接受治療後,我是不是再也無法懷孕生小孩了?」她回憶著醫生當時告知,化療可能影響卵子品質、讓卵巢受損,想生小孩要趕快預作準備:冷凍卵子、冷凍胚胎做生育保存計劃,夫妻倆抓緊時間在治療前冷凍了10個胚胎。考量自己年近40歲受孕不易,許小姐想盡快準備懷孕,因此趕在做完12次化療及標靶治療後,跟醫師商量是否有機會可以暫時停藥去準備懷孕。原本要吃5年的抗荷爾蒙藥,與醫師討論後先吃1年後先暫停去準備懷孕。而當醫生宣布「中獎」受孕成功的那天,在診間興奮歡呼,回家把囤貨很久的驗孕棒拿出來「狂驗好幾次,看到兩條線,真的會莫名感動!」現在,生下可愛的女兒,實現了當媽媽的願望,每週至少兩天,她會揹著寶寶一起爬山,「我要把自己鍛鍊得更強壯,好好陪寶寶一起長大。」年輕乳癌病友持續攀升,加上現代女性晚婚晚生比例高,高齡婦女求子不易,好不容易懷孕了,卻發現罹患乳癌,該怎麼辦?「為了治療,我是不是要把小孩拿掉?我可以先選擇把孩子生下來之後再接受治療嗎?延緩治療是否也會讓病情急速惡化呢?」馬偕紀念醫院乳房醫學中心主任張源清醫師表示:在醫學科技的進展下,懷孕期間的乳癌治療與生育不需要二選一,早期病友原則上建議先手術處理腫瘤,不需要考慮終止懷孕。國際間具影響力的文獻報告顯示,一旦進入第二孕期,也就是滿 12 週之後,乳癌目前標準的化療方式對胎兒其實是安全的,不需要特別終止懷孕。若能積極接受並配合應有的手術與化學治療,病患存活率和相同臨床病理特徵的乳癌患者相當;研究也指出,在第二孕期後有接受乳癌化療產下的孩子,除了出生時體重稍輕,但整體健康、生長範圍、心血管功能、認知功能等都沒有差異。在懷孕時罹癌的病友可以在生產後再進行抗荷爾蒙藥物治療、標靶、放射線、免疫療法等。懷孕中罹患乳癌的照護需要多專科共同參與,治療計畫需更細心周全的考量,腫瘤科醫師必須與婦產科醫師密切溝通,觀察癌症治療過程中孕婦的生理變化。每個病友與家屬的人生規劃,都有賴良好的醫病溝通,共同討論以做出最佳治療方案。在現代醫療的協助下癌症已經不再是絕症,隨著癌症治療及生殖醫學技術進步,利用進步的生殖細胞冷凍保存科技,可以幫助癌症患者達到生兒育女的需求。TFC臺北婦產科診所生殖中心院長胡玉銘醫師表示,生育保存已是現今癌症治療的一環,當醫師面對年輕癌症病患,尤其是介於15-49歲的育齡患者,需先了解患者生育經驗及未來生育規劃,若有計畫懷孕,擬定治療計畫就會考慮生育時程,同時轉介癌友接受生殖醫學團隊評估。癌症治療需要與癌細胞搶時間,為了不耽誤治療,台灣生殖醫學會建議在癌症治療開始之前,評估以下生育保存方案的可行性:男性癌友1.精子冷凍保存:過程約需2小時,包含抽血檢測、留存精液、冷凍等。2. 顯微睪丸取精手術:約需10-20分鐘,利用睪丸組織切片取得精子,並冷凍保存。適用於無法射精、無精症、無精液症等年輕男性癌症病人。女性癌友 3.卵子冷凍保存:只要確認未懷孕的狀態即可進行,透過「隨時啟動」(Random start)的取卵技術,可不須配合受限於月經週期快速取卵,快速爭取時間。過程約需2週,包含:抽血檢測(傳染性疾病、荷爾蒙相關)、 藥物誘導排卵、追蹤濾泡成熟度(透過陰道超音波)、取卵手術、冷凍等保存。 已婚癌友4.胚胎冷凍保存:因台灣人工生殖法,僅限適用於已婚患者,過程約需2周,精卵在體外受精成為胚胎,再冷凍儲存。