易喘
」 長新冠 胸悶 易喘 心臟 氣喘
新冠疫苗搶打潮再現!醫提醒「恐引發心臟副作用」:她打完胸悶會喘2年了
國內新冠肺炎疫情升溫!疾管署昨(3日)公布最新數據,表示上周新冠門急診飆逾6.2萬人,預估將於6月底、7月初達高峰期,隨著疫情持續延燒,再度掀起一波疫苗搶打潮,不過就有醫師提醒,不少民眾打完mRNA疫苗後出現不適症狀,甚至胸悶、易喘。胸腔科醫師蘇一峰今(4日)在臉書發文表示,近日有蠻多病人反映,打完mRNA疫苗後不舒服,還有一名40歲女病患在接種後出現心臟相關問題,「打完胸悶會喘2年了。」蘇一峰透露,目前美國政府已要求RNA疫苗必須加註「可能引發心臟副作用」的警語,並提醒小兒須謹慎評估施打,同時美國也終止對疫苗的研究補助,強調此番言論並非是反疫苗,「身為醫師是告訴民眾所有疫苗的好壞真相,讓民眾決定要不要打疫苗。」至於AZ疫苗則是會形成血栓,引發中風血管阻塞,目前已被下架不再繼續使用了。貼文曝光後,網友也紛紛留言分享親身經歷,「我自己是第3劑後容易誘發蕁麻疹,以前從未有這個困擾」、「打完莫三次變慢性荀麻疹,每天吃過敏藥」、「打完疫苗感覺身體出了很多狀況」、「我身邊也有一個嚴重副作用,打完從此變一個人,精神整個變很差」、「我打完莫德納也是心臟不適。」
「這8種人」易得慢性腎臟病! 醫曝護腎守則
腎臟是人體的重要器官,負責過濾血液中的廢物,維持水分與電解質平衡,調節血壓並促進造血。然而,腎臟常常被許多人忽視,直到病變發生,才意識到它的重要性。慢性腎臟病 8大高危險族群臺北市立聯合醫院林森中醫昆明院區家庭醫學科主治醫師陳怡廷說,台灣的慢性腎臟病盛行率逐年攀升,但是只有約一成的病人知道自己腎臟有問題。以下是慢性腎臟病的八大高危險族群:1. 糖尿病患者:糖尿病是慢性腎臟病的主要成因之一,長期高血糖會損害腎臟的過濾功能,進而引發腎病及心血管疾病。特別是亞洲糖尿病患者,腎病惡化速度較快。建議將糖化血色素(HbA1c)控制在7%以下,降低病變風險。2. 高血壓患者:高血壓會直接損害腎臟血管,應將血壓控制在130/80 mmHg以下,以減少腎功能惡化的風險。3. 痛風患者:高濃度尿酸會沉積於腎臟組織,增加腎臟病、心血管疾病及尿路結石的風險。建議補充足夠水分並控制尿酸數值。4. 六十五歲以上長者:隨著年齡增長,腎臟功能逐漸退化,須正視多重用藥與泌尿道感染等相關問題。5. 長期服用止痛藥者:非類固醇消炎止痛藥可能對腎臟造成傷害,應避免濫用藥物,並在醫師指導下使用。6. 有家族病史者:如多囊性腎病變、遺傳性腎炎等家族病史者,須定期檢查腎功能。7. 吸菸者:吸菸會增加腎臟病變風險,且會使病情進一步惡化。戒菸可顯著改善腎臟與心血管健康。8. 代謝症候群患者:肥胖是代謝症候群的重要指標,會增加慢性腎臟病發生的風險。減重可改善蛋白尿,及延緩腎臟病變。識別腎臟異常 牢記「5口角」可知道陳怡廷建議,可藉由「泡、水、高、貧、倦」口訣幫助識別腎臟異常:1. 泡(泡泡尿):腎絲球的過濾功能損傷,形成持久、不易消散的泡泡尿。2. 水(水腫):腎臟無法有效排出多餘水分,導致下肢或眼皮水腫。3. 高(高血壓):體液平衡與內分泌失調,易發生高血壓,並加重腎損傷。4. 貧(貧血):紅血球生成的作用受損,導致貧血、臉色蒼白、易喘。5. 倦(疲倦):電解質不平衡與毒素累積,使人感到倦怠無力、疲憊。早期篩檢莫輕忽 日常這樣做保護腎健康陳怡廷指出,腎臟病初期通常無明顯症狀,等到出現疲倦、水腫、食慾不振等表現時,通常已是病情中晚期,因此早期篩檢至關重要。護腎的原則包含生活方式、飲食調整與正確用藥:1. 三多三少多喝水、多運動、多蔬果少鹽、少油、少糖2. 五控三避管理:血壓、血脂、血糖、尿蛋白、尿酸避免:抽菸、過度疲勞、傷腎的藥物及檢查3. 五不原則不聽別人推薦的藥不信神奇療效的藥不吃別人送的藥不買來路不明的藥不要推薦藥給別人【延伸閱讀】糖尿病出現蛋白尿當心是腎病變! 中西醫合併治療遠離「沉默殺手」近5成洗腎病人因「這1病」所致! 醫呼籲:定期篩檢、追蹤是關鍵https://www.healthnews.com.tw/readnews.php?id=64372
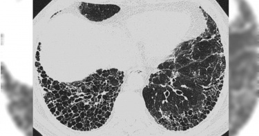
不是染流感!16歲少女照X光「驚見大白肺」 醫揪元凶:是它
流感疫情持續升溫,疾病管制署昨(11日)公布最新統計,國內上周類流感門急診病例數飆破18萬人,創下近10年同期新高紀錄,顯見流感正處於流行高峰期,不過最近一名16歲少女因發燒、胸悶、易喘就醫,但醫生卻找不到病因,怎料X光一照竟驚見,少女已變「大白肺」,害病兇手原來是「它」。台北醫院兒科過敏氣喘免疫科主任王怡人分享診間案例,表示一名16歲少女日前因久咳、胸悶、易喘、輕微胸痛及不明原因發燒前來就醫,但進行了各種過敏原測試,仍遲遲找不到病因。直到該患者感染黴漿菌住院後,醫師一照X光,發現少女的肺部竟是一片白,肺部已經纖維化,一問之下才得知,原來她平時有「偷抽電子煙」的習慣,王怡人指出,該名少女因長期吸食電子煙,不僅呼吸道反覆被破壞,就連肺部也出現損傷,若是加上過敏原暴露或病毒、細菌感染,將加劇發炎反應,甚至掀起兇猛的「免疫風暴」,就算是年輕人病況也會嚴重惡化。對此,國民健康署署長吳昭軍昨(11日)也示警,國外研究顯示,吸菸者感染流感的風險,比起不吸菸者「高出5倍」,除了住院機率提升1.5倍外,因流感進入加護病房的機率,更是不吸菸者的2.2倍,呼籲民眾應施打疫苗、做好防疫,同時透過「戒菸」才能降低重症風險。
胸悶易喘恐是心臟瓣膜生病! 主動脈瓣狹窄如何治療?
