跳至主要內容區塊
生活
健康

「肺結節」是早期癌症警訊?名醫舉2病例:每年篩檢是關鍵

肺結節 肺腺癌 假性結節 低劑量電腦斷層 劉博仁
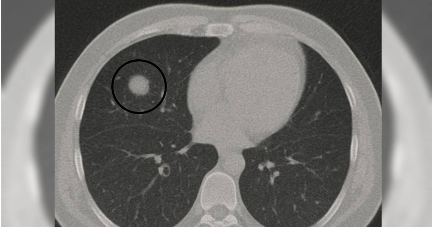
劉博仁醫師指出,部分肺結節可能只是暫時性的發炎反應,但也可能是早期癌症的警訊。(圖/翻攝自Facebook/劉博仁營養功能醫學專家)

劉博仁醫師指出,部分肺結節可能只是暫時性的發炎反應,但也可能是早期癌症的警訊。(圖/翻攝自Facebook/劉博仁營養功能醫學專家)

「肺結節」是早期癌症的警訊?營養功能醫學專家劉博仁分享2個病例解釋,1位因發炎造成的假性結節而免於開刀,另一位則及早發現第一期肺腺癌並成功切除。他提醒大眾,肺結節可能是暫時發炎也可能是癌症警訊,低劑量電腦斷層是重要篩檢工具,並強調飲食、生活習慣與及早追蹤,對維護肺部健康的重要性。

營養功能學名醫劉博仁今(2日)在臉書粉專發文分享2個真實病例,提醒大眾面對肺部結節時應保持警覺,但也不要過度恐慌。首先,第一位病患在醫院進行低劑量電腦斷層(LDCT)檢查時,發現肺部有一個1.2公分的不規則結節。

對此,劉博仁醫師強烈建議立即開刀,但病患猶豫不決,最後選擇先以功能醫學調理並密切追蹤。4個月後再檢查,結節縮小到僅剩0.3公分,最終確認只是因感染造成的假性結節,幸運地避免了不必要的肺部手術。

另一位病患則是女性,右上肺發現0.9公分的毛玻璃樣結節。起初半年間形狀沒有變化,但隨後逐漸長大。劉博仁醫師強烈建議手術,病理結果證實為第一期肺腺癌。由於及早發現與處理,成功切除且沒有擴散,病患因此保住了健康。

劉博仁醫師指出,這2個截然不同的結果提醒人們,部分肺結節可能只是暫時性的發炎反應,但也可能是早期癌症的警訊。

近年來肺腺癌在華人女性族群中逐漸增加,即使從未吸菸者也可能罹病。他指出原因包括空氣污染(特別是 PM2.5)、二手菸與廚房油煙暴露、基因體質差異(華人女性帶有EGFR基因突變比例較高)、以及慢性發炎反應等。

劉博仁醫師強調,LDCT是目前最有效的早期肺癌篩檢工具,能夠發現小於1公分的結節,遠優於傳統胸部X光。醫師會根據國際Fleischner指南與臨床經驗來判斷是否需要手術,若結節大於8毫米且形狀不規則、毛玻璃樣結節持續增大、出現明顯實性成分,或病患屬於高危險族群,就應積極處理,以免錯過治療時機。

在日常生活中,雖然無法百分之百預防肺癌,但劉博仁醫師強調,仍可透過習慣與飲食來降低風險,包括避免菸害與二手菸、保持廚房通風、使用空氣清淨機降低PM2.5;飲食上則建議多攝取十字花科蔬菜、番茄、莓果、深海魚類與堅果,並適度補充維生素D、N-乙醯半胱氨酸(NAC)、薑黃素等營養素。保持良好作息、充足睡眠、規律運動與壓力管理,也有助於提升免疫力與肺部健康。

他提醒,肺結節不等於肺癌,但也不能掉以輕心。尤其是50歲以上、有吸菸史或家族史的人,每年應進行一次LDCT篩檢。並且要理性判斷,並非所有結節都需要馬上手術,但若出現「增大、變實心、形狀不規則」等變化,就應果斷處理。同時,他也鼓勵大家積極從飲食與生活方式著手,主動守護肺部健康。

肺結節 肺腺癌 假性結節 低劑量電腦斷層 劉博仁