癌症療程完成後,什麼時候可以準備懷孕呢?TFC臺北婦產科診所生殖中心胡玉銘院長表示,在癌症治療結束的五年後,必須先經由原癌症主治醫師同意,確認安全無虞後,即可轉介至不孕症生殖專科與醫師討論並評估生育計畫。若先前已有品質完好的冷凍生殖細胞,可在解凍後開始接續的試管嬰兒療程。若當初沒有進行生育保存,也不用灰心,我們依舊能從頭開始嘗試,一切都是有機會的。當醫療不斷進步,癌症治療存活率愈來愈高,生育保存成癌症治療新課題,治療不只是消滅癌細胞,治療目標也不只停留在『活下去』而已。當走過癌症這個人生逗點,也要能滿足癌友們回歸社會的各項需求,即使罹癌也能勇敢面對、積極治療、甚至規劃安排自己未來的人生,擁有自主選擇與自我賦能的機會。
王力宏父2句話太驚悚 人妻部落客嚇歪「公公怎知媳婦兒生理期」
王力宏李靚蕾結束8年婚姻,卻被李靚蕾爆出各種渣男行徑,原本王力宏父親,要替兒子洗白,部落客「台灣妞韓國媳」看到其中一段話卻當場嚇歪,直呼:「公公居然知道媳婦兒的生理期阿阿阿,這實在是太可怕了!」引來網友笑虧:「爸爸知道的很清楚….可能敬事房有記檔。」台灣妞韓國媳表示看完,王爸爸的親寫信後,大喊「我的老天爺,公公居然知道媳婦兒的生理期阿阿阿這實在是太可怕了,兒子結婚需要交代媳婦的生理期,啊啊啊啊啊啊啊啊啊!」也因為衝擊太大,她表示現在看到公公都覺得尷尬。不少網友也調侃,「原來王老先生是敬事房的主管」、「爸爸知道的很清楚….可能敬事房有記檔」、「已經8年了,王伯伯忘不了媳婦生理期」、「我也看到這段生理期!連生理期還要報告。什~~~麼~~~鬼」、「看到對於媳婦啥時生理期、兒子跟媳婦什麼時候發生關係一清二楚覺得有點驚人」。台灣妞韓國媳也提醒,安全期、排卵期、生理期並「不適用」在每個女生身上,每個女生會因為體質及生活作息,而有不同的狀況,直言如果要避孕,做好安全防護才是最保險的方式,「除非你家有超音波機器,可以立即陰道超音波確認自己有沒有排卵(還有可能看錯),不然真的就是要想著這一發可能懷孕。」
馬偕研究登國際期刊 「預測子宮頸閉鎖不全」新技術更具鑑別力
造成孕婦早產的因素很多,其中妊娠第二孕期常見的「子宮頸閉鎖不全」卻是發生早產的隱形殺手。馬偕紀念醫院婦產科以超音波彈性成像技術,觀察第一孕期子宮頸的結構,預測準媽咪發生無痛性子宮頸口擴張造成早產的機會,分析成果已發表於北歐重要的婦產科權威期刊。曾小姐第一胎懷孕22週時,沒有感覺明顯的子宮收縮,但超音波下子宮頸長度已經變短,轉診到醫學中心經由陰道擴張器(鴨嘴)檢查發現子宮頸口已開4公分,經由緊急子宮頸縫合手術和安胎治療,努力撐到33週,還是提早破水生產。許多早產的媽媽舉曾小姐一樣感到納悶:「為什麼子宮都沒有收縮,寶寶就提早報到了?」馬偕紀念醫院婦產部高危險妊娠科主任陳震宇醫師表示,子宮頸閉鎖不全症狀是在妊娠第二孕期常見的併發症,孕婦會發生無痛性的子宮頸口擴張,合併羊膜經由子宮頸膨出,進而發生破水而早產,發生率約為1/100至1/2000,是產科主要的併發症之一。彩色超音波彈性成像技術,子宮頸閉鎖不全的子宮頸在超音波下紅色區域的比例增加(左),一般族群的子宮頸在超音波下大部分為藍色區域(右)。(圖/台北馬偕醫院提供提供)陳震宇醫師表示,造成子宮頸閉鎖不全常見的原因包括:曾接受過子宮頸錐狀切除手術或子宮頸擴張術、子宮結構異常、多胞胎或羊水過多造成子宮頸變短等原因。