翁高血壓食量變小…檢查揪出「15公分大腫瘤」 醫驚:用手摸得到
1名80多歲的老先生過去沒有慢性病史,肝臟長出15公分大的腫瘤。(示意圖/翻攝自Pixabay)
1名80多歲的老先生過去沒有慢性病史,身體很硬朗,平常在做志工,假日會爬山健行,去年突然覺得頭暈、頭脹,心跳加快被送到急診檢查,初步認定是高血脂引起的高血壓,開始服藥治療,後來又出現上腹疼痛和胃酸逆流等症狀,最終透過腹部超音波檢查,才發現肝臟有1個15公分大的腫瘤,讓家屬錯愕不已。
胃腸肝膽科醫師錢政弘先前在臉書分享案例,阿公被診斷出高血壓後,吃東西就變得很謹慎,平時不敢多吃,深怕膽固醇上升,「結果幾個月下來,血壓和血脂肪有控制在正常範圍 ,但是他的食量變小,體力越來越差,體重少了3-4公斤,家屬猜想這可能是吃降膽固醇藥後會出現的現象,沒有多加聯想。」
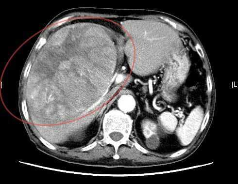
沒想到,阿公後來出現上腹疼痛和胃酸逆流,到錢政弘的門診就醫,「我聽他的描述和一般的胃痛的位置不太一樣,比較偏右上腹部,而且右側肋骨下方有壓痛,我初步懷疑是膽囊的問題,於是安排腹部超音波檢查,結果發現肝臟有一個15公分大的腫瘤,原先按壓會痛的地方其實是巨大的肝癌,直接可以用手摸到,後續CT檢查證實已經是晚期肝癌無法手術。」

「阿公罹患肝癌不是應該營養變差,為什麼會高膽固醇呢?」錢政弘說明,這是所謂的「腫瘤附屬症候群」(Paraneoplastic Syndrome),因為肝癌細胞會誘發HMG-CoA reductase過度表現,使膽固醇合成增加,又會干擾肝細胞代謝膽固醇,結果導致血中膽固醇上升;另外,肝癌細胞也會過度利用葡萄糖或分泌胰島素樣生長因子(IGF-II),導致血糖降低,出現頭暈、心悸或昏迷等症狀。
醫師表示,阿公一開始頭暈、心悸、血壓高、膽固醇高的問題,很可能就是肝癌造成的,只是當時沒有腹痛,沒有聯想到是肝臟的疾病,「就算吃不多,肝臟長肝癌也會讓膽固醇上升。另外,出現容易餓、無力、心悸和頭暈等現象要小心是低血糖,這也是肝癌的警訊。這時候只要做個腹部超音波檢查,很快就能找出問題」。