一位85歲長者平日規律運動,但心絞痛與呼吸喘的狀況逐漸變嚴重,照心臟超音波竟發現「主動脈瓣膜狹窄」,且合併冠狀動脈狹窄,若不治療恐有生命危險!林口長庚心臟瓣膜團隊由內、外科醫師合作為患者進行經導管瓣膜置換(TAVI)與心導管手術,一次就將兩種狀況處理好,讓患者能重新上場揮舞球拍!雖然導管瓣膜動輒上百萬,但健保可有條件給付等4+1種特定風險族群,大幅減少經濟負擔。心臟大門無法正常打開 3大警訊要當心主動脈瓣膜是位於左心室和主動脈之間的「門」,通常由3片瓣膜組成,是控制血流方向的重要關卡。林口長庚紀念醫院外科部副部長葉集孝表示,主動脈瓣膜狹窄有如門片無法正常打開,心臟需要更費力才能把血液輸出去,常見原因為老化,好發於70-80歲以上的民眾;另一原因是先天異常,患者僅有2個瓣葉,較一般人少1個,50-60歲就會發生早發性主動脈瓣膜狹窄狀況。提醒民眾,若出現「走路易喘」、「頭暈目眩」、「胸悶胸痛」3個警訊,恐危及生命,應積極治療。國際標準治療方針 外科開胸長期效果佳針對治療主動脈瓣膜狹窄,林口長庚紀念醫院心臟血管外科副主任陳紹緯說明,3大治療方式包括藥物治療、外科開胸手術與經導管療法。開胸手術經證實有效且可提供穩定的長期效果。手術方式是切除老舊主動脈瓣膜,縫合新的人工瓣膜。雖然須裝人工心肺機、暫時停止心臟功能實施手術,但手術視野廣,適合年輕或伴隨多種心臟問題(如血管阻塞、冠狀動脈狹窄或二尖瓣問題等)的患者,一次打通心臟門戶。 藥物治療:幫助緩解不適症狀。 標準開胸手術:適合伴隨多種心臟問題的患者,穩定耐用。 經導管瓣膜置換:適合高齡或高風險族群,微創恢復快。至於人工瓣膜要如何挑選呢?陳紹緯表示,金屬瓣膜耐用度高,牛、豬製成的生物瓣膜產生血栓機會較低,因此不用吃抗凝血劑,患者可依個人需求選擇。長者高風險怎麼辦? 經導管微創傷口小不過,主動脈瓣膜狹窄患者多為70-80歲以上的年長者,而且常合併其他疾病,進行開胸手術需要暫時停止心臟,對於年長者負擔較大。好在另一種「經導管療法」,由內外科醫師共同合作,為高齡患者克服了治療風險。林口長庚紀念醫院心臟衰竭中心主任張其任解說,經導管療法最大的特色是不需要插管麻醉,從靜脈注射麻醉藥物即可進行。傷口小不用縫合,只要簡單止血即可完成,恢復時間非常的快速,不少患者即使是90歲高齡,中午治療、下午就可以正常進食,2、3天後就可以下床自由活動。經導管療法流程:從病患的鼠蹊部做股動脈穿刺,植入導引鞘管,將帶有人工瓣膜的導管引入血管內。從股動脈一路沿著主動脈,進到退化瓣膜所在的位置。經由影像定位,把瓣膜擴張,退化的瓣膜推在外側,新的瓣膜取代舊瓣膜。4+1條件健保給付! 團隊擬定治療策略然而,經導管置換瓣膜動輒上百萬,讓許多患者與家屬卻步。林口長庚紀念醫院心臟血管內科系主任謝宜璋表示,目前健保可給付4+1條件置換瓣膜: 4點必要條件:心衰竭症狀達到2~4級嚴重主動脈瓣膜狹窄至少2位心臟外科醫師判定進行開胸手術風險過高病人有1年以上的術後存活率另具備以下條件之一:無法接受開刀手術或開刀風險性過高有以下情形之一者:曾接受心臟手術,如冠狀動脈繞道手術,心臟瓣膜手術,嚴重主動脈鈣化,胸腔燒灼後遺症,曾接受過縱膈腔放射治療,嚴重結構組織疾病,導致不能進行手術,肝硬化及肺功能不全者。符合以上規定者,即可申請健保之給付。國人平均壽命延長,共病多、病情複雜,手術風險也提高。謝宜璋表示,對於高齡患者,侵入性低的治療為優先考量。每位患者病情不盡相同,心臟內外科醫師會在手術前召開聯合會議,擬定對患者最適合的治療方法,手術也會由內外科醫師一起執行,確保患者的安全。長庚醫院的團隊合作模式越來越成熟,期許未來為國人提供更好的醫療服務,持續提升台灣的醫療水準,跟世界接軌。
aespa成員WINTER動手術!又痛又喘 氣胸治療、照護可以這樣做
23歲的韓國女團aespa成員WINTER(金旼炡)近期因氣胸住院進行手術,引起外界關心。氣胸是指空氣進入肋膜腔內而造成肺部擴張不良,可能造成器官破裂或胸壁破洞。花蓮慈濟醫院胸腔外科主治醫師鍾秉儒表示,輕微者觀察並給予氧氣治療即可;嚴重者則建議進行氣管引流術治療或胸腔鏡手術,目前微創手術採用最細的5毫米胸腔鏡,用不插管的方式麻醉,傷口僅1.5至2公分,術後約2至3天即可出院。WINTER術後恢復 巡演回歸不受影響根據韓媒《tenasia》報道,Winter11日在首爾的醫院進行了氣胸手術,而在手術前夕,她還完成了預定的日本行程,出演了日本人氣音樂節目《Venue 101》。經紀公司SM娛樂表示:「Winter最近接受氣胸手術,正在恢復中。因爲是容易復發的疾病,所以根據醫療團隊的意見,經過充分的討論後做出了決定。今後的日程將把 Winter的恢復狀態放在首位。」接下來aespa預計5月帶著新作品回歸,並從6月開始舉行世界巡演會「2024 aespa LIVE TOUR – SYNK : PARALLEL LINE -」,8月的台灣場也是巡演名單之一,因此外界也關心WINTER能否參與相關行程。報導指出,氣胸手術後通常需要住院2、3天,距離完全恢復還需要1、2個月。雖然Winter的健康恢復程度仍需觀察,但應不會影響Winter參與aespa的回歸活動及世界巡演行程。又痛又喘 原發性自發性氣胸4大原因所謂氣胸,是指因為外傷或自開性等其他原因導致空氣進入肋膜腔內而造成肺部擴張不良的一種情況。空氣進入肋膜腔的管道,包括肺泡、支氣管、氣管、食道破裂或胸壁的破洞等等。氣胸依照發生的原因,可分為「創傷性氣胸」及「自發性氣胸」二種。鍾秉儒推估,以金旼炡的情況來觀察,應該為原發性自發性氣胸,常見4大原因如下:年輕人原本就有不正常的肺大泡,一般以高瘦男性居多。抽煙造成肺部發炎反應,導致氣胸。特定職業容易發生自發性氣胸,例如潛水員、跳傘從業人員、舉重選手,由於需要憋氣,腹腔壓力增加、胸腔壓力改變巨大,就可能造成氣胸。