但臨床上,有一半以上的孕婦發現子宮頸閉鎖不全時並無上述的危險因子,目前對於子宮頸閉鎖不全的診斷,主要是根據孕婦過去是否有早產病史、在第二孕期經陰道超音波檢查子宮頸長度是否變短、或在陰道擴張器下檢查子宮頸是否已經擴張。但這些方法緩不濟急,發現當下再及時補救常為時已晚。陳震宇醫師表示,透過彩色超音波彈性成像技術,可以在第一孕期成功預測孕婦是否有子宮頸閉鎖不全問題,該項技術可以定量分析子宮頸的軟硬程度,軟的組織在超音波下呈現紅色,硬的組織則呈現藍色,界於二者之間則呈現綠色。一般而言,子宮頸閉鎖不全的孕婦,子宮頸的結構會較鬆軟,在彩色超音波下紅色區域占的比例會明顯增加。利用超音波彈性成像技術預測第一孕期子宮頸的軟硬程度,可以在妊娠初期提早發現子宮頸閉鎖不全的高危險群孕婦,及時給予黃體素或安排子宮頸縫合手術,預防早產的發生。馬偕紀念醫院在三年內分析近400位孕婦的第一孕期子宮頸超音波彈性成像,發現子宮頸閉鎖不全孕婦的子宮頸硬度明顯減少,其檢測的敏感度和特異度可達0.88 和0.84,比量測子宮頸長度(0.78和0.50)更具鑑別力,該項成果已發表於北歐婦產科權威期刊(Acta Obstetricia et Gynecologica Scandinavica)。
懷孕31周劇烈宮縮 檢查驚見「臍帶脫垂」險胎死腹中
花蓮一名37歲陳姓女子相隔13年再迎第二胎,31周在門諾醫院住院安胎時,因持續子宮早期收縮,檢查竟發現,陰道內有約7公分羊水袋,且充滿臍帶,是罕見「臍帶脫垂」,恐阻斷供血胎兒,緊急剖腹後,順利保住母女;醫師提醒,孕婦若有早期子宮持續收縮等狀況,要留意是否為臍帶脫垂,如果不跟時間搶快,可能造成胎兒缺氧、早產、胎死腹中,產婦也可能因大出血而休克甚至死亡。臍帶脫垂發生率僅有0.1%至0.3%,雖然不常見,但對胎兒危害極大!門諾醫院婦產科醫師吳文綺強調,胎兒藉臍帶從母體吸收營養與氧氣,一旦臍帶掉落在子宮頸口或陰道內,就會造成臍帶血液循環受阻,且超過3分鐘就可能導致胎兒缺氧。吳文綺說,若無法及時處理,對胎兒腦部會造成永久傷害,嚴重則可能會窒息死亡;臨床上,很少有醫師會去用陰道超音波檢查羊水袋,通常都是等破水後,寶寶心跳下降,窘迫時,才發現臍帶脫垂, 但搶救時間就會有些延遲,因此造成結果大不同。陳女看著熟睡的女兒說,原以為可自然產,沒想到卻在29週後出現出血情形,經歷2次住院安胎後,31週感到劇烈宮縮,經醫師檢查除了有早產現象,還發現臍帶掉到陰道,是少見危險的「臍帶脫垂」,所幸醫護團隊努力,女兒出生時只有1748公克,經3周住院治療,體重突破2300公克,陳女和丈夫鬆了一口氣「終於可以回家」。吳文綺提醒,若孕婦有子宮早期收縮的早產現象,或足月卻發生高位破水等,都有可能造成產前臍帶脫垂的危險,因此,羊水問題也不能輕忽,最重要的是做好每一次的產前檢查,避免產婦及胎兒陷入危險。
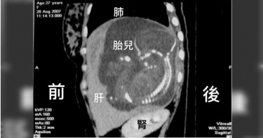
全球僅31例!以為子宮外孕切除輸卵管 胎兒竟是「長在肝臟裡」
