排尿問題
」 攝護腺肥大 頻尿 排尿
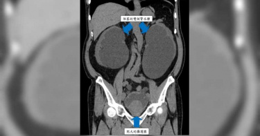
每晚夜尿8至10次睡不著!7旬翁竟是「3病纏身」 醫示警用藥恐釀一後果
年紀漸長後,不少男性會出現夜間頻繁起床如廁的困擾,但若夜尿次數明顯增加、甚至影響睡眠,可能不只是單一原因造成。根據顧家醫療總院長顧芳瑜醫師分享,一名7旬老翁近來每晚起床上廁所多達8至10次,幾乎無法好好入睡,就醫後才發現是多種泌尿問題同時夾擊。顧芳瑜指出,該名老翁本身有反覆尿滯留病史,過去常因排尿問題到急診導尿。這次門診以「排尿日誌」進一步分析後,確認老翁同時有攝護腺肥大、夜間多尿症與膀胱過動症。其攝護腺體積達80克,約為一般正常20克的4倍;另外,夜間總排尿量也超過全天總量的三分之一,符合夜間多尿症表現。醫師說明,夜間多尿症可能與夜間神經退化有關,導致腦下垂體分泌的抗利尿激素ADH不足,使夜間尿液難以濃縮、尿量增加;再加上攝護腺肥大造成排尿阻力,膀胱必須更用力收縮才能排尿,長期下來容易演變成膀胱過動症,出現強烈尿意、頻繁跑廁所的情況。由於三種問題交疊,治療也更棘手。顧芳瑜表示,若直接針對膀胱過動症使用抑制膀胱收縮的藥物,可能讓膀胱功能已嚴重受損的患者「更尿不出來」;若僅補充ADH改善夜尿,也難以處理其他時間的頻尿。因此目前只能採分階段治療,先以手術改善攝護腺肥大,再接續處理膀胱過動與夜尿問題。顧芳瑜提醒,攝護腺肥大常見警訊包括尿流變細、排尿需更用力或仍覺得排不乾淨;夜間多尿症則是睡眠中夜尿次數超過2次就應留意;膀胱過動症則多為排尿尚算順暢,但尿意來得急、難以憋住。若出現相關狀況,應盡早就醫檢查,避免膀胱失去彈性後,收縮功能更難恢復。
水喝越多越好? 腎臟醫揭10大迷思:不注意恐傷腎
水是維持人體生命最重要的元素之一,佔人體重量約50%至70%。然而喝水這件看似簡單的日常行為,若方式不當,恐怕反而傷害腎臟健康。腎臟科醫師洪永祥近日於臉書發文,揭露「十大錯誤喝水習慣傷腎排行榜」,提醒民眾警惕,喝水方式錯誤恐對腎臟造成長期不可逆的負擔。洪永祥指出,腎臟就像人體的過濾器,仰賴充足且適量的水分來維持濾過功能。然而許多人長期以錯誤方式喝水,卻毫無自覺,甚至認為喝越多越健康,「救腎不能靠猛灌水,而是要喝對水、喝得剛剛好。」以下是洪永祥列出的十大錯誤喝水習慣與正確建議:第十名:運動後猛灌白開水運動、大量出汗或腹瀉後急速灌水,容易引發「低鈉血症」,導致噁心、頭痛、甚至昏迷。建議:補水同時應補充電解質,如低糖運動飲料或加少許鹽的白開水。第九名:用湯或飲料代替水長期飲用含糖飲料、濃湯等取代白開水,會增加腎臟負擔、提升代謝症候群風險。建議:以白開水為主,飲料攝取應少於每日總液體的10%。第八名:晚餐後或睡前大量喝水晚間猛喝水易夜間頻尿、影響睡眠,進而影響腎功能。建議:晚餐後水量控制在每日總量的20%以內,睡前三小時勿喝超過150ml。第七名:天冷或在冷氣房內忘記喝水低溫環境降低口渴感,容易水分不足,使血液濃稠、腎臟負荷加劇。建議:即使不口渴,每兩小時仍應補水一次。第六名:因頻尿問題不敢喝水老年人常因尿失禁或攝護腺肥大等問題減少飲水,反使腎功能加速惡化。建議:應積極處理排尿問題,切勿因頻尿而自限水分攝取。第五名:起床第一杯水太晚喝清晨人體最缺水,若延遲補水易導致血液濃縮,增加心腦血管與腎臟風險。建議:起床前先在床上喝下約250ml溫開水,有助身體穩定運作。第四名:迷信瓶裝水、鹼性水等瓶裝水可能含過多電解質或塑化劑,對腎功能不佳者風險更高。建議:自來水經濾淨與煮沸即是最安全、健康的選擇。第三名:必須限水卻仍大量喝水若患有腎衰竭、心衰竭等需限水情形卻仍大量喝水,恐導致肺水腫甚至危及生命。建議:每日水量應依「昨日尿量+500至700ml」為準。第二名:誤認喝越多越好每日過量飲水(如超過4000ml)會導致腎絲球過度過濾,長期恐致硬化與腎衰。建議:以體重的3%至4%為基準(60kg者約1800至2400ml)。第一名:從小喝水量過少最常見的腎臟傷害習慣,是從小喝水太少卻不自知,長期可能導致腎絲球功能老化。建議:建議每日紀錄喝水量,白天至少喝水8次,平均分配而非一次大量飲水。洪永祥最後呼籲,錯誤喝水不僅可能讓身體慢性缺水,更會讓腎臟日積月累承受無形壓力,「喝水不只是口渴才喝,而是要養成規律、正確的喝水習慣,才能真正護腎保健康。」
穿生殖器環10多年!男排尿「雙股噴射」後悔了 醫搖頭:比攝護腺肥大慘