有家族基因者,肺部組織較為脆弱,容易造成氣胸。氣胸治療兩大方向患者病情輕者無明顯症狀,照X光氣胸範圍無超過1/3,只要觀察並給予氧氣治療即可;嚴重則會感到單側胸痛、呼吸易喘,建議採取進一步處理,包括氣管引流術治療與手術。氣管引流術治療放置導管,使膜腔內空氣排出,即可緩解氣胸。胸腔鏡手術氣胸首次發作就嚴重之患者,建議採取胸腔鏡手術,將復發率降到5%以下;例如經常搭乘飛機、潛水、攀爬高山者,環境壓力會導致氣胸情況較嚴重,形成張力型氣胸,恐影響心臟等內臟活動,危險度較高;還有高風險職業如機組人員、空姐等,萬一執行勤務中氣胸發作,也比較危險,建議首次發生氣胸就應採取手術治療,可大幅降低復發風險。另外,復發者或是進行引流治療時若持續漏氣,引流管沒辦法拔掉,放置久了可能會感染慢性疼痛為主,這些患者也建議接受手術。鍾秉儒進一步解說,新型胸腔鏡微創手術採用最細的5毫米胸腔鏡,傷口僅1.5至2公分,用不插管的方式麻醉。不過,不插管麻醉,手術時需在喉頭放置較粗的氣管內管置入,多少會傷害聲帶,對於靠聲音工作的職業稍微有一些影響。微創手術恢復快,術後約2至3天即可出院,主要取決於病人漏氣的恢復情況。另外若病人有醫療保險或經濟狀況許可,也可使用組織修補片,大幅降低漏氣的情況。醫師提醒,病人術後可多下床活動,促進肺部擴張、將殘餘空氣排乾淨,可盡早移除管路出院。出院後1個月內,應避免激烈運動、攀爬高山或搭乘飛機,以免肺部尚未修復好又漏氣復發,只要遵循上述原則都可正常生活。最後要注意的是,病人接受手術後,仍有3至5%復發率,病人需要有警覺性,萬一有突發性單側(或對側)胸痛和易喘的情況,應盡早就醫治療。
嚴重氣喘用藥沒改善!婦拒絕回診惡化 靠長效生物製劑擺脫險境
一位5旬婦人長年苦於氣喘,使用傳統吸入型類固醇(ICS)仍咳個不停,調高吸入型類固醇劑量合併兩種支氣管擴張劑,療效仍不理想,且年紀大行動不便需兒女陪伴就醫,婦人備感灰心不願回診,竟引發急性惡化送急診!高雄市立小港醫院胸腔內科醫師鄭至宏為婦人申請健保給付長效型生物製劑,半年就使氣喘症狀獲 得 良好控制,終於拋開口服類固醇讓治療更方便,不再造成兒女負擔。 嚴重氣喘急性惡化 需送急診住院世界衞生組織(WHO)估計2019年世界有2.6億人罹患氣喘,台灣約11%成人,15%小孩有氣喘,會反覆咳嗽、胸悶、哮鳴音或呼吸困難。嚴重型氣喘約佔所有氣喘 患者3至10%左右,其中又以兩類佔多數,包括免疫球蛋白E(IgE)過高,例如動物毛髮等過敏物質刺激上呼吸道,造成上皮細胞發炎,產生後續的發炎反應; 另一類為嗜酸性白血球數目增多導致。氣喘惡化的特徵在於症狀加劇,如喘、咳、喘鳴、胸悶、夜間症狀等,以及肺功能下降,嚴重恐危及生命。 類固醇分兩大類 注意避免副作用鄭至宏醫師表示,氣喘治療方式採階梯式用藥,分為1階到5階,基本治療為吸入型類固醇,嚴重患者須使用中至高劑量吸入型類固醇合併兩種支氣管擴張劑,若仍控制不佳,建議加入其他藥物合併治療,甚至口服類固醇。 不少患者聽到「類固醇」都會擔心,事實上,類固醇應用於氣喘治療有兩大類, 一種為「吸入型類固醇」,主要作用在肺,不太會造成全身性副作用;另一種「口服/注射型類固醇」,通常用於急性惡化時控制症狀,雖可快速致效,但長期依賴可能造成月亮臉、水牛肩、肥胖、胃潰瘍、骨質疏鬆等副作用,甚至增加感染風險。 建議依個體情況規律用藥,平日控制好症狀,才能避免急性惡化發生。新型生物製劑 精準治療阻斷發炎近年多了生物製劑新選擇,針對致病機轉阻斷發炎,包括抗IgE、抗IL-5或抗 IL-5受體以及抗IL-4α受體。鄭至宏醫師進一步解說,無論是哪種生物製劑,目標都是 阻止氣道或肺部持續發炎,讓氣道不再繼續收縮,達到治療效果,並減緩急性惡 化,逐漸改善肺功能,讓患者可減少甚至停用口服類固醇,改善生活品質,臨床觀察皆有不錯的療效。患者是否適用生物製劑,抽血可檢驗相關生物標記,協助判斷嚴重氣喘的類型,並建議與醫師討論,選擇適合的治療方式。一位4旬女性護理師,長期胸悶、呼吸喘,體力也虛累累,原本尚不嚴重,確診新冠肺炎誘發氣喘急性惡化,奔急診就醫,抽血發現嗜酸性白血球上升,且數日後2度急性惡化!鄭至宏醫師評估病況後選擇生物製劑治療,患者治療半年後症 狀大幅好轉,不再急性惡化,免吃口服類固醇,還能找回好體力登山。別等到肺功能退化才治療!醫師最後提醒,使用吸入型類固醇最大的目的是避免 在急性惡化後或長期使用口服類固醇,只要記得用完後漱口,正確使用不太會有 全身性副作用;口服類固醇雖然快速有效,但長期依賴對病人健康是一大隱憂。 民眾若出現呼吸道症狀或持續一陣子未改善,甚至胸悶、易喘,建議及早至醫療 院所就診,才能維護健康。
司機日抽2、3包菸提神! 胸悶就醫竟是二次「血管阻塞」手術撿回一命
46歲廖姓司機,近年來每天工時長達10多小時,由於經常靠抽菸提神,最少每天都2-3包菸以上,導致半年前因胸悶、易喘症狀掛急診,檢查出多條血管嚴重阻塞,雖置放支架後解圍,但他還是難以戒菸,去年底再因血管全塞緊急就醫接受動脈繞道手術,經醫療團隊通力合作下總算撿回一命。首次血管阻塞「塗藥支架」解危 二次阻塞「動脈繞道」術救命主治醫師、亞洲大學附屬醫院週邊血管科主任張育晟指出,患者去年中第一次到院時,就查出左冠狀動脈及左前降支血管約有95%以上嚴重阻塞,有極高的猝死風險,當時即曾建議開刀治療,但患者頗為排斥,因此改置放塗藥支架暫時解圍,沒想到去年底患者第二次掛急診,檢查後赫然發現原本已經打通的血管「又塞住了」,由於擔心出現嚴重併發症,於是改由心臟外科團隊接手處理。亞洲大學附屬醫院心臟內科主任王宇澄指出,心血管疾病高風險群有逐年增加趨勢,主因多為三高患者加上缺乏規律運動、過重或肥胖以及吸菸、過量飲酒等問題,因而大幅增加心臟病與中風機率。冠狀動脈狹窄、阻塞 動脈繞道手術治療心臟外科主任劉殷佐表示,一旦冠狀動脈發生狹窄、阻塞症狀,心臟無法獲得足夠氧氣及養分,就是典型的「缺血性心臟病」或「冠狀動脈心臟病」,必須藉透過外科手術,接手後先從患者腿上的大隱靜脈或內乳動脈、手臂動脈等處取出一段血管,再從主動脈弓繞過阻塞的部位接到狹窄阻塞的冠狀動脈上,藉此增加心臟血流供應、改善心肌缺氧,進而改善心臟功能,順利解決患者心頭大患。60~90分鐘黃金治療期 緊急冠狀動脈氣球擴張術劉殷佐、張育晟也提醒,治療心肌梗塞的關鍵因素就是跟時間賽跑,院內緊急心肌梗塞治療團隊會把握患者到院60~90分鐘內,進行緊急冠狀動脈氣球擴張術,以達到搶救心肌梗塞的黃金治療時間,同時手術後也會安排心肺復健中心加強恢復心臟功能,盡快提升生活品質。
