維生素D
」 維生素D 醫師 營養 骨質疏鬆 飲食
不吃肉也有事!研究揭吃素者大腸癌率不降反增 醫分析3大健康盲點
有不少民眾認為茹素能遠離癌症,但胃腸肝膽科醫師錢政弘指出,英國一項最新研究顯示,儘管素食者整體的罹癌率較低,大腸癌的發生率卻不降反升;他坦言,門診中確實不乏長期茹素、少肉卻仍罹患大腸癌的案例。對此,錢醫師進一步分析,素食者若忽略維生素D與鈣質的攝取,或是過度依賴加工食品,反而可能陷入健康盲點,增加致癌風險。錢政弘醫師今(2月28日)透過臉書粉絲專頁「錢政弘 胃腸肝膽科醫師」發文分享,素食者面臨的第一大危機是維生素D嚴重不足;由於維生素D主要存在於魚類與雞蛋中,研究顯示長期茹素者缺乏該營養素的比例較一般人高出2至3倍,而維生素D正是預防大腸癌的關鍵因子。此外,部分民眾為了健康採取「極端低油」飲食,然而維生素D屬於脂溶性,若油脂攝取過低,將直接阻礙身體吸收效率,形成健康漏洞。接著錢醫師解釋,鈣質的短缺也是關鍵原因之一,鈣離子能與膽酸結合,減少膽酸對腸道黏膜的毒害;若素食者不飲用牛奶、優格等乳製品,又未從其他植物性管道補足鈣質,腸道將失去這層重要的保護傘。同時,錢醫師提到,生活型態也影響著罹癌機率,例如部分年長修行者習慣長期靜態打坐、讀經,若缺乏規律運動導致腸道蠕動減緩,加上缺乏日照補充維生素 D,大腸癌便容易悄悄找上門。至於現代素食中的「加工品」更是隱形殺手,錢醫師警告,蔬果本身雖健康,但素肉等加工品往往含有大量添加物與重口味調味料,近年許多食安風波皆源於調味劑,這些添加物可能是潛在的致癌元兇。因此錢醫師建議,茹素者應堅持「截長補短」原則,優先選擇原型食物,並多攝取香菇、堅果、芝麻、芥蘭及豆腐來補充維生素D與鈣。最後錢醫師強調,真正的防癌之道在於均衡,他推崇的「防癌黃金組合」為常吃魚類、補充大量蔬果、每週維持兩份優格並避開加工肉品。錢醫師提醒民眾在調整飲食習慣時,應注意營養素的全面性,並維持充足的戶外活動與日照,才能真正達到預防大腸癌的效果。
想補鈣防骨鬆可以喝豆奶嗎? 營養師揭「3種奶」分類大不同
從補鈣、防骨鬆到控脂、調血脂,市面上各種「奶」該怎麼選?營養師徐慈家提醒,不少人以為豆奶、鮮奶、燕麥奶「都是奶」,營養價值應該差不多,其實在營養分類上完全不同,關鍵在於成分而不是名稱,若想補充鈣質,應選擇鮮奶才對。徐慈家於在臉書粉專發文分享,常有民眾詢問「骨質疏鬆可不可以喝豆漿?豆奶跟鮮奶應該差不多吧」,雖然都有個「奶」字,且都是白色的液體,但在營養分類裡算是不同食物。徐慈家提到,首先是鮮奶,屬於乳品類,每100ml約含鈣100mg,也含酪蛋白與乳清蛋白,胺基酸組成完整,對成長期、孕期、熟齡族群特別重要,而乳糖與維生素D(若有強化)能幫助鈣利用率更好,目標是補鈣、防骨鬆。徐慈家說明,豆奶則歸類在豆魚蛋肉類,每100ml約3g蛋白質,屬優質植物蛋白,含大豆異黃酮,有助心血管與更年期調節,但天然鈣含量不高,除非標示「強化鈣」,因此豆奶是補蛋白質、增肌、控脂的好選擇。徐慈家指出,燕麥奶是全穀雜糧類,本質是燕麥加水打製,含β-葡聚醣,研究顯示有效劑量達每日3g,,有助降低膽固醇,但蛋白質低、鈣低,且屬澱粉來源,若是控醣或減脂族要把它當「主食」計算。徐慈家建議,想「補鈣」要選鮮奶或高鈣豆漿,想「增肌」喝鮮奶或無糖豆奶,想「調血脂」可挑豆奶或燕麥奶,如果是「乳糖不耐」可選優酪乳、起司或強化植物奶。徐慈家強調,營養不是看名字,而是看「成分表」,選對目的,才是真正「聰明喝奶」。
減肥「只吃青菜不吃肉」狂掉髮! 醫曝4關鍵原因害頭髮變少
有些人減肥不只體重下降,還發現頭髮也跟著「瘦」了一圈。皮膚科醫師柯博桓提醒,如果吃不夠蛋白質、攝取熱量過低與關鍵營養素缺乏,都可能讓毛囊提前進入休止期,若不及時調整飲食結構,掉髮問題恐持續惡化,進而賠上健康與髮量。柯博桓於臉書粉專發文表示,不少民眾開始減肥後出現掉髮問題,但減肥掉髮並不單純是營養不良,背後可能隱藏著荷爾蒙失調、代謝紊亂、甚至器官功能受損的警訊,若用錯方法減肥,不僅瘦不下來,還可能讓掉髮問題越來越嚴重。對此,柯博桓列出以下4點可能掉髮的原因,提醒民眾要特別注意:1、蛋白質攝取不足柯博桓指出,很多人減肥只吃水煮青菜、水果,完全不攝取肉類和蛋白質,其實是錯誤觀念,因為頭髮的主要成分是「角蛋白」(Keratin),是一種蛋白質,當蛋白質攝取嚴重不足,身體會優先把有限的蛋白質供應給心臟、肝臟等重要器官,而頭髮這種「非必要組織」就會被犧牲。2、缺鐵性貧血柯博桓說,女性本來就容易因月經而缺鐵,再加上減肥不吃紅肉、不吃內臟,鐵質攝取更是雪上加霜,由於鐵質是製造「血紅素」的關鍵元素,血紅素負責把氧氣運送到全身,也包括頭皮毛囊,如果缺鐵,毛囊得不到足夠氧氣和養分,就會開始萎縮、頭髮變細、容易斷裂脫落。3、極低熱量飲食柯博桓提到,有些人每天只吃800、1000大卡,以為這樣能快速瘦身,其實當熱量攝取過低,身體會啟動「飢餓模式」(Starvation Mode),也就是求生模式,降低基礎代謝率來節省能量,此時身體會關閉所有「非必要功能」,包括頭髮生長、指甲生長、甚至月經都可能停掉。4、營養素缺乏柯博桓強調,減肥時如果只吃單一食物,如水果減肥法、代餐減肥法等,很容易造成多種營養素缺乏,而頭髮生長需要B群、鋅、生物素等關鍵營養素,首先是「維生素B群」,尤其是B7生物素、B12,會參與細胞代謝和蛋白質合成,如缺乏會導致頭髮脆弱易斷;「鋅」可調節荷爾蒙、促進細胞分裂,缺鋅會讓頭髮生長停滯;「維生素D」影響毛囊週期,缺乏會增加掉髮風險;「Omega-3脂肪酸」能維持頭皮健康、減少發炎反應。
長輩走路變慢、轉不開瓶蓋? 醫教「5問題」識別肌少症:多運動可有效延緩