愛美之心不分性別,有人甚至會在特定部位給予裝飾物,達到「加分」目的。然而,一名年輕時曾在生殖器穿PA環(Prince Albert,穿過尿道口跟尿道下方的裝飾物)的男子,後來隨著年紀漸長,加上結婚後配戴PA環頻率降低,竟開始出現排尿問題,讓他悔不當初,每次就醫看診時都直呼「真的是年少輕狂」。時常在臉書粉絲專頁分享衛教知識的泌尿科醫師呂謹亨指出,該名40多歲男患者在20幾歲,由於一時好奇而在友人慫恿下穿PA環,當時男子還覺得「這樣比較像真男人」。然而,隨著年紀漸長,結婚後,他不再想常戴PA環,但因為此前配戴已久,穿刺的部組織就像耳洞一樣沒辦法自行癒合。另一方面,加上男子年紀漸長,尿流不像以往快速,也不像以前只會往前流,而若急著上廁所時忘了調整PA環的位置,就會導致尿液「雙股噴射」,一股往前、一股90度往下,常常噴濕自己的皮鞋,還沒衰老就「放尿滴到鞋」,情況比攝護腺肥大的患者還嚴重,只好改成坐姿如廁,而他每次前往呂謹亨的診間治療時就說,「真的是年少輕狂,我勸年輕人們要多想想,不要以後再來後悔。」呂謹亨表示,這種在生殖器穿環的行為,會形成一種人為的「尿道下裂」症狀。而在泌尿科診間,一些天生尿道下裂患者,修補組織的手術是難度很高的技術,因為傷口常常不容易癒合而需要多次手術,對於醫師與患者都是煎熬與挑戰。所幸男子經手術將PA環內的通道皮膚切除後,再精密縫合,順利修補組織,讓他相當感激。然而,呂謹亨直言,「看到所謂的尿道穿環,我真的覺得,怎麼會沒事找事做,好好的身體,搞成這樣?」男性生殖器穿環可分為PA環及Apadravya環,其中PA環於1970年代在北美與英國的地下性文化圈開始流行,常見於同志、BDSM與身體改造社群,現代的Apadravya環是一種垂直貫穿龜頭、從尿道穿刺上方穿出龜頭頂部的穿環,常與PA環結合成「Magic Cross」。針對生殖器穿環潛在風險與醫學觀點,呂謹亨提到,首先是感染與發炎,尤其尿道周邊穿環,如未妥善清潔,容易引發尿道炎、蜂窩性組織炎;其次是排尿異常,可能導致尿線分岔、側漏、須坐姿排尿,其中Apadravya環可能影響尿道完整性,需特別注意穿刺深度與癒合狀況。再者為性行為風險,雖然有些伴侶覺得刺激感提升,但也可能造成對方陰道或肛門黏膜撕裂,特別是Apadravya環,增加性傳染病傳播機率,特別是若伴侶有微小傷口;最後為瘢痕、尿道瘻或結構變形,長期配戴者可能出現尿道結構改變,或金屬與組織不相容造成排斥反應。呂謹亨也提醒,穿環是一種自我表達,也是一種身體承諾,「如果你選擇PA環或Apadravya環,請確保你也準備好面對它的後果與可能的變化。」
七旬翁長期頻尿不敢出門! 「1微創手術」有效改善找回生活品質
76歲宋姓男患者長期受下泌尿道症狀困擾,頻尿、夜尿導致睡眠品質下降,嚴重影響日常生活。就醫經泌尿科醫師診斷,其因攝護腺增生合併膀胱結石導致排尿問題,評估後建議進行微創攝護腺水蒸氣消融手術,手術門診或是住院都可以,僅需面罩舒眠麻醉,無需氣管內管式全身麻醉,整個治療過程約 10-15 分鐘。術後患者恢復良好,術後約3週即感受到顯著改善,夜尿次數減少,排尿順暢,生活品質大幅提升。良性攝護腺增生 常見頻尿、夜尿等症狀童綜合醫院泌尿科林益聖主任指出,良性攝護腺增生(BPH)是中老年男性常見的泌尿問題,隨著年齡增長,攝護腺組織增生導致尿道受壓迫,引起頻尿、夜尿、排尿困難、尿流細弱等症狀,嚴重影響生活品質。微創攝護腺水蒸氣消融手術 保留勃起與射精功能傳統治療方式包括藥物控制及手術刮除,藥物控制多需長期服用且效果有限,而傳統手術則可能影響性功能並伴隨較長的恢復期。而「微創攝護腺水蒸氣消融手術」是利用高溫水蒸氣(約 103°C)的局部熱能注入攝護腺增生組織,使其逐漸被人體吸收,約1-3個月從而減少攝護腺組織的體積達到消融的效果,改善排尿症狀;但術後短期內可能會有輕微血尿或排尿不適,多數患者在 3-6 週內症狀明顯改善。相較於傳統經尿道前列腺切除術(TURP)來說,出血風險極低,並且能有效保留勃起與射精功能,特別適合不想長期吃藥、但又希望擺脫排尿困擾的患者。有下泌尿道症狀 應盡快就醫治療林益聖主任呼籲,男性攝護腺增生肥大雖然是常見的老化現象,但若影響生活品質,應及早尋求專業醫療評估,膀胱的健康應及早介入治療,不要等到膀胱完全無力氣尿不出來。呼籲長期有下泌尿道症狀的患者,盡早諮詢泌尿科醫師,選擇適合病況與自身需求的治療方式。【延伸閱讀】攝護腺癌治療選擇需考量「這些」 海福刀助患者快速回歸工作崗健保延長新一代口服荷爾蒙治療年限!高風險轉移性攝護腺癌患者治療更有保障https://www.healthnews.com.tw/readnews.php?id=64526
地震後家中貓狗驚嚇過度!恐造成憂鬱症 出現「4情況」盡快就醫
住在16樓高樓層的小型犬「太郎」,原本生性活潑,平時經常跟在主人身邊。自403花蓮大地震後,太郎開始經常躲在被窩裡不肯出來,4月中一場4級大地震讓高樓層搖晃非常劇烈,造成太郎慌張奔逃時不慎將小櫃子撞倒,導致腿部壓傷,飼主黃小姐立即將太郎送往動物醫院。毛孩驚嚇過度 造成憂鬱、心理創傷獸醫師林煜淳發現,太郎除了身體傷口,還出現相當明顯的憂鬱症狀,包括食慾不振、與人互動的頻率大幅降低,甚至經常躲在角落裡顫抖,顯見地震對太郎心理造成創傷。所幸在醫院積極治療下,太郎的腿傷已逐步痊癒,針對憂鬱症的部分,也教導飼主黃小姐,下班後有空就陪太郎玩最喜歡的丟球遊戲,吸引他走出角落,以耐心陪玩改善地震帶來的心理壓力。貓咪比狗更敏感 出現4大症狀快就醫地震過後,飼主若發現毛孩出現個性異常,應多加留意。以貓咪來說,先天個性比狗更加敏感,對地震驚嚇反應較為強烈,心裡累積壓力容易造成下列症狀,應立即求診,以免錯失黃金治療時間。1.排尿問題:頻繁進出貓砂、尿不出來2.皮膚問題:異常舔毛、大範圍脫毛3.口腔問題:食慾不振、牙齦紅腫4.嚴重疾病:厭食、發燒、體重下降、腹瀉、眼睛紅腫流淚、鼻塞打噴嚏等,亦有可能是因壓力而誘發皰疹病毒、傳染性腹膜炎等。此外,失明、失聰、年長或患老年癡呆症的毛孩,飼主需特別留意居住環境擺設動線,避免地震時物品掉下,造成二次傷害。神經敏感的狗,如博美、蝴蝶犬,可能在地震後變得更敏感,飼主需多關心情緒,多加陪伴。震後多觀察寵物舉動 平時這樣做有助紓壓由於寵物無法直接表達自身感受,飼主難以及時察覺其健康狀況,往往等到心理壓力影響到生理時才發現問題。林煜淳提醒,地震後建議飼主應多觀察陪伴容易緊張的寵物,減輕精神壓力。如果懷疑是身體機能影響,建議進行檢查。此外,平時可注意寵物營養,避免因身體內部機能造成的憂鬱症。