7旬嬤胸口常悶痛、呼吸喘!竟是心臟主動脈狹窄惹禍 「心臟手術置換」成功續命
71歲林姓婦人胸口常悶痛、呼吸易喘,原以為是年紀大氣衰體弱,診斷後才發現是主動脈狹窄,同時心臟血管也堵塞,症狀嚴重,在臨床上判斷只有3-5年存活率。主動脈狹窄 無症狀、死亡率高主動脈瓣是主動脈與心室之間的門,主動脈瓣因結構導致無法完全敞開時,會造成心臟血流無法順暢流動,滯留在心臟裡,就會對心臟造成額外的壓力,也影響全身的血液循環。初期可能無症狀,但主動脈瓣開口會隨年紀逐漸縮小,症狀加重,可能產生心絞痛、昏厥甚至猝死,不可輕忽。主動脈瓣膜置換術 手術難度高且複雜羅東博愛醫院心臟外科主任賴韋良表示,主動脈瓣膜置換術過程需要讓心臟暫時停止跳動,改成由機器體外循環維持全身血流暢通,由醫療團隊修剪原本的心臟瓣膜、放上新瓣膜再重新啟動心臟血流,帶動血液循環,手術過程難度高且複雜。團隊經6小時馬拉松手術後,成功為林婦置換人工瓣膜,並在加護病房密集觀察適應度,5天後確認林婦身體安全無虞,才轉回普通病房。冠狀動脈繞道手術 1次改善2心臟問題賴韋良醫師也提及,雖是為林婦進行主動脈瓣膜置換,但術前的心導管檢查中發現林婦血管堵塞,因此術中同步為林婦做冠狀動脈繞道手術,一次改善兩項心臟問題。術後,林婦反映有感心絞痛症狀不再,呼吸順暢許多,感覺重獲新生,可以重拾參加學校的志工活動,也能自在參加社區運動聚會。與醫療團隊積極評估 避免被疾病拖累羅東博愛醫院院長王文斌表示,臨床上高齡長者會對疾病的處理治療較為消極、害怕手術,但其實隨醫療資源普及與高齡化社會來到,老年人口健康程度普遍提升、人均壽命也逐年增加。發現疾病時若能與醫療團隊一同評估各種可能性,並在具備體力時積極治療、康復,便有機會能夠扭轉老後臥床、被疾病拖累的日子,迎接樂齡新生。
心肌梗塞出現年輕化趨勢 氣溫驟降要注意!避免猝死
急性心肌梗塞常讓人猝不及防,近年發生多起年輕名人因心血管出問題猝死,衛福部國健署還特別提醒,心血管疾病有年輕化趨勢,維持健康生活型態,才能愛護自己的心,尤其在忽冷忽熱的天氣中,更容易增加猝發風險,不可不慎。低溫又溫差大 心肌梗塞多驟升門諾醫院心臟血管內科陳翰興醫師說,低溫加上溫差大,容易造成血管劇烈收縮,導致血壓上升,若血管內不健康的斑塊裂解,可能就會誘發心血管疾病、心肌梗塞或中風發作的機會,因此為避免增加猝死風險,平時就要注意保暖並處於恆溫環境,以免溫差過大,使血管適應不及。若出現胸痛、上腹痛、呼吸喘或冒冷汗等症狀,務必盡速就醫。陳翰興醫師表示,由於飲食西化,年輕族群多半傾向精緻或高油脂食物,加上生活習慣不佳,容易有三高問題,導致心血管硬化、出現斑塊,若受到壓力、溫差劇烈變化,斑塊剝落恐會堵塞血管,呼籲平時養成健康飲食並適度運動,40歲後也要定期健檢,了解自己是否有三高等慢性病。避免冷熱交替 加速心臟負荷民眾天冷會選擇泡湯、或沖洗熱水澡暖身。陳翰興醫師建議,泡湯應避免「冷熱泉交替」,過度刺激心臟血管,水位也不要超過心臟,每次約泡10分鐘就要起身休息,水溫則不宜過高,有高血壓或心臟疾病患者,不建議泡湯,以足浴替代。民眾在家洗澡,則是避免浴室內外溫差過大,擦乾身體著裝後再走出浴室,降低血管因溫差波動的不正常收縮。陳翰興醫師呼籲,民眾若出現突發性胸悶、胸痛、心悸、心絞痛、喘不過氣或冒冷汗等心臟病症狀,以及嘴歪、流口水、半身無力等中風症狀,就應盡速就醫,把握黃金治療期;平時階段性出現胸悶、易喘、背痛、頭暈等症狀,也應警覺並就醫檢查找出病因,切勿症狀緩解而輕忽嚴重性,心血管疾病其實只要提早發現、積極治療,多半能穩定控制,預後狀況良好。
咳不停以為感冒!他染「這肺病」不到1年病逝 胸腔醫:「5類人」要小心
俗稱「菜瓜布肺」的肺纖維化若未即時就醫治療,5年存活時間竟比許多癌症還低!台灣胸腔暨重症加護醫學會理事長王鶴健也示警,肺纖維化的初期咳嗽症狀,很容易被當成小感冒而延誤就醫,因此呼籲民眾若有出現「咳、喘、累」3大症狀,且狀況持續8週以上,就應儘快到胸腔內科檢查。據《NOW健康》的報導,肺纖維化的發展過程會由肺底往肺尖方向移動、周邊往中心方向蔓延,「就像溫水煮青蛙一般」。王鶴健也分享親身案例指出,有名病患是企業高階主管,平時有咳、喘症狀,自認身體硬朗還能負荷,便不以為意。再加上當時沒有「聽診後背下肺葉」的完整檢查觀念,直到有次健檢才發現CA19-9指數偏高,誤以為是惡性腫瘤,轉診至胸腔內科才發現確診「特發性肺纖維化」,很快病情急速惡化,不到1年就病逝。王鶴健強調,「特發性肺纖維化」是不可逆的!病友容易因外部因素刺激導致肺功能急速下降,嚴重者走幾步路就覺得氣喘吁吁,甚至感到呼吸困難,由於疾病進展因人而異且變化多端,若未及早發現並適當治療,5年存活時間比許多癌症還低。王鶴健進一步解釋,目前「特發性肺纖維化」的成因尚不清楚,但50歲以上男性、有吸菸史、肺纖維化家族病史、長期胃食道逆流或是曾暴露於高粉塵環境工作者,都是高危險族群。尤其當肺部開始有纖維化的跡象,醫師在聽診後背下肺葉時,就會聽到有如魔鬼氈撕開的聲音。中華民國風濕病醫學會理事長鄭添財也強調,自體免疫疾病病友也是肺纖維化的高風險族群。自體免疫疾病病友因免疫系統錯亂,導致疾病敵我不分地攻擊器官,一旦侵犯到肺部就可能發生肺纖維化,若未及時治療將進展為「漸進性肺纖維化」。提醒病友對於呼吸道症狀或身體異狀千萬不可掉以輕心。鄭添財也強調,病友也要配合醫囑,若有症狀都要即時向醫師反應,切勿自我診斷,錯失黃金治療時機。對此專家也提供「護肺3招」,包括民眾若有「咳、喘、累」3大症狀務必提高警覺;高危險族群也應落實「聽診後背下肺葉」的完整檢查;自體免疫患者更是每3至6個月就要定期安排肺功能檢查。此外,慢性阻塞性肺病(COPD)也易遭大眾忽略,建議民眾若出現「濕咳、多痰、易喘」症狀且持續達3週以上,就請儘快就醫求診。