ICU重症醫師陳志金今天於臉書分享一篇文章,文中敘述一開始朋友傳此篇文章給他看時,他還以為是假新聞,因為子宮外孕怎麼可能發生在肝臟?而且胎兒竟然在肝臟裡生長到20多周,實在超乎他的想像。誰也想不到子宮外孕竟然發生在肝臟,最後因為腹腔大量出血,母子均不幸身亡。(圖/翻攝自《ICU醫師陳志金》粉絲頁)沒想到竟然是真的!陳志金表示此篇文章來自一位越南醫師2007年的部落格貼文,文中描述這是一位27歲的女性,她因為出現腹腔出血,而懷疑是輸卵管子宮外孕,這也是子宮外孕最常發生的位置,占約97%,醫師因此切除了該名女性右側輸卵管,但是卻沒有在輸卵管上發現胚胎。兩個月後,這名女子再度經歷腹腔內出血,這次才驚訝發現胎兒其實是長在肝臟裡面!而且已經懷孕23周了!雖然經過緊急手術,仍因為大量出血,胎兒和母親都沒辦法活下來。撰寫文章的越南醫師文中表示,該名女子第一次檢查時,醫師僅做「經陰道超音波」,而沒有做「腹部超音波」,因此才會無法發現肝臟內居然有胎兒!不過,誰也無法想像子宮外孕會發生在肝臟,越南醫師表示當時全世界僅報告4例,後來作者於2018年又再次回顧全世界發生的31利!陳志金醫師也提醒,子宮外孕最危險之處就是大量出血而危及性命,女性若發生當月經沒來、有異於月經的陰道出血,再加上腹痛,就要提高警覺!在輸卵管或任何臟器破裂以前,有些患者甚至不會有腹痛,所以不正常的出血都要小心。
【試管嬰兒不是夢1】技術大躍進 成功率直衝6成
台灣的第一個試管嬰兒是在1985年4月誕生,那時候亞洲第1例是在新加坡,而台灣則是全亞洲的第2例。試管嬰兒對現代人來說可能不是甚麼新鮮事,但在當時卻引起不小的波瀾,但生殖科技在近20年進展特別快速,讓成功率從2成提升到6成之多。參與這段歷史的台北中山醫院婦產科醫師陳樹基回想起這段經過。「當時我還在榮總,整個團隊有四個人一起努力;我們花了3年的時間出國受訓,才奠定了首例成功的基礎!那時候常常覺得時間都不是自己的,只要接到團隊的電話,就必須放下手邊所有的事回到醫院整軍備戰!」陳樹基說,當時因為生殖技術還在萌芽,很多事都必須根據臨床狀況隨時應變。台灣第一個試管嬰兒「張小弟」,1985年在陳樹基等4位醫師的合作下順利誕生。(圖/報系資料照)「舉例來說,排卵來說時間點非常重要,但不是每個人都一樣,有的本來排定明天取卵,結果過程超過預期,必須緊急在傍晚進行手術,這也意味著,接下來的工作,像是後續的處理、追蹤等等,可能都要到在半夜才能完成」當年1歲的「張小弟」,在母親餵飯時露出可愛的笑容,如今35歲的他也已為人父了。(圖/報系資料照)在當時取卵手術可沒像現在這麼方便,陳樹基說,當時取卵是靠腹腔鏡手術,但不像現在有直接的影像可以觀看,必須直接從腹腔鏡鏡頭直接觀察,如果遇到有沾黏狀況的話,必須當機立斷進行剖腹取卵。「現在則只要用陰道超音波,從陰道壁旁邊穿過去就可以取到卵子,以前1個小時只能做1台,現在則是1個小時可以做3台取卵手術。」35年前完成台灣首例試管嬰兒的醫療團隊成員陳樹基醫師,今年已71歲,依然在醫療崗位上為生殖醫學奉獻。(圖/黃耀徵攝)第一代試管嬰兒技術,必須靠腹腔鏡手術才能進行取卵。(圖/報系資料照)另一個最大的技術突破,陳樹基認為是單一精蟲顯微注射(ICSI)。陳樹基碰過一個體格健壯的軍校男生,結果竟然是無精症;「以前這樣的狀況是舉雙手投降,但自從這個技術問世之後,即使只有稀少的精蟲數目,也可以讓成功懷孕的機率跟一般人一樣。」
夫妻結婚3年仍不孕 檢查妻子竟還是處女