您是否注意到家中長輩走路變慢、打開瓶蓋需要費力,甚至從椅子站起來都顯得吃力?這些看似「年紀大了」的小變化,其實可能是肌力流失的警訊。臺中榮總灣橋分院復健科物理治療師陳佑昀指出,許多長輩將走路慢、站不久或容易疲倦視為自然老化,卻忽略這可能意味肌肉量與肌力下降。肌肉不足會影響平衡與反應能力,容易跌倒,且活動意願降低形成惡性循環,加速肌力流失。肌少症不僅影響平衡與反應力 也可能造成血糖心臟負擔陳佑昀治療師說明,肌少症成因多元,包括年齡增長、慢性疾病控制不佳、營養不足及長期缺乏運動,如果不及早注意,對生活的影響其實很明顯。肌肉不足還可能讓免疫力下降,容易生病、住院或受傷後恢復慢,生活自理能力也可能下降。如果本身有糖尿病或心臟病,影響會更明顯,因為肌肉量不足會讓血糖更難穩定、心臟負擔增加,身體狀態也更容易出現疲倦或虛弱。因此,及早察覺肌肉變化、積極運動與均衡飲食,是維持生活能力、健康與日常活力的重要關鍵。透過問卷和小腿圍量測法 自我檢測肌肉量是否達標陳佑昀治療師分享,國際常用「SARC-F問卷」,透過手部握力、從椅子站起是否費力、走路是否容易疲倦、外出時是否感到不穩,以及近期是否跌倒等五項日常功能檢視,加總分數即可判斷肌力與行動能力是否下降。接著解釋「小腿圍量測法」,長輩坐椅子、雙膝90度彎曲,小腿自然放鬆垂下,以皮尺量取最粗處,男性低於34公分、女性低於33公分,表示肌肉量可能不足,需要透過飲食與運動加強。陳佑昀治療師補充,小腿被譽為「第二顆心臟」,其肌肉量能反映下肢整體力量,簡單測量就能掌握身體是否正在變弱,及早採取行動。預防肌少症 從運動和飲食雙管齊下陳佑昀治療師提醒,運動是延緩肌少症最有效的方法之一。其中「漸進式阻力訓練(PRT)」被國際指南視為核心模式,建議長輩每週進行二至三次、每次約30分鐘的中等至中高強度訓練,可利用彈力帶、啞鈴、水瓶或自身體重進行下肢抬腿、坐姿伸展、手臂推拉等動作。除了運動,飲食同樣是維持肌肉量的關鍵。許多年長者因味覺退化、食慾下降或牙口問題,攝取不足,導致肌肉合成力下降。陳佑昀治療師建議70歲以上長者每日蛋白質攝取量可依體重計算,每公斤約1.2克,並盡量分布於三餐以提升利用效率。同時補充維生素D與鈣質可維持肌肉與骨骼功能;中鏈脂肪酸(MCT)如椰子油則能提供穩定能量,對食量偏少或容易疲勞的長輩尤其有幫助。肌少症可以改善或預防 應積極鼓勵長輩培養良好生活習慣臺中榮總灣橋分院院長陳正榮表示,肌少症是造成長者跌倒與失能的重要因素,但透過日常飲食調整與規律運動,多數症狀可有效改善或預防。灣橋分院深入社區,期望將正確健康觀念帶入長輩生活,呼籲民眾及早認識身體變化、積極預防,鼓勵若家中長輩出現易累、行動緩慢等情況,可及早至復健科進行專業評估。【延伸閱讀】骨鬆和肌少症都要防!20歲到60歲策略大不同 檢查、運動、補營養一次看懂預防「肌少症」注意「衰弱」4警訊 醫建議從日常飲食、運動調整https://www.healthnews.com.tw/readnews.php?id=67610
備孕、懷孕期間感冒怎麼辦? 婦產醫解答「3常見疑問」:用藥需注意
許多女性或媽媽在備孕或懷孕時不小心感冒,總擔心吃藥或打針會影響備孕進度以及胎兒發展,因而寧可不就醫治療,或即使治療也不願意按時服藥,小心若症狀嚴重,反而危及健康,不過究竟備孕及懷孕期間不小心感冒時,該如何應對?感冒藥真的不會影響胎兒健康嗎?又是否有其他舒緩方式可以緩解症狀呢?婦產科醫師王儷璇透過文章帶你一一一破解迷思,陪你一起迎接寶寶到來!備孕和懷孕期間感冒,怎麼辦?王儷璇表示,無論是備孕或懷孕期間不小心感冒,必要時都可第一時間主動告知醫師,除了給予用藥建議,也能提供日常居家照護的衛教資訊,讓備孕女性及媽媽們能夠安心。備孕、備孕期間感冒,注意3件事!1.建議掛婦產科,就醫時主動告知:無論是備孕中或懷孕期間,若出現相關症狀,建議可以直接尋求婦產科醫師的協助,原因在於婦產科醫師較熟悉孕期安全用藥分級,也能同步檢查胎兒的健康,以確保感冒是否有影響宮縮或胎動異常。2.避免亂服藥或購買成藥吃:王儷璇指出,無論是懷孕或備孕期間感冒在所難免,並非不能吃藥,而是要別亂用藥,若出現發燒的症狀,也不代表是感冒惡化,但是不建議「常規使用」退燒藥,因為退燒藥可能會延長病程,建議透過醫師專業指導,進行安全用藥。3.留意重症徵兆:懷孕期間免疫力較低,因此,也別輕忽任何小感冒,若出現呼吸困難、持續高燒、胎動異常等情況時,應盡快就醫檢查。▲【圖/衛生福利部國民健康署孕產兒關懷網站】懷孕、備孕用藥5等級 守護母嬰健康這樣做王儷璇指出,許多女性在懷孕時,面對病毒的來勢洶洶,寧可自己受苦也不要胎兒受到影響,事實上,只要尋求專業的醫師協助,並且了解用藥安全的重要性,不僅能夠幫助自己減緩症狀的不適,也能守住胎兒健康,根據FDA(美國食品藥物管理局 )針對懷孕用藥分為五個等級如下:A級:在針對孕婦的研究中,尚未證明在懷孕初期對胎兒有風險。B級:在針對動物的實驗研究中,並未證明對胎兒有風險。C級:在對動物的實驗中,可能對胚胎產生風險,但尚無人體實驗,而該藥物的潛在益處可能大於風險。D級:針對孕婦的研究顯示,藥物對於孕婦、胎兒存在危害。X級:禁用,研究顯示對於胎兒、孕婦皆存在風險,而且危害大於風險。關於備孕及懷孕時感冒,常見3個疑問一次解析! Q.若服用了感冒藥才發現懷孕怎麼辦?王儷璇解釋,其實女性和媽媽們不用過於擔心,一般而言,多數常見感冒藥對於生理以及胎兒健康影響不大,不過建議再回診時可保留藥單提供給婦產科醫師作爲參考及評估。Q.除了透過飲食、補充保健品,還能如何增加保護力?