爬半層樓就喘不過氣恐為「肺動脈高壓」 醫揭「5症狀」應就醫:小心猝死
稍微快走就覺得喘可能不只是體力不佳?一名30歲女性光是走路就覺得喘,甚至趕不上火車,另一名56歲男性則是爬半層樓梯就要休息,變換姿勢更須吸氧才會舒適,後來兩人經過診斷後才知是「肺動脈高壓」。而這樣的病症近3年來死亡率就達4成,還比起心肌梗塞更加致命。博仁醫院副院長康志森在《健康2.0》分享,「肺動脈高壓」是由於血管管腔不正常增厚、增生,導致該處成為瓶頸,讓血液從心臟(右心室)輸送到肺臟時受到限制,使其無法進行氣體交換,讓人出現乾咳、咳血的問題。而也由於血液無法輸送到肺部,便會造成堆積、右心衰竭的狀況,最後變得肥大,影響生命。另外,林口長庚風濕過敏免疫科也提到,季節交替之際,免疫力可能大受影響,尤其小孩、銀髮族、慢性病者,容易因為感冒、呼吸道疾病,而有易喘、咳嗽的症狀。而如果發現行走能力變差、走不遠、容易喘或容易累,本身又有自體免疫疾病的問題,就要當心可能是「肺動脈高壓」的症狀。林口長庚風濕過敏免疫科指出,造成「肺動脈高壓」有很多種原因,其中免疫疾病所引起的發生率約在30%左右,而「肺動脈高壓」的主要5大症狀為:喘(走路、爬樓梯,甚至坐著也會喘)、慢性咳嗽、咳血、腳部水腫、因血液運輸不良而頭暈或暈厥,若發現有以上狀況,也務必要及早檢查治療。
菜瓜布肺比癌症致命? 確診急性惡化一年內身亡
你常忽略咳嗽、喘不過氣等肺部症狀嗎?近年國人對於「肺纖維化」這個名詞已不陌生,但初期症狀不明顯,容易與其他呼吸道疾病混淆,甚至誤當成小感冒而不以為意,導致延誤治療。台灣胸腔暨重症加護醫學會今年首度攜手社團法人中華民國風濕病醫學會,於919台灣肺纖維化日前夕9/17(日)在大安森林公園舉辦「肺常有意思 健走嘉年華」活動。呼籲國人應建立正確肺部健康觀念,留意「咳、喘、累」三大症狀外,也應定期檢測肺功能。比許多癌症更致命 醫授護肺三招俗稱「菜瓜布肺」的肺纖維化,成因非常多元,較為大眾所熟知的有發病原因不明的「特發性肺纖維化」。台灣胸腔暨重症加護醫學會理事長王鶴健醫師表示:「特發性肺纖維化不可逆,病友容易因外部因素刺激導致肺功能急速下降,嚴重者走幾步路就覺得氣喘吁吁,甚至感到呼吸困難,由於疾病進展因人而異且變化多端,若未及早發現並適當治療,五年存活時間比許多癌症還低。」社團法人中華民國風濕病醫學會理事長鄭添財醫師強調,自體免疫疾病病友也是肺纖維化的高風險族群,提醒病友對於呼吸道症狀或身體異狀千萬不可掉以輕心。為提高大眾對於肺部健康的警覺,健走日當天活動現場醫師更傳授護肺三招,教大家為自己的肺部健康把關!第一招:出現「咳喘累」可能是肺正發出求救訊號肺纖維化常見症狀為「咳、喘、累」,臨床觀察到,民眾往往都要咳到無法入睡,或是打擾到別人時才願意就醫諮詢,一旦確診為肺纖維化,此時肺功能早已嚴重下降,不僅要透過補充氧氣來維持日常活動外,嚴重者還需住院插管治療;此外,慢性阻塞性肺病(COPD)也是大家容易忽略的嚴重呼吸道疾病,民眾如出現「濕咳、多痰、易喘」症狀且持續達三周以上,也請儘快到胸腔內科尋求專業診療。▲「肺常有意思 健走嘉年華」齊走畫面第二招:高危險群應落實「聽診後背下肺葉」的完整檢查肺纖維化的發展過程是由肺底往肺尖方向移動、周邊往中心方向蔓延,「就像溫水煮青蛙一般!」王鶴健醫師分享曾收治一名企業高階主管,平時就有咳、喘症狀,自認身體還很硬朗仍能負荷這些小問題就不以為意,也沒有「聽診後背下肺葉」的完整檢查觀念,在一次健康檢查時發現CA19-9指數偏高,誤以為是惡性腫瘤,轉診至胸腔內科才發現肺部已嚴重纖維化,並確診特發性肺纖維化,很快地病情發生急性惡化,不到一年即病逝。目前特發性肺纖維化的成因尚不清楚,但50歲以上男性、有吸菸史、肺纖維化家族病史、長期胃食道逆流或是曾暴露於高粉塵環境工作者,都是罹患特發性肺纖維化的高危險族群。王鶴健醫師指出,當肺部開始有纖維化的跡象,醫師在聽診後背下肺葉時,就可聽到有如魔鬼氈撕開的聲音,若有出現「咳、喘、累」三大症狀且已經持續八週以上,儘快到胸腔內科檢查,當醫師懷疑是特發性肺纖維化者,則會進一步安排高解析度電腦斷層掃描以判斷是否確診與疾病侵犯的範圍。第三招:自體免疫疾病者 應定期肺功能檢查自體免疫疾病病友因免疫系統錯亂而導致敵我不分地攻擊全身器官,侵犯到肺部就可能發生肺纖維化。鄭添財醫師呼籲類風濕性關節炎、硬皮症、乾燥症、皮肌炎、多發性肌炎、紅斑性狼瘡等自體免疫疾病病友,無論是否出現「咳、喘、累」症狀,都建議在醫師的專業評估下,每3-6個月定期安排肺功能檢查,追蹤觀察是否有肺纖維化的狀況。鄭添財醫師也感嘆地提起過去曾有一名硬皮症病友,在類固醇等傳統藥物治療下,硬皮症狀得到控制,但肺部纖維化卻持續進展,肺功能如自由落體般的快速下降,隨著身體衰退、病情惡化,還來不及得到有效治療即抱憾離世。雖然肺纖維化無法根治,對肺功能的傷害亦不可逆,所幸近年已有抗肺纖維化藥物可協助病友改善症狀,恢復生活品質外,更能延緩肺功能下降程度,避免疾病持續惡化,鄭添財醫師強調,病友也要配合醫囑,若有症狀都要即時向醫師反應,切勿自我診斷,錯失黃金治療時機。
肺癌、肺炎、長新冠傻傻分不清 久咳不癒別輕忽!
