曲霉菌
」 發霉 黃麴毒素 咳嗽 石班瑜 周星馳
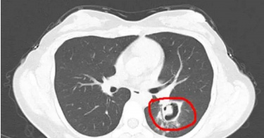
整理衣櫃後高燒40度…杭州女就醫驚見「肺部發霉」 竟是忽略1細節染病
進行打掃工作,也要特別注意。中國浙江杭州有一名沈姓女子,趁著天氣好整理家中衣櫃,沒想到隨後出現發燒、咳嗽等症狀,以為是累到病倒,就醫卻檢查出肺部「發霉」了,只因為忽略了一個細節,而讓細菌有機可乘。根據《潮新聞》報導,沈女到醫院就診,主訴全身不舒服,發燒到40度,還伴隨咳嗽,並提到在換季整理衣櫃時,發現衣櫃長了霉斑,因此特地做了清理,但當下沒有戴口罩。醫師了解情況後,做了支氣管鏡檢查及肺泡灌洗液病原體檢測,結果發現氣道壁上有大量白色菌斑,也是造成沈女高燒、咳嗽的元兇——肺部曲霉菌病,好在經過治療後病情穩定,已經康復出院。沈女感染肺部曲霉菌病。(圖/翻攝自潮新聞)據了解,麴黴屬(又稱麴菌屬)主要以枯死的植物、動物的排泄物及動物屍體為營養源,潮濕環境下容易滋生,家中洗手間地磚、牆縫等地方都可能是其溫床,在溫度20~30度、濕度80%以上的條件最容易繁殖,而長時間未清理的空調,內部也容易積累黴菌。假如感染麴黴屬,常見症狀包括持續高燒不退,服藥也難有明顯效果;咳嗽症狀不斷加重,還可能伴有胸痛、呼吸困難;咳出的痰液中帶有血絲或呈現棕褐色;不只如此,還可能出現鼻塞、流膿鼻涕、臉部疼痛等鼻竇炎症狀,嚴重時可能發生呼吸衰竭甚至危及生命。那麼要如何預防?最有效的除霉方法是開窗通風,也可以開除濕降低屋內濕度,清洗黴菌時要注意戴口罩和手套,以免吸入而引發疾病。另外,還需視情況戴上護目鏡,以防清潔劑濺到眼睛,造成眼部受傷。如果出現持續高燒和反覆咳嗽、咳痰、氣喘等症狀,經治療但效果不佳時,建議可檢查確認是否感染肺部曲霉菌病。
脫襪子後習慣性嗅聞!男子咳嗽不停 竟是肺部遭真菌感染
中國一名男子日前因為不斷咳嗽,吃止咳藥後咳嗽不但沒減輕,還兩眼充血,因此到醫院看診。沒想到,經過醫生問診後,發現他因為有聞穿過的襪子的習慣,導致他肺部感染,才會出現這樣的情況。根據陸媒綜合報導,中國重慶一名男子日前因為不斷咳嗽,吃止咳藥後咳嗽不但沒減輕,還兩眼充血,就到當地西南醫院就診。經過醫生進行CT、核磁等檢查後,發現男子右下肺出現斑塊影,並有空洞形成,確診由曲霉菌感染導致的肺部真菌病。後續經過醫生問診發現,男子居住地方的空氣並不算很流通。此外,男子還有一個習慣,就是每天脫掉襪子後,都會習慣性聞一下。之後,醫生對男子的襪子進行了化驗,果真在上面發現了曲霉菌,而就是每天聞襪子的習慣,才會導致他的肺部感染。最終男子接受了藥物、霧化等治療,症狀明顯好轉,目前已出院。對此,呼吸內科副主任羅虎也解釋「穿過的襪子上主要殘留有汗液、鹽分、尿素等,長時間穿鞋形成密閉、潮濕、溫暖的空間,容易滋生真菌。如果去聞、猛吸附著了真菌的襪子,真菌就可能通過口腔、鼻腔進入下呼吸道。如果機體免疫功能低下,就有可能引發真菌性肺炎等疾病。」
她肺部長小樹芽「發黴」了! 竟是這動作惹禍
中國杭州1名王姓女子在1個月前,發現家具上發霉,便開始動手清潔,豈料竟出現咳嗽、疲倦,而後還燒到40度,經醫生檢查,她的肺部竟然「發黴」了,肺部長出了一個個小樹芽,化驗後確認是曲霉菌。至於為何黴菌會長進肺部,則是因為她在打掃時忘記戴口罩和手套,才會誤吸。據杭州日報報導,王女在1個月前發現家中衣櫃發霉,便開始動手清潔,但卻沒有做好相關防護,打掃後她出現陣發性咳嗽、疲倦,起初程度比較輕微,她以為是普通的感冒,沒想到卻反覆高燒,最高燒到了40度,朋友一看不妙,就趕緊將她送往附近的醫院。為了進一步確認病情,醫師為王女做了纖維支氣管鏡檢查,果然發現氣道壁上有著大量白色菌斑,化驗後確認是曲霉菌。醫師判斷,這些灰塵很有可能混入了各種黴菌,且王女平常喜歡開窗通風,正值5月氣候回暖、陰雨不斷,空氣潮濕是利於黴菌生長的天然條件,黴菌在人體內可引發肺部、口腔、皮膚甚至全身性感染。醫生也提醒,大家要做好以下幾點:一、做好居家清潔工作定期晾曬棉被,勤打掃,及時清理發黴物品。可用消毒水,如3%的過氧化氫、蘇打水,或1:1調配的水和白醋進行清潔,也可以對書籍、地毯等進行陽光晾曬。打掃時要戴口罩和手套,以免誤吸。二、室內注意通風黴菌喜歡在潮濕的環境中生長,因此家中或辦公室要注意通風,尤其在梅雨季節。在潮濕重災區可以掛除濕小物,也可以使用除濕機或空調,使室內濕度保持在40%至50%之間。盡量減少室內綠植栽培,避免土壤中的黴菌滋生。三、不要囤積過多的食物一旦發現食物發黴要及時丟掉,隔夜的食物也不要吃。四、提高自身的免疫力多參與體育鍛煉,保持充足的睡眠,保持樂觀的情緒,補充優質蛋白質。