預防勝於治療,完整接種疫苗是降低感染後重症風險的關鍵,包括每年定期接種流感疫苗、準媽媽在懷孕28至36週時建議接種百日咳疫苗,另外也可維持新冠疫苗追加劑的更新等,以降低重症風險。Q.懷孕時感染流感,可能更嚴重嗎?是的,孕婦是流感的高危險族群之一,其中,研究也顯示,孕婦感染流感的重症風險是一般人的4至5倍,主要因懷孕期間生理機能、免疫系統等改變,會讓風險比一般人顯著增加,因此平時應做好防護工作(包括接種疫苗),若出現發燒、呼吸困難等症狀時,應立即就醫。王儷璇也提到,懷孕會引發顯著的心肺與免疫系統變化,包括心率增加、肺容積減少以及免疫反應的改變,這些變化提高了發生嚴重流感後果的易感性,例如:住院、入住加護病房 (ICU)、呼吸衰竭及死亡。 備孕和懷孕期間感冒必5大的居家照護!1.持續補充營養素:無論備孕或懷孕期間最重要就是維持良好的生理環境以及胎兒生長環境,因此應持續補充葉酸、維生素D等營養素,維持免疫力。2.呼吸道以及喉嚨照護:像善用生理食鹽水洗鼻,減輕鼻塞等不適症狀,睡覺時也可墊高枕頭,減少鼻涕倒流引發的夜間咳嗽;另外也可使用溫鹽水漱口,降低喉嚨發炎反應,並保持室內一定濕度,減少氣管敏感的機率。3.多補充水分:建議每天飲用2000c.c.以上的溫水,並以少量多次補充,但若本身心臟、腎臟有問題,建議尋求專業的醫師或營養師。4.維持充足睡眠:睡眠對於抵抗病毒、維持免疫力也有幫助,建議每日可保持 7至9小時睡眠較佳。5.清淡且均衡飲食:王儷璇提醒,建議以「原型食物」作為日常飲食原則,包括鮭魚、鱈魚、牛奶、豆漿等蛋白質飲食,搭配富含天然維生素C的芭樂、奇異果以及蔬菜等,以維持體能補充。資料來源:臺灣大學醫學院附設醫院-衛教資料Pregnancy Medications
長期吃鈣片卻骨質疏鬆 基因醫揭身體真正缺的1礦物質
有不少人會透過吃鈣片補充營養,但往往還是有骨質疏鬆的狀況,基因醫師張家銘指出,關鍵不在於鈣吃得多少,最大因素是身體缺乏協助鈣進入骨骼的礦物質「鎂」;他進一步說明有研究指出,骨質疏鬆的發生與惡化,與鎂代謝失衡存在高度關聯。基因醫師張家銘19日在臉書粉專發文,引述2026年刊登於《iScience》的綜合研究指出,真正讓骨頭卡住的很多時候不是鈣不夠,而是鎂代謝出問題。此研究整合骨生物學、內分泌與免疫學發現,骨骼其實每日都在進行重建,骨母細胞與破骨細胞不斷拉鋸,而鎂正是維持兩者平衡的重要角色。當鎂不足時,與骨吸收相關的訊號路徑容易失控,破骨細胞過度活躍,導致骨質流失加速,即使攝取足量鈣質,也難以真正留在骨頭中。張家銘說明,鎂同時影響副甲狀腺素與活性維生素D的運作,這兩者是調度鈣質去向的關鍵荷爾蒙。若鎂不足,鈣的利用效率下降,不僅無法強化骨骼,還可能增加血管鈣化或腎結石風險。此研究也指出,缺乏鎂會使免疫系統偏向慢性發炎狀態,改變骨骼周邊環境,使骨質疏鬆更容易發生,特別常見於慢性病、腸胃吸收不良或長期壓力大的人。在實際建議上,張家銘提醒民眾,骨骼保養不應只依賴單一營養素,日常飲食可多攝取深綠色蔬菜、堅果、全穀類等富含鎂的原型食物;若需補充品,也應注意鈣與鎂的平衡比例,並搭配維生素D與K2。同時也要有充足睡眠、壓力管理與規律活動,都能減少鎂流失、促進骨內血流,這是預防骨質疏鬆不可忽視的一環。
天冷易疲倦又心情差? 營養師曝3招補足維生素D
天氣轉冷、日照減少,不少人明明沒有生病,也會覺得精神狀態明顯下滑。營養師羅晞蕾就指出,這種「冬季憂鬱」的情況,與體內維生素D偏低有關,此時可以透過曬太陽、食補、保健食品來補足,以改善身體狀態。羅晞蕾在臉書粉專發文表示,不少民眾到了冬季,會覺得特別疲倦、情緒低落、提不起精神,即使沒有感冒,也會感到「冬季憂鬱」,而這種狀況其實與體內維生素D濃度存在明顯相關性。羅晞蕾提到,有些人認為缺乏維生素D,只要多曬太陽就能解決,實際上只靠曬太陽,很難穩定維持維生素D的濃度。有研究指出,人體皮膚合成維生素 D,會受到很多因素影響,包括日照角度與時間(冬天紫外線本來就較弱)、膚色與年齡(深膚色、年紀越大,合成能力越差),以及生活型態(室內工作、防曬、外出時間少)。羅晞蕾說,即使在有日照的地區,仍有超過60%的成人維生素D濃度偏低,亞洲族群比例甚至更高,「所以不是沒有曬到,而是曬太陽這件事,本來就不穩定,有很多細節!」若想補充維生素D,羅晞蕾提出以下建議:1、曬太陽:如果有機會能接觸陽光,當然很好。一般建議選在中午前後,讓手臂或小腿露出10至20分鐘,且不用曬到臉紅、不需要刻意曝曬,曬太陽是加分項,但不是唯一解方。2、食補:讓身體有基礎。維生素D在食物中的來源不算多,但可以慢慢累積,包括深海魚(鮭魚、鯖魚、沙丁魚)、蛋黃,以及有強化的牛奶、豆漿。3、保健食品:幫助「穩定維持」。適量補充保健食品,是很實際也很常見的選擇,而長期穩定的補充,可以讓身體不用一直處在不足的狀態。羅晞蕾提醒,在選擇補充多少維生素D前,建議先進行身體檢查,了解自己的血中濃度25(OH)D有沒有達30至50 ng/mL,再依個人狀況調整補充方式與劑量,會比憑感覺補來得安心且有效。
流感疫苗打氣旺! 營養師:接種前別吃「3類食物」