根據衛福部統計,肺癌為2021年十大癌症死亡率第一位,肺癌更連續42年為癌症死因之首1。臺北榮民總醫院胸腔腫瘤科主任羅永鴻醫師表示,肺癌症狀與許多肺部疾病相似,建議民眾若咳嗽超過2週未痊癒,就應提高警覺就醫檢查,只要及早篩檢與治療,透過基因檢測或生物標記檢測及精準治療,有機會降低復發或死亡風險。出現肺癌5症狀 提高警覺盡速就醫肺癌每年死亡人數近1萬人,且為台灣「醫療支出最高、死亡率最高、晚期發現比例最高」的癌症,堪稱癌症「三冠王」。由於肺癌症狀與許多肺部疾病不易區分,導致6-7成患者確診時已是晚期。咳嗽有痰呼吸困難活動後易喘咳血6種高風險族群 早期發現早期治療目前國際實證,能夠早期發現肺癌的篩檢工具為低劑量胸部電腦斷層掃描(LDCT),重度吸菸者早期篩檢出肺癌,可降低20%死亡率。癮君子與吸二手菸者長時間接觸PM2.5等空氣汙染、工業廢氣、汽機車廢氣者有肺癌家族史者長時間接觸化學致癌物質與輻射線者有肺部慢性病者經常吸入油煙者術後標靶輔助治療 有機會降低復發或死亡風險肺癌主要分為「小細胞肺癌」與「非小細胞肺癌」,非小細胞肺癌占了約九成,又分成鱗狀上皮細胞癌、肺腺癌、大細胞癌等等。肺癌治療方式包括手術、化療、標靶、放療、免疫治療等,各期別的治療方式及預後不同。早期肺癌患者:若癌細胞無轉移,羅永鴻醫師建議優先以手術切除腫瘤,並可以化療作為輔助治療。但早期肺癌即使有化療輔助治療,仍有復發風險,建議利用基因檢測或生物標記檢測找出特定之腫瘤基因突變,術後給予有效的標靶藥物或免疫檢查點抑制劑的輔助治療,有機會進一步降低復發或死亡風險。晚期肺癌患者:通常不適合動手術,建議進行基因檢測找出突變基因,選擇適合的標靶藥物、免疫檢查點抑制劑(PD-1/PD-L1抑制劑)、或化學藥物治療。標靶治療的原理為抑制特定基因突變之癌細胞生長,避免殺死正常細胞,療效較化療更佳,副作用也較小,可減少噁心、嘔吐、掉髮、骨髓抑制、白血球下降等副作用,而且多數標靶藥物為口服,使用上較化療施打針劑更為方便。目前健保已有給付多項標靶藥物使用。為了打造有「肺」無患的人生,羅永鴻醫師呼籲,肺癌高風險族群應避免接觸危險因子,國健署也有推出肺癌早期偵測計畫2,符合條件者可好好運用,早期診斷早期治療,存活率高、預後更佳。1.https://reurl.cc/aVgaXD2.https://www.hpa.gov.tw/Pages/List.aspx?nodeid=4619
三高患者留意「肥胖、易喘、下肢水腫」警訊 可能是心腎在求救
日前一名患有高血壓、糖尿病的58歲王先生,因為走路感到氣喘吁吁,下肢還會水腫,體重也逐漸增加,轉介至腎臟科就診,發現王先生尿液泡沫多,腎功能變差造成水分滯留,心臟也有衰竭現象,即使使用利尿劑治療症狀改善不明顯,中國醫藥大學附設醫院腎臟科張志宗醫師改用排鈉排糖藥物,王先生症狀改善許多,血糖控制良好並改善蛋白尿情況,之後也不再需要服用利尿劑。心臟不好、腎臟也有危機! 心腎症候群相互影響高血壓、糖尿病、高血脂是現代人常見的慢性病,張志宗醫師表示,大多民眾知道血壓、血糖、血脂等三高控制不好會影響心臟健康,但許多民眾卻不知道,心臟不健康也會影響腎臟,腎臟不好又會連帶讓心臟功能惡化,稱為「心腎症候群」。張志宗醫師進一步解釋,心臟、腎臟之間會互相影響,心臟不健康,打出去血量不足會使流向腎臟的血液不足、進而促使腎素、血管張力素及發炎物質分泌造成腎臟受損;而腎臟功能差,會使水份、鹽份滯留在體內,造成血壓上升,進而增加心臟負擔。高血壓,水份滯留久了會導致心臟衰竭,造成惡性循環。三高患者應定期抽血驗尿三高患者除了注意自己的血壓、血糖、血脂數值之外,張志宗醫師提醒,一定要定期抽血驗尿,注意腎功能(尿蛋白、肌酐酸、尿素氮、腎絲球過濾率),避免出現腎功能異常情況。腎臟病初期較少明顯症狀,若出現下肢水腫、貧血、夜尿、尿液有泡泡等症狀、很可能腎臟功能已受損,進而影響到心臟功能。張志宗醫師進一步提醒,大多患者一開始沒有感覺心臟功能在惡化,若出現走一下就喘,甚至於連坐著不動都很喘、無法躺平、咳痰有血絲,要當心可能是心臟衰竭!當患者心腎功能下降、出現水腫情況,以往治療會使用利尿劑加速排出水分,不過這種方式僅能緩解症狀,無法治療疾病延緩心腎惡化;近期研究發現原用於治療糖尿病的SGLT2抑制劑,對於心腎功能受損者也有療效,能同時排鈉排糖,改善水分滯留、減低蛋白尿,除了改善症狀還能延緩腎功能惡化、減少死亡率。有無糖尿病都能使用,還可減少利尿劑使用。遠離心腎衰竭這樣做 多動、戒菸、不吃太鹹三高患者除了規律用藥,也應留意自身狀況、調整生活習慣,張志宗醫師分享六點保命招數:1.血壓應控制在130/80毫米汞柱,建議每天在家量測、早晚各一次,量測前30分鐘不要運動也不要飲酒抽菸或喝含咖啡因飲料2. 糖尿病人及慢性腎臟疾病患者,低密度膽固醇應保持在100mg/dl內,有些國家甚至認為糖尿病患者心血疾病風險高建議保持在70mg/dl內,曾發生心肌梗塞或急性冠狀動疾病患者可以控制在50mg/dl內3.糖尿病患糖化血色素建議控制在6.5-7之間,年紀較大患者標準可以比較寬鬆需注意避免低血糖狀況4.飲食不要吃太鹹,容易造成水分滯留(水腫)5.勿抽菸6.多運動,量力而為,散步也可,若有喜愛登山者,要留意溫差變化會造成血管收縮,務必做好保暖張志宗醫師呼籲,台灣民眾特別喜歡未經核可的藥物、保健食品來維持健康,殊不知這些都可能加重腎臟負擔,若發現自身容易水腫、有泡泡尿、夜尿、喘、貧血無力、食慾不振,建議一定要就診找出原因,才能遠離猝死危機。