攝護腺肥大7症狀一次看!醫建議3階段治療 多吃8食物改善頻尿
頻尿、尿不乾淨、沒有廁所不敢出門,男性常見的泌尿問題總令人羞於啟齒。醫師表示,男人50歲後攝護腺都會越來越大,只是每個人變大的速度不一樣,50歲約50%,80歲的男性約有9成有攝護腺肥大,除了造成排尿問題,夜尿、頻尿,如果拖太久,甚至會造成腎臟功能退化和性功能障礙,建議透過3階段改善。泌尿科醫師呂謹亨透露,攝護腺肥大造成的解尿問題約有7種,分別是頻尿(白天超過8次,或小於一小時尿一次)、急尿 (憋不住的感覺)、夜尿(1晚上起來上廁所超過2次)、尿柱慢或無力、小便斷斷續續、需用力才尿得出來、有殘尿感,尿不乾淨。醫師說明,想改善攝護腺肥大主要可分為3階段,分別是飲食及生活作息調整、藥物治療及手術治療;首先,良好的飲食及作息對於保養攝護腺很重要,若要減少頻尿,可養成定時排尿的習慣,例如每2小時上一次廁所,讓膀胱排空,但也不需要過度強迫,造成膀胱過動的問題,夜尿較嚴重的病人,睡前應減少攝取水分、咖啡與酒類的攝取。呂謹亨建議,可以補充如茄紅素(番茄、西瓜)、南瓜籽、鋅 (牡蠣、堅果類)、硒(十字花科的蔬菜,像是花椰菜、青花菜)、含有多酚的綠茶等食物和營養品,同時避免高鹽高油及紅肉類的飲食,皆可有效改善攝護腺肥大問題;藥物治療方面,目前可改善排尿效果的藥物有5大類,分別是甲型受體阻斷劑、5α還原酶抑制劑、抗膽鹼藥物、beta3促進劑、PDE5抑制劑。醫師指出,若藥物治療效果不好或不想長期吃藥,就要靠手術方式治療攝護腺肥大;傳統手術是用電刀或雷射刮除,目前最新的治療方式是「攝護腺水蒸氣消融術」或「攝護腺拉提術」,手術時間約10至30分鐘,不用住院且幾乎不出血,最主要的是不影響性功能,可避免傳統手術的尿失禁、血尿及逆行性射精等併發症。
俄烏戰爭宛如「1戰」恐怖場景 前線士兵:「鼠患肆虐」連貓都寡不敵眾
俄烏戰爭至今即將屆滿2年,前線已陷入僵持不下的壕溝戰,導致第一次世界大戰中老鼠橫行的恐怖場景再次重演,由鼠患傳播的疾病也引發士兵嘔吐或眼角流血等症狀,削弱其作戰能力。據CNN的報導,一名烏克蘭女軍人回憶起去年(2023年)秋天在扎波羅熱(Zaporizhzhia)南部地區作戰時,她所屬的營地遭受「老鼠流行病」肆虐的可怕景象,「想像一下,夜晚睡覺時,有一隻老鼠爬進你的褲子或毛衣裡,啃食你的指尖或手臂。整個晚上可以睡到2至3個小時,就算幸運了。」她估計每4名士兵駐守的地堡內,大約就有1000隻老鼠。「老鼠並非刻意侵擾我們,我們才是不速之客。」報導指出,鼠患蔓延肇因於季節的交替,這期間剛好遇到老鼠的交配週期。此外,很大程度上也是因為烏克蘭的反攻遭到戒備森嚴的俄羅斯防禦工事擊退,使戰事陷入膠著,宛如一戰在法國前線的壕溝戰。在俄烏戰爭的第2個寒冬中,老鼠們沿著1000公里的前線到處覓食,並在尋找食物和棲息地的同時傳播疾病。俄烏戰爭鼠患肆虐。(圖/達志/美聯社)烏克蘭女軍人感嘆,他們想盡辦法試圖消滅地堡裡的老鼠,包括噴灑老鼠藥、氨水,甚至向上天祈禱,就連戰場附近村落的商家也囤積了大量滅鼠產品,試圖大發戰爭財,但鼠患問題依舊難解,因此他們嘗試了其他方法,「我們養了1隻名叫布西亞的貓,起初她也協助捕捉和消滅老鼠,但老鼠實在太多了,1隻貓可以抓1、2隻老鼠,但如果有70隻,這個方法就不現實了。數量上實在寡不敵眾。」如今,不管是烏克蘭還是俄羅斯士兵,他們最大的敵人都是老鼠,交戰雙方在社群媒體上分享的影片也揭示了戰場鼠患肆虐的嚴重程度。老鼠神出鬼沒,牠們在床底下、背包裡、發電機內、 外套口袋及枕頭套裡亂竄。其中一張照片還顯示,老鼠們從俄羅斯的迫擊砲塔中湧出。俄烏戰爭鼠患肆虐。(圖/達志/美聯社)烏克蘭國防部情報總局(HUR MO)去年(2023年)12月曾報告稱,哈爾科夫地區庫皮揚斯克(Kupiansk)週邊的許多俄羅斯部隊都爆發了所謂的「病毒性鼠熱」,該疾病的傳播是透過「吸入老鼠糞便的粉塵或食用沾到老鼠糞便的食物」。HUR MO指出,「病毒性鼠熱」大大降低了俄羅斯士兵的作戰能力。不過基輔當局並未承認烏克蘭軍隊也受到類似影響。對此,CNN無法獨立核實上述說法,但根據烏克蘭軍方的描述,該疾病的可怕症狀包括發燒、皮疹、低血壓、眼角出血、嘔吐,而且由於它會影響腎臟,因此患者更有可能出現嚴重的背痛和排尿問題。而且老鼠不僅會讓士兵難以入睡或染病,還會破壞軍事和電氣等設備。烏克蘭士兵回憶,牠們會設法爬進任何金屬盒子並咬斷電線,從而擾亂通訊,「老鼠啃咬一切:收音機、中繼器(Repeater)、電線,牠們還會鑽進汽車裡,啃咬油箱、車輪或電線,讓汽車無法行駛。光是地堡的鼠患就造成我們100萬烏克蘭赫里夫尼亞(約合新台幣83.5萬元)的損失。」針對外界擔心俄羅斯在烏克蘭的戰爭將會重蹈第一次世界大戰的覆轍,烏克蘭武裝部隊總司令扎盧日內(Valerii Zaluzhnyi)去年底曾向英國《經濟學人》表示:「這就如同第一次世界大戰,我們的軍事技術水平已讓雙方徹底陷入僵局。」