近期流感疫情正值流行期,11月1日起公費流感疫苗也進入第二階段接種,營養師高敏敏就提醒,如果想讓疫苗發揮最大效果,應在「打針前」多吃蛋白質、鋅與維生素A類食物,「打針後」也可多補充維生素C、D、E以及Omega-3,讓免疫細胞更加穩定。高敏敏日前在臉書粉專發文表示,不少人以為打了疫苗就萬無一失,其實疫苗只是輔助,能夠幫身體記憶病毒,但通常保護力不超過1年,建議每年都要接種1次,才能維持穩定防護力,不過最重要的還是要靠自身免疫力。高敏敏說到,想讓疫苗發揮最大效果,就要讓身體在「打針前」保持最佳免疫狀態,建議可以多補充以下3類食物,讓防護力更穩定:1、蛋白質:是免疫細胞的重要原料,幫助維持免疫健康與組織修復,可以多吃蛋、雞胸肉、豆腐、牛奶等等食物。2、鋅:可以促進免疫細胞生成,提升代謝與修復力,可補充牡蠣、腰果、南瓜籽等食物。3、維生素A:能保護呼吸道與腸胃黏膜,降低病毒入侵風險,可選擇地瓜、豬肝、胡蘿蔔等食物。高敏敏指出,要注意的是,有些食物反而會讓發炎加劇或影響免疫表現,應避免吃下以下3類食物:1、高油高鹽食物:像炸物、洋芋片、加工食品等食物,容易使體內發炎反應上升。2、高糖食物:甜點、含糖飲料,會抑制免疫細胞反應,促使體內慢性發炎。3、酒類:飲酒不僅降低免疫力,也會削弱抗體生成的效果,使病毒更容易入侵體內。高敏敏提醒,打完疫苗後,免疫系統會進入訓練模式,可以補充以下4類食物,能夠抗氧化、抗發炎,幫助免疫細胞穩定、修復力更好:1、維生素C:幫助抗發炎,促進免疫細胞分化,如芭樂、奇異果、花椰菜等等。2、維生素D:維持體內發炎平衡,強化細胞防禦,可吃雞蛋、乾香菇、黑木耳等食物。3、維生素E:能清除自由基,增強抵抗力與修復速度,可以選擇堅果、酪梨、葵花籽等食物。4、Omega-3:減緩身體氧化壓力,抑制病毒複製,如鮭魚、深海魚、亞麻籽等食物。
秋冬感冒潮「吃維他命」能抵禦病毒? 營養師揭真正免疫力關鍵
隨著秋冬季節來臨,感冒與呼吸道重症的風險也同步上升。營養師曉晶近日在臉書上提醒,大多數人以為多吃維他命就能抵禦病毒,實際上,除了均衡飲食,睡眠品質才是免疫力的真正王牌。她指出,每天多睡一小時,感冒的機率竟可減少一半,這是最新「睡眠免疫學」研究揭示的一個被忽略的重點。曉晶解釋,每年秋冬氣溫驟降,病毒活躍,流感及呼吸道感染更容易傳播,重症風險也隨之升高。許多人習慣依靠維他命或熱湯來保護自己,但研究顯示,免疫系統最怕的是營養失衡加上睡眠不足的雙重影響。2015年《Sleep》期刊研究指出,每晚睡不到五小時的人,感染感冒的風險是睡足七小時者的4.5倍。此外,《Molecules》與《Immunity & Ageing》研究也發現,缺乏維生素D與鋅會讓免疫細胞功能下降,增加發炎指數,病毒便趁虛而入。談到營養對免疫的作用,曉晶指出,維生素D就像身體的「防禦開關」。2020年《Molecules》研究發現,維生素D能促進抗菌肽生成,強化呼吸道黏膜防護,降低細胞激素風暴風險。2025年《European Journal of Nutrition》的臨床試驗也顯示,兒童在冬季補充維生素D後,呼吸道感染率明顯下降。對於長期待在室內、日照不足的人,她建議早餐加入牛奶與蛋,或每週兩次鮭魚料理,以自然提升維生素D濃度。維生素C與鋅則被稱為感冒初期的「黃金拍檔」,2023年《Nutrients》研究指出,每日攝取1至3克維生素C可減輕感冒症狀、縮短病程;而2021年《Critical Care Medicine》系統性分析則發現,高劑量靜脈維生素C在重症感染中可降低病死率並改善預後。同時2025年《Immunity & Ageing》回顧研究指出,鋅缺乏會降低T細胞活性,加速免疫老化;補充鋅能縮短呼吸道感染病程並增強防禦力。益生菌與Omega-3脂肪酸則能從腸道調節全身免疫,研究顯示,70%以上的免疫細胞位於腸道,連續四週補充多株益生菌可提升分泌型IgA並減少上呼吸道感染。Omega-3脂肪酸則可抑制發炎路徑,促進解炎脂質生成,降低CRP及IL-6水平。地中海飲食中加入鮭魚、奇亞籽或橄欖油,即可提供足夠EPA與DHA,幫助身體平衡發炎反應。睡眠更是免疫的「修復工」,2021年《Communications Biology》研究指出,連續三晚僅睡四小時,CRP與IL-6會顯著上升,自然殺手細胞活性下降。人體的免疫高峰期在深睡期,長期熬夜或輪班會打亂免疫細胞的生物鐘,增加慢性發炎與感染風險。曉晶建議,建立固定入睡時間,晚餐搭配含鎂與色胺酸的食物,例如菠菜豆腐湯與糙米飯,有助放鬆神經、促進褪黑激素分泌。她強調,秋冬季節想要健康不倒下,單靠「吃對食物」或「補充維他命」都不夠,「睡得好、睡得深」與營養均衡缺一不可。透過合理飲食與充足睡眠,才能為免疫系統築起第一道防線,讓病毒無機可乘。
新生兒長紅疹!她遭大姑指責「飲食不當害胎毒」 醫揭真相:不要瞎掰
近日一名新手媽媽私訊婦產科醫師蘇怡寧,表示自己的寶寶滿兩個月時,臉部與後頸出現紅疹,雖然醫生說是正常狀況,但仍被大姑指責懷孕期間飲食不當,導致寶寶出生後需「替媽媽排毒」。對此,蘇怡寧也指出,「所謂的胎毒這個說法,在現代醫學裡是不存在的」。該名媽媽表示,雖然兒科醫師診斷為正常現象、會自然好轉,但婆家一位自稱「食療師」的大姑卻認為這是「胎毒」,指責自己在懷孕期間飲食不當,才會導致寶寶出生後需「替媽媽排毒」,甚至將嬰兒抱去正中午曝曬太陽,讓她心疼不已,因此向蘇醫師求助,希望有專業的醫學說法能讓對方「閉嘴」。對此,蘇怡寧醫師在臉書發文回應,直言「所謂的胎毒這個說法,在現代醫學裡是不存在的」,並表示理解媽媽面對「情緒勒索」時的委屈與無力,「我懂妳的無力跟委屈,我真的懂。明明只是再平常不過的新生兒皮膚現象,為什麼要被貼上一個彷彿媽媽犯了什麼錯的標籤咧?」蘇怡寧指出,嬰兒臉上紅疹的常見原因包括「新生兒粉刺」、「熱疹」、「汗疹」或「脂漏性皮膚炎」等,這些都屬於皮膚適應外界的自然過程,通常兩三個月內會自行好轉,根本不需要「退胎毒」,「它既不是疾病名稱,也沒有任何毒需要被排。你不是武俠小說中的武林高手被小人下毒需要排毒,更沒有什麼寶寶要替媽媽受苦的說法,真的不要瞎掰,謝謝。」蘇怡寧同時提醒,讓嬰兒在正中午曝曬太陽是錯誤行為,「嬰兒皮膚非常薄嫩,曬幾分鐘就可能曬傷。太陽底下看起來氣色變好,那只是被曬紅了而已好嗎。」若是為了補充維生素D,蘇怡寧建議應選擇早上九點前或下午四點後陽光較溫和的時段,每天讓寶寶曬約十分鐘即可,僅需露出小手小腳,不必全身曝曬。至於關於孕婦飲食是否影響寶寶皮膚問題,蘇怡寧強調,只要飲食均衡、避免菸酒與毒品,現代人不會因為「懷孕吃錯東西」讓孩子長疹子。最後蘇怡寧也語重心長地寫道,「世界上沒有什麼胎毒,只有還在努力長大的小寶貝,跟努力學會放下罪惡感、不要隨便被情緒勒索的媽咪。無知的大人嘴巴最毒。」蘇怡寧呼籲社會大眾不要再以「胎毒」等無根據的說法,將責任推給母親或誤導新手爸媽。