久咳未癒以為是長新冠 出現4大症狀恐是氣喘前兆
新冠疫情雖然降級,但仍有許多民眾出現久咳、易喘等症狀。一位40歲的陳先生久咳未癒,原以為是「長新冠」,直到咳到胸腔發出咻咻聲、夜咳不止,就醫才確診是氣喘,驚覺過往的反覆感冒症狀竟都是氣喘的病根未治!台灣胸腔暨重症加護醫學會理事長王鶴健提醒,民眾若出現4大症狀「久咳不癒、咳嗽咻咻聲、胸口緊、反覆出現感冒症狀」,應提高警覺及早就醫。台灣氣喘人數約2百萬 但7成不知自己有病症王鶴健說明,氣喘是一種普遍的全球性疾病,根據世界衛生組織(WHO)統計,全球約有3億人有氣喘狀況。台灣約有2百萬人有氣喘狀況,成人氣喘盛行率約為10%,孩童約有20%。台灣氣喘人數逐年增加,但民眾病識感仍不足,高達7成民眾不知道自己有氣喘情況,診斷率僅3成。王鶴健表示:「反覆出現感冒症狀,其實就是因為未能根治的咳嗽或是喘鳴,可能在氣候變化或是身體免疫力下降的時候惡化,患者以為怎麼2、3個月就感冒,實則是氣喘!」台灣胸腔暨重症加護醫學會呼吸道委員會副主委、亞東醫院胸腔內科鄭世隆教授表示,許多人將氣喘跟長新冠混淆,根據英國醫學期刊研究指出,有過半的氣喘患者確診後出現長新冠的症狀,但實則是因為氣喘病因未妥善控制而致。氣喘是慢性氣管發炎導致呼吸氣流受阻,導致患者有咳嗽、喘不過氣等症狀,遇到季節交替、溫度改變就容易發作。過度依賴短效型緩解用吸入劑 死亡風險增9成過度依賴短效型緩解用吸入劑,恐導致氣喘急性惡化發生率增加32%等多項風險。根據台灣健保資料庫數據顯示,每年使用3支以上的緩解用吸入劑(急救)近16%患者,可能導致急診住院風險高出7成2,死亡風險高出9成!英國調查研究也發現,氣喘控制不佳產生的溫室氣體排放量是氣喘控制良好的3倍。氣喘急性惡化發生率增加32%急診住院風險高出7成2死亡風險高出9成排放大量的溫室氣體台灣胸腔暨重症加護醫學會於2022年修訂成人氣喘臨床照護治療指引,基於安全考量,呼籲病患不應過度使用短效型緩解用吸入劑,建議使用「吸入型類固醇」做為氣喘抗發炎控制型藥物,以降低氣喘嚴重惡化及死亡風險。王鶴健呼籲,病友應遵從醫師指示治療,避免因觀念錯誤,過度使用短效型緩解用吸入劑,導致不必要的氣喘急診或住院,如此既能控制氣喘,也可減少不必要的碳排放。鄭世隆也說明,每週使用3次以上短效型緩解用吸入劑,代表氣喘控制不佳,每年使用3支短效型緩解用吸入劑,與氣喘惡化呈現正相關。治療首重抗發炎的吸入型類固醇,從根本治療、維持日常保養才能真正達到氣喘控制,降低急診住院及死亡風險。
口罩佩戴規定放寬! 醫籲:「這些族群」勿大意
一名50多歲男子在確診後,仍持續胸悶、胸痛,且維持數個月之久,對日常生活帶來極大影響,直到前往醫院就醫,在專業儀器檢測下,發現是肺小支氣管受到病毒影響導致發炎與細菌感染,隨即對症下藥,情況才逐漸紓緩。長新冠恐非修養就能好轉 恐影響生活品質雙和醫院胸腔內科陳冠元醫師指出,染疫後的持續症狀,如胸悶、胸痛、易喘等呼吸道症狀、疲累與肌肉痠痛,大多數患者會在數個月內逐步緩解,若後遺症持續三個月以上且無其他原因可以解釋其症狀就可視為長新冠,更值得注意的是新冠病毒造成的其他併發症,常有民眾認為染疫後只要好好休養即可,往往忽略身體的警訊,也讓生活品質大受影響。新冠後遺症 當心還會併發其他疾病另外,陳冠元醫師也分享,臨床上曾出現患者因久咳不止,讓原先的鼻竇炎狀況加重,長期鼻塞、流鼻涕、鼻涕倒流與頭痛不止,甚至影響到工作表現,直到就醫後才發現情況不只是新冠後遺症,同時還引發慢性鼻竇炎急性惡化,幸好有來門診就醫,避免情況持續惡化。室內口罩放寬規定 這些族群仍須警覺值得注意的是,中央流行疫情指揮中心日前宣布,2月20日起除醫療照護院所及公共運輸具等特定場合外,即將放寬戴口罩規定,等同於民眾即將回歸盼望許久的疫前生活狀態。陳冠元醫師指出,雖然隨著疫情趨於穩定,防疫政策鬆綁,但仍不可小覷新冠病毒對身體的造成的傷害,特別是尚未接種3劑COVID-19疫苗、或有癌症、重大疾病及慢性病史的高風險族群;另外,像是高齡長者、孕婦或未滿5歲的幼童,由於自身抵抗力較弱,也得特別注意,除戴口罩,多洗手、避免接觸眼、口、鼻,以及遠離人多、密閉等擁擠的場所,都是保護好自己的方式。
疫情後突然皮膚癢、掉髮樣樣來? 中醫授招數教你怎麼解
一位60幾歲退休的患者,這一年來經歷過重大手術及新冠肺炎的折磨,加上近半年疫情加劇,與家人聚少離多,身體不適和心理壓力打亂了原本平靜日常生活,常抱怨疲倦、易喘、失眠、咳嗽、關節痠痛等症狀,甚至注意力不集中、皮膚癢、掉髮情況也加重。身心健康是動態平衡 後疫情時代重要關鍵 臺北市立聯合醫院忠孝院區中醫科主治醫師張琮瑋說,自疫情以來,慢慢受到重視的公共衛生學提到預防疾病、延長壽命、促進身心健康是政府和社會可以共同努力的目標,由於科技、醫學的高度發展,在預防疾病、延長壽命已有卓越的表現,身心健康這方面也逐漸受到關注,在後疫情時期,身體和心理的健康狀況,更是左右能否踏穩解放後社會的重要關鍵因素。針灸、推拿改善喘咳胸悶 中藥治療退化、骨質疏鬆中醫治療有許多種類,包含中藥、針灸、推拿等,可以針對患者病情不同而選擇最適合的方式介入,比如說疫情後的喘咳胸悶,若是因為長期足不出戶、追劇滑手機的姿勢不良而引起,那針灸、推拿可能比中藥更立即見效,相同的若是關節痠痛的原因是退化或是骨質疏鬆,那中藥的幫忙就更持續及穩定。規律作息、適當運動 均衡飲食不可少疫情影響下,蝸居、繭居的人多了起來,張琮瑋說,五勞所傷的症狀常是門診患者的主訴,當然除了透過醫療的幫助外,規律作息、適當運動、均衡飲食是不可少的;還有研究指出,運動對舒緩憂鬱症狀、抑制體重增加也有幫助,每天只要15-20分鐘就會有效果,可謂一舉數得。