又窮又病又憂鬱! 醫警告台男3大「夜尿症」盲點危害
【健康醫療網/記者鄭宜芬報導】最新調查顯示,高達9成40歲以上台灣男性有睡眠問題,中斷睡眠主因為夜間排尿(54%),但竟有8成男性不以為意。台灣泌尿科醫學會秘書長許毓昭表示,不少國際研究證實,夜間排尿造成的睡眠中斷,不僅會衝擊白天精神與工作績效,還可能衍伸如憂鬱症、勃起功能障礙、糖尿病及心血管疾病等,甚至增加死亡風險與造成經濟損失。提醒民眾一晚出現至少2次以上的強烈尿意而中斷睡眠,應及早就醫檢查。知識盲區一:凡事無三不成禮? 醫:夜尿1晚2次即警訊!近6成民眾認為入睡後起床排尿3次以上才算夜尿症;但根據國際尿失禁防治協會定義,一晚出現至少2次以上的強烈尿意而中斷睡眠,即是「夜尿症」。尿失禁防治協會理事長廖俊厚表示,許多人認為「3」才是多的象徵,事實上醫界對夜尿症的標準更為嚴苛,提醒民眾千萬別輕忽。知識盲區二:都是攝護腺惹的禍? 醫:賀爾蒙分泌不足才是主因!夜尿症有許多成因,其中近9成屬於夜間尿量大於整天尿量1/3的「夜間多尿」(Nocturnal polyuria)。廖俊厚分享,臨床觀察夜間多尿最大宗的原因來自老化後腦下垂體功能異常,使賀爾蒙—抗利尿激素(ADH)分泌不足,容易在人體睡覺時引發夜間尿量太多的問題。然調查卻點出仍有3成認為是攝護腺肥大所導致,正確選填「賀爾蒙分泌不足」者僅3%。知識盲區三:夜尿不打緊免就醫? 醫:夜尿症的睡眠障礙,恐成多種慢病病根廖俊厚警告,長期睡眠中斷與睡眠品質不佳恐衍生許多健康問題。國外研究顯示,每晚睡眠時間若少於6小時,慢病風險可能大增30%;另一份日本研究也指出,長期睡眠不足罹患心血管疾病風險較一般人高3倍。夜尿影響睡眠品質會導致一連串健康危機,但自評有夜尿困擾的男性中,高達65%並未尋求任何就醫管道;其中近4成從發現有夜尿問題到實際求診至少間隔超過1年。國際研究揭夜尿頻 將招致又窮又病又憂鬱3大危機國人對夜尿症病不僅充滿迷思,許毓昭補充,臨床有許多患者都是等到嚴重影響日常生活才就醫。夜尿導致的睡眠障礙已存在民眾生活中,且不少國際文獻更證實與數種中年危機有關:夜尿危機1:憂鬱纏身研究顯示,有夜尿症的男性出現憂鬱症狀的風險是無夜尿症患者的3倍,且每晚起床如廁5次以上的夜尿症患者,患憂鬱症的風險更暴增至6.5倍。廖俊厚提醒,原先就因邁入中年、背負家庭重擔而倍感壓力的中年男性,可能因為夜尿問題讓憂鬱情況雪上加霜。夜尿危機2:多病短命睡不好為百病之源,國外研究統計,夜尿症會增加近6成的住院風險,且夜尿的嚴重程度與死亡風險有高度正相關,男性夜尿症患者因睡眠障礙導致的壽命減損,可能高達近5年之多。夜尿危機3:職場失利夜尿睡不好不僅衝擊身心健康受衝擊,也衝擊個人職場表現。研究指出,夜尿造成遲到、早退、缺勤等各種工作時數損失近10%,更會導致近4成工作生產力耗損,讓國家勞動力支柱搖搖欲墜。許毓昭引用國際研究說明,夜尿症導致的醫療費和住院費用,除增加患者的個人經濟負擔,美英西德日澳6國因夜尿症所損失的工作效率成本逼近800億美金。▲台灣尿失禁防治協會與台灣泌尿科醫學會共同呼籲台灣民眾關注夜尿症,遠離中年健康危機。檢測口訣「夜尿23醫」 ByeBye中年危機為方便民眾快速發現夜間排尿問題,學協會共推「夜尿23醫,ByeBye中年危機」口訣,簡易檢查排尿狀況:2:一出現至少2次以上的強烈尿意,且已中斷睡眠需起床如廁3:夜間尿量大於整天尿量的1/3醫:務必盡速前往泌尿科就「醫」,現已有口服賀爾蒙藥物可緩解夜間多尿問題為提升中年男性對夜尿症的正確認知,台灣尿失禁防治協會與台灣泌尿科醫學會攜手知名插畫家「八耐舜子」,推出首款結合藝術與金融的夜尿症衛教NFT。台灣泌尿科醫學會理事長馮思中表示,期盼透過藝術提醒民眾留意夜尿疾病的徵狀,勿因小失大。另外,民眾也可透過夜問AI智能聊天室,搜尋全台超過300家泌尿專科醫療院所資訊,方便又隱密獲得正確衛教資訊,一秒找到離自己最近的就醫管道。 參考資料[1] 40歲以上民眾睡眠中斷原因與排尿狀況認知調查報告(2023.05.04-2023.05.14)[2] Miller, P. S., Hill, H., & Andersson, F. L. (2016). Nocturia work productivity and activity impairment compared with other common chronic diseases. Pharmacoeconomics, 34, 1277-1297.