熬夜免疫力下降易發炎? 營養師:透過飲食補充營養「Omega-3」抗發炎
熬夜已成為現代人因工作、學業或娛樂而經常面臨的狀況。當睡眠不足時,人體容易出現頭痛、腦壓升高感、走路不穩或肌肉痠痛等症狀。營養師李婉萍表示,若長期缺乏休息,更可能導致免疫力下降,增加發炎或感染的風險,例如常見的口腔潰瘍或眼睛長針眼。了解熬夜後的生理反應,才能及時透過飲食與營養補充進行修復。維生素B群 維持能量與神經功能 熬夜會快速消耗體內的維生素B群,尤其是攝取高糖飲食時更容易不足。李婉萍營養師指出,維生素B2、B3對於緩解口腔潰瘍有幫助;B2與B12則能改善頭痛與神經不適;B6則具有安定神經的作用,可協助改善因睡眠不足引起的焦躁或淺眠。常見食補包括豬肝湯、皮蛋瘦肉粥、麥芽牛奶與毛豆,這些食品能有效補充B群,協助身體恢復能量代謝與腦部功能。Omega-3脂肪酸 減少發炎與眼疾Omega-3屬於人體必需脂肪酸,主要來源是深海魚類。其功能不僅在於保護心血管、維持腦部運作與調節血壓,對於預防熬夜後常見的眼部發炎與針眼也有幫助。李婉萍營養師提到,日常飲食可選擇鮭魚、鱘龍魚、鮪魚蛋餅,或搭配奇亞籽飲品,若平時攝取不足,也能透過魚油補充。適量的Omega-3能協助免疫調節,降低熬夜後因免疫力下降所造成的發炎反應。芝麻素保護神經系統 幫助肝臟代謝與體力恢復長期熬夜會對肝臟造成額外負擔,芝麻素能促進肝臟解毒與代謝功能,並保護神經系統,幫助維持精神與專注力。芝麻、芝麻油、胡椒等食材都含有芝麻素,李婉萍營養師建議,日常可透過芝麻牛奶、芝麻粉或在料理中加入冷壓芝麻油攝取。胡椒除了調味外,也能刺激消化、增強食慾。若能與雞胸肉、排骨湯等高蛋白食物搭配,更能促進能量恢復與肌肉修復。維生素C與D 提升免疫防護力熬夜會使身體更容易受到病毒與細菌侵襲。維生素C能促進白血球功能、加速組織修復,而維生素D則能調節免疫反應,對維持健康極為重要。李婉萍營養師建議,在飲食中可多攝取這些食物:芭樂、奇異果、柳橙汁等富含維生素C;維生素D則可透過香菇雞湯或日曬合成補充。兩者搭配能增強抵抗力,減少熬夜後立即出現感冒或呼吸道感染的風險。營養補充能協助 但非根本解方雖然補充上述營養素能在短期內減輕熬夜後的不適,但仍無法完全取代睡眠的修復效果。李婉萍營養師提醒,在工作或考試壓力結束後,應給予自己充足的睡眠,以恢復大腦與身體功能。對某些人而言,芝麻與牛奶中的鈣鎂成分可幫助放鬆肌肉、預防抽筋,這些天然食材也能作為日常保健的一部分。最重要的是,找到最適合自己的飲食與休息方式,才能在忙碌生活中維持健康。【延伸閱讀】天后保養秘訣「晚上9點半睡覺」引熱議 醫:熬夜確實更易胖「猛爆性肝炎」是什麼?熬夜不睡覺怕爆肝?醫:「1高危族群」要警惕!https://www.healthnews.com.tw/readnews.php?id=66395
3種維生素補過量恐增罹癌風險 專家建議「這1種」可安心補充
許多人習慣透過營養保健食品補充每日所需的維生素,但日本專家提醒,補過頭反而可能對健康造成反效果。根據《Yahoo!日本》轉載的《介護ポストセブン》報導,「南雲診所」總院長南雲吉則醫師指出,有三種常見維生素若過量攝取,恐會增加罹癌與死亡的風險。南雲醫師指出,許多人習慣服用綜合維生素,卻忽略「劑量」的重要性。他點名維生素A、維生素B12與維生素E這三種補充品需特別留意攝取量。其中,維生素A雖有助維持視力與皮膚健康,但若長期攝取過量,可能出現食慾不振、噁心、嘔吐等副作用,並提高肺癌罹患率約26%,整體癌症死亡風險也可能上升16%。此外,被廣泛用來補血、促進代謝的維生素B群,其中特別是B12與葉酸,若長期透過補充品攝取,也可能讓癌症發生率提高19%、死亡率增加38%。至於被稱為「抗老化維生素」的維生素E,過量補充也被研究發現與癌症相關死亡風險上升有關。相較之下,南雲醫師表示,維生素D是唯一值得經常透過補充品補足的營養素。他指出,日本約有高達98%的人存在維生素D不足的情形,若長期缺乏,恐造成骨骼、臟器與神經系統功能異常。他引用東京慈惠會醫科大學與五國共同進行的國際研究指出,維生素D補充與癌症死亡率有顯著相關,整體癌症死亡風險可降低12%,而70歲以上族群的降幅更達17%。研究也發現,體內維生素D充足者,其特定癌症死亡風險可減少35%至42%。這項研究對象涵蓋10萬名癌症患者,採隨機分組與長期追蹤分析,因此結果具有高度科學可信度。最後,南雲醫師也建議,專注在補充營養,不如回歸均衡飲食與自然生活。他指出,維他命D主要來自陽光中的紫外線轉化,「每天曬10至20分鐘太陽,就能獲得足夠維他命D。」
換季過敏症狀上身?營養師點名「10大抗敏營養素」 這3種食物別多吃