臉紅、盜汗是心衰竭?醫曝「5大警訊」嚴重恐猝死:吃飽會喘要注意
臉紅、吃飽容易喘竟是心臟衰竭的前兆!台北榮總實驗外科主任張效煌表示,主動脈瓣膜狹窄有3大主要徵兆,包括易喘、胸口悶痛、暈倒等,嚴重恐將導致猝死。對此,他也呼籲民眾,控制三高並定期健檢是遠離主動脈瓣膜狹窄的預防重點。張效煌在YouTube頻道《名醫觀點》表示,主動脈瓣膜狹窄最主要的3個症狀,包含心臟衰竭容易喘、胸口悶痛及昏倒,其中心臟衰竭最不易被患者發現,但仍可透過幾種跡象觀察,由於不管是吃飽飯、洗完澡或活動過後,血液循環都會增加,同時也會增加心臟的負擔,所以若出現易喘、冒汗以及臉部漲紅等警訊,均需多加留意。張效煌指出,主動脈瓣膜狹窄並非少見疾病,通常好發於75歲以上的長者,大約有3%會出現這樣的狀況。因此,他也特別點出4大高危險族群,第一大類為「75歲以上」,由於老化造成瓣膜鈣化,所以瓣膜不容易打開,因此就會引起主動瓣膜狹窄,且男女發生的比率是一樣的;第二大類為「先天性瓣膜異常」,正常瓣膜有3片葉片,若先天只有2片的話,瓣膜較不耐用,可能在40至60歲就會提早發生主動脈瓣膜狹窄;第三大類為「風濕性心臟病」,若是年輕時瓣膜遭到細菌感染,將導致瓣膜提早老化;第四大類為「鈣質及磷代謝異常」病患,像是副甲狀腺長腫瘤或是洗腎患者,較易引起瓣膜提前鈣化、老化,不得不注意。對此,醫師也呼籲民眾,預防主動脈瓣膜狹窄的重點在於控制三高、定期健康檢查,若是出現走路容易喘及心臟衰竭等症狀,則建議另外安排心臟超音波檢查。
50歲女解隔後「失眠心悸又多痰」 中藥針灸雙管齊下才改善
50歲施女士過去無任何慢性疾病,新冠肺炎確診後,雖然已解隔離,但卻感到容易疲倦,說話活動時易喘,且會有心悸胸悶感,心悸一日約發作3到4次,也有口乾舌燥及乾咳無痰的症狀。這些症狀影響施女士睡眠品質,導致次日上班更加疲倦,因而求診台南市立醫院中醫部王怡婷醫師,經中藥與針灸兩周,症狀都已改善。王怡婷醫師表示,經中醫辨證分析,施女士的心悸胸悶、易倦怠症狀屬於氣陰兩虛,故選用生脈飲為主方,加上枳殼、桔梗等藥開胸利膈,緩解胸悶的症狀。針對口乾舌燥及乾咳無痰的症狀選用清燥救肺湯;另問診發現,施女士雖大部分時間乾咳無痰,但晨起時偶而會有痰難以咳出,因此加上栝樓、貝母潤肺消痰,與桔梗幫助化痰。 此外,搭配針灸治療,選用內關穴緩和胸悶心悸,「正氣存內,邪不可干」,故選用氣海、關元、中脘、足三里等穴培補正氣,恢復元氣。施女士因「長新冠」後遺症影響睡眠,故加上合谷穴、太衝穴疏通全身氣機,改善胸悶,放鬆心情。經過兩周治療,施女士的胸悶心悸緩解許多,乾咳的症狀頻率亦下降。王怡婷醫師提醒,除了心臟病、肺部疾病、氣喘…等病史,確診康復後會殘留不適症狀外,平常無慢性病史的人,也不少有「長新冠」後遺症,絕對勿輕忽這些症狀,且需經由專業醫師判斷,是否為慢性病惡化或是「長新冠」後遺症,才能對症下藥,盡早康復。
年輕人也會有「長新冠」 7成罹細支氣管炎
根據指揮中心數據,台灣確診人數已突破350萬,逐漸走向與病毒共存的社會,但該如何面對「長新冠(Long Covid)」成為康復者的難題,亞東醫院胸腔內科鄭世隆主任表示近期在門診中,看到許多病人因新冠肺炎康復後依然咳得厲害,甚至出現呼吸困難、運動後容易喘的現象,尤其是40歲以下年輕人出現細支氣管發炎的占門診人數的7成,可見長新冠的影響不只侷限在年長者。鄭世隆主任說明,本次襲捲全台病毒株為Omicron,重症及肺纖維化的比例不似Delta高,多為輕症患者,但許多年輕康復後卻出現呼吸困難、咳嗽、易喘等,此多為細支氣管發炎,長久後同樣影響肺功能,且追蹤報告顯示,許多康復者在隔離期間不一定會出現症狀,須等到隔離期滿後才慢慢浮現,因此更容易忽略就醫重要性。新冠肺炎綜合症候群(Post-COVID-19 Syndrome)又被稱作長新冠,也是確診後的「後遺症」,目前世界衛生組織將其症狀及時間分為「3、2、1」,其主要原則定義為:3:感染後3個月內發生。2:症狀持續超過2個月。1:無法用其他診斷排除,症狀持續恐長達1年。科學家們於《Nature》期刊中指出,造成長新冠,最有可能的情況是,大量冠狀病毒在急性感染後繼續潛伏在人體各種組織如肺臟、腸道、肝臟或大腦中,並繼續造成傷害。另一種情況是,感染新冠病毒後所引發的廣泛免疫反應,引發了人體組織的抗體和其他免疫反應,而這些反應引起後續的組織與器官的損傷。根據國際期刊最新研究顯示,約有7至8成染疫者康復後至少會出現1個長新冠症狀,又以全身倦怠、呼吸易喘、肌肉容易痠痛、睡眠障礙、焦慮和沮喪、胸悶與胸痛4種更為常見,並持續6個月之久。且除了上述後遺症,感染程度愈嚴重,也會導致肺部功能程度不一的傷害。綜合上述研究,長新冠引起肺部損傷的比例還是很高,且後遺症並非侷限長者或有慢性病的病人,許多年輕族群也會有呼吸困難及久咳不癒的症狀發生,鄭世隆提醒,如果發現這樣的不適,請盡快到胸腔內科門診就醫,評估您的肺功能及影像檢查,才能早期診斷並早期治療。