生活
健康
6旬翁便秘灌腸不當「直腸破裂」確診腹膜炎 醫示警:嚴重恐致命
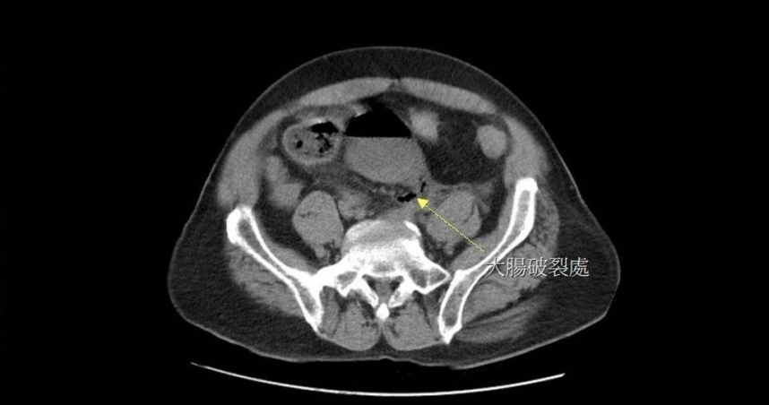
65歲男性病人因嚴重便祕而自行灌腸,導致直腸破洞(箭頭處),引發腹膜炎。(圖/翻攝畫面)
苗栗65歲黃姓男子長期便祕,因自行使用灌腸解便,意外導致直腸破裂並引發嚴重腹膜炎,經急診手術才順利康復,醫師提醒,便祕應先調整生活習慣,切勿自行過度灌腸,以免危及生命。
苗栗一位65歲黃先生,長期深受便祕所苦。由於飲食控制無法改善,他每天都服用強力軟便劑,甚至在每隔2-3天仍無法解便時,就會自行灌腸。近日,黃先生連續3天排便不順,自行灌腸仍無效,便改用更長的管子將瀉藥送入直腸深處,沒想到突然引發劇烈腹痛,家人立即將他送至大千綜合醫院急診。
經電腦斷層掃描檢查,醫師發現黃先生直腸上端有一個直徑約2公分的破洞,糞水隨之流入腹腔,引發嚴重腹膜炎。外科部主任馮啟彥緊急進行腹腔鏡手術,發現破洞位置靠近乙狀結腸的轉彎處,研判是因灌腸過度用力造成。手術後,黃先生順利康復,也表示「再也不敢自行灌腸了」。

馮啟彥提醒,便祕是現代常見問題,建議改善方式應先從飲食、生活習慣及運動著手。飲食方面可增加膳食纖維、多喝水及補充益生菌;生活習慣方面應養成定時排便、如廁姿勢正確及有便意即行如廁等規律。若仍無法改善,應由醫師評估後再使用藥物或灌腸劑。
他強調,灌腸僅是便祕急救方式,應遵醫囑使用,長期依賴或過度操作可能造成肛門撕裂、痔瘡出血、大腸黏膜受損,甚至引發腸道破裂及腹膜炎。便祕患者切勿自行強行灌腸,以免引起細菌感染、敗血症甚至休克死亡。