隨著季節交替,氣溫忽冷忽熱、濕度變化劇烈,加上空氣品質不穩定,不少民眾免疫力下降,出現鼻塞、乾癢、打噴嚏等過敏症狀。營養師高敏敏提醒,除了透過藥物控制過敏,日常飲食補充正確營養素也是穩定免疫、減緩症狀的重要關鍵。高敏敏指出,過敏多半與身體免疫系統失衡有關,若能透過飲食調整,補充抗過敏相關營養,有助於抗發炎、降低過敏反應。她建議日常可多攝取以下10種有助舒緩過敏的營養素來源食物:番茄:含番茄紅素、β胡蘿蔔素、類黃酮等抗氧化成分,具抗過敏作用。益生菌:雖無法根治鼻過敏,但可改善腸道環境,減少過敏症狀,可從優酪乳與優格中攝取。MSM有機硫化物:具有抗過敏效果,常見於大蒜、洋蔥、蛋白質類與甘藍等食物中。維生素C:可強化黏膜細胞、提升免疫力,多存在於芭樂、奇異果與柑橘類水果中。維生素D:建議多曬太陽,或從魚類、牛奶、蛋黃、菇類等食物中補充。維生素E:有助抗發炎,推薦食用堅果與種子類食物。槲皮素:天然抗組織胺,具抗過敏功能,可從莓果、秋葵、洋蔥中攝取。共軛亞麻油酸(CLA):有助緩解過敏,並減少藥物使用,常見於乳製品、羊肉、牛肉與紅花籽油等食物中。蘋果:富含蘋果多酚,建議每天食用一顆,有助改善換季過敏。綠葉蔬菜與海藻類:含有葉綠素及膳食纖維,可改善過敏並維持腸道健康。除了補充營養素,高敏敏也提醒,有三類食物應盡量避免,否則容易加劇身體發炎反應,導致過敏症狀惡化:加工食品:含大量人工添加物,容易引發慢性發炎。不新鮮或易過敏海產:細菌分解後產生組織胺,可能導致過敏加劇。咖啡因與高糖甜食攝取過量:會造成體內脫水,使黏膜防護力下降,增加皮膚乾燥與敏感機率。她建議民眾應建立規律生活作息、均衡飲食,並避免出入人多密閉場所,配合營養補充與日常防護,才能有效減緩季節性過敏帶來的不適。
不吃早餐骨折風險竟增18% 醫曝養成「這習慣」很關鍵
胸腔暨重症專科醫師黃軒近日表示,日本一項研究發現,不吃早餐會讓骨折風險增加18%,如果晚餐太晚吃也會提高8%,睡眠品質差或常抽菸者也是高危險群,他強調,「長遠來看,養成『規律三餐、避免太晚吃』的習慣,比你想的還要關鍵。」黃軒近日在臉書發文,不吃早餐、太晚吃晚餐太危險,日本一項超過92萬人的大型研究指出,不吃早餐骨折風險增18%,晚餐太晚吃也會提高8%,因為不吃早餐會讓鈣、維生素D攝取不足,長期產生骨質疏鬆;晚餐太晚吃會干擾睡眠,讓皮質醇升高和骨頭分解加快。黃軒指出,沒睡好或是常抽菸、BMI偏高、運動不足者,更要注意「三餐規律」和「骨頭保養」,因睡眠不足會削弱骨骼的修復能力;若有抽菸習慣,尼古丁則會加速骨質流失,體重過重會提高代謝相關風險,而缺乏運動則容易導致骨密度下降。黃軒解釋,不是只有老人會有骨質疏鬆,研究顯示,吃飯時間點跟骨頭健康息息相關,「長遠來看,養成『規律三餐、避免太晚吃』的習慣,比你想的還要關鍵。」
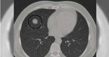
「肺結節」是早期癌症警訊?名醫舉2病例:每年篩檢是關鍵
「肺結節」是早期癌症的警訊?營養功能醫學專家劉博仁分享2個病例解釋,1位因發炎造成的假性結節而免於開刀,另一位則及早發現第一期肺腺癌並成功切除。他提醒大眾,肺結節可能是暫時發炎也可能是癌症警訊,低劑量電腦斷層是重要篩檢工具,並強調飲食、生活習慣與及早追蹤,對維護肺部健康的重要性。營養功能學名醫劉博仁今(2日)在臉書粉專發文分享2個真實病例,提醒大眾面對肺部結節時應保持警覺,但也不要過度恐慌。首先,第一位病患在醫院進行低劑量電腦斷層(LDCT)檢查時,發現肺部有一個1.2公分的不規則結節。對此,劉博仁醫師強烈建議立即開刀,但病患猶豫不決,最後選擇先以功能醫學調理並密切追蹤。4個月後再檢查,結節縮小到僅剩0.3公分,最終確認只是因感染造成的假性結節,幸運地避免了不必要的肺部手術。另一位病患則是女性,右上肺發現0.9公分的毛玻璃樣結節。起初半年間形狀沒有變化,但隨後逐漸長大。劉博仁醫師強烈建議手術,病理結果證實為第一期肺腺癌。由於及早發現與處理,成功切除且沒有擴散,病患因此保住了健康。劉博仁醫師指出,這2個截然不同的結果提醒人們,部分肺結節可能只是暫時性的發炎反應,但也可能是早期癌症的警訊。近年來肺腺癌在華人女性族群中逐漸增加,即使從未吸菸者也可能罹病。他指出原因包括空氣污染(特別是 PM2.5)、二手菸與廚房油煙暴露、基因體質差異(華人女性帶有EGFR基因突變比例較高)、以及慢性發炎反應等。劉博仁醫師強調,LDCT是目前最有效的早期肺癌篩檢工具,能夠發現小於1公分的結節,遠優於傳統胸部X光。醫師會根據國際Fleischner指南與臨床經驗來判斷是否需要手術,若結節大於8毫米且形狀不規則、毛玻璃樣結節持續增大、出現明顯實性成分,或病患屬於高危險族群,就應積極處理,以免錯過治療時機。在日常生活中,雖然無法百分之百預防肺癌,但劉博仁醫師強調,仍可透過習慣與飲食來降低風險,包括避免菸害與二手菸、保持廚房通風、使用空氣清淨機降低PM2.5;飲食上則建議多攝取十字花科蔬菜、番茄、莓果、深海魚類與堅果,並適度補充維生素D、N-乙醯半胱氨酸(NAC)、薑黃素等營養素。保持良好作息、充足睡眠、規律運動與壓力管理,也有助於提升免疫力與肺部健康。他提醒,肺結節不等於肺癌,但也不能掉以輕心。尤其是50歲以上、有吸菸史或家族史的人,每年應進行一次LDCT篩檢。並且要理性判斷,並非所有結節都需要馬上手術,但若出現「增大、變實心、形狀不規則」等變化,就應果斷處理。同時,他也鼓勵大家積極從飲食與生活方式著手,主動守護肺部健康。
挪威漁業40年科技進化!奠定優質海鮮全球標竿