[3] Breyer, B. N., Shindel, A. W., Erickson, B. A., Blaschko, S. D., Steers, W. D., & Rosen, R. C. (2013). The association of depression, anxiety and nocturia: a systematic review. The Journal of urology, 190(3), 953-957.[4] Cho, J. W., & Duffy, J. F. (2019). Sleep, sleep disorders, and sexual dysfunction. The world journal of men's health, 37(3), 261-275.[5] Nilsson, P. M., Rööst, M., Engström, G., Hedblad, B., & Berglund, G. (2004). Incidence of diabetes in middle-aged men is related to sleep disturbances. Diabetes care, 27(10), 2464-2469.[6] Liu, Y., & Tanaka, H. (2002). Overtime work, insufficient sleep, and risk of non-fatal acute myocardial infarction in Japanese men. Occupational and Environmental Medicine, 59(7), 447-451.[7] Moon, S., Kim, Y. J., Chung, H. S., Yu, J. M., Park, I. I., Park, S. G., ... & Cho, S. T. (2022). The relationship between nocturia and mortality: data from the national health and nutrition examination survey. International Neurourology Journal, 26(2), 144.[8] Von Ruesten, A., Weikert, C., Fietze, I., & Boeing, H. (2012). Association of sleep duration with chronic diseases in the European Prospective Investigation into Cancer and Nutrition (EPIC)-Potsdam study. PloS one, 7(1), e30972.[9] Cheng, W., Fan, Y. H., Liou, Y. J., & Hsu, Y. T. (2021). The predictive factors of nocturia in young Asian adult males: an online survey. Scientific Reports, 11(1), 16218.[10] Jhaveri, J., Gauthier-Loiselle, M., Gagnon-Sanschagrin, P., & Wu, E. Q. (2019). The economic burden of nocturia on the US health care system and society: A national health and nutrition examination survey analysis. Journal of Managed Care & Specialty Pharmacy, 25(12), 1398-1408.[11] Li, H., & Qian, F. (2023). LOW-RISK SLEEP PATTERNS, MORTALITY, AND LIFE EXPECTANCY AT AGE 30 YEARS: A PROSPECTIVE STUDY OF 172 321 US ADULTS. Journal of the American College of Cardiology, 81(8_Supplement), 1675-1675.[12] Miller, P. S., Hill, H., & Andersson, F. L. (2016). Nocturia work productivity and activity impairment compared with other common chronic diseases. Pharmacoeconomics, 34, 1277-1297.[13] RAND Europe Nocturia Survey 2019. https://www.rand.org/randeurope/research/projects/nocturia-effects-on-health-and-productivity.html.