夫妻結婚後,都會盼望新成員到來,讓家庭更完整。大陸杭州卻有一對夫妻,妻子遲遲沒有懷孕,讓婆婆相當焦急,甚至開始猜測是不是夫妻的身體出問題,帶媳婦去醫院檢查居然發現,成為人妻多年的媳婦竟還是處女!根據《每日商報》報導,27歲的小彩(化名)日前被婆婆帶往杭州市中醫院中醫婦科檢查,小彩與丈夫已結婚3年多,但不論多努力做人、吃補品,卻始終無法懷孕,讓公婆非常著急,婦科的樓毅雲醫師先是替小彩進行陰道超音波等系列檢查,豈料之後卻接到照超音波醫師回應「單子有沒有錯?患者還是處女,不合適做這個檢查」。醫師相當吃驚,私下詢問小彩,才知道原來她非常怕痛,每當夫妻行魚水之歡,要突破處女膜時她都會因為疼痛而抗拒。儘管用盡各種方法多次嘗試,但她仍無法突破心理和生理障礙,這也使丈夫不敢再碰她,害怕會傷到妻子,甚至也影響產生心理恐懼,而醫師替小彩丈夫檢查,發現他的精子活力也較低。樓毅雲醫師指出,夫妻兩人的情況並不常見,女方可能是因為心理因素導致,當然也不排除器質性的疾病導致的疼痛,需進一步檢查後確定,而男方則是存在一定的性功能障礙和心理障礙,夫妻都必須先克服心理障礙,並接受治療,若真的無法突破,也建議女方可動手術切開處女膜。
【婦癌殺手5】這些名人都中標 因此失去生孕能力
根據衛福部癌症登記報告統計,近五成卵巢癌患者發現已是晚期。「子宮頸癌可藉由抹片檢查早期發現,子宮體癌則容易異常出血,相較之下卵巢癌幾乎沒有症狀。」三軍總醫院婦產部主任張正昌醫師說,再加上卵巢癌非常容易復發,所以近兩年的死亡率始終維持一年在六百多人左右,領先子宮頸癌、體癌,居婦癌之首。隨著晚婚、少孕、生活壓力、環境荷爾蒙影響,卵巢癌發生率逐年攀升,近十年發生率增加1.1倍,許多名人也曾經罹患卵巢癌,例如立委邱議瑩就曾經檢查出罹患卵巢癌,幸好還是早期階段,所以接受治療後恢復良好。另外,以本土劇《甘味人生》打開知名度的藝人李沁凝,31歲時發案罹患卵巢癌第三期,先切除卵巢、子宮,再進行化療,曾在臉書上發想勇敢抗癌的心情,雖然年紀輕輕就失去生孕能力,但每年過生日仍然感恩「又多活了一年」。張正昌醫師表示,可透過每年進行陰道超音波,提早發現罹患卵巢癌。張正昌說,過去卵巢癌患者的標準療程是手術、化療,現在多了維持性口服標靶的選擇。「研究顯示,可以延後大約2年的時間再次復發。」不過,這個新藥目前仍然屬於自費療程,每個月大約需要自費10萬元左右,並非所有人都能負擔。張正昌醫師表示,可透過每年進行陰道超音波,提早發現罹患卵巢癌。婦科三大癌症比一比(單位:每10萬人)(資料來源:衛福部統計數據)想追蹤最勁爆消息、想掌握最Fashion、最IN的娛樂流行資訊粉絲團按讚:https://www.facebook.com/want.ctw/YouTube訂閱:https://www.youtube.com/channel/UCZtUbkty-OfR4_AQ4B0GtQA
【婦癌殺手4】卵巢癌年輕化 1/4未滿40歲
卵巢癌幾乎沒有篩檢工具,再加上晚期才出現症狀,所以擁有「寧靜殺手」的稱號,近年高居婦癌死亡率的第一名,而隨著晚婚、少孕的趨勢,卵巢癌發生率逐年攀升,近十年發生率增加1.1倍,最近更擠下子宮頸癌,成為女性癌症發生率第七名。「除了基因遺傳因素之外,主要原因就是晚婚少孕,所以每年持續增加1~3%發生率,且有年輕化趨勢,1/4患者年紀都在40歲以下。」雙和醫院副院長賴鴻政說,大約5~15%患者的Brca1與Brca2基因變異,罹患卵巢癌風險會相當高,例如好萊塢女星安潔莉娜裘莉就是知名的例子,她因此做了切除卵巢、輸卵管的預防性手術。「沒有生孕、或生孕次數少,就會讓卵巢一直排卵,除了沒有喘息時間之外,也增加基因變異的機會。」