跳至主要內容區塊
國際
大陸

廣州6歲童「咳到出血」父母嚇壞 醫師在肺中取出半年前糖果包裝紙

中國 廣州 幼童 咳嗽 血痰 肺氣腫 異物
日前,中國廣州一名6歲男童樂樂(化名)在吃飯時意外嗆咳,誰知一咳就咳個不停,甚至加重到「咳出血痰」,讓家長嚇壞送醫。而醫師在檢查後,發現半年前另外一場被家長輕忽的嗆咳,才是如今一連串事件的原兇。(圖/翻攝微博)

日前,中國廣州一名6歲男童樂樂(化名)在吃飯時意外嗆咳,誰知一咳就咳個不停,甚至加重到「咳出血痰」,讓家長嚇壞送醫。而醫師在檢查後,發現半年前另外一場被家長輕忽的嗆咳,才是如今一連串事件的原兇。(圖/翻攝微博)

日前,中國廣州一名6歲男童樂樂(化名)在吃飯時意外嗆咳,誰知一咳就咳個不停,甚至加重到「咳出血痰」,讓家長嚇壞送醫。而醫師在檢查後,竟從樂樂肺部中取出一張半年前誤吞的草莓味糖果包裝紙!原來,發生在半年前的一場不起眼意外嗆咳,才是如今一連串事件的原兇。

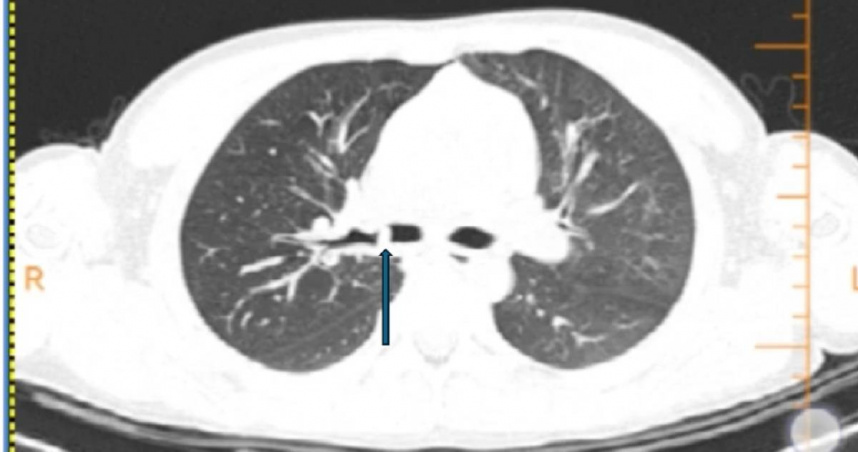
據陸媒《極目新聞》報導,近日樂樂在吃豬腳時突然發生嗆咳,當時咳得滿臉通紅,但未咳出異物。隨後數天,樂樂的咳嗽不僅愈發加劇,甚至出現血痰及呼吸困難現象。家長帶他到當地醫院檢查,CT顯示樂樂右主支氣管有可疑陰影,且右肺出現肺氣腫,病情複雜,家長隨即轉送至廣州醫科大學附屬婦女兒童醫療中心急診科。

呼吸科醫師楊迪元詳細審閱CT後,發現樂樂肺部的陰影位置異常,懷疑並非典型異物。在追問病史時,家長才回憶起半年前樂樂曾因誤吞糖果包裝紙嗆咳,當時症狀劇烈但自行緩解,因此未就醫檢查。

之後,該院呼吸科團隊使用電子支氣管鏡深入檢查,發現樂樂右主支氣管內充滿膿性分泌物,肉芽組織已經堵塞右上葉支氣管開口,更深處還有一尖銳異物卡在右中間支氣管,表面覆蓋黃綠色分泌物。後經醫師小心清理分泌物,最終取出樂樂肺裡的異物,發現竟是一張長約3.5公分的草莓味糖果包裝紙。

異物移除後,樂樂呼吸立即順暢,當晚安穩入睡,未再咳血,僅需後續治療肺部感染。

對此,廣州醫科大學附屬婦女兒童醫療中心呼吸科專家強調,任何嗆咳病史都應視為「最高級別警報」。即使孩子當時看似沒事,也必須就醫排查異物,並詳細告知醫師嗆咳經過,這往往是救命關鍵。氣道異物可能被肉芽包裹,長期潛伏,引發反覆肺炎、咳血、肺不張,甚至窒息等嚴重後果。

中國 廣州 幼童 咳嗽 血痰 肺氣腫 異物