曾命懸一線!陳文茜68歲前夕感性發聲 曝最新病況:生命送的禮物
資深媒體人陳文茜。(圖/翻攝自臉書/文茜的世界周報 Sisy's World News)
資深媒體人陳文茜即將於3月25日迎來68歲生日,罹患黑色素癌的她,經常透過社群分享抗癌過程和心情,在生日前夕她突然感性發文,詳述與黑色素癌及多種罕見疾病搏鬥的心路歷程,並將這場大病視為「生命送給她的禮物」,同時親揭在台大癌醫中心的最新檢查結果,目前腦部相當乾淨、未見癌細胞擴散,令長期抗癌的她忍不住讚嘆,「終究沒有辜負自己」。
陳文茜昨(18)日在臉書粉專「文茜的世界周報 Sisy's World News」感性發文,去年此時的她病況最為嚴峻,正接受免疫治療,體內癌細胞增長至巔峰,甚至併發中度心肌炎,生命一度垂危。即便如此,陳文茜仍堅持不中斷主持工作,當時台大醫院癌醫中心分院院長楊志新感佩其抗癌意志,特別協調心臟科醫師攜帶急救針,全程陪同她進入棚內錄影,以確保發生緊急狀況時能即時搶救。
如今回頭審視當時不懈的毅力與對工作的熱忱,連陳文茜自己都感到讚嘆,並欣慰表示,「終究沒有辜負自己」。而面對外界關心她「活得很辛苦」,陳文茜展現豁達的人生觀,強調自己聽到的關鍵字是「活著」而非「辛苦」;她將疾病視為一種另類的「療癒」,認為生命已充滿恩賜與福報,目前正盡情體驗老去與重生的過程。

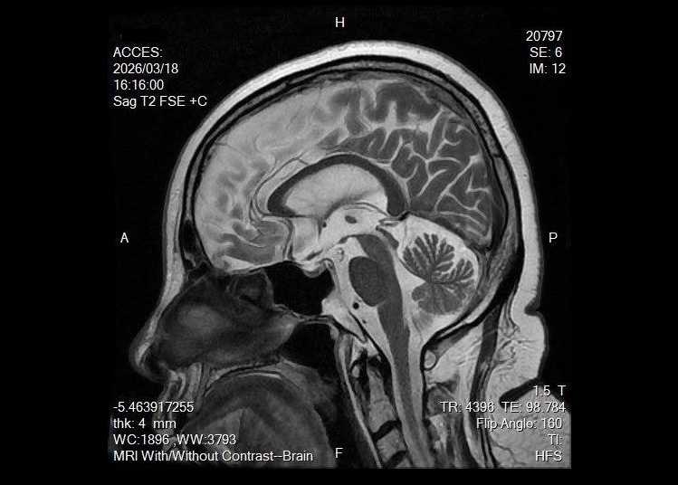
由於陳文茜身上患有多種罕見疾病且腫瘤形狀特殊,連主治醫師都戲稱她是構造獨特的「外星人」;在生日前夕令她驚喜的是,追蹤腦癌結果顯示,腦部乾乾淨淨,沒有癌細胞,沒有「世俗的雜物」。而陳文茜與占星學家好友林靜宜對話時,更幽默表示若未來離開人世,歸宿將是象徵死亡與重生的「冥王星」。
陳文茜表示,能在68歲之際繼續主持《文茜的世界周報》,對她而言就像守護傍晚的雲彩般珍貴。同時陳文茜也祝福所有人都能在日常中尋得快樂,不侷限於生日當天。