隨著健康意識提升與食材來源備受關注,來自挪威純淨冰冷海域的優質海產已成為台灣餐桌上的健康首選。擁有40年科技進化與嚴格養殖、冷鏈標準的挪威,不僅穩居全球第一大海鮮出口國,更深受營養專家與餐飲品牌的肯定。挪威海產推廣協會(NSC,Norwegian Seafood Council)今(27)日宣布,與日本定食餐廳第一品牌大戶屋及日式海鮮專門店百八魚場攜手合作,於9月1日至10月31日展開全台限時推廣活動,讓消費者在日常餐飲中輕鬆享用高品質海鮮與營養。40年堅持,挪威用科技重新定義永續海鮮過去 40 年,挪威海產推廣協會以科技創新打造兼顧產能與環保的海鮮產業典範:自 1985 年導入現代化鮭魚育種技術起,到 2025 年全面導入 AI 智能養殖,建立起「從海洋到餐桌」的永續供應鏈。透過衛星監控防止鯖魚過度捕撈、以基因改良降低養殖鮭魚對抗生素的依賴、並運用區塊鏈溯源確保來源透明,成功讓挪威鮭魚產量提升 30 倍,同時碳排放減半,充分證明經濟發展與環境保護可以並行不悖。營養師觀點:吃對魚,從根本強化健康營養師呂孟凡指出:「在台灣,心血管疾病與代謝症候群持續攀升,Omega-3脂肪酸的攝取量卻普遍不足。而鮭魚與鯖魚正是天然的Omega-3寶庫。」她表示,挪威鮭魚每100克約含1.5至2克EPA與DHA,有助於維持心血管健康、提升腦部專注與學習力,是全齡族群都適合攝取的好脂肪來源。若選擇生食料理能保留最多營養,而熟食則建議低溫烘烤或香煎,避免過度油炸造成營養流失。呂孟凡也提醒,來自北大西洋的挪威鯖魚因屬中層魚種,不易累積重金屬,再加上其高蛋白、豐富的omega-3與維生素D成分,是忙碌生活中快速獲取營養的好選擇。「尤其針對外食族,若能在便當、定食中選擇挪威鮭魚或鯖魚,便能為飲食健康加分。」餐飲品牌響應:從一份餐點開始的健康提案面對愈來愈多重視來源與營養的消費者,餐飲品牌也以實際行動回應這股「健康海食」的風潮。日本定食餐廳第一品牌大戶屋,承襲日式定食「一汁三菜」均衡營養理念,堅持嚴選食材與新鮮現做。商品一部副部長何敘米表示:「大戶屋用父母的心意,細心製作暖心料理,希望每一道餐點都兼具營養、安心與美味。」本次合作特別推出長銷招牌「炭烤鯖魚定食」,嚴選脂肪含量超過20%的最高等級挪威鯖魚,風味濃郁、肉質紮實,搭配大戶屋獨有的炭烤工法,完美呈現食材油脂香氣,讓消費者一次享有美味與健康。大戶屋聯手挪威海鮮推出限時挪威鯖魚料理。(圖片提供/挪威海產推廣協會)日式海鮮專門店百八魚場,秉持「高貴不貴、魚鮮飯香」的精神,始終堅持選用天然、新鮮、美味的食材,並以不容妥協的態度維護品質。行銷部經理王昱婷表示:「挪威鮭魚穩定的生產系統與優異油脂品質,讓我們在設計料理時更有信心。從握壽司、鮭魚丼到創意炙燒,每一道都能讓人嚐到挪威海域的純粹風味與健康價值。」百八魚場嚴格遵循SOP流程控管,確保餐點的最佳口感、鮮度與營養,讓顧客在享用美味佳餚的同時,也能兼顧日常飲食的健康平衡,實現「吃得美味、吃得安心」的用餐體驗。百八魚場聯手挪威海鮮推出限時挪威鮭魚料理。(圖片提供/挪威海產推廣協會)官方展望:打造挪威海鮮 × 台灣日常的美味新鏈結挪威海產推廣協會東南亞總監Åshild Nakken說到:「台灣在1987年第一次從挪威進口鮭魚,至今台灣的進口量每年都有持續的成長,代表台灣消費者對挪威鮭魚的喜愛,而台灣是我們至為重要的市場。近年來,我們觀察到台灣消費者對於海產的品質與來源越趨重視,這正與挪威長年以來推動的『永續漁業、透明產銷、科學養殖』理念不謀而合。」她指出,NSC未來將持續強化對台灣市場的投入,包括與更多餐飲、零售夥伴展開合作,提供消費者更新鮮美味又安全的選擇。「只要認明Seafood from Norway標章,代表該產品已通過挪威官方認證,是來自純淨、可追溯的優質水產,我們會持續致力為此把關。」
「這些族群」別亂貼止痛貼片! 醫:嚴重恐導致腎功能惡化
藥師洪正憲分享了一則發生在日本的案例,一名44歲男性原本身體健康,但檢查後發現輕度慢性腎功能減退。然而,在一場車禍後,為了止痛,初期使用口服止痛藥洛索洛芬(loxoprofen),之後每天兩次使用含loxoprofen成分的止痛貼片,以持續緩解疼痛。在改用止痛貼片後,不到一個月內,患者腎功能出現急劇惡化。臨床檢查顯示並無皮疹、發燒或其他感染跡象,因此排除了感染相關的腎損傷可能。醫療團隊立即停用所有可能引起腎傷害的藥物,包括活性維生素D、鈣補充劑及loxoprofen止痛貼片,以防止腎臟持續受損。醫療團隊為患者進行腎臟切片檢查,發現有「急性間質性腎炎」與「急性腎小管損傷」等病理變化,這些結果與藥物性腎損傷的典型表現高度一致。在排除其他可能病因後,團隊懷疑是因為使用含loxoprofen成分的止痛貼片所致。不僅口服藥會影響腎臟 外用藥物也需注意停止使用loxoprofen後,患者腎功能指數逐漸改善,血鈣濃度也回復正常。洪正憲藥師指出,即使是外用藥物,也可能在特定情況下經由皮膚吸收後進入全身循環,對腎臟造成影響。不過這是臨床上曾發生的個案,不代表每個人都會遇到。重點是了解風險,做好預防。需注意外用止痛藥成份 安全性與使用原則洪正憲藥師表示,外用消炎止痛藥在正確使用下,一般具有良好安全性與鎮痛效果。然而,部分非類固醇消炎止痛藥(NSAIDs),如loxoprofen,即便經皮膚吸收,也可能影響腎臟血流與功能。對於腎功能已受損的患者,這種影響風險需特別重視。慢性腎病患者用藥 需醫師評估風險此外,洪正憲藥師提醒,慢性腎病患者、高血鈣者以及同時服用多種藥物的族群,在使用任何含NSAIDs成分的藥物(包含外用劑型)前,都應由醫師或藥師評估腎功能狀況與藥物交互作用,並定期監測相關檢驗數據,以降低不良反應發生機率。藥物性腎損傷並不限於口服或注射製劑,外用貼片在特定條件下同樣可能引起全身性副作用。雖然此類案例並不常見,但洪正憲藥師建議,高風險患者應保持警覺,並在用藥期間留意是否出現尿量變化、浮腫、疲倦或肌肉無力等異常狀況。若有疑慮,應立即停藥並就醫。認識外用止痛藥風險 預防藥物性腎損傷洪正憲藥師呼籲,外用止痛藥並非完全無風險。遵循醫囑、合理劑量與定期檢測,是降低藥物性腎損傷的重要策略。對於腎功能不全或有代謝異常的患者,事先與醫療專業人員討論,選擇適合的治療方式,才能在緩解疼痛的同時維護腎臟健康。【延伸閱讀】64歲男腎功能異常竟是砷中毒! 醫揭「無聲傷腎」禍首56歲男泡泡尿揭腎病危機! 醫提醒「這些人」務必定期檢查腎功能https://www.healthnews.com.tw/readnews.php?id=65971