排尿問題只有頻尿?醫師解答還有另外3種須注意
排尿是每天不可或缺的生理現象,泌尿科醫師戴定恩表示,排尿時不只是痛或頻尿才有問題,出現4種情形,代表身體正出現異常狀況,若出現任何狀況都應該盡速就醫。戴定恩在臉書上分享排尿的異常狀況,若出現頻尿、尿失禁、尿滴漏、尿液過少,這4種現象,都是排尿異常,而泌尿醫師戴定恩在臉書上一一解釋:第1種為頻尿,指的是一天中頻繁排尿,而每次排放量可能很少,很有可能是因為膀胱的過度活躍、尿道的感染、尿道狹窄等其他膀胱出現的問題所導致的。第2種為尿失禁,指無法控制尿液的排出,可能抱括「努力性尿失禁」,像是運動過程中、打噴嚏或咳嗽時尿液排出;也可能是「緊迫性尿失禁」,像是無法忍受尿液給膀胱的壓力,因膀胱較為敏感所以無法認受強烈的尿液;也可能是「混和性尿失禁」,由多種原因引起的,比如肌無力、膀胱過度活躍、神經損傷等所引起的尿失禁。第3種為尿滴漏,指在排尿的前後出現地下尿液的情況,可能因尿道梗阻、前列腺問題、尿道狹窄或是膀胱的肌肉無力所導致的。尿滴漏的情況,會引起患者的不適感與尷尬,可能需要使用到護理產品來保持私密部位的乾爽。第4種為尿液過少,每天排尿次數約為4至8次,每次尿量約為200至400毫升。如果尿液量明顯減少,可能是由於脫水、腎臟問題、尿道阻塞或使用某些藥物所導致的。尿液過少可能是一個警示身體異常的信號,需要儘早就醫。
黃子佼自爆「包尿布+插導尿管」留後遺症 泌尿醫分析原因
藝人黃子佼於6月19日上傳3段影片坦承性騷擾等相關指控,更猛爆13名藝人的料,事後他因酒醉情緒不穩揮刀自殘,如今已出院並沉寂1個月的他,也在昨晚(19日)發出2萬字長字,內容提及自己一直到第9天才能說話,且一度「包尿布、插導尿管」,後續還有頻尿和無法排尿的情況。對此,林口長庚醫院泌尿科系副系主任陳煜也指出,一般來說大手術才會需要插導尿管,但通常開完刀2、3天就會拔掉,至於頻尿和尿不出的問題,可能是因為「滿溢性尿失禁」。黃子佼19日在重啟的臉書上發出2萬字長字,透露事發就醫當天,自己有被縫合傷口的疼痛給間歇痛醒,接著耳邊響起救護車警笛聲,到了傍晚才真正醒來,並提到「在醫院,我身上插了很多不知道是什麼器材的管線,讓本來就全身無力的我更加動彈不得。事後太太跟我形容許多畫面,例如眾人幫忙排尿。」貼文還透露,事發第9天,他才有能力和好友緩緩說話,也是到第12天,他才終於沒有頻尿、及坐在馬桶上卻不易排尿的狀況,「應該是穿尿布、插導尿管後,遺留在身體記憶的後遺症。」對此,林口長庚醫院泌尿科系副系主任陳煜受訪時則解釋,以黃子佼50歲的年紀來看,應該不是攝護腺肥大引起的排尿問題,所應應該是手術插導尿管引起的,但通常只有切肝、切腎、切肺等大手術,時間比較長,需要監控尿量,才會需要插比較久的導尿管。通常手術前解尿很好的話,開完刀第2天導尿管就會拔掉了,因為導尿管放久會引發尿道感染,甚至是尿道狹窄。陳煜續稱,至於黃子佼提到穿尿布、插導尿管的後遺症,他則認為手術後就拿掉導尿管,理論上不會有,但若放超過1星期,就要看為什麼放這麼久,這很難得出結論。除非是外傷造成尿道受傷,尿管可能就要放很久,標準要放到1個月,但這是特殊情況。至於同時發生頻尿和不易排尿的情況,陳煜則認為可能是「滿溢性尿失禁」,患者通常會感覺整個膀胱脹脹的,可能也需要放尿管或導尿,但這個成因有很多,黃子佼的狀況很難下定論。◎若自身或旁人遭受身體精神虐待、性騷擾、性侵害,請打110報案再打113找社工。◎勇敢求救並非弱者,您的痛苦有人願意傾聽,請撥打1995。
攝護腺肥大恐危害生命! 國外泌尿醫學會推「1治療」效果顯著
84歲楊老先生過去無特別慢性病史,可最近家人注意到他下肢水腫越來越明顯、體重一直增加,甚至呼吸開始變喘,因此緊急將他送醫治療。在急診抽血時發現,有急性腎衰竭合併貧血的狀況,胸部X光則顯示肺部明顯積水,已接近需要緊急透析的程度,因此立刻安排住院治療。進一步電腦斷層發現,楊老先生膀胱異常腫脹,且有嚴重攝護腺肥大,造成雙側腎臟積水,緊急放置尿管導尿後,更從膀胱引流出超過1,000cc的血尿!攝護腺雷射剜除手術 解決排尿問題安全性高安南醫院泌尿科醫師董聖雍提及,雖然暫時引流出大量尿液,但由於嚴重的血尿,使得尿管反覆阻塞,造成引流狀況不佳,腎功能自然遲遲無法恢復。因此,在放置尿管保守治療後,仍無法獲得良好效果的狀況,考量到楊老先生年紀大、身體虛弱,且因血尿造成貧血、腎功能不佳及電解質不平衡,與家屬討論後,決定採用安全性較高的攝護腺雷射剜除手術。所幸,手術後血尿狀況大幅改善,尿管也在住院期間移除並順利排尿,後續門診追蹤時,腎功能恢復良好且腎臟積水完全消失。藥物治療效果不佳 應考慮手術介入治療董聖雍醫師說明,良性攝護腺肥大是個慢性疾病,針對輕度症狀的患者,往往使用藥物就有不錯的效果,但需配合醫師指示長期服藥控制;若藥物治療效果不佳,或是發生尿液滯留、反覆泌尿道感染、膀胱結石,進而造成腎功能退化、阻塞性腎水腫,或是不想長期服用藥物時,就可以考慮積極進行手術介入治療。雷射剜除手術備受美國及歐洲推薦 改善幅度最大、恢復速度最快董聖雍醫師指出,攝護腺肥大手術方式為透過內視鏡,經由尿道將阻塞其中的肥大攝護腺組織,用電刀或雷射等能量進行切割後取出,整個過程不會在體表造成傷口,是目前最常用的手術方式;而雷射相較於傳統電刀手術的優點,包括出血量少、併發症少、恢復時間短,對於攝護腺體積較大、年紀大、身體狀況不佳的患者尤為適合。其中最新的「 」,是目前美國及歐洲兩大泌尿科醫學會臨床推薦的方式,對患者的排尿症狀改善幅度最大、排尿流速度增加最多,恢復速度也最快。不同於以往雷射使用汽化等方式處理,剜除手術是將攝護腺組織與外膜完整分離後,再利用絞碎器取出,因此效率更高且止血效果更佳,更能徹底根除所有增生攝護腺組織。攝護腺肥大初期症狀不明顯 有排尿問題應盡快就醫攝護腺肥大雖然是中老年男性常見問題,但不可因常見而輕忽,董聖雍醫師強調,其初期容易沒有顯著症狀,卻隨著疾病進展影響到排尿功能,或造成泌尿道感染,嚴重可能使腎功能損傷或導致性命危險,建議若有排尿等攝護腺相關問題,應儘速至泌尿科就醫,以求早期發現、及早治療。
50歲以上男性要注意 攝護腺疾病早發現早就醫
一名年約55歲的王伯伯,他近日發現自己開始有頻尿、小便變細甚至是解尿困難的症狀,晚上睡覺時也因為急尿感要起床2到3次,影響到睡眠的品質。白天上班時因為解小便解不乾淨,需常跑廁所,造成工作上的困擾。同事看到他的狀況,建議他去看泌尿科門診。經診斷後,發現是因為攝護腺肥大引起的排尿障礙,經過服藥後,症狀己大幅改善。攝護腺肥大引排尿問題 50歲以上男性最常見臺北醫學大學新國民醫院泌尿科董劭偉醫師指出,其實攝護腺肥大引起的排尿症狀,對於超過50歲以上的男性是個惱人的問題。根據美國的統計指出,排尿障礙是年長男性前三大就診的原因,而亞洲的男性常輕忽了這些症狀,到了尿不出來或腎臟功能受到影響時才去就診,常只能接受手術的治療,而錯失可以用單純服藥控制的時間。造成泌尿道症狀原因多 指診+抽血揪出癌風險董劭偉醫師指出,有許多原因可能造成泌尿道的症狀,如結石、神經或內科方面疾病的影響。如果排除掉這些問題,病患到了門診時,一般會安排基本的檢查包括指診、尿液檢查及抽血檢查攝護腺指數。指診除了能初步評估攝護腺的大小及是否有摸到腫塊,配合抽血檢驗攝護腺指數,可以偵測出是否有攝護腺癌的風險。治療攝護腺肥大用藥有2種 需經醫師專業評估目前治療攝護腺肥大的藥物主要有二種,一種是甲型交感神經阻斷劑,另一種是5-甲型還原酶抑制劑,各有其優缺點。甲型交感神經阻斷劑可以幫助攝護腺放鬆,好處在於作用效果快,通常服藥一週後就會有明顯的改善,壞處是可能有降低血壓的風險,造成頭暈的現象,另外它並無法讓攝護腺縮小,所以如果過大的攝護腺或是服藥後經過一段時間,可能效果就不會那麼顯著;至於5-甲型還原酶抑制劑的作用在於減少男性荷爾蒙在攝護腺的作用,可以讓攝護腺縮小,缺點在於服藥後六個月攝護腺大小才會有明顯的變化,另外可能影響到性功能。所以該使用何類藥物或合併一起使用需由泌尿科醫師針對個人的情況來做評估。此外,如果服藥一段時間後,藥物的效果變差,或有反覆泌尿道感染或尿滯留等併發症,經過重新檢查評估後,就可能需使用手術的方式治療。攝護腺問題影響大 定期檢查是不二法門雖然大部份解尿的症狀並沒有立即性的風險,但是董劭偉醫師提醒,攝護腺問題可能造成男性生活睡眠品質及工作上的影響,如果放置不理,更有可能造成尿滯留及腎功能損傷。所以50歲以上的男性,如果有泌尿道的症狀,建議每一年定期檢查攝護腺指數及門診評估,以期達到早期發現及治療,改善長期的生活品質。
尿出一身病2/男性「坐著尿」更健康 犯2錯誤年輕也會「內褲濕答答」