三軍總醫院婦產部主任張正昌醫師說,卵巢排卵時會形成一些小傷口,然後再由修復基因癒合傷口,所以排卵次數愈多,就愈容易使修復基因變異。張正昌醫師表示,可透過每年進行陰道超音波,提早發現罹患卵巢癌。張正昌醫師表示,可透過每年進行陰道超音波,提早發現罹患卵巢癌。如果經常施打排卵針,等於增加排卵時的傷口,那基因變異機率也會較高?「目前有研究證實、也有研究推翻這個論點,所以目前還沒有定論。」賴鴻政說,其實壓力與環境荷爾蒙也都會影響基因變異,增加卵巢癌機率。預防卵巢癌這樣做卵巢癌直到晚期,因為腫瘤變大才會出現腹水、腸胃道症狀,早期幾乎難以察覺。由於卵巢癌具有基因遺傳因素,若想預防可先進行基因篩檢,例如檢查Brca1或Brca2基因是否變異,大約需自費5萬元左右,若確定基因變異,又沒有生孕需求,就可以考慮切除卵巢、輸卵管,以預防癌化。雙和醫院副院長賴鴻政說,「曾經有位50多歲的病人,因為3個姊姊分別罹患子宮內膜癌、卵巢癌,很確信自己一定有基因變異,就決定進行預防性切除手術。」張正昌則認為,只有少數患者具有變異遺傳基因,建議一般女性每年進行陰道超音波篩檢,若發現有異樣,再搭配抽血檢驗腫瘤指標數值佐證,較能早期發現卵巢癌。雙和醫院副院長賴鴻政表示,得非常確信自己一定有基因變異才進行預防性切除手術。想追蹤最勁爆消息、想掌握最Fashion、最IN的娛樂流行資訊粉絲團按讚:https://www.facebook.com/want.ctw/YouTube訂閱:https://www.youtube.com/channel/UCZtUbkty-OfR4_AQ4B0GtQA
【婦癌殺手2】得知媽媽癌症復發 兒子哭問「為什麼又生病」
「兩年前確診卵巢癌末期的時候,我和先生一路哭著回家,今年初癌症又復發的時候,雙胞胎兒子抱著我哭:『為什麼又生病了?!』」今年49歲的張小姐,是相當典型的卵巢癌患者,由於卵巢癌幾乎沒有篩檢工具,再加上晚期才出現症狀,所以擁有「寧靜殺手」的稱號,近年高居婦癌死亡率的第一名。卵巢癌擁有「寧靜殺手」的稱號,近年高居婦癌死亡率的第一名張小姐第一次確診卵巢癌時,當時雙胞胎兒子才16歲,爸爸告知媽媽的病情之後,男孩們說不出口,便寫下一些支字片語鼓勵媽媽,並且承諾以後要幫忙做家事。「我看完之後,就和兩個兒子抱在一起痛哭。」哭雖哭,日子還是要繼續往前走。「我照常上班,兒子們也照常上課,但默默地我們都知道要珍惜相處時光,所以開始常常安排全家出遊,創造一些回憶。」直到今年初發現再度復發,這次張小姐真的有些挫折了。兒子們反應更激烈,「當時一打開家門,兒子就衝過來抱住她哭喊:『為什麼又復發了?』」張小姐自己沒想太多,居然也從沒問醫師「為什麼是我?」因為記者的詢問,張小姐才開始思考這個問題。「可能是我們家族中有癌症基因吧,我的外公跟舅舅都罹患肝癌。」外公已經辭世,而舅舅則是與張小姐一起抗癌,但卻不幸輸給癌細胞,張小姐當時化療身體虛弱,因此無法見到舅舅最後一面。張小姐的主治醫師正是新北市雙和醫院副院長賴鴻政。想追蹤最勁爆消息、想掌握最Fashion、最IN的娛樂流行資訊粉絲團按讚:https://www.facebook.com/want.ctw/YouTube訂閱:https://www.youtube.com/channel/UCZtUbkty-OfR4_AQ4B0GtQA