活潑女孩突變懶散宅女 醫示警:7成人都缺「關鍵元素」
24歲的小美,原本個性活潑開朗,喜歡戶外運動,但今年夏天因工作繁忙、天氣悶熱,幾乎整天都待在冷氣房,常常叫外送。近1個月來,小美胃口變好,嗜睡卻睡不飽,整天提不起勁,周末也懶得出門,好像情緒被什麼東西壓著。原來她罹患了「非典型憂鬱」,維生素D指標也明顯偏低。周伯翰身心醫學診所兼任醫師尤冠棠說,維生素D除與骨頭健康有關,還參與腦中多巴胺、血清素的合成,對調節情緒與思緒運作至關重要。當身體缺乏維生素D,這些神經傳導物質的平衡會被打亂,使人更容易情緒低落、動力不足、嗜睡、焦慮易怒等。「非典型憂鬱」症狀易被忽略,除情緒低落,患者還會出現食慾增加、體重上升、白天嗜睡、對人際關係特別敏感等表現,與外界印象中「憂鬱就是食慾不振、失眠」的樣貌不太一樣。雖然台灣是陽光充足的亞熱帶國家,但國健署統計顯示,逾7成國人維生素D不足,尤其是都市上班族、宅居冷氣房的學生與長輩族群,日曬不足更嚴重。尤冠棠說,許多人在夏天更常防曬、避免外出、長時間待在室內,像小美這樣的狀況並不少見。精神科醫師楊聰財提醒,過長的日照時間可能干擾生理時鐘,若要透過日曬補充維生素D,每天10到15分鐘即可,曬太陽時,不擦防曬產品,才能讓紫外線穿透皮膚,啟動維生素D的合成。值得注意的是,曬太陽不是愈久愈好,合成足夠的維生素D後,若繼續曝曬,反而會將多餘的維生素D轉化為無作用的產物,增加曬傷、罹患皮膚癌的風險。尤冠棠則建議,若成人血中維生素D指標低於20ng/mL,可先口服D3,每日2000IU,3~6個月後再複檢;濃度若介於20~30ng/mL,建議從每日800~1000IU開始補充,搭配自然日照,強化飲食如牛奶、蛋黃、鮭魚等。然而,長期攝取超過每日4000IU可能導致高血鈣與腎結石風險,尤冠棠建議補充前應諮詢醫師,並定期追蹤,若發現自己在夏天特別沒精神、常睡不飽、變得懶散或情緒低落,不妨安排檢查,別讓陽光季節變成情緒黑洞。
颱風後苦惱菜價飆漲?營養師曝2類蔬菜:美味營養又省錢
颱風過後總是菜價飆漲,營養師陳冠蓉也建議,可多吃菇類與芽苗蔬菜,兼顧美味、營養又省錢。她指出,菇類富含多醣體、維生素D與膳食纖維,助免疫、骨骼與減重;芽苗如青花椰苗則含高量蘿蔔硫素、維生素與礦物質,營養密度高且價格穩定。營養師陳冠蓉昨(14日)在臉書粉專發文指出,她最近看到新聞報導稱,因豪雨和颱風影響,蔬菜價格飆漲,每公斤甚至突破4百元,讓她覺得相當誇張。面對颱風影響菜價的情況,她建議大家可以多吃各種菇類蔬菜與芽苗蔬菜,既營養又能穩定食材開銷。她也列舉眾多菇類蔬菜,包括香菇、金針菇、鴻喜菇、杏鮑菇、秀珍菇與黑木耳等,並指出這些食材只需要簡單乾煎,或煮成百菇炊飯,就能美味又健康。陳冠蓉說明,菇類含有能提升免疫力、具抗腫瘤與抗發炎作用的多醣體,還有曬過太陽的乾香菇所提供的維生素D,有助骨骼健康。豐富的膳食纖維則能促進腸道蠕動與增加飽足感,低熱量又高飽足,特別適合減重族群。至於芽苗蔬菜,她推薦青花椰苗、蘿蔔嬰、蕎麥苗與紫高麗菜苗等,簡單沖洗後即可加入綠拿鐵、燒肉丼飯、優格盅、涼麵,甚至放在颱風天的泡麵上,既能增加蔬菜攝取,也能補充營養。陳冠蓉解釋,芽苗富含植化素,其中青花椰苗的蘿蔔硫素含量尤其高,具有強大的抗氧化、抗發炎與抗癌作用,並含有維生素C、E、K,能促進膠原生成與心血管健康。葉酸支持細胞分裂與修復,對孕婦尤其重要;活性酵素能幫助消化與代謝;鈣與鎂則維持骨骼與神經健康。低熱量且營養密度高,少量就能攝取豐富養分。她補充,青花椰苗的蘿蔔硫素含量是成熟青花椰的20至50倍,且芽苗多在室內栽種,不易受天氣影響,價格穩定又容易取得。更重要的是,芽苗在發芽初期就累積了大量植化素與維生素,營養密度高於成熟蔬菜,是餐桌上既省錢又健康的好選擇。
女星何妤玟驚見大腸瘜肉 醫示警年輕人愛甜食熬夜恐增癌風險
藝人何妤玟近日在健康檢查中發現大腸內有兩顆瘜肉,儘管她平時奉行蔬食、規律練瑜伽、甚至不喝冰水,結果仍讓她驚訝不已。對此,基隆長庚醫院胃腸科主治醫師錢政弘指出,這正顯示出大腸癌逐漸年輕化的趨勢,與生活型態息息相關。錢政弘日前在節目《醫點不誇張》中表示,台灣的大腸癌發生率在全球名列前茅,尤其年輕型患者數量正在上升。以其所屬醫院為例,去年一年便收治了26名45歲以下的大腸癌患者,等於平均每月就有2人確診,令人憂心。錢政弘進一步指出,近年研究顯示,年輕族群罹患大腸瘜肉或癌症,除了與飲食中肉類攝取有關,更與高糖飲食、熬夜作息及維生素D缺乏密切相關。長期攝取甜食與含糖飲料,會導致胰島素阻抗與血糖上升,營造有利於腫瘤發展的內在環境。此外,現代人作息晚、日照不足,特別是愛美的女性不愛曬太陽,容易造成維生素D濃度偏低,也被證實與大腸癌風險上升有關。錢政弘提到,韓國一項針對50歲以下大腸癌患者的研究指出,多數人體內維生素D含量明顯不足,提醒民眾應適當曝曬陽光,作為自然補充的重要來源。錢政弘強調,大約9成以上的大腸癌都是由瘜肉演變而來,從瘜肉發展為惡性腫瘤通常需5到10年時間,若能定期接受大腸鏡檢查並及早切除病變組織,即可大幅降低癌變風險。他呼籲民眾,別以為健康飲食就能高枕無憂,良好的作息與定期檢查同樣不可忽視。