走進男廁,眼前首見的是一排站立式小便斗,後方才是坐式馬桶區,傳統印象中,男性大多選擇站著尿尿,除了方便快速,或許還有顯示雄風的心理因素,不過,專家指出,其實坐著尿不只更乾淨,對身體健康也更有好處。此外,雖然年長男性較易有排尿問題,但若是生活作息不佳、壓力過大,就算是年輕男性也會有「漏尿」問題,尿騷味纏身非常尷尬。日本生活用品業者「獅王LION」曾針對1500名20至60歲的男性做「小便姿勢」的調查,結果發現有超過6成的男性是坐著小便,而且5成是從「站著尿」改成「坐著尿」,轉變的理由主要是「尿漬易弄髒環境」。「獅王LION」同時指出,若以男性每天小便7次來算,若是站著尿,無論瞄準的是馬桶中央或內壁,「水花四濺」的情況都一樣嚴重,估算大約會有2300滴尿飛散,不只造成惡臭,也可能引發金黃色葡萄球菌感染,因此近年來愈來愈多男性開始坐著小便。其實,坐著小便不只比較乾淨,研究顯示也會讓身體更健康。中山醫學大學附設醫院泌尿科主治醫師楊旻鑫說,「如果是一個身體健康的男性,採取哪種尿尿姿勢都沒有關係,但如果年齡超過50歲以上,坐著尿尿會更好,因為可以尿的更乾淨。」關鍵就在於體力,楊旻鑫說,站立尿姿的好處是速度快,但站立時兩腳需要支撐體重,括約肌無法好好放鬆,甚至肚子還需出力才能排尿,無法好好完成解尿,容易殘留尿液在膀胱內,長期就會衍生膀胱過動等疾病。加州大學泌尿外科系教授傑西·米爾斯博士(Dr Jesse N. Mills)指出,對於那些難以長時間站立的男性來說,坐著小便是一個更好的選擇,能夠更多地使用腹部肌肉,把最後幾滴尿排出來,徹底排空膀胱內的尿液。若是已有排尿困難的問題,楊旻鑫建議坐在馬桶上時,腳下還可以踩凳子讓膝蓋高於肚臍,可讓括約肌更放鬆、小便解得更順利,不會殘存尿液。男性若有攝護腺肥大的問題,也會有解尿困難的相關症狀,例如尿不乾淨、或是內褲沾到餘尿等。(示意圖/非當事人,報系資料庫)另外,隨著年齡增長,男性也會逐漸出現攝護腺肥大的問題,更容易在解尿完一陣子後,才又漏出些許尿液。楊旻鑫說,「這就是台語俗稱的『閃尿尾』,意思就是最後會尿一些在內褲上,導致整個人散發一股尿騷味,門診時我們會教患者解尿後,再按壓會陰部擠出殘餘尿液,就能避免這樣的情形。」別以為只有老人家才有這狀況,楊旻鑫透露,門診時也遇過年輕男性有「閃尿尾」的狀況,推測可能是生活作息不佳、壓力大,造成括約肌無法放鬆,所以才導致這種尷尬的結果,建議要調整生活步調,避免括約肌過度緊繃,就能逐漸恢復健康。
每次尿尿耗時3分鐘以上 男子輕忽竟爆發嚴重腎水腫
沈先生平日尿尿速度慢,上廁所常要站個3~5分鐘,但卻不以為意,覺得站久一點也沒關係。近日發現尿量減少至醫院抽血發現腎功能竟然已惡化到逼近洗腎邊緣。趕緊安排電腦斷層檢驗發現兩邊嚴重腎臟水腫,巨大的攝護腺阻塞膀胱造成尿液無法排出。接受尿管置入引流尿液後,因肥大攝護腺血管增生造成嚴重血尿,血尿形成血塊阻塞尿管,膀胱脹痛、苦不堪言。所幸接受緊急綠光雷射攝護腺手術,術後恢復迅速。北市聯合醫院忠孝院區泌尿科主治醫師陳嘉宏分享上述臨床案例,同時表示攝護腺肥大是男性老化常見疾病,常見症狀包括小便速度慢、尿不乾淨、需用力尿尿、尿尿斷斷續續,還有頻尿、急尿、夜尿,甚至來不及去廁所就漏尿,或是夜尿影響睡眠,病患較容易察覺異常會積極到醫療院所就診。但是小便速度慢或用力解尿,常會被病人忽略,一直到了尿不出來或是腎臟功能惡化才發現,通常這時候攝護腺肥大狀況已經非常嚴重,造成無法挽回的腎臟或膀胱功能受損。陳嘉宏說明,目前攝護腺藥物治療無效後,主流手術方法為內視鏡攝護腺刮除手術,使用內視鏡經由尿道,將阻塞於膀胱出口的攝護腺組織刮除,恢復排尿順暢。目前使用綠光雷射進行肥大攝護腺移除,手術中出血少,恢復快,尿管放置時間較短。他形容,用綠光雷射進行攝護腺手術就像火烤保麗龍,肥大攝護腺會接被氣化,幾乎不出血,大幅減低手術出血與危險性,是目前高齡化病人一個良好選擇。陳嘉宏進一步提醒,除了攝護腺肥大外,攝護腺癌也是男性10大癌症之一,初期幾乎無症狀,僅有與攝護腺肥大類似排尿症狀,因此有排尿問題建議至泌尿科診治,進一步進行抽血分析癌症指數高低,以免延誤就醫時機。泌尿道是人體重要水分排除的器官,如同一個城市的下水道,阻塞的泌尿道會讓人體城市汙穢不堪,把阻塞病變的攝護腺疏通才能長保人體健康。
好心幫輪椅男排尿變「射精」 男子怒告猥褻
一名台北已婚的林姓男子,因為行動不便坐輪椅,請好心路人幫忙推他進捷運站的無障礙廁所,林男自稱患有攝護腺疾病,需要人協助甩動陰莖、抓住睪丸才能排尿,好心路人誤信他的說法配合,想不到林男卻勃起射精讓好心路人傻眼,事後提告。經士林地院審理,判定林男涉犯強制猥褻罪,處6個月徒刑,可易科罰金。根據判決書指出,好心男子指稱,林男在捷運北門站要求推他進入無障礙廁所,緊接著說攝護腺有問題,要幫他抓著並甩動陰莖,當時覺得整隻手握住有點噁心,所以用手指夾住,甩動約3至5分鐘,林男排出的液體卻像精液一樣黏稠。他表示如廁不便,幫忙甩動排尿、陰莖通血很正常,後來覺得不對勁,詢問醫師朋友才發現遭利用,於是決定提告。法官調查林男平常就醫時並無因排尿問題而就診,林男僅需他人協助,站在馬桶前或坐在馬桶上,即可自行排尿,根本無需甩動生殖器,因此認定他有猥褻的意思,判他6個月徒刑,